肺朗格汉斯细胞组织细胞增多症:一个病例系列和文献复习。

IF 1.3 Q3 RADIOLOGY, NUCLEAR MEDICINE & MEDICAL IMAGING
Journal of Clinical Imaging Science Pub Date : 2025-06-10 eCollection Date: 2025-01-01 DOI:10.25259/JCIS_42_2025
Roberto G Carbone, Anja C Roden, Christopher C Huntley, Francesco Puppo
{"title":"肺朗格汉斯细胞组织细胞增多症:一个病例系列和文献复习。","authors":"Roberto G Carbone, Anja C Roden, Christopher C Huntley, Francesco Puppo","doi":"10.25259/JCIS_42_2025","DOIUrl":null,"url":null,"abstract":"<p><p>Pulmonary Langerhans cell histiocytosis (PLCH) is a rare diffuse parenchymal lung disease representing 3% of all interstitial lung diseases. PLCH occurs either as part of multi-system Langerhans cell histiocytosis (LCH) or an isolated disease of the lung. Isolated involvement of lungs is observed in approximately 50-70% of LCH cases and the age of onset peaks between 20 and 40 years without gender difference. Cigarette smoking is the only identified environmental risk factor. PLCH is characterized by Langerhans cell infiltrates that in general are in a bronchiolocentric distribution. Pulmonary lesions can occur after chronic systemic disease or are an initial sign of disease. The aims of this study are to (1) report five rare cases of PLCH in adults; (2) discuss the relationship of PLCH with interstitial lung fibrosis; (3) provide a concise review of PLCH epidemiology, pathophysiology, diagnosis, treatment, and prognosis to improve the knowledge of PLCH by pneumologists and internal medicine physicians.</p>","PeriodicalId":15512,"journal":{"name":"Journal of Clinical Imaging Science","volume":"15 ","pages":"21"},"PeriodicalIF":1.3000,"publicationDate":"2025-06-10","publicationTypes":"Journal Article","fieldsOfStudy":null,"isOpenAccess":false,"openAccessPdf":"https://www.ncbi.nlm.nih.gov/pmc/articles/PMC12289103/pdf/","citationCount":"0","resultStr":"{\"title\":\"Pulmonary Langerhans cell histiocytosis: A case series and literature review.\",\"authors\":\"Roberto G Carbone, Anja C Roden, Christopher C Huntley, Francesco Puppo\",\"doi\":\"10.25259/JCIS_42_2025\",\"DOIUrl\":null,\"url\":null,\"abstract\":\"<p><p>Pulmonary Langerhans cell histiocytosis (PLCH) is a rare diffuse parenchymal lung disease representing 3% of all interstitial lung diseases. PLCH occurs either as part of multi-system Langerhans cell histiocytosis (LCH) or an isolated disease of the lung. Isolated involvement of lungs is observed in approximately 50-70% of LCH cases and the age of onset peaks between 20 and 40 years without gender difference. Cigarette smoking is the only identified environmental risk factor. PLCH is characterized by Langerhans cell infiltrates that in general are in a bronchiolocentric distribution. Pulmonary lesions can occur after chronic systemic disease or are an initial sign of disease. The aims of this study are to (1) report five rare cases of PLCH in adults; (2) discuss the relationship of PLCH with interstitial lung fibrosis; (3) provide a concise review of PLCH epidemiology, pathophysiology, diagnosis, treatment, and prognosis to improve the knowledge of PLCH by pneumologists and internal medicine physicians.</p>\",\"PeriodicalId\":15512,\"journal\":{\"name\":\"Journal of Clinical Imaging Science\",\"volume\":\"15 \",\"pages\":\"21\"},\"PeriodicalIF\":1.3000,\"publicationDate\":\"2025-06-10\",\"publicationTypes\":\"Journal Article\",\"fieldsOfStudy\":null,\"isOpenAccess\":false,\"openAccessPdf\":\"https://www.ncbi.nlm.nih.gov/pmc/articles/PMC12289103/pdf/\",\"citationCount\":\"0\",\"resultStr\":null,\"platform\":\"Semanticscholar\",\"paperid\":null,\"PeriodicalName\":\"Journal of Clinical Imaging Science\",\"FirstCategoryId\":\"1085\",\"ListUrlMain\":\"https://doi.org/10.25259/JCIS_42_2025\",\"RegionNum\":0,\"RegionCategory\":null,\"ArticlePicture\":[],\"TitleCN\":null,\"AbstractTextCN\":null,\"PMCID\":null,\"EPubDate\":\"2025/1/1 0:00:00\",\"PubModel\":\"eCollection\",\"JCR\":\"Q3\",\"JCRName\":\"RADIOLOGY, NUCLEAR MEDICINE & MEDICAL IMAGING\",\"Score\":null,\"Total\":0}","platform":"Semanticscholar","paperid":null,"PeriodicalName":"Journal of Clinical Imaging Science","FirstCategoryId":"1085","ListUrlMain":"https://doi.org/10.25259/JCIS_42_2025","RegionNum":0,"RegionCategory":null,"ArticlePicture":[],"TitleCN":null,"AbstractTextCN":null,"PMCID":null,"EPubDate":"2025/1/1 0:00:00","PubModel":"eCollection","JCR":"Q3","JCRName":"RADIOLOGY, NUCLEAR MEDICINE & MEDICAL IMAGING","Score":null,"Total":0}
引用次数: 0

摘要

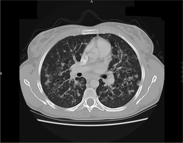
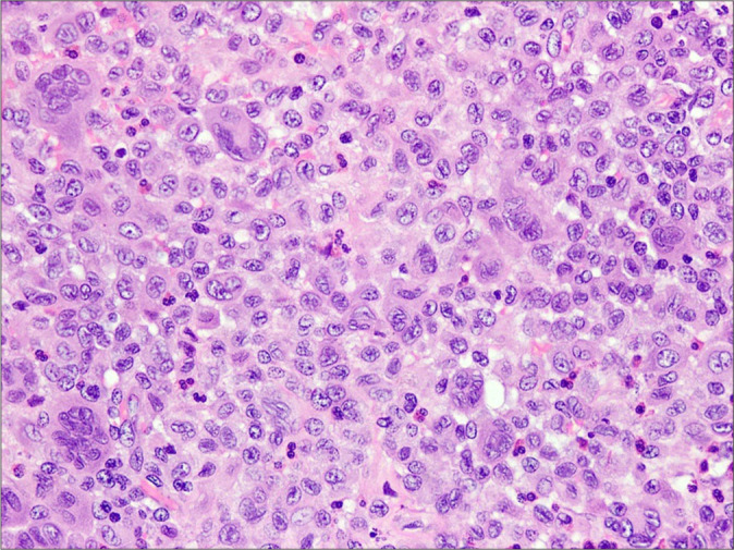
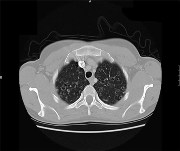
肺朗格汉斯细胞组织细胞增多症(PLCH)是一种罕见的弥漫性肺实质疾病,占所有间质性肺疾病的3%。PLCH既可作为多系统朗格汉斯细胞组织细胞增多症(LCH)的一部分发生,也可作为孤立的肺部疾病发生。在大约50-70%的LCH病例中观察到孤立的肺部受累,发病年龄在20 - 40岁之间无性别差异。吸烟是唯一确定的环境风险因素。PLCH的特点是朗格汉斯细胞浸润,通常以细支气管为中心分布。肺部病变可能发生在慢性全身性疾病之后,也可能是疾病的最初征兆。本研究的目的是(1)报告5例罕见的成人PLCH病例;(2)探讨PLCH与间质性肺纤维化的关系;(3)对PLCH的流行病学、病理生理学、诊断、治疗和预后进行简明的综述,以提高肺科医生和内科医生对PLCH的认识。
本文章由计算机程序翻译,如有差异,请以英文原文为准。

Pulmonary Langerhans cell histiocytosis: A case series and literature review.

Pulmonary Langerhans cell histiocytosis: A case series and literature review.

Pulmonary Langerhans cell histiocytosis: A case series and literature review.

Pulmonary Langerhans cell histiocytosis: A case series and literature review.

Pulmonary Langerhans cell histiocytosis (PLCH) is a rare diffuse parenchymal lung disease representing 3% of all interstitial lung diseases. PLCH occurs either as part of multi-system Langerhans cell histiocytosis (LCH) or an isolated disease of the lung. Isolated involvement of lungs is observed in approximately 50-70% of LCH cases and the age of onset peaks between 20 and 40 years without gender difference. Cigarette smoking is the only identified environmental risk factor. PLCH is characterized by Langerhans cell infiltrates that in general are in a bronchiolocentric distribution. Pulmonary lesions can occur after chronic systemic disease or are an initial sign of disease. The aims of this study are to (1) report five rare cases of PLCH in adults; (2) discuss the relationship of PLCH with interstitial lung fibrosis; (3) provide a concise review of PLCH epidemiology, pathophysiology, diagnosis, treatment, and prognosis to improve the knowledge of PLCH by pneumologists and internal medicine physicians.

求助全文
通过发布文献求助,成功后即可免费获取论文全文。 去求助
来源期刊
Journal of Clinical Imaging Science
Journal of Clinical Imaging Science RADIOLOGY, NUCLEAR MEDICINE & MEDICAL IMAGING-
CiteScore
2.00
自引率
0.00%
发文量
65
期刊介绍: The Journal of Clinical Imaging Science (JCIS) is an open access peer-reviewed journal committed to publishing high-quality articles in the field of Imaging Science. The journal aims to present Imaging Science and relevant clinical information in an understandable and useful format. The journal is owned and published by the Scientific Scholar. Audience Our audience includes Radiologists, Researchers, Clinicians, medical professionals and students. Review process JCIS has a highly rigorous peer-review process that makes sure that manuscripts are scientifically accurate, relevant, novel and important. Authors disclose all conflicts, affiliations and financial associations such that the published content is not biased.
×
引用
GB/T 7714-2015
复制
MLA
复制
APA
复制
导出至
BibTeX EndNote RefMan NoteFirst NoteExpress
×
提示
您的信息不完整,为了账户安全,请先补充。
现在去补充
×
提示
您因"违规操作"
具体请查看互助需知
我知道了
×
提示
确定
请完成安全验证×
copy
已复制链接
快去分享给好友吧!
我知道了
右上角分享
点击右上角分享
0
联系我们:info@booksci.cn Book学术提供免费学术资源搜索服务,方便国内外学者检索中英文文献。致力于提供最便捷和优质的服务体验。 Copyright © 2023 布克学术 All rights reserved.
京ICP备2023020795号-1
ghs 京公网安备 11010802042870号
Book学术文献互助
Book学术文献互助群
群 号:604180095
Book学术官方微信