下肢皮肤角与环形肉芽肿的发展:罕见的共同发生。

IF 2.2 4区 医学 Q3 DERMATOLOGY
Clinical, Cosmetic and Investigational Dermatology Pub Date : 2025-07-19 eCollection Date: 2025-01-01 DOI:10.2147/CCID.S520386
Xiaolin Bu, Liwei Feng, Jing Guo, Rongzhu Yu, Xinling Bi
{"title":"下肢皮肤角与环形肉芽肿的发展:罕见的共同发生。","authors":"Xiaolin Bu, Liwei Feng, Jing Guo, Rongzhu Yu, Xinling Bi","doi":"10.2147/CCID.S520386","DOIUrl":null,"url":null,"abstract":"<p><p>A 65-year-old Asian male presented with a circular skin lesion on the flexor aspect of the right calf that first appeared at age 13 and gradually expanded peripherally. Six months prior to presentation, a dark brown, horn-like keratotic lesion with a hard texture emerged on the annular lesion, growing progressively without pain or pruritus. The cutaneous horn was surgically excised, and the annular lesion underwent biopsy. Pathological findings revealed abundant mucin in dermal collagen, dense histiocyte infiltration, and focal mild collagen degeneration, confirming a diagnosis of granuloma annulare complicated by a cutaneous horn.</p>","PeriodicalId":10447,"journal":{"name":"Clinical, Cosmetic and Investigational Dermatology","volume":"18 ","pages":"1753-1756"},"PeriodicalIF":2.2000,"publicationDate":"2025-07-19","publicationTypes":"Journal Article","fieldsOfStudy":null,"isOpenAccess":false,"openAccessPdf":"https://www.ncbi.nlm.nih.gov/pmc/articles/PMC12288219/pdf/","citationCount":"0","resultStr":"{\"title\":\"Development of a Cutaneous Horn on a Lower Extremity with Granuloma Annulare: A Rare Co-Occurrence.\",\"authors\":\"Xiaolin Bu, Liwei Feng, Jing Guo, Rongzhu Yu, Xinling Bi\",\"doi\":\"10.2147/CCID.S520386\",\"DOIUrl\":null,\"url\":null,\"abstract\":\"<p><p>A 65-year-old Asian male presented with a circular skin lesion on the flexor aspect of the right calf that first appeared at age 13 and gradually expanded peripherally. Six months prior to presentation, a dark brown, horn-like keratotic lesion with a hard texture emerged on the annular lesion, growing progressively without pain or pruritus. The cutaneous horn was surgically excised, and the annular lesion underwent biopsy. Pathological findings revealed abundant mucin in dermal collagen, dense histiocyte infiltration, and focal mild collagen degeneration, confirming a diagnosis of granuloma annulare complicated by a cutaneous horn.</p>\",\"PeriodicalId\":10447,\"journal\":{\"name\":\"Clinical, Cosmetic and Investigational Dermatology\",\"volume\":\"18 \",\"pages\":\"1753-1756\"},\"PeriodicalIF\":2.2000,\"publicationDate\":\"2025-07-19\",\"publicationTypes\":\"Journal Article\",\"fieldsOfStudy\":null,\"isOpenAccess\":false,\"openAccessPdf\":\"https://www.ncbi.nlm.nih.gov/pmc/articles/PMC12288219/pdf/\",\"citationCount\":\"0\",\"resultStr\":null,\"platform\":\"Semanticscholar\",\"paperid\":null,\"PeriodicalName\":\"Clinical, Cosmetic and Investigational Dermatology\",\"FirstCategoryId\":\"3\",\"ListUrlMain\":\"https://doi.org/10.2147/CCID.S520386\",\"RegionNum\":4,\"RegionCategory\":\"医学\",\"ArticlePicture\":[],\"TitleCN\":null,\"AbstractTextCN\":null,\"PMCID\":null,\"EPubDate\":\"2025/1/1 0:00:00\",\"PubModel\":\"eCollection\",\"JCR\":\"Q3\",\"JCRName\":\"DERMATOLOGY\",\"Score\":null,\"Total\":0}","platform":"Semanticscholar","paperid":null,"PeriodicalName":"Clinical, Cosmetic and Investigational Dermatology","FirstCategoryId":"3","ListUrlMain":"https://doi.org/10.2147/CCID.S520386","RegionNum":4,"RegionCategory":"医学","ArticlePicture":[],"TitleCN":null,"AbstractTextCN":null,"PMCID":null,"EPubDate":"2025/1/1 0:00:00","PubModel":"eCollection","JCR":"Q3","JCRName":"DERMATOLOGY","Score":null,"Total":0}
引用次数: 0

摘要

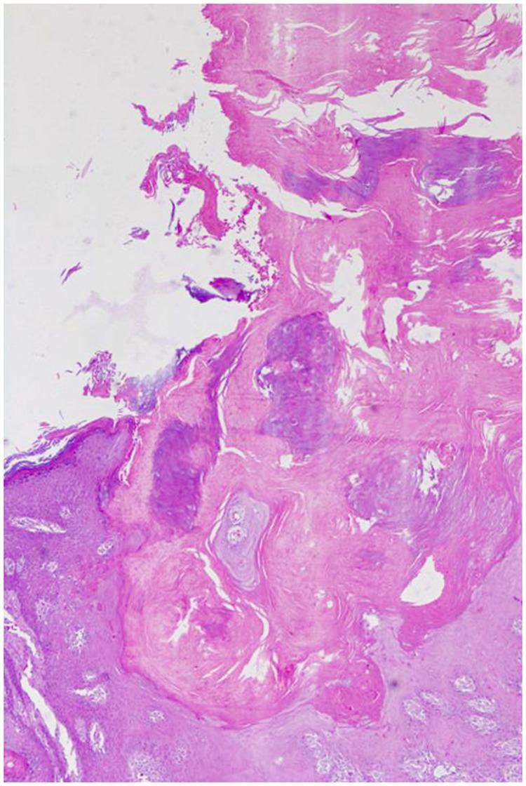
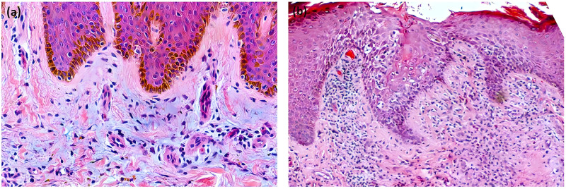
65岁亚洲男性,右小腿屈肌侧出现圆形皮肤病变,首次出现于13岁,并逐渐向周围扩展。在发病前6个月,环状病变上出现深棕色角状角膜病变,质地坚硬,逐渐生长,无疼痛或瘙痒。手术切除皮角,并对环形病变进行活检。病理结果显示真皮胶原蛋白中有丰富的粘蛋白,致密的组织细胞浸润,局灶性轻度胶原变性,确认诊断为环形肉芽肿合并皮角。
本文章由计算机程序翻译,如有差异,请以英文原文为准。

Development of a Cutaneous Horn on a Lower Extremity with Granuloma Annulare: A Rare Co-Occurrence.

Development of a Cutaneous Horn on a Lower Extremity with Granuloma Annulare: A Rare Co-Occurrence.

Development of a Cutaneous Horn on a Lower Extremity with Granuloma Annulare: A Rare Co-Occurrence.

Development of a Cutaneous Horn on a Lower Extremity with Granuloma Annulare: A Rare Co-Occurrence.

A 65-year-old Asian male presented with a circular skin lesion on the flexor aspect of the right calf that first appeared at age 13 and gradually expanded peripherally. Six months prior to presentation, a dark brown, horn-like keratotic lesion with a hard texture emerged on the annular lesion, growing progressively without pain or pruritus. The cutaneous horn was surgically excised, and the annular lesion underwent biopsy. Pathological findings revealed abundant mucin in dermal collagen, dense histiocyte infiltration, and focal mild collagen degeneration, confirming a diagnosis of granuloma annulare complicated by a cutaneous horn.

求助全文
通过发布文献求助,成功后即可免费获取论文全文。 去求助
来源期刊
CiteScore
2.80
自引率
4.30%
发文量
353
审稿时长
16 weeks
期刊介绍: Clinical, Cosmetic and Investigational Dermatology is an international, peer-reviewed, open access journal that focuses on the latest clinical and experimental research in all aspects of skin disease and cosmetic interventions. Normal and pathological processes in skin development and aging, their modification and treatment, as well as basic research into histology of dermal and dermal structures that provide clinical insights and potential treatment options are key topics for the journal. Patient satisfaction, preference, quality of life, compliance, persistence and their role in developing new management options to optimize outcomes for target conditions constitute major areas of interest. The journal is characterized by the rapid reporting of clinical studies, reviews and original research in skin research and skin care. All areas of dermatology will be covered; contributions will be welcomed from all clinicians and basic science researchers globally.
×
引用
GB/T 7714-2015
复制
MLA
复制
APA
复制
导出至
BibTeX EndNote RefMan NoteFirst NoteExpress
×
提示
您的信息不完整,为了账户安全,请先补充。
现在去补充
×
提示
您因"违规操作"
具体请查看互助需知
我知道了
×
提示
确定
请完成安全验证×
copy
已复制链接
快去分享给好友吧!
我知道了
右上角分享
点击右上角分享
0
联系我们:info@booksci.cn Book学术提供免费学术资源搜索服务,方便国内外学者检索中英文文献。致力于提供最便捷和优质的服务体验。 Copyright © 2023 布克学术 All rights reserved.
京ICP备2023020795号-1
ghs 京公网安备 11010802042870号
Book学术文献互助
Book学术文献互助群
群 号:604180095
Book学术官方微信