钝性外伤性下腔静脉损伤伴安全带综合征:诊断和非手术治疗的关键作用。

IF 1.3 Q3 RADIOLOGY, NUCLEAR MEDICINE & MEDICAL IMAGING
Journal of Clinical Imaging Science Pub Date : 2025-06-02 eCollection Date: 2025-01-01 DOI:10.25259/JCIS_39_2025
Emika Murasawa, Komei Kameyama, Hajime Nakae, Naoko Mori
{"title":"钝性外伤性下腔静脉损伤伴安全带综合征:诊断和非手术治疗的关键作用。","authors":"Emika Murasawa, Komei Kameyama, Hajime Nakae, Naoko Mori","doi":"10.25259/JCIS_39_2025","DOIUrl":null,"url":null,"abstract":"<p><p>Blunt traumatic inferior vena cava (IVC) injury is rare and presents diagnostic and therapeutic challenges. We report a case of blunt traumatic IVC injury associated with bowel perforation and spinal cord injury, successfully managed with non-operative conservative treatment. A 57-year-old woman sustained injuries in a motor vehicle collision with a seatbelt fastened. Computed tomography (CT) revealed an irregular IVC contour at the infrarenal level and a retroperitoneal hematoma, leading to the diagnosis of blunt traumatic IVC injury. Free intraperitoneal air suggested bowel perforation, and magnetic resonance imaging confirmed a C5/6 spinal cord injury. This combination of injuries may raise suspicion for a seatbelt injury pattern. The bowel perforation was surgically treated, and posterior fixation was performed for the spinal injury. Since the patient remained hemodynamically stable, conservative management was selected for the IVC injury. Follow-up CT revealed a reduction in the retroperitoneal hematoma and improvement in the IVC contour, indicating successful conservative treatment. Blunt traumatic IVC injury is rare, and some cases do not exhibit contrast media extravasation. In this case, the diagnosis was based on IVC contour abnormalities and retroperitoneal hematoma. Considering the patient's stable hemodynamics, conservative treatment was selected. Careful interpretation of CT findings is essential for diagnosing IVC injury, and appropriate clinical judgment is key to achieving successful non-operative management in selected cases.</p>","PeriodicalId":15512,"journal":{"name":"Journal of Clinical Imaging Science","volume":"15 ","pages":"20"},"PeriodicalIF":1.3000,"publicationDate":"2025-06-02","publicationTypes":"Journal Article","fieldsOfStudy":null,"isOpenAccess":false,"openAccessPdf":"https://www.ncbi.nlm.nih.gov/pmc/articles/PMC12289102/pdf/","citationCount":"0","resultStr":"{\"title\":\"Blunt traumatic inferior vena cava injury associated with seatbelt syndrome: The critical role of diagnosis and non-operative management.\",\"authors\":\"Emika Murasawa, Komei Kameyama, Hajime Nakae, Naoko Mori\",\"doi\":\"10.25259/JCIS_39_2025\",\"DOIUrl\":null,\"url\":null,\"abstract\":\"<p><p>Blunt traumatic inferior vena cava (IVC) injury is rare and presents diagnostic and therapeutic challenges. We report a case of blunt traumatic IVC injury associated with bowel perforation and spinal cord injury, successfully managed with non-operative conservative treatment. A 57-year-old woman sustained injuries in a motor vehicle collision with a seatbelt fastened. Computed tomography (CT) revealed an irregular IVC contour at the infrarenal level and a retroperitoneal hematoma, leading to the diagnosis of blunt traumatic IVC injury. Free intraperitoneal air suggested bowel perforation, and magnetic resonance imaging confirmed a C5/6 spinal cord injury. This combination of injuries may raise suspicion for a seatbelt injury pattern. The bowel perforation was surgically treated, and posterior fixation was performed for the spinal injury. Since the patient remained hemodynamically stable, conservative management was selected for the IVC injury. Follow-up CT revealed a reduction in the retroperitoneal hematoma and improvement in the IVC contour, indicating successful conservative treatment. Blunt traumatic IVC injury is rare, and some cases do not exhibit contrast media extravasation. In this case, the diagnosis was based on IVC contour abnormalities and retroperitoneal hematoma. Considering the patient's stable hemodynamics, conservative treatment was selected. Careful interpretation of CT findings is essential for diagnosing IVC injury, and appropriate clinical judgment is key to achieving successful non-operative management in selected cases.</p>\",\"PeriodicalId\":15512,\"journal\":{\"name\":\"Journal of Clinical Imaging Science\",\"volume\":\"15 \",\"pages\":\"20\"},\"PeriodicalIF\":1.3000,\"publicationDate\":\"2025-06-02\",\"publicationTypes\":\"Journal Article\",\"fieldsOfStudy\":null,\"isOpenAccess\":false,\"openAccessPdf\":\"https://www.ncbi.nlm.nih.gov/pmc/articles/PMC12289102/pdf/\",\"citationCount\":\"0\",\"resultStr\":null,\"platform\":\"Semanticscholar\",\"paperid\":null,\"PeriodicalName\":\"Journal of Clinical Imaging Science\",\"FirstCategoryId\":\"1085\",\"ListUrlMain\":\"https://doi.org/10.25259/JCIS_39_2025\",\"RegionNum\":0,\"RegionCategory\":null,\"ArticlePicture\":[],\"TitleCN\":null,\"AbstractTextCN\":null,\"PMCID\":null,\"EPubDate\":\"2025/1/1 0:00:00\",\"PubModel\":\"eCollection\",\"JCR\":\"Q3\",\"JCRName\":\"RADIOLOGY, NUCLEAR MEDICINE & MEDICAL IMAGING\",\"Score\":null,\"Total\":0}","platform":"Semanticscholar","paperid":null,"PeriodicalName":"Journal of Clinical Imaging Science","FirstCategoryId":"1085","ListUrlMain":"https://doi.org/10.25259/JCIS_39_2025","RegionNum":0,"RegionCategory":null,"ArticlePicture":[],"TitleCN":null,"AbstractTextCN":null,"PMCID":null,"EPubDate":"2025/1/1 0:00:00","PubModel":"eCollection","JCR":"Q3","JCRName":"RADIOLOGY, NUCLEAR MEDICINE & MEDICAL IMAGING","Score":null,"Total":0}
引用次数: 0

摘要

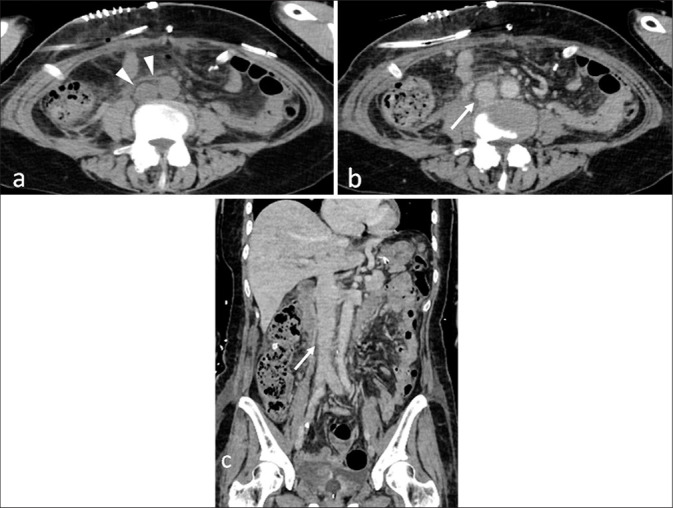
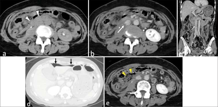
钝性外伤性下腔静脉(IVC)损伤是罕见的,提出了诊断和治疗的挑战。我们报告一例钝性外伤性下腔静脉损伤合并肠穿孔和脊髓损伤,成功地通过非手术保守治疗。一名57岁的妇女在一辆未系安全带的机动车碰撞中受伤。计算机断层扫描(CT)显示在肾下水平不规则的下腔静脉轮廓和腹膜后血肿,导致钝性外伤性下腔静脉损伤的诊断。腹腔内自由空气提示肠穿孔,磁共振成像证实C5/6脊髓损伤。这种伤害的组合可能会引起安全带伤害模式的怀疑。手术治疗肠穿孔,脊柱损伤后路固定。由于患者血流动力学稳定,下腔静脉损伤选择保守治疗。随访CT显示腹膜后血肿减少,下腔静脉轮廓改善,表明保守治疗成功。钝性外伤性下腔静脉损伤是罕见的,一些病例不表现造影剂外渗。在这个病例中,诊断是基于下腔静脉轮廓异常和腹膜后血肿。考虑到患者血流动力学稳定,选择保守治疗。仔细解读CT表现对诊断下腔静脉损伤至关重要,适当的临床判断是成功非手术治疗的关键。
本文章由计算机程序翻译,如有差异,请以英文原文为准。

Blunt traumatic inferior vena cava injury associated with seatbelt syndrome: The critical role of diagnosis and non-operative management.

Blunt traumatic inferior vena cava injury associated with seatbelt syndrome: The critical role of diagnosis and non-operative management.

Blunt traumatic inferior vena cava injury associated with seatbelt syndrome: The critical role of diagnosis and non-operative management.

Blunt traumatic inferior vena cava (IVC) injury is rare and presents diagnostic and therapeutic challenges. We report a case of blunt traumatic IVC injury associated with bowel perforation and spinal cord injury, successfully managed with non-operative conservative treatment. A 57-year-old woman sustained injuries in a motor vehicle collision with a seatbelt fastened. Computed tomography (CT) revealed an irregular IVC contour at the infrarenal level and a retroperitoneal hematoma, leading to the diagnosis of blunt traumatic IVC injury. Free intraperitoneal air suggested bowel perforation, and magnetic resonance imaging confirmed a C5/6 spinal cord injury. This combination of injuries may raise suspicion for a seatbelt injury pattern. The bowel perforation was surgically treated, and posterior fixation was performed for the spinal injury. Since the patient remained hemodynamically stable, conservative management was selected for the IVC injury. Follow-up CT revealed a reduction in the retroperitoneal hematoma and improvement in the IVC contour, indicating successful conservative treatment. Blunt traumatic IVC injury is rare, and some cases do not exhibit contrast media extravasation. In this case, the diagnosis was based on IVC contour abnormalities and retroperitoneal hematoma. Considering the patient's stable hemodynamics, conservative treatment was selected. Careful interpretation of CT findings is essential for diagnosing IVC injury, and appropriate clinical judgment is key to achieving successful non-operative management in selected cases.

求助全文
通过发布文献求助,成功后即可免费获取论文全文。 去求助
来源期刊
Journal of Clinical Imaging Science
Journal of Clinical Imaging Science RADIOLOGY, NUCLEAR MEDICINE & MEDICAL IMAGING-
CiteScore
2.00
自引率
0.00%
发文量
65
期刊介绍: The Journal of Clinical Imaging Science (JCIS) is an open access peer-reviewed journal committed to publishing high-quality articles in the field of Imaging Science. The journal aims to present Imaging Science and relevant clinical information in an understandable and useful format. The journal is owned and published by the Scientific Scholar. Audience Our audience includes Radiologists, Researchers, Clinicians, medical professionals and students. Review process JCIS has a highly rigorous peer-review process that makes sure that manuscripts are scientifically accurate, relevant, novel and important. Authors disclose all conflicts, affiliations and financial associations such that the published content is not biased.
×
引用
GB/T 7714-2015
复制
MLA
复制
APA
复制
导出至
BibTeX EndNote RefMan NoteFirst NoteExpress
×
提示
您的信息不完整,为了账户安全,请先补充。
现在去补充
×
提示
您因"违规操作"
具体请查看互助需知
我知道了
×
提示
确定
请完成安全验证×
copy
已复制链接
快去分享给好友吧!
我知道了
右上角分享
点击右上角分享
0
联系我们:info@booksci.cn Book学术提供免费学术资源搜索服务,方便国内外学者检索中英文文献。致力于提供最便捷和优质的服务体验。 Copyright © 2023 布克学术 All rights reserved.
京ICP备2023020795号-1
ghs 京公网安备 11010802042870号
Book学术文献互助
Book学术文献互助群
群 号:604180095
Book学术官方微信