3岁男童主动脉缩窄表现为出血性脑卒中1例。

Efe Abolodje, Francis Chukwuebuka Campbell, Stellamaris Nwanneka Etumudor, Fred Ofakpo Ejumudo, Chukwuemeke Ovili
{"title":"3岁男童主动脉缩窄表现为出血性脑卒中1例。","authors":"Efe Abolodje, Francis Chukwuebuka Campbell, Stellamaris Nwanneka Etumudor, Fred Ofakpo Ejumudo, Chukwuemeke Ovili","doi":"10.71480/nmj.v66i2.710","DOIUrl":null,"url":null,"abstract":"<p><p>Coarctation of the aorta is an obstructive form of congenital heart defects that presents with upper limb hypertension. If untreated, Coarctation of the aorta can lead to left ventricular dysfunction and cerebral vasculopathy. Missed diagnosis due to its subtle presentation is common with attendant complications. This is a case report of an apparently healthy 3-year-old boy who lapsed into a coma after a trivial fall. He had upper limb hypertension and the pulses in the lower limbs were barely palpable. Brain computed tomography (CT) revealed non-traumatic haemorrhagic stroke and echocardiography showed severe left ventricular hypertrophy and severe coarctation of the aorta. Coarctation of the aorta can manifest as chronic upper limb hypertension in children with complicated non-traumatic haemorrhagic stroke. Routine blood pressure measurement in young children can serve as a screening tool for early diagnosis of the condition.</p>","PeriodicalId":94346,"journal":{"name":"Nigerian medical journal : journal of the Nigeria Medical Association","volume":"66 2","pages":"799-804"},"PeriodicalIF":0.0000,"publicationDate":"2025-06-16","publicationTypes":"Journal Article","fieldsOfStudy":null,"isOpenAccess":false,"openAccessPdf":"https://www.ncbi.nlm.nih.gov/pmc/articles/PMC12280325/pdf/","citationCount":"0","resultStr":"{\"title\":\"Coarctation of the Aorta Presenting as Haemorrhagic Stroke in a 3-Year-Old Boy- A Case Report.\",\"authors\":\"Efe Abolodje, Francis Chukwuebuka Campbell, Stellamaris Nwanneka Etumudor, Fred Ofakpo Ejumudo, Chukwuemeke Ovili\",\"doi\":\"10.71480/nmj.v66i2.710\",\"DOIUrl\":null,\"url\":null,\"abstract\":\"<p><p>Coarctation of the aorta is an obstructive form of congenital heart defects that presents with upper limb hypertension. If untreated, Coarctation of the aorta can lead to left ventricular dysfunction and cerebral vasculopathy. Missed diagnosis due to its subtle presentation is common with attendant complications. This is a case report of an apparently healthy 3-year-old boy who lapsed into a coma after a trivial fall. He had upper limb hypertension and the pulses in the lower limbs were barely palpable. Brain computed tomography (CT) revealed non-traumatic haemorrhagic stroke and echocardiography showed severe left ventricular hypertrophy and severe coarctation of the aorta. Coarctation of the aorta can manifest as chronic upper limb hypertension in children with complicated non-traumatic haemorrhagic stroke. Routine blood pressure measurement in young children can serve as a screening tool for early diagnosis of the condition.</p>\",\"PeriodicalId\":94346,\"journal\":{\"name\":\"Nigerian medical journal : journal of the Nigeria Medical Association\",\"volume\":\"66 2\",\"pages\":\"799-804\"},\"PeriodicalIF\":0.0000,\"publicationDate\":\"2025-06-16\",\"publicationTypes\":\"Journal Article\",\"fieldsOfStudy\":null,\"isOpenAccess\":false,\"openAccessPdf\":\"https://www.ncbi.nlm.nih.gov/pmc/articles/PMC12280325/pdf/\",\"citationCount\":\"0\",\"resultStr\":null,\"platform\":\"Semanticscholar\",\"paperid\":null,\"PeriodicalName\":\"Nigerian medical journal : journal of the Nigeria Medical Association\",\"FirstCategoryId\":\"1085\",\"ListUrlMain\":\"https://doi.org/10.71480/nmj.v66i2.710\",\"RegionNum\":0,\"RegionCategory\":null,\"ArticlePicture\":[],\"TitleCN\":null,\"AbstractTextCN\":null,\"PMCID\":null,\"EPubDate\":\"2025/3/1 0:00:00\",\"PubModel\":\"eCollection\",\"JCR\":\"\",\"JCRName\":\"\",\"Score\":null,\"Total\":0}","platform":"Semanticscholar","paperid":null,"PeriodicalName":"Nigerian medical journal : journal of the Nigeria Medical Association","FirstCategoryId":"1085","ListUrlMain":"https://doi.org/10.71480/nmj.v66i2.710","RegionNum":0,"RegionCategory":null,"ArticlePicture":[],"TitleCN":null,"AbstractTextCN":null,"PMCID":null,"EPubDate":"2025/3/1 0:00:00","PubModel":"eCollection","JCR":"","JCRName":"","Score":null,"Total":0}
引用次数: 0

摘要

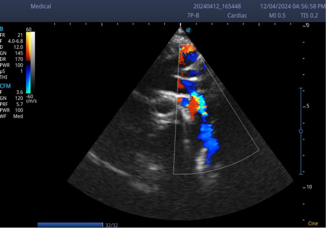
主动脉缩窄是一种梗阻性的先天性心脏缺陷,表现为上肢高血压。如果不及时治疗,主动脉缩窄可导致左心室功能障碍和脑血管病。由于其微妙的表现漏诊是常见的伴随并发症。这是一个病例报告,一个表面上健康的3岁男孩在轻微跌倒后陷入昏迷。他有上肢高血压,下肢脉搏几乎摸不到。脑部计算机断层扫描(CT)显示非外伤性出血性中风,超声心动图显示严重的左心室肥厚和主动脉严重缩窄。主动脉缩窄可表现为慢性上肢高血压患儿并发非外伤性出血性中风。幼儿常规血压测量可作为早期诊断的筛查工具。
本文章由计算机程序翻译,如有差异,请以英文原文为准。

Coarctation of the Aorta Presenting as Haemorrhagic Stroke in a 3-Year-Old Boy- A Case Report.

Coarctation of the Aorta Presenting as Haemorrhagic Stroke in a 3-Year-Old Boy- A Case Report.

Coarctation of the Aorta Presenting as Haemorrhagic Stroke in a 3-Year-Old Boy- A Case Report.

Coarctation of the Aorta Presenting as Haemorrhagic Stroke in a 3-Year-Old Boy- A Case Report.

Coarctation of the aorta is an obstructive form of congenital heart defects that presents with upper limb hypertension. If untreated, Coarctation of the aorta can lead to left ventricular dysfunction and cerebral vasculopathy. Missed diagnosis due to its subtle presentation is common with attendant complications. This is a case report of an apparently healthy 3-year-old boy who lapsed into a coma after a trivial fall. He had upper limb hypertension and the pulses in the lower limbs were barely palpable. Brain computed tomography (CT) revealed non-traumatic haemorrhagic stroke and echocardiography showed severe left ventricular hypertrophy and severe coarctation of the aorta. Coarctation of the aorta can manifest as chronic upper limb hypertension in children with complicated non-traumatic haemorrhagic stroke. Routine blood pressure measurement in young children can serve as a screening tool for early diagnosis of the condition.

求助全文
通过发布文献求助,成功后即可免费获取论文全文。 去求助
来源期刊
自引率
0.00%
发文量
0
×
引用
GB/T 7714-2015
复制
MLA
复制
APA
复制
导出至
BibTeX EndNote RefMan NoteFirst NoteExpress
×
提示
您的信息不完整,为了账户安全,请先补充。
现在去补充
×
提示
您因"违规操作"
具体请查看互助需知
我知道了
×
提示
确定
请完成安全验证×
copy
已复制链接
快去分享给好友吧!
我知道了
右上角分享
点击右上角分享
0
联系我们:info@booksci.cn Book学术提供免费学术资源搜索服务,方便国内外学者检索中英文文献。致力于提供最便捷和优质的服务体验。 Copyright © 2023 布克学术 All rights reserved.
京ICP备2023020795号-1
ghs 京公网安备 11010802042870号
Book学术文献互助
Book学术文献互助群
群 号:604180095
Book学术官方微信