加纳一家三级医院宫颈癌中Bcl-2和EGFR蛋白的免疫组织化学分析

Babatunde Moses Duduyemi, Ebenezer Kojo Addae, Francis Opoku, Kweku Bedu-Addo
{"title":"加纳一家三级医院宫颈癌中Bcl-2和EGFR蛋白的免疫组织化学分析","authors":"Babatunde Moses Duduyemi, Ebenezer Kojo Addae, Francis Opoku, Kweku Bedu-Addo","doi":"10.71480/nmj.v66i2.713","DOIUrl":null,"url":null,"abstract":"<p><strong>Background: </strong>Using Immunohistochemistry (IHC) to assess the expression of EGFR and Bcl-2, and their correlations with clinicopathological features in a cohort of cervical cancer cases.</p><p><strong>Methodology: </strong>A retrospective and descriptive study in Komfo Anokye Teaching Hospital (KATH) Kumasi, Ghana. Patients were women diagnosed with cervical cancer at KATH from January 2015 to December 2016. For inclusion, suitable archived formalin fixed paraffin-embedded (FFPE) cases with adequately preserved tissue blocks and available clinicopathological data were selected for Tissue Microarray (TMA), otherwise, the cases were excluded. One hundred and thirty-five out of 230 cervical cases met the inclusion criteria. IHC assesses EGFR and Bcl-2 expressions, correlating with clinicopathological features in cervical cancer cases, enhancing molecular-clinical insights in the Ghanaian context.</p><p><strong>Results: </strong>The mean age of the cases was 58.9 (SD ± 17.88). Predominantly, 96.3% of the cases were of the squamous cell carcinoma (SCC) subtype. The majority of the cases (49.63%) were grade III. EGFR and Bcl-2 were expressed in 35.2% and 25.7% of the cases, respectively. Neither EGFR nor Bcl-2 showed any significant correlation with age, subtype, and histological grade. Significant inverse correlation was, however, observed between EGFR and Bcl-2 expression (P<0.001).</p><p><strong>Conclusion: </strong>The age stratification shown in this study confirms earlier reports of late age at diagnosis, mostly observed in our setting, and therefore emphasizes the need for effective and population-wide screening programs to ensure early diagnosis. The significant inverse correlation between EGFR and Bcl-2, suggestively leans towards a possible role played by EGFR in downregulating Bcl-2.</p>","PeriodicalId":94346,"journal":{"name":"Nigerian medical journal : journal of the Nigeria Medical Association","volume":"66 2","pages":"575-585"},"PeriodicalIF":0.0000,"publicationDate":"2025-06-16","publicationTypes":"Journal Article","fieldsOfStudy":null,"isOpenAccess":false,"openAccessPdf":"https://www.ncbi.nlm.nih.gov/pmc/articles/PMC12280280/pdf/","citationCount":"0","resultStr":"{\"title\":\"Immunohistochemical profiling of Bcl-2 and EGFR proteins in cervical carcinoma at a tertiary hospital in Ghana.\",\"authors\":\"Babatunde Moses Duduyemi, Ebenezer Kojo Addae, Francis Opoku, Kweku Bedu-Addo\",\"doi\":\"10.71480/nmj.v66i2.713\",\"DOIUrl\":null,\"url\":null,\"abstract\":\"<p><strong>Background: </strong>Using Immunohistochemistry (IHC) to assess the expression of EGFR and Bcl-2, and their correlations with clinicopathological features in a cohort of cervical cancer cases.</p><p><strong>Methodology: </strong>A retrospective and descriptive study in Komfo Anokye Teaching Hospital (KATH) Kumasi, Ghana. Patients were women diagnosed with cervical cancer at KATH from January 2015 to December 2016. For inclusion, suitable archived formalin fixed paraffin-embedded (FFPE) cases with adequately preserved tissue blocks and available clinicopathological data were selected for Tissue Microarray (TMA), otherwise, the cases were excluded. One hundred and thirty-five out of 230 cervical cases met the inclusion criteria. IHC assesses EGFR and Bcl-2 expressions, correlating with clinicopathological features in cervical cancer cases, enhancing molecular-clinical insights in the Ghanaian context.</p><p><strong>Results: </strong>The mean age of the cases was 58.9 (SD ± 17.88). Predominantly, 96.3% of the cases were of the squamous cell carcinoma (SCC) subtype. The majority of the cases (49.63%) were grade III. EGFR and Bcl-2 were expressed in 35.2% and 25.7% of the cases, respectively. Neither EGFR nor Bcl-2 showed any significant correlation with age, subtype, and histological grade. Significant inverse correlation was, however, observed between EGFR and Bcl-2 expression (P<0.001).</p><p><strong>Conclusion: </strong>The age stratification shown in this study confirms earlier reports of late age at diagnosis, mostly observed in our setting, and therefore emphasizes the need for effective and population-wide screening programs to ensure early diagnosis. The significant inverse correlation between EGFR and Bcl-2, suggestively leans towards a possible role played by EGFR in downregulating Bcl-2.</p>\",\"PeriodicalId\":94346,\"journal\":{\"name\":\"Nigerian medical journal : journal of the Nigeria Medical Association\",\"volume\":\"66 2\",\"pages\":\"575-585\"},\"PeriodicalIF\":0.0000,\"publicationDate\":\"2025-06-16\",\"publicationTypes\":\"Journal Article\",\"fieldsOfStudy\":null,\"isOpenAccess\":false,\"openAccessPdf\":\"https://www.ncbi.nlm.nih.gov/pmc/articles/PMC12280280/pdf/\",\"citationCount\":\"0\",\"resultStr\":null,\"platform\":\"Semanticscholar\",\"paperid\":null,\"PeriodicalName\":\"Nigerian medical journal : journal of the Nigeria Medical Association\",\"FirstCategoryId\":\"1085\",\"ListUrlMain\":\"https://doi.org/10.71480/nmj.v66i2.713\",\"RegionNum\":0,\"RegionCategory\":null,\"ArticlePicture\":[],\"TitleCN\":null,\"AbstractTextCN\":null,\"PMCID\":null,\"EPubDate\":\"2025/3/1 0:00:00\",\"PubModel\":\"eCollection\",\"JCR\":\"\",\"JCRName\":\"\",\"Score\":null,\"Total\":0}","platform":"Semanticscholar","paperid":null,"PeriodicalName":"Nigerian medical journal : journal of the Nigeria Medical Association","FirstCategoryId":"1085","ListUrlMain":"https://doi.org/10.71480/nmj.v66i2.713","RegionNum":0,"RegionCategory":null,"ArticlePicture":[],"TitleCN":null,"AbstractTextCN":null,"PMCID":null,"EPubDate":"2025/3/1 0:00:00","PubModel":"eCollection","JCR":"","JCRName":"","Score":null,"Total":0}
引用次数: 0

摘要

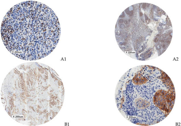
背景:应用免疫组化(IHC)技术评价宫颈癌患者EGFR和Bcl-2的表达及其与临床病理特征的相关性。方法:在加纳库马西Komfo Anokye教学医院(KATH)进行回顾性和描述性研究。患者为2015年1月至2016年12月在KATH诊断为宫颈癌的女性。为了纳入,选择合适的福尔马林固定石蜡包埋(FFPE)病例进行组织微阵列(TMA)检查,否则,排除病例。230例宫颈病例中有135例符合纳入标准。IHC评估EGFR和Bcl-2的表达,与宫颈癌病例的临床病理特征相关,增强了加纳背景下的分子临床见解。结果:患者平均年龄58.9岁(SD±17.88)。96.3%的病例为鳞状细胞癌(SCC)亚型。以ⅲ级为主(49.63%)。EGFR和Bcl-2分别在35.2%和25.7%的病例中表达。EGFR和Bcl-2与年龄、亚型和组织学分级均无显著相关性。然而,EGFR和Bcl-2表达之间存在显著的负相关(结论:本研究显示的年龄分层证实了早期诊断年龄较晚的报告,主要是在我们的环境中观察到的,因此强调需要有效的和人群范围的筛查计划来确保早期诊断。EGFR与Bcl-2呈显著负相关,提示EGFR可能在下调Bcl-2中发挥作用。
本文章由计算机程序翻译,如有差异,请以英文原文为准。

Immunohistochemical profiling of Bcl-2 and EGFR proteins in cervical carcinoma at a tertiary hospital in Ghana.

Immunohistochemical profiling of Bcl-2 and EGFR proteins in cervical carcinoma at a tertiary hospital in Ghana.

Background: Using Immunohistochemistry (IHC) to assess the expression of EGFR and Bcl-2, and their correlations with clinicopathological features in a cohort of cervical cancer cases.

Methodology: A retrospective and descriptive study in Komfo Anokye Teaching Hospital (KATH) Kumasi, Ghana. Patients were women diagnosed with cervical cancer at KATH from January 2015 to December 2016. For inclusion, suitable archived formalin fixed paraffin-embedded (FFPE) cases with adequately preserved tissue blocks and available clinicopathological data were selected for Tissue Microarray (TMA), otherwise, the cases were excluded. One hundred and thirty-five out of 230 cervical cases met the inclusion criteria. IHC assesses EGFR and Bcl-2 expressions, correlating with clinicopathological features in cervical cancer cases, enhancing molecular-clinical insights in the Ghanaian context.

Results: The mean age of the cases was 58.9 (SD ± 17.88). Predominantly, 96.3% of the cases were of the squamous cell carcinoma (SCC) subtype. The majority of the cases (49.63%) were grade III. EGFR and Bcl-2 were expressed in 35.2% and 25.7% of the cases, respectively. Neither EGFR nor Bcl-2 showed any significant correlation with age, subtype, and histological grade. Significant inverse correlation was, however, observed between EGFR and Bcl-2 expression (P<0.001).

Conclusion: The age stratification shown in this study confirms earlier reports of late age at diagnosis, mostly observed in our setting, and therefore emphasizes the need for effective and population-wide screening programs to ensure early diagnosis. The significant inverse correlation between EGFR and Bcl-2, suggestively leans towards a possible role played by EGFR in downregulating Bcl-2.

求助全文
通过发布文献求助,成功后即可免费获取论文全文。 去求助
来源期刊
自引率
0.00%
发文量
0
×
引用
GB/T 7714-2015
复制
MLA
复制
APA
复制
导出至
BibTeX EndNote RefMan NoteFirst NoteExpress
×
提示
您的信息不完整,为了账户安全,请先补充。
现在去补充
×
提示
您因"违规操作"
具体请查看互助需知
我知道了
×
提示
确定
请完成安全验证×
copy
已复制链接
快去分享给好友吧!
我知道了
右上角分享
点击右上角分享
0
联系我们:info@booksci.cn Book学术提供免费学术资源搜索服务,方便国内外学者检索中英文文献。致力于提供最便捷和优质的服务体验。 Copyright © 2023 布克学术 All rights reserved.
京ICP备2023020795号-1
ghs 京公网安备 11010802042870号
Book学术文献互助
Book学术文献互助群
群 号:604180095
Book学术官方微信