不寻常的腹膜后软组织肉瘤:巨大的假面舞者。

Guddi Rani Singh, Mamta Kumari, Ayushi Singh, Kshiti Atreya, Neetu Sinha, Debaditya Haldar
{"title":"不寻常的腹膜后软组织肉瘤:巨大的假面舞者。","authors":"Guddi Rani Singh, Mamta Kumari, Ayushi Singh, Kshiti Atreya, Neetu Sinha, Debaditya Haldar","doi":"10.71480/nmj.v66i2.618","DOIUrl":null,"url":null,"abstract":"<p><p>Soft tissue sarcomas (STS) in the retroperitoneum are rare and account for a small percentage of adult STS. The most common type is liposarcoma, while fibrosarcoma and extra skeletal Ewing sarcoma (EES) are rarer. Retroperitoneal fibrosarcoma's are extremely uncommon. Diagnosis requires a comprehensive evaluation including clinical, radiological, histopathological, and immunohistochemical examinations to determine the specific subtype of STS in the retroperitoneum. A 76-year-old male presented with a large retroperitoneal tumour. Surgery successfully removed the tumor which was diagnosed as dedifferentiated liposarcoma based on microscopic analysis and positive vimentin and MDM2 markers. We also report a case of 69-year-old male with a retroperitoneal mass that was ultimately diagnosed as adult fibrosarcoma after ruling out other possibilities. The third case was of 55-year-old female who presented with left lumbar pain, backache, and weight loss. Imaging revealed a retroperitoneal mass with hepatic metastasis. Histopathological examination and IHC analysis confirmed the diagnosis of extraskeletal Ewing sarcoma. The importance of accurate diagnosis through histopathological examination and immunohistochemical analysis is emphasized for effective management and prognosis.</p>","PeriodicalId":94346,"journal":{"name":"Nigerian medical journal : journal of the Nigeria Medical Association","volume":"66 2","pages":"783-790"},"PeriodicalIF":0.0000,"publicationDate":"2025-06-16","publicationTypes":"Journal Article","fieldsOfStudy":null,"isOpenAccess":false,"openAccessPdf":"https://www.ncbi.nlm.nih.gov/pmc/articles/PMC12280285/pdf/","citationCount":"0","resultStr":"{\"title\":\"Unusual Retroperitoneal Soft Tissue Sarcomas: Giant Masqueraders.\",\"authors\":\"Guddi Rani Singh, Mamta Kumari, Ayushi Singh, Kshiti Atreya, Neetu Sinha, Debaditya Haldar\",\"doi\":\"10.71480/nmj.v66i2.618\",\"DOIUrl\":null,\"url\":null,\"abstract\":\"<p><p>Soft tissue sarcomas (STS) in the retroperitoneum are rare and account for a small percentage of adult STS. The most common type is liposarcoma, while fibrosarcoma and extra skeletal Ewing sarcoma (EES) are rarer. Retroperitoneal fibrosarcoma's are extremely uncommon. Diagnosis requires a comprehensive evaluation including clinical, radiological, histopathological, and immunohistochemical examinations to determine the specific subtype of STS in the retroperitoneum. A 76-year-old male presented with a large retroperitoneal tumour. Surgery successfully removed the tumor which was diagnosed as dedifferentiated liposarcoma based on microscopic analysis and positive vimentin and MDM2 markers. We also report a case of 69-year-old male with a retroperitoneal mass that was ultimately diagnosed as adult fibrosarcoma after ruling out other possibilities. The third case was of 55-year-old female who presented with left lumbar pain, backache, and weight loss. Imaging revealed a retroperitoneal mass with hepatic metastasis. Histopathological examination and IHC analysis confirmed the diagnosis of extraskeletal Ewing sarcoma. The importance of accurate diagnosis through histopathological examination and immunohistochemical analysis is emphasized for effective management and prognosis.</p>\",\"PeriodicalId\":94346,\"journal\":{\"name\":\"Nigerian medical journal : journal of the Nigeria Medical Association\",\"volume\":\"66 2\",\"pages\":\"783-790\"},\"PeriodicalIF\":0.0000,\"publicationDate\":\"2025-06-16\",\"publicationTypes\":\"Journal Article\",\"fieldsOfStudy\":null,\"isOpenAccess\":false,\"openAccessPdf\":\"https://www.ncbi.nlm.nih.gov/pmc/articles/PMC12280285/pdf/\",\"citationCount\":\"0\",\"resultStr\":null,\"platform\":\"Semanticscholar\",\"paperid\":null,\"PeriodicalName\":\"Nigerian medical journal : journal of the Nigeria Medical Association\",\"FirstCategoryId\":\"1085\",\"ListUrlMain\":\"https://doi.org/10.71480/nmj.v66i2.618\",\"RegionNum\":0,\"RegionCategory\":null,\"ArticlePicture\":[],\"TitleCN\":null,\"AbstractTextCN\":null,\"PMCID\":null,\"EPubDate\":\"2025/3/1 0:00:00\",\"PubModel\":\"eCollection\",\"JCR\":\"\",\"JCRName\":\"\",\"Score\":null,\"Total\":0}","platform":"Semanticscholar","paperid":null,"PeriodicalName":"Nigerian medical journal : journal of the Nigeria Medical Association","FirstCategoryId":"1085","ListUrlMain":"https://doi.org/10.71480/nmj.v66i2.618","RegionNum":0,"RegionCategory":null,"ArticlePicture":[],"TitleCN":null,"AbstractTextCN":null,"PMCID":null,"EPubDate":"2025/3/1 0:00:00","PubModel":"eCollection","JCR":"","JCRName":"","Score":null,"Total":0}
引用次数: 0

摘要

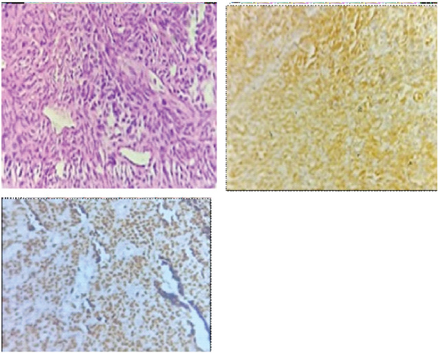
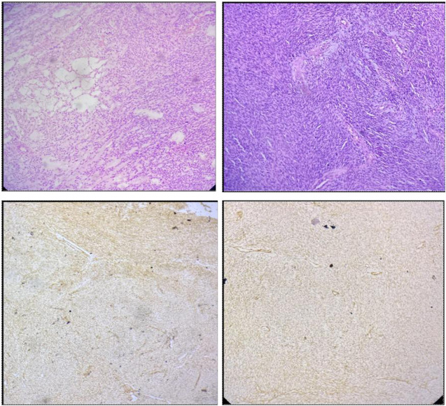
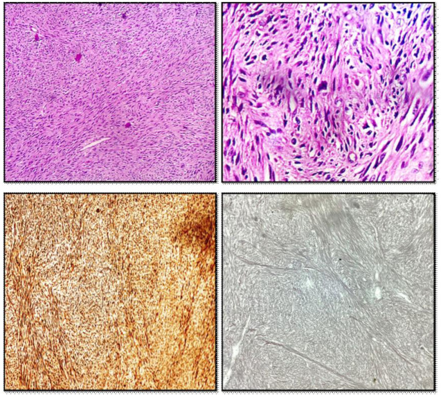
腹膜后软组织肉瘤(STS)是罕见的,占成人STS的一小部分。最常见的类型是脂肪肉瘤,而纤维肉瘤和额外的骨骼尤文氏肉瘤(EES)是罕见的。腹膜后纤维肉瘤极为罕见。诊断需要综合评估,包括临床、影像学、组织病理学和免疫组织化学检查,以确定腹膜后STS的具体亚型。76岁男性,腹膜后肿瘤大。手术成功切除肿瘤,根据显微镜分析和阳性波形蛋白和MDM2标记物诊断为去分化脂肪肉瘤。我们也报告一例69岁男性腹膜后肿块,排除其他可能性后最终诊断为成人纤维肉瘤。第三例为55岁女性,表现为左腰痛、背痛和体重减轻。影像学显示腹膜后肿块伴肝转移。组织病理学检查和免疫组化分析证实了骨骼外尤文氏肉瘤的诊断。强调通过组织病理学检查和免疫组织化学分析准确诊断对有效治疗和预后的重要性。
本文章由计算机程序翻译,如有差异,请以英文原文为准。

Unusual Retroperitoneal Soft Tissue Sarcomas: Giant Masqueraders.

Unusual Retroperitoneal Soft Tissue Sarcomas: Giant Masqueraders.

Unusual Retroperitoneal Soft Tissue Sarcomas: Giant Masqueraders.

Unusual Retroperitoneal Soft Tissue Sarcomas: Giant Masqueraders.

Soft tissue sarcomas (STS) in the retroperitoneum are rare and account for a small percentage of adult STS. The most common type is liposarcoma, while fibrosarcoma and extra skeletal Ewing sarcoma (EES) are rarer. Retroperitoneal fibrosarcoma's are extremely uncommon. Diagnosis requires a comprehensive evaluation including clinical, radiological, histopathological, and immunohistochemical examinations to determine the specific subtype of STS in the retroperitoneum. A 76-year-old male presented with a large retroperitoneal tumour. Surgery successfully removed the tumor which was diagnosed as dedifferentiated liposarcoma based on microscopic analysis and positive vimentin and MDM2 markers. We also report a case of 69-year-old male with a retroperitoneal mass that was ultimately diagnosed as adult fibrosarcoma after ruling out other possibilities. The third case was of 55-year-old female who presented with left lumbar pain, backache, and weight loss. Imaging revealed a retroperitoneal mass with hepatic metastasis. Histopathological examination and IHC analysis confirmed the diagnosis of extraskeletal Ewing sarcoma. The importance of accurate diagnosis through histopathological examination and immunohistochemical analysis is emphasized for effective management and prognosis.

求助全文
通过发布文献求助,成功后即可免费获取论文全文。 去求助
来源期刊
自引率
0.00%
发文量
0
×
引用
GB/T 7714-2015
复制
MLA
复制
APA
复制
导出至
BibTeX EndNote RefMan NoteFirst NoteExpress
×
提示
您的信息不完整,为了账户安全,请先补充。
现在去补充
×
提示
您因"违规操作"
具体请查看互助需知
我知道了
×
提示
确定
请完成安全验证×
copy
已复制链接
快去分享给好友吧!
我知道了
右上角分享
点击右上角分享
0
联系我们:info@booksci.cn Book学术提供免费学术资源搜索服务,方便国内外学者检索中英文文献。致力于提供最便捷和优质的服务体验。 Copyright © 2023 布克学术 All rights reserved.
京ICP备2023020795号-1
ghs 京公网安备 11010802042870号
Book学术文献互助
Book学术文献互助群
群 号:604180095
Book学术官方微信