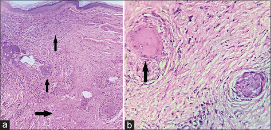
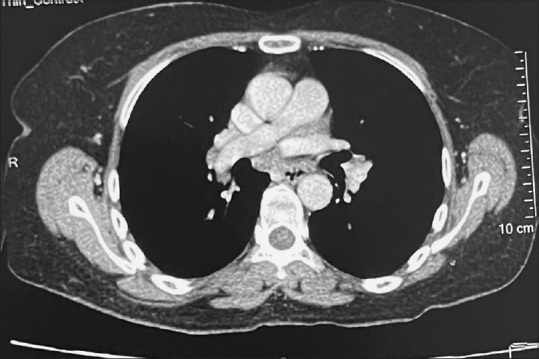
形态结节病是一种非常罕见的结节病,并附文献综述。

IF 2 Q3 DERMATOLOGY
Indian Dermatology Online Journal Pub Date : 2025-09-01 Epub Date: 2025-06-10 DOI:10.4103/idoj.idoj_596_24
Cinderella Xson, S Pradeep Nair, T Kabilan
{"title":"形态结节病是一种非常罕见的结节病,并附文献综述。","authors":"Cinderella Xson, S Pradeep Nair, T Kabilan","doi":"10.4103/idoj.idoj_596_24","DOIUrl":null,"url":null,"abstract":"","PeriodicalId":13335,"journal":{"name":"Indian Dermatology Online Journal","volume":" ","pages":"854-856"},"PeriodicalIF":2.0000,"publicationDate":"2025-09-01","publicationTypes":"Journal Article","fieldsOfStudy":null,"isOpenAccess":false,"openAccessPdf":"https://www.ncbi.nlm.nih.gov/pmc/articles/PMC12419706/pdf/","citationCount":"0","resultStr":"{\"title\":\"Morpheaform Sarcoidosis - A Very Rare Presentation of Sarcoidosis with a Brief Review of Literature.\",\"authors\":\"Cinderella Xson, S Pradeep Nair, T Kabilan\",\"doi\":\"10.4103/idoj.idoj_596_24\",\"DOIUrl\":null,\"url\":null,\"abstract\":\"\",\"PeriodicalId\":13335,\"journal\":{\"name\":\"Indian Dermatology Online Journal\",\"volume\":\" \",\"pages\":\"854-856\"},\"PeriodicalIF\":2.0000,\"publicationDate\":\"2025-09-01\",\"publicationTypes\":\"Journal Article\",\"fieldsOfStudy\":null,\"isOpenAccess\":false,\"openAccessPdf\":\"https://www.ncbi.nlm.nih.gov/pmc/articles/PMC12419706/pdf/\",\"citationCount\":\"0\",\"resultStr\":null,\"platform\":\"Semanticscholar\",\"paperid\":null,\"PeriodicalName\":\"Indian Dermatology Online Journal\",\"FirstCategoryId\":\"1085\",\"ListUrlMain\":\"https://doi.org/10.4103/idoj.idoj_596_24\",\"RegionNum\":0,\"RegionCategory\":null,\"ArticlePicture\":[],\"TitleCN\":null,\"AbstractTextCN\":null,\"PMCID\":null,\"EPubDate\":\"2025/6/10 0:00:00\",\"PubModel\":\"Epub\",\"JCR\":\"Q3\",\"JCRName\":\"DERMATOLOGY\",\"Score\":null,\"Total\":0}","platform":"Semanticscholar","paperid":null,"PeriodicalName":"Indian Dermatology Online Journal","FirstCategoryId":"1085","ListUrlMain":"https://doi.org/10.4103/idoj.idoj_596_24","RegionNum":0,"RegionCategory":null,"ArticlePicture":[],"TitleCN":null,"AbstractTextCN":null,"PMCID":null,"EPubDate":"2025/6/10 0:00:00","PubModel":"Epub","JCR":"Q3","JCRName":"DERMATOLOGY","Score":null,"Total":0}
引用次数: 0

摘要

本文章由计算机程序翻译,如有差异,请以英文原文为准。

Morpheaform Sarcoidosis - A Very Rare Presentation of Sarcoidosis with a Brief Review of Literature.

Morpheaform Sarcoidosis - A Very Rare Presentation of Sarcoidosis with a Brief Review of Literature.

Morpheaform Sarcoidosis - A Very Rare Presentation of Sarcoidosis with a Brief Review of Literature.

Morpheaform Sarcoidosis - A Very Rare Presentation of Sarcoidosis with a Brief Review of Literature.
求助全文
通过发布文献求助,成功后即可免费获取论文全文。 去求助
来源期刊
CiteScore
2.00
自引率
11.80%
发文量
201
审稿时长
49 weeks
×
引用
GB/T 7714-2015
复制
MLA
复制
APA
复制
导出至
BibTeX EndNote RefMan NoteFirst NoteExpress
×
提示
您的信息不完整,为了账户安全,请先补充。
现在去补充
×
提示
您因"违规操作"
具体请查看互助需知
我知道了
×
提示
确定
请完成安全验证×
copy
已复制链接
快去分享给好友吧!
我知道了
右上角分享
点击右上角分享
0
联系我们:info@booksci.cn Book学术提供免费学术资源搜索服务,方便国内外学者检索中英文文献。致力于提供最便捷和优质的服务体验。 Copyright © 2023 布克学术 All rights reserved.
京ICP备2023020795号-1
ghs 京公网安备 11010802042870号
Book学术文献互助
Book学术文献互助群
群 号:604180095
Book学术官方微信