奥美沙坦诱导的非典型快速发病肠病再激后复发。

IF 3 Q2 MEDICINE, RESEARCH & EXPERIMENTAL
Lila Bekkai, Aymen Ibn Majah, Laurine Verset, Lucas Jacobs, Charline Danneel, Okyay Elkilic, Frédéric Collart, Joëlle Nortier, Maxime Taghavi
{"title":"奥美沙坦诱导的非典型快速发病肠病再激后复发。","authors":"Lila Bekkai, Aymen Ibn Majah, Laurine Verset, Lucas Jacobs, Charline Danneel, Okyay Elkilic, Frédéric Collart, Joëlle Nortier, Maxime Taghavi","doi":"10.3390/diseases13070223","DOIUrl":null,"url":null,"abstract":"<p><strong>Background: </strong>Olmesartan-induced enteropathy is a rare complication of a widely used angiotensin II receptor blocker. Patients usually present with chronic diarrhea and weight loss. Histologically, villous atrophy and intraepithelial lymphocyte infiltrates within the duodenum confirm the diagnosis. The prognosis is usually good after withdrawal of the offending drug.</p><p><strong>Case presentation: </strong>Here, we report the case of a 76-year-old woman who developed a severe form of Olmesartan-induced enteropathy complicated by acute kidney injury and acute recurrence after drug rechallenge. After definite cessation of the drug, the patient did not experience any gastrointestinal (GI) symptom recurrence after 6 months of follow-up. However, she experienced chronic kidney disease stage G3b. Histological analysis did not show any villous atrophy or intraepithelial lymphocyte infiltrates within the duodenum or the colon biopsy.</p><p><strong>Discussion and conclusion: </strong>This case highlights the broad spectrum of clinical manifestations and histological findings in Olmesartan-induced enteropathy. It also highlights the importance of rapid diagnosis in order to limit organ damage such as chronic kidney disease.</p>","PeriodicalId":72832,"journal":{"name":"Diseases (Basel, Switzerland)","volume":"13 7","pages":""},"PeriodicalIF":3.0000,"publicationDate":"2025-07-18","publicationTypes":"Journal Article","fieldsOfStudy":null,"isOpenAccess":false,"openAccessPdf":"https://www.ncbi.nlm.nih.gov/pmc/articles/PMC12294883/pdf/","citationCount":"0","resultStr":"{\"title\":\"Atypical Rapid Onset of Olmesartan-Induced Enteropathy with Recurrence After Rechallenging.\",\"authors\":\"Lila Bekkai, Aymen Ibn Majah, Laurine Verset, Lucas Jacobs, Charline Danneel, Okyay Elkilic, Frédéric Collart, Joëlle Nortier, Maxime Taghavi\",\"doi\":\"10.3390/diseases13070223\",\"DOIUrl\":null,\"url\":null,\"abstract\":\"<p><strong>Background: </strong>Olmesartan-induced enteropathy is a rare complication of a widely used angiotensin II receptor blocker. Patients usually present with chronic diarrhea and weight loss. Histologically, villous atrophy and intraepithelial lymphocyte infiltrates within the duodenum confirm the diagnosis. The prognosis is usually good after withdrawal of the offending drug.</p><p><strong>Case presentation: </strong>Here, we report the case of a 76-year-old woman who developed a severe form of Olmesartan-induced enteropathy complicated by acute kidney injury and acute recurrence after drug rechallenge. After definite cessation of the drug, the patient did not experience any gastrointestinal (GI) symptom recurrence after 6 months of follow-up. However, she experienced chronic kidney disease stage G3b. Histological analysis did not show any villous atrophy or intraepithelial lymphocyte infiltrates within the duodenum or the colon biopsy.</p><p><strong>Discussion and conclusion: </strong>This case highlights the broad spectrum of clinical manifestations and histological findings in Olmesartan-induced enteropathy. It also highlights the importance of rapid diagnosis in order to limit organ damage such as chronic kidney disease.</p>\",\"PeriodicalId\":72832,\"journal\":{\"name\":\"Diseases (Basel, Switzerland)\",\"volume\":\"13 7\",\"pages\":\"\"},\"PeriodicalIF\":3.0000,\"publicationDate\":\"2025-07-18\",\"publicationTypes\":\"Journal Article\",\"fieldsOfStudy\":null,\"isOpenAccess\":false,\"openAccessPdf\":\"https://www.ncbi.nlm.nih.gov/pmc/articles/PMC12294883/pdf/\",\"citationCount\":\"0\",\"resultStr\":null,\"platform\":\"Semanticscholar\",\"paperid\":null,\"PeriodicalName\":\"Diseases (Basel, Switzerland)\",\"FirstCategoryId\":\"1085\",\"ListUrlMain\":\"https://doi.org/10.3390/diseases13070223\",\"RegionNum\":0,\"RegionCategory\":null,\"ArticlePicture\":[],\"TitleCN\":null,\"AbstractTextCN\":null,\"PMCID\":null,\"EPubDate\":\"\",\"PubModel\":\"\",\"JCR\":\"Q2\",\"JCRName\":\"MEDICINE, RESEARCH & EXPERIMENTAL\",\"Score\":null,\"Total\":0}","platform":"Semanticscholar","paperid":null,"PeriodicalName":"Diseases (Basel, Switzerland)","FirstCategoryId":"1085","ListUrlMain":"https://doi.org/10.3390/diseases13070223","RegionNum":0,"RegionCategory":null,"ArticlePicture":[],"TitleCN":null,"AbstractTextCN":null,"PMCID":null,"EPubDate":"","PubModel":"","JCR":"Q2","JCRName":"MEDICINE, RESEARCH & EXPERIMENTAL","Score":null,"Total":0}
引用次数: 0

摘要

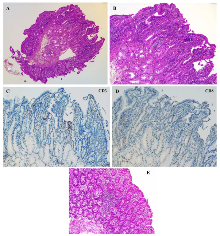
背景:奥美沙坦引起的肠病是一种广泛使用的血管紧张素II受体阻滞剂的罕见并发症。患者通常表现为慢性腹泻和体重减轻。组织学上,绒毛萎缩和十二指肠上皮内淋巴细胞浸润证实了诊断。停药后预后通常很好。病例介绍:在这里,我们报告了一位76岁的女性,她发展为严重形式的奥美沙坦诱发的肠病,并发急性肾损伤和药物再挑战后急性复发。明确停药后,患者随访6个月未出现任何胃肠道症状复发。然而,她经历了G3b期慢性肾脏疾病。组织学分析未显示任何绒毛萎缩或上皮内淋巴细胞浸润在十二指肠或结肠活检。讨论和结论:本病例突出了奥美沙坦引起的肠病的广泛临床表现和组织学发现。它还强调了快速诊断的重要性,以限制器官损害,如慢性肾脏疾病。
本文章由计算机程序翻译,如有差异,请以英文原文为准。

Atypical Rapid Onset of Olmesartan-Induced Enteropathy with Recurrence After Rechallenging.

Atypical Rapid Onset of Olmesartan-Induced Enteropathy with Recurrence After Rechallenging.

Atypical Rapid Onset of Olmesartan-Induced Enteropathy with Recurrence After Rechallenging.

Atypical Rapid Onset of Olmesartan-Induced Enteropathy with Recurrence After Rechallenging.

Background: Olmesartan-induced enteropathy is a rare complication of a widely used angiotensin II receptor blocker. Patients usually present with chronic diarrhea and weight loss. Histologically, villous atrophy and intraepithelial lymphocyte infiltrates within the duodenum confirm the diagnosis. The prognosis is usually good after withdrawal of the offending drug.

Case presentation: Here, we report the case of a 76-year-old woman who developed a severe form of Olmesartan-induced enteropathy complicated by acute kidney injury and acute recurrence after drug rechallenge. After definite cessation of the drug, the patient did not experience any gastrointestinal (GI) symptom recurrence after 6 months of follow-up. However, she experienced chronic kidney disease stage G3b. Histological analysis did not show any villous atrophy or intraepithelial lymphocyte infiltrates within the duodenum or the colon biopsy.

Discussion and conclusion: This case highlights the broad spectrum of clinical manifestations and histological findings in Olmesartan-induced enteropathy. It also highlights the importance of rapid diagnosis in order to limit organ damage such as chronic kidney disease.

求助全文
通过发布文献求助,成功后即可免费获取论文全文。 去求助
来源期刊
CiteScore
0.80
自引率
0.00%
发文量
0
审稿时长
6 weeks
×
引用
GB/T 7714-2015
复制
MLA
复制
APA
复制
导出至
BibTeX EndNote RefMan NoteFirst NoteExpress
×
提示
您的信息不完整,为了账户安全,请先补充。
现在去补充
×
提示
您因"违规操作"
具体请查看互助需知
我知道了
×
提示
确定
请完成安全验证×
copy
已复制链接
快去分享给好友吧!
我知道了
右上角分享
点击右上角分享
0
联系我们:info@booksci.cn Book学术提供免费学术资源搜索服务,方便国内外学者检索中英文文献。致力于提供最便捷和优质的服务体验。 Copyright © 2023 布克学术 All rights reserved.
京ICP备2023020795号-1
ghs 京公网安备 11010802042870号
Book学术文献互助
Book学术文献互助群
群 号:604180095
Book学术官方微信