COVID-19后支气管扩张中流感嗜血杆菌定植的一例:COVID-19后支气管扩张是慢性气道感染的结构性温床

IF 0.8 Q4 RESPIRATORY SYSTEM
Respirology Case Reports Pub Date : 2025-07-23 eCollection Date: 2025-07-01 DOI:10.1002/rcr2.70287
Issei Oi, Yuta Okada, Naoki Fujimoto, Saiki Yoshimura, Shogo Toyama, Takanori Ito, Takuma Imakita, Osamu Kanai, Kohei Fujita, Kiminobu Tanizawa
{"title":"COVID-19后支气管扩张中流感嗜血杆菌定植的一例:COVID-19后支气管扩张是慢性气道感染的结构性温床","authors":"Issei Oi, Yuta Okada, Naoki Fujimoto, Saiki Yoshimura, Shogo Toyama, Takanori Ito, Takuma Imakita, Osamu Kanai, Kohei Fujita, Kiminobu Tanizawa","doi":"10.1002/rcr2.70287","DOIUrl":null,"url":null,"abstract":"<p><p>Coronavirus Disease 2019 (COVID-19) can lead to respiratory sequelae, including bronchiectasis. While bronchiectasis following tuberculosis is a breeding ground for many bacterial infections/colonisation, there are few reports of bronchiectasis following COVID-19 being a hotbed for bacterial infection/colonisation. We present a case of a 69-year-old female who developed bronchiectasis following COVID-19 pneumonia. The patient had no abnormal findings on chest CT scan for 5 years before COVID-19. She developed persistent cough and sputum after COVID-19 and chest CT just after COVID-19 revealed new bronchiectasis. One year later, she was introduced to our department for repeating exacerbation of chronic respiratory infection, and <i>Haemophilus influenzae</i> was detected in sputum. This case highlights the potential for <i>H. influenzae</i> to infect/colonise in post-COVID-19 bronchiectasis. While there have been few reports of chronic airway infection complicating bronchiectasis after COVID-19 until now, long-term respiratory follow-up and management of bacterial colonisation are crucial in these patients in the future. This case suggests that COVID-19 can predispose individuals to bacterial infection in the setting of bronchiectasis, emphasising the need for vigilance in post-COVID-19 airway management.</p>","PeriodicalId":45846,"journal":{"name":"Respirology Case Reports","volume":"13 7","pages":"e70287"},"PeriodicalIF":0.8000,"publicationDate":"2025-07-23","publicationTypes":"Journal Article","fieldsOfStudy":null,"isOpenAccess":false,"openAccessPdf":"https://www.ncbi.nlm.nih.gov/pmc/articles/PMC12286885/pdf/","citationCount":"0","resultStr":"{\"title\":\"A Case of <i>Haemophilus influenzae</i> Colonisation in Bronchiectasis Following COVID-19: Post-COVID-19 Bronchiectasis as a Structural Hotbed for Chronic Airway Infections.\",\"authors\":\"Issei Oi, Yuta Okada, Naoki Fujimoto, Saiki Yoshimura, Shogo Toyama, Takanori Ito, Takuma Imakita, Osamu Kanai, Kohei Fujita, Kiminobu Tanizawa\",\"doi\":\"10.1002/rcr2.70287\",\"DOIUrl\":null,\"url\":null,\"abstract\":\"<p><p>Coronavirus Disease 2019 (COVID-19) can lead to respiratory sequelae, including bronchiectasis. While bronchiectasis following tuberculosis is a breeding ground for many bacterial infections/colonisation, there are few reports of bronchiectasis following COVID-19 being a hotbed for bacterial infection/colonisation. We present a case of a 69-year-old female who developed bronchiectasis following COVID-19 pneumonia. The patient had no abnormal findings on chest CT scan for 5 years before COVID-19. She developed persistent cough and sputum after COVID-19 and chest CT just after COVID-19 revealed new bronchiectasis. One year later, she was introduced to our department for repeating exacerbation of chronic respiratory infection, and <i>Haemophilus influenzae</i> was detected in sputum. This case highlights the potential for <i>H. influenzae</i> to infect/colonise in post-COVID-19 bronchiectasis. While there have been few reports of chronic airway infection complicating bronchiectasis after COVID-19 until now, long-term respiratory follow-up and management of bacterial colonisation are crucial in these patients in the future. This case suggests that COVID-19 can predispose individuals to bacterial infection in the setting of bronchiectasis, emphasising the need for vigilance in post-COVID-19 airway management.</p>\",\"PeriodicalId\":45846,\"journal\":{\"name\":\"Respirology Case Reports\",\"volume\":\"13 7\",\"pages\":\"e70287\"},\"PeriodicalIF\":0.8000,\"publicationDate\":\"2025-07-23\",\"publicationTypes\":\"Journal Article\",\"fieldsOfStudy\":null,\"isOpenAccess\":false,\"openAccessPdf\":\"https://www.ncbi.nlm.nih.gov/pmc/articles/PMC12286885/pdf/\",\"citationCount\":\"0\",\"resultStr\":null,\"platform\":\"Semanticscholar\",\"paperid\":null,\"PeriodicalName\":\"Respirology Case Reports\",\"FirstCategoryId\":\"1085\",\"ListUrlMain\":\"https://doi.org/10.1002/rcr2.70287\",\"RegionNum\":0,\"RegionCategory\":null,\"ArticlePicture\":[],\"TitleCN\":null,\"AbstractTextCN\":null,\"PMCID\":null,\"EPubDate\":\"2025/7/1 0:00:00\",\"PubModel\":\"eCollection\",\"JCR\":\"Q4\",\"JCRName\":\"RESPIRATORY SYSTEM\",\"Score\":null,\"Total\":0}","platform":"Semanticscholar","paperid":null,"PeriodicalName":"Respirology Case Reports","FirstCategoryId":"1085","ListUrlMain":"https://doi.org/10.1002/rcr2.70287","RegionNum":0,"RegionCategory":null,"ArticlePicture":[],"TitleCN":null,"AbstractTextCN":null,"PMCID":null,"EPubDate":"2025/7/1 0:00:00","PubModel":"eCollection","JCR":"Q4","JCRName":"RESPIRATORY SYSTEM","Score":null,"Total":0}
引用次数: 0

摘要

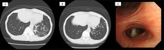
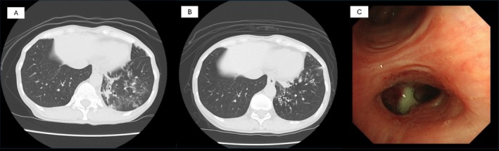
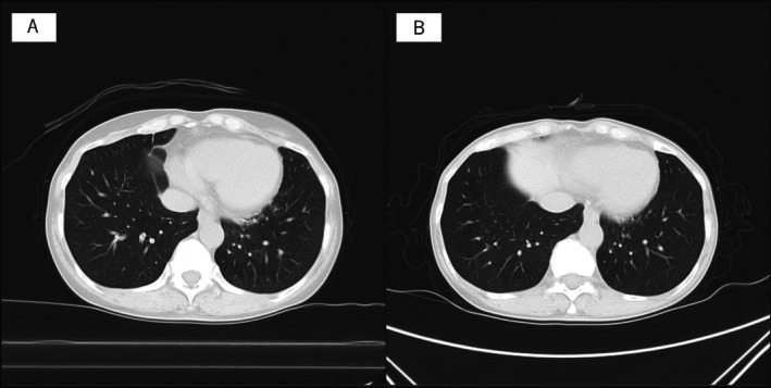
2019冠状病毒病(COVID-19)可导致呼吸系统后遗症,包括支气管扩张。虽然结核病后的支气管扩张是许多细菌感染/定植的滋生地,但很少有报道称COVID-19后的支气管扩张是细菌感染/定植的温床。我们报告了一例69岁的女性,她在COVID-19肺炎后出现支气管扩张。患者在新冠肺炎前5年胸部CT未见异常。她在COVID-19后出现持续咳嗽和痰,在COVID-19后的胸部CT显示新的支气管扩张。一年后,因慢性呼吸道感染反复加重,痰中检出流感嗜血杆菌,转至我科就诊。该病例突出了流感嗜血杆菌在covid -19后支气管扩张中感染/定植的可能性。虽然到目前为止,COVID-19后慢性气道感染合并支气管扩张的报道很少,但长期呼吸随访和细菌定植管理对这些患者未来至关重要。该病例提示,在支气管扩张的情况下,COVID-19可使个体易发生细菌感染,这强调了在COVID-19后气道管理中保持警惕的必要性。
本文章由计算机程序翻译,如有差异,请以英文原文为准。

A Case of <i>Haemophilus influenzae</i> Colonisation in Bronchiectasis Following COVID-19: Post-COVID-19 Bronchiectasis as a Structural Hotbed for Chronic Airway Infections.

A Case of <i>Haemophilus influenzae</i> Colonisation in Bronchiectasis Following COVID-19: Post-COVID-19 Bronchiectasis as a Structural Hotbed for Chronic Airway Infections.

A Case of <i>Haemophilus influenzae</i> Colonisation in Bronchiectasis Following COVID-19: Post-COVID-19 Bronchiectasis as a Structural Hotbed for Chronic Airway Infections.

A Case of Haemophilus influenzae Colonisation in Bronchiectasis Following COVID-19: Post-COVID-19 Bronchiectasis as a Structural Hotbed for Chronic Airway Infections.

Coronavirus Disease 2019 (COVID-19) can lead to respiratory sequelae, including bronchiectasis. While bronchiectasis following tuberculosis is a breeding ground for many bacterial infections/colonisation, there are few reports of bronchiectasis following COVID-19 being a hotbed for bacterial infection/colonisation. We present a case of a 69-year-old female who developed bronchiectasis following COVID-19 pneumonia. The patient had no abnormal findings on chest CT scan for 5 years before COVID-19. She developed persistent cough and sputum after COVID-19 and chest CT just after COVID-19 revealed new bronchiectasis. One year later, she was introduced to our department for repeating exacerbation of chronic respiratory infection, and Haemophilus influenzae was detected in sputum. This case highlights the potential for H. influenzae to infect/colonise in post-COVID-19 bronchiectasis. While there have been few reports of chronic airway infection complicating bronchiectasis after COVID-19 until now, long-term respiratory follow-up and management of bacterial colonisation are crucial in these patients in the future. This case suggests that COVID-19 can predispose individuals to bacterial infection in the setting of bronchiectasis, emphasising the need for vigilance in post-COVID-19 airway management.

求助全文
通过发布文献求助,成功后即可免费获取论文全文。 去求助
来源期刊
Respirology Case Reports
Respirology Case Reports RESPIRATORY SYSTEM-
CiteScore
1.40
自引率
0.00%
发文量
178
审稿时长
8 weeks
期刊介绍: Respirology Case Reports is an open-access online journal dedicated to the publication of original clinical case reports, case series, clinical images and clinical videos in all fields of respiratory medicine. The Journal encourages the international exchange between clinicians and researchers of experiences in diagnosing and treating uncommon diseases or diseases with unusual presentations. All manuscripts are peer-reviewed through a streamlined process that aims at providing a rapid turnaround time from submission to publication.
×
引用
GB/T 7714-2015
复制
MLA
复制
APA
复制
导出至
BibTeX EndNote RefMan NoteFirst NoteExpress
×
提示
您的信息不完整,为了账户安全,请先补充。
现在去补充
×
提示
您因"违规操作"
具体请查看互助需知
我知道了
×
提示
确定
请完成安全验证×
copy
已复制链接
快去分享给好友吧!
我知道了
右上角分享
点击右上角分享
0
联系我们:info@booksci.cn Book学术提供免费学术资源搜索服务,方便国内外学者检索中英文文献。致力于提供最便捷和优质的服务体验。 Copyright © 2023 布克学术 All rights reserved.
京ICP备2023020795号-1
ghs 京公网安备 11010802042870号
Book学术文献互助
Book学术文献互助群
群 号:604180095
Book学术官方微信