类天疱疮扁平苔藓:12例印度患者的临床、组织病理学和免疫学报告。

IF 2 Q3 DERMATOLOGY
Indian Dermatology Online Journal Pub Date : 2025-09-01 Epub Date: 2025-05-26 DOI:10.4103/idoj.idoj_763_24
Dipankar De, Akash P Mustari, Debajyoti Chatterjee, Rahul Mahajan, Vinod Kumar, Sanjeev Handa
{"title":"类天疱疮扁平苔藓:12例印度患者的临床、组织病理学和免疫学报告。","authors":"Dipankar De, Akash P Mustari, Debajyoti Chatterjee, Rahul Mahajan, Vinod Kumar, Sanjeev Handa","doi":"10.4103/idoj.idoj_763_24","DOIUrl":null,"url":null,"abstract":"<p><strong>Background: </strong>Lichen planus pemphigoides (LPP) is a rare autoimmune subepidermal blistering disease presenting with lichenoid papules and plaques and tense blisters. There is a paucity of literature on LPP globally.</p><p><strong>Objective: </strong>To report the clinico-demographic profile, histopathology, immunological features, and associated comorbidities in LPP patients.</p><p><strong>Patients and methods: </strong>This was a retrospective study, where past records of all LPP patients diagnosed and treated between November 2013 and October 2022 were included. Patients having a compatible clinical presentation with histopathological and immunological (direct immunofluorescence) evidence of LPP were included.</p><p><strong>Results: </strong>There were 12 LPP patients, with a female-to-male ratio of 2:1. The mean age at diagnosis was 49.6 years and the mean duration of illness before presentation was 3.1 years. Clinical presentation included tense blisters and lichenoid lesions. Oral mucosal involvement was seen in six (50%) patients. Comorbidities were present in three patients. Histopathology showed a subepidermal split in 10 (83.3%), basal cell damage and pigment incontinence in four (33.3%), hypergranulosis and apoptotic keratinocytes in two (16.7%), and lichenoid infiltrate in papillary dermis in one (8.3%) patient. Perilesional direct immunofluorescence (DIF) revealed linear deposits of immunoglobulin G (IgG) and complement component 3 (C3) at the dermo-epidermal junction. The salt-split indirect immunofluorescence done in three patients showed roof binding. Enzyme-linked immunosorbent assay (ELISA) done in three patients showed antibodies against BP180. The majority of patients (83.3%) were treated with oral prednisolone, either alone (16.7%) or in combination (83.3%) with adjuvants.</p><p><strong>Limitations: </strong>Retrospective design and small sample size are the limitations.</p><p><strong>Conclusion: </strong>LPP is a rare subepidermal blistering disorder seen more commonly in adult females. DIF, ELISA, and salt-split indirect immunofluorescence are helpful tools in confirming the diagnosis of LPP and differentiating from bullous lichen planus. Oral corticosteroids comprised the mainstay of therapy. Azathioprine or dapsone were commonly used adjuvants.</p>","PeriodicalId":13335,"journal":{"name":"Indian Dermatology Online Journal","volume":" ","pages":"751-754"},"PeriodicalIF":2.0000,"publicationDate":"2025-09-01","publicationTypes":"Journal Article","fieldsOfStudy":null,"isOpenAccess":false,"openAccessPdf":"https://www.ncbi.nlm.nih.gov/pmc/articles/PMC12419719/pdf/","citationCount":"0","resultStr":"{\"title\":\"Lichen Planus Pemphigoides: A Clinical, Histopathological, and Immunological Report of 12 Indian Patients.\",\"authors\":\"Dipankar De, Akash P Mustari, Debajyoti Chatterjee, Rahul Mahajan, Vinod Kumar, Sanjeev Handa\",\"doi\":\"10.4103/idoj.idoj_763_24\",\"DOIUrl\":null,\"url\":null,\"abstract\":\"<p><strong>Background: </strong>Lichen planus pemphigoides (LPP) is a rare autoimmune subepidermal blistering disease presenting with lichenoid papules and plaques and tense blisters. There is a paucity of literature on LPP globally.</p><p><strong>Objective: </strong>To report the clinico-demographic profile, histopathology, immunological features, and associated comorbidities in LPP patients.</p><p><strong>Patients and methods: </strong>This was a retrospective study, where past records of all LPP patients diagnosed and treated between November 2013 and October 2022 were included. Patients having a compatible clinical presentation with histopathological and immunological (direct immunofluorescence) evidence of LPP were included.</p><p><strong>Results: </strong>There were 12 LPP patients, with a female-to-male ratio of 2:1. The mean age at diagnosis was 49.6 years and the mean duration of illness before presentation was 3.1 years. Clinical presentation included tense blisters and lichenoid lesions. Oral mucosal involvement was seen in six (50%) patients. Comorbidities were present in three patients. Histopathology showed a subepidermal split in 10 (83.3%), basal cell damage and pigment incontinence in four (33.3%), hypergranulosis and apoptotic keratinocytes in two (16.7%), and lichenoid infiltrate in papillary dermis in one (8.3%) patient. Perilesional direct immunofluorescence (DIF) revealed linear deposits of immunoglobulin G (IgG) and complement component 3 (C3) at the dermo-epidermal junction. The salt-split indirect immunofluorescence done in three patients showed roof binding. Enzyme-linked immunosorbent assay (ELISA) done in three patients showed antibodies against BP180. The majority of patients (83.3%) were treated with oral prednisolone, either alone (16.7%) or in combination (83.3%) with adjuvants.</p><p><strong>Limitations: </strong>Retrospective design and small sample size are the limitations.</p><p><strong>Conclusion: </strong>LPP is a rare subepidermal blistering disorder seen more commonly in adult females. DIF, ELISA, and salt-split indirect immunofluorescence are helpful tools in confirming the diagnosis of LPP and differentiating from bullous lichen planus. Oral corticosteroids comprised the mainstay of therapy. Azathioprine or dapsone were commonly used adjuvants.</p>\",\"PeriodicalId\":13335,\"journal\":{\"name\":\"Indian Dermatology Online Journal\",\"volume\":\" \",\"pages\":\"751-754\"},\"PeriodicalIF\":2.0000,\"publicationDate\":\"2025-09-01\",\"publicationTypes\":\"Journal Article\",\"fieldsOfStudy\":null,\"isOpenAccess\":false,\"openAccessPdf\":\"https://www.ncbi.nlm.nih.gov/pmc/articles/PMC12419719/pdf/\",\"citationCount\":\"0\",\"resultStr\":null,\"platform\":\"Semanticscholar\",\"paperid\":null,\"PeriodicalName\":\"Indian Dermatology Online Journal\",\"FirstCategoryId\":\"1085\",\"ListUrlMain\":\"https://doi.org/10.4103/idoj.idoj_763_24\",\"RegionNum\":0,\"RegionCategory\":null,\"ArticlePicture\":[],\"TitleCN\":null,\"AbstractTextCN\":null,\"PMCID\":null,\"EPubDate\":\"2025/5/26 0:00:00\",\"PubModel\":\"Epub\",\"JCR\":\"Q3\",\"JCRName\":\"DERMATOLOGY\",\"Score\":null,\"Total\":0}","platform":"Semanticscholar","paperid":null,"PeriodicalName":"Indian Dermatology Online Journal","FirstCategoryId":"1085","ListUrlMain":"https://doi.org/10.4103/idoj.idoj_763_24","RegionNum":0,"RegionCategory":null,"ArticlePicture":[],"TitleCN":null,"AbstractTextCN":null,"PMCID":null,"EPubDate":"2025/5/26 0:00:00","PubModel":"Epub","JCR":"Q3","JCRName":"DERMATOLOGY","Score":null,"Total":0}
引用次数: 0

摘要

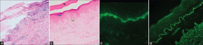
背景:扁平苔藓类天疱疮(LPP)是一种罕见的自身免疫性表皮下起泡性疾病,表现为地衣样丘疹、斑块和紧张性水泡。在全球范围内,关于LPP的文献很少。目的:报道LPP患者的临床人口学特征、组织病理学、免疫学特征和相关合并症。患者和方法:这是一项回顾性研究,纳入了2013年11月至2022年10月期间诊断和治疗的所有LPP患者的既往记录。临床表现与组织病理学和免疫(直接免疫荧光)证据一致的LPP患者被纳入研究。结果:LPP患者12例,男女比例为2:1。诊断时的平均年龄为49.6岁,就诊前的平均病程为3.1年。临床表现为紧张性水泡和地衣样病变。口腔黏膜受累6例(50%)。3例患者存在合并症。组织病理学表现为10例(83.3%)皮下分裂,4例(33.3%)基底细胞损伤和色素失禁,2例(16.7%)颗粒过多和角化细胞凋亡,1例(8.3%)乳头状真皮中地衣样细胞浸润。病灶周围直接免疫荧光(DIF)显示免疫球蛋白G (IgG)和补体成分3 (C3)在真皮-表皮交界处呈线性沉积。在3例患者中进行的盐裂间接免疫荧光显示屋顶结合。3例患者的酶联免疫吸附试验(ELISA)显示BP180抗体。大多数患者(83.3%)接受口服强的松龙治疗,单独(16.7%)或与佐剂联合(83.3%)。局限性:回顾性设计和小样本量是局限性。结论:LPP是一种罕见的表皮下起疱性疾病,多见于成年女性。DIF、ELISA和盐裂间接免疫荧光是确定LPP诊断和与大疱性扁平地衣鉴别的有用工具。口服皮质类固醇是主要的治疗方法。硫唑嘌呤或氨苯砜是常用的佐剂。
本文章由计算机程序翻译,如有差异,请以英文原文为准。

Lichen Planus Pemphigoides: A Clinical, Histopathological, and Immunological Report of 12 Indian Patients.

Lichen Planus Pemphigoides: A Clinical, Histopathological, and Immunological Report of 12 Indian Patients.

Lichen Planus Pemphigoides: A Clinical, Histopathological, and Immunological Report of 12 Indian Patients.

Background: Lichen planus pemphigoides (LPP) is a rare autoimmune subepidermal blistering disease presenting with lichenoid papules and plaques and tense blisters. There is a paucity of literature on LPP globally.

Objective: To report the clinico-demographic profile, histopathology, immunological features, and associated comorbidities in LPP patients.

Patients and methods: This was a retrospective study, where past records of all LPP patients diagnosed and treated between November 2013 and October 2022 were included. Patients having a compatible clinical presentation with histopathological and immunological (direct immunofluorescence) evidence of LPP were included.

Results: There were 12 LPP patients, with a female-to-male ratio of 2:1. The mean age at diagnosis was 49.6 years and the mean duration of illness before presentation was 3.1 years. Clinical presentation included tense blisters and lichenoid lesions. Oral mucosal involvement was seen in six (50%) patients. Comorbidities were present in three patients. Histopathology showed a subepidermal split in 10 (83.3%), basal cell damage and pigment incontinence in four (33.3%), hypergranulosis and apoptotic keratinocytes in two (16.7%), and lichenoid infiltrate in papillary dermis in one (8.3%) patient. Perilesional direct immunofluorescence (DIF) revealed linear deposits of immunoglobulin G (IgG) and complement component 3 (C3) at the dermo-epidermal junction. The salt-split indirect immunofluorescence done in three patients showed roof binding. Enzyme-linked immunosorbent assay (ELISA) done in three patients showed antibodies against BP180. The majority of patients (83.3%) were treated with oral prednisolone, either alone (16.7%) or in combination (83.3%) with adjuvants.

Limitations: Retrospective design and small sample size are the limitations.

Conclusion: LPP is a rare subepidermal blistering disorder seen more commonly in adult females. DIF, ELISA, and salt-split indirect immunofluorescence are helpful tools in confirming the diagnosis of LPP and differentiating from bullous lichen planus. Oral corticosteroids comprised the mainstay of therapy. Azathioprine or dapsone were commonly used adjuvants.

求助全文
通过发布文献求助,成功后即可免费获取论文全文。 去求助
来源期刊
CiteScore
2.00
自引率
11.80%
发文量
201
审稿时长
49 weeks
×
引用
GB/T 7714-2015
复制
MLA
复制
APA
复制
导出至
BibTeX EndNote RefMan NoteFirst NoteExpress
×
提示
您的信息不完整,为了账户安全,请先补充。
现在去补充
×
提示
您因"违规操作"
具体请查看互助需知
我知道了
×
提示
确定
请完成安全验证×
copy
已复制链接
快去分享给好友吧!
我知道了
右上角分享
点击右上角分享
0
联系我们:info@booksci.cn Book学术提供免费学术资源搜索服务,方便国内外学者检索中英文文献。致力于提供最便捷和优质的服务体验。 Copyright © 2023 布克学术 All rights reserved.
京ICP备2023020795号-1
ghs 京公网安备 11010802042870号
Book学术文献互助
Book学术文献互助群
群 号:604180095
Book学术官方微信