低剂量乙酰唑胺预防急性高山病后继发无尿急性肾损伤1例。

IF 3 Q2 MEDICINE, RESEARCH & EXPERIMENTAL
Marco Dominguez Davalos, Raúl Valenzuela Córdova, Celia Rodríguez Tudero, Elena Jiménez Mayor, Carlos Bedia Castillo, José C De La Flor, Roger Leon Montesinos, Cristian León Rabanal, Michael Cieza Terrones, Javier A Neyra
{"title":"低剂量乙酰唑胺预防急性高山病后继发无尿急性肾损伤1例。","authors":"Marco Dominguez Davalos, Raúl Valenzuela Córdova, Celia Rodríguez Tudero, Elena Jiménez Mayor, Carlos Bedia Castillo, José C De La Flor, Roger Leon Montesinos, Cristian León Rabanal, Michael Cieza Terrones, Javier A Neyra","doi":"10.3390/diseases13070228","DOIUrl":null,"url":null,"abstract":"<p><p><b>Background/Objectives</b>: Acetazolamide is widely used for acute mountain sickness (AMS) prophylaxis. Whilst generally safe, acute kidney injury (AKI) is a rare but serious adverse event. We present a case of anuric AKI following minimal exposure to acetazolamide, contributing to the limited literature on its nephrotoxicity at prophylactic doses. <b>Methods</b>: A 54-year-old previously healthy male ingested 250 mg/day of oral acetazolamide for two days. He developed acute anuria and lumbar pain. Diagnostic evaluation included laboratory tests, imaging, microbiological cultures, autoimmune panels, and diuretic response. No signs of infection, urinary tract obstruction, or systemic disease were found. <b>Results</b>: The patient met KDIGO 2012 criteria for stage 3 AKI, with peak serum creatinine of 10.6 mg/dL and metabolic acidosis. Imaging confirmed non-obstructive nephrolithiasis. Conservative treatment failed; intermittent hemodialysis was initiated. Renal function recovered rapidly, with the normalization of serum creatinine and urinary output by day 4. <b>Conclusions</b>: This case represents the lowest cumulative dose of acetazolamide reported to cause stage 3 AKI. The findings support a pathophysiological mechanism involving sulfonamide-induced crystalluria and intratubular obstruction. Physicians should consider acetazolamide in the differential diagnosis of AKI, even with short-term prophylactic use.</p>","PeriodicalId":72832,"journal":{"name":"Diseases (Basel, Switzerland)","volume":"13 7","pages":""},"PeriodicalIF":3.0000,"publicationDate":"2025-07-21","publicationTypes":"Journal Article","fieldsOfStudy":null,"isOpenAccess":false,"openAccessPdf":"https://www.ncbi.nlm.nih.gov/pmc/articles/PMC12293891/pdf/","citationCount":"0","resultStr":"{\"title\":\"An Unusual Case of Anuric Acute Kidney Injury Secondary to the Use of Low-Dose Acetazolamide as Preventive Management for Acute Mountain Sickness.\",\"authors\":\"Marco Dominguez Davalos, Raúl Valenzuela Córdova, Celia Rodríguez Tudero, Elena Jiménez Mayor, Carlos Bedia Castillo, José C De La Flor, Roger Leon Montesinos, Cristian León Rabanal, Michael Cieza Terrones, Javier A Neyra\",\"doi\":\"10.3390/diseases13070228\",\"DOIUrl\":null,\"url\":null,\"abstract\":\"<p><p><b>Background/Objectives</b>: Acetazolamide is widely used for acute mountain sickness (AMS) prophylaxis. Whilst generally safe, acute kidney injury (AKI) is a rare but serious adverse event. We present a case of anuric AKI following minimal exposure to acetazolamide, contributing to the limited literature on its nephrotoxicity at prophylactic doses. <b>Methods</b>: A 54-year-old previously healthy male ingested 250 mg/day of oral acetazolamide for two days. He developed acute anuria and lumbar pain. Diagnostic evaluation included laboratory tests, imaging, microbiological cultures, autoimmune panels, and diuretic response. No signs of infection, urinary tract obstruction, or systemic disease were found. <b>Results</b>: The patient met KDIGO 2012 criteria for stage 3 AKI, with peak serum creatinine of 10.6 mg/dL and metabolic acidosis. Imaging confirmed non-obstructive nephrolithiasis. Conservative treatment failed; intermittent hemodialysis was initiated. Renal function recovered rapidly, with the normalization of serum creatinine and urinary output by day 4. <b>Conclusions</b>: This case represents the lowest cumulative dose of acetazolamide reported to cause stage 3 AKI. The findings support a pathophysiological mechanism involving sulfonamide-induced crystalluria and intratubular obstruction. Physicians should consider acetazolamide in the differential diagnosis of AKI, even with short-term prophylactic use.</p>\",\"PeriodicalId\":72832,\"journal\":{\"name\":\"Diseases (Basel, Switzerland)\",\"volume\":\"13 7\",\"pages\":\"\"},\"PeriodicalIF\":3.0000,\"publicationDate\":\"2025-07-21\",\"publicationTypes\":\"Journal Article\",\"fieldsOfStudy\":null,\"isOpenAccess\":false,\"openAccessPdf\":\"https://www.ncbi.nlm.nih.gov/pmc/articles/PMC12293891/pdf/\",\"citationCount\":\"0\",\"resultStr\":null,\"platform\":\"Semanticscholar\",\"paperid\":null,\"PeriodicalName\":\"Diseases (Basel, Switzerland)\",\"FirstCategoryId\":\"1085\",\"ListUrlMain\":\"https://doi.org/10.3390/diseases13070228\",\"RegionNum\":0,\"RegionCategory\":null,\"ArticlePicture\":[],\"TitleCN\":null,\"AbstractTextCN\":null,\"PMCID\":null,\"EPubDate\":\"\",\"PubModel\":\"\",\"JCR\":\"Q2\",\"JCRName\":\"MEDICINE, RESEARCH & EXPERIMENTAL\",\"Score\":null,\"Total\":0}","platform":"Semanticscholar","paperid":null,"PeriodicalName":"Diseases (Basel, Switzerland)","FirstCategoryId":"1085","ListUrlMain":"https://doi.org/10.3390/diseases13070228","RegionNum":0,"RegionCategory":null,"ArticlePicture":[],"TitleCN":null,"AbstractTextCN":null,"PMCID":null,"EPubDate":"","PubModel":"","JCR":"Q2","JCRName":"MEDICINE, RESEARCH & EXPERIMENTAL","Score":null,"Total":0}
引用次数: 0

摘要

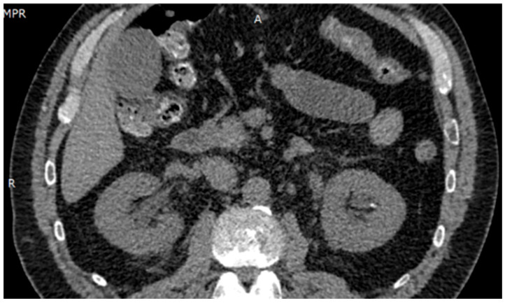
背景/目的:乙酰唑胺广泛用于急性高山病(AMS)的预防。虽然通常是安全的,急性肾损伤(AKI)是一种罕见但严重的不良事件。我们提出了一例无尿性肾损伤后,最低限度的暴露于乙酰唑胺,有助于其在预防剂量肾毒性的有限文献。方法:54岁健康男性,口服乙酰唑胺250 mg/d,持续2天。他出现了急性无尿症和腰痛。诊断评估包括实验室检查、影像学检查、微生物培养、自身免疫小组和利尿反应。没有发现感染、尿路梗阻或全身性疾病的迹象。结果:患者符合KDIGO 2012 3期AKI标准,血肌酐峰值10.6 mg/dL,代谢性酸中毒。影像学证实非阻塞性肾结石。保守治疗失败;开始间歇性血液透析。肾功能迅速恢复,血清肌酐和尿量在第4天恢复正常。结论:该病例是报道的引起3期AKI的最低累积剂量乙酰唑胺。这些发现支持了一种涉及磺胺诱导的结晶尿和小管内梗阻的病理生理机制。医生在鉴别诊断AKI时应考虑使用乙酰唑胺,即使是短期预防性使用。
本文章由计算机程序翻译,如有差异,请以英文原文为准。

An Unusual Case of Anuric Acute Kidney Injury Secondary to the Use of Low-Dose Acetazolamide as Preventive Management for Acute Mountain Sickness.

An Unusual Case of Anuric Acute Kidney Injury Secondary to the Use of Low-Dose Acetazolamide as Preventive Management for Acute Mountain Sickness.

An Unusual Case of Anuric Acute Kidney Injury Secondary to the Use of Low-Dose Acetazolamide as Preventive Management for Acute Mountain Sickness.

Background/Objectives: Acetazolamide is widely used for acute mountain sickness (AMS) prophylaxis. Whilst generally safe, acute kidney injury (AKI) is a rare but serious adverse event. We present a case of anuric AKI following minimal exposure to acetazolamide, contributing to the limited literature on its nephrotoxicity at prophylactic doses. Methods: A 54-year-old previously healthy male ingested 250 mg/day of oral acetazolamide for two days. He developed acute anuria and lumbar pain. Diagnostic evaluation included laboratory tests, imaging, microbiological cultures, autoimmune panels, and diuretic response. No signs of infection, urinary tract obstruction, or systemic disease were found. Results: The patient met KDIGO 2012 criteria for stage 3 AKI, with peak serum creatinine of 10.6 mg/dL and metabolic acidosis. Imaging confirmed non-obstructive nephrolithiasis. Conservative treatment failed; intermittent hemodialysis was initiated. Renal function recovered rapidly, with the normalization of serum creatinine and urinary output by day 4. Conclusions: This case represents the lowest cumulative dose of acetazolamide reported to cause stage 3 AKI. The findings support a pathophysiological mechanism involving sulfonamide-induced crystalluria and intratubular obstruction. Physicians should consider acetazolamide in the differential diagnosis of AKI, even with short-term prophylactic use.

求助全文
通过发布文献求助,成功后即可免费获取论文全文。 去求助
来源期刊
CiteScore
0.80
自引率
0.00%
发文量
0
审稿时长
6 weeks
×
引用
GB/T 7714-2015
复制
MLA
复制
APA
复制
导出至
BibTeX EndNote RefMan NoteFirst NoteExpress
×
提示
您的信息不完整,为了账户安全,请先补充。
现在去补充
×
提示
您因"违规操作"
具体请查看互助需知
我知道了
×
提示
确定
请完成安全验证×
copy
已复制链接
快去分享给好友吧!
我知道了
右上角分享
点击右上角分享
0
联系我们:info@booksci.cn Book学术提供免费学术资源搜索服务,方便国内外学者检索中英文文献。致力于提供最便捷和优质的服务体验。 Copyright © 2023 布克学术 All rights reserved.
京ICP备2023020795号-1
ghs 京公网安备 11010802042870号
Book学术文献互助
Book学术文献互助群
群 号:604180095
Book学术官方微信