年轻女性卵巢巨大囊性黏液交界性肿瘤:罕见病例报告。

Neelam Gupta, Deychen Myes, Kavya Avd, Sheetal Sharma
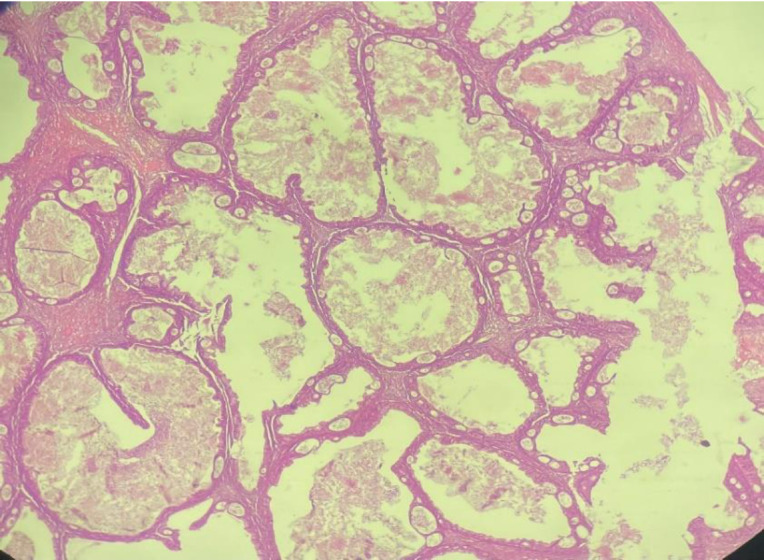
{"title":"年轻女性卵巢巨大囊性黏液交界性肿瘤:罕见病例报告。","authors":"Neelam Gupta, Deychen Myes, Kavya Avd, Sheetal Sharma","doi":"10.71480/nmj.v66i2.725","DOIUrl":null,"url":null,"abstract":"<p><p>Giant mucinous borderline tumours of the ovary are an unusual finding and pose a diagnostic challenge. We present a case of a 20-year-old unmarried, nulliparous female who presented with left quadrant pain and a progressively increasing abdomino-pelvic mass. Based on clinical and radiological investigations, a provisional diagnosis of mass arising from the ovary was made. The histopathological evaluation revealed it to be a mucinous borderline ovarian tumour.</p>","PeriodicalId":94346,"journal":{"name":"Nigerian medical journal : journal of the Nigeria Medical Association","volume":"66 2","pages":"834-840"},"PeriodicalIF":0.0000,"publicationDate":"2025-06-16","publicationTypes":"Journal Article","fieldsOfStudy":null,"isOpenAccess":false,"openAccessPdf":"https://www.ncbi.nlm.nih.gov/pmc/articles/PMC12280306/pdf/","citationCount":"0","resultStr":"{\"title\":\"Giant Cystic Mucinous Borderline Tumour of the Ovary in a Young Female: A Rare Case Report.\",\"authors\":\"Neelam Gupta, Deychen Myes, Kavya Avd, Sheetal Sharma\",\"doi\":\"10.71480/nmj.v66i2.725\",\"DOIUrl\":null,\"url\":null,\"abstract\":\"<p><p>Giant mucinous borderline tumours of the ovary are an unusual finding and pose a diagnostic challenge. We present a case of a 20-year-old unmarried, nulliparous female who presented with left quadrant pain and a progressively increasing abdomino-pelvic mass. Based on clinical and radiological investigations, a provisional diagnosis of mass arising from the ovary was made. The histopathological evaluation revealed it to be a mucinous borderline ovarian tumour.</p>\",\"PeriodicalId\":94346,\"journal\":{\"name\":\"Nigerian medical journal : journal of the Nigeria Medical Association\",\"volume\":\"66 2\",\"pages\":\"834-840\"},\"PeriodicalIF\":0.0000,\"publicationDate\":\"2025-06-16\",\"publicationTypes\":\"Journal Article\",\"fieldsOfStudy\":null,\"isOpenAccess\":false,\"openAccessPdf\":\"https://www.ncbi.nlm.nih.gov/pmc/articles/PMC12280306/pdf/\",\"citationCount\":\"0\",\"resultStr\":null,\"platform\":\"Semanticscholar\",\"paperid\":null,\"PeriodicalName\":\"Nigerian medical journal : journal of the Nigeria Medical Association\",\"FirstCategoryId\":\"1085\",\"ListUrlMain\":\"https://doi.org/10.71480/nmj.v66i2.725\",\"RegionNum\":0,\"RegionCategory\":null,\"ArticlePicture\":[],\"TitleCN\":null,\"AbstractTextCN\":null,\"PMCID\":null,\"EPubDate\":\"2025/3/1 0:00:00\",\"PubModel\":\"eCollection\",\"JCR\":\"\",\"JCRName\":\"\",\"Score\":null,\"Total\":0}","platform":"Semanticscholar","paperid":null,"PeriodicalName":"Nigerian medical journal : journal of the Nigeria Medical Association","FirstCategoryId":"1085","ListUrlMain":"https://doi.org/10.71480/nmj.v66i2.725","RegionNum":0,"RegionCategory":null,"ArticlePicture":[],"TitleCN":null,"AbstractTextCN":null,"PMCID":null,"EPubDate":"2025/3/1 0:00:00","PubModel":"eCollection","JCR":"","JCRName":"","Score":null,"Total":0}
引用次数: 0

摘要

卵巢巨大黏液交界性肿瘤是一种不寻常的发现,并提出了诊断挑战。我们提出了一个20岁的未婚,未生育的女性谁提出了左象限疼痛和逐渐增加的腹部-骨盆肿块。根据临床和放射学检查,初步诊断为卵巢肿块。组织病理学检查显示为黏液性交界性卵巢肿瘤。
本文章由计算机程序翻译,如有差异,请以英文原文为准。

Giant Cystic Mucinous Borderline Tumour of the Ovary in a Young Female: A Rare Case Report.

Giant Cystic Mucinous Borderline Tumour of the Ovary in a Young Female: A Rare Case Report.

Giant Cystic Mucinous Borderline Tumour of the Ovary in a Young Female: A Rare Case Report.

Giant Cystic Mucinous Borderline Tumour of the Ovary in a Young Female: A Rare Case Report.

Giant mucinous borderline tumours of the ovary are an unusual finding and pose a diagnostic challenge. We present a case of a 20-year-old unmarried, nulliparous female who presented with left quadrant pain and a progressively increasing abdomino-pelvic mass. Based on clinical and radiological investigations, a provisional diagnosis of mass arising from the ovary was made. The histopathological evaluation revealed it to be a mucinous borderline ovarian tumour.

求助全文
通过发布文献求助,成功后即可免费获取论文全文。 去求助
来源期刊
自引率
0.00%
发文量
0
×
引用
GB/T 7714-2015
复制
MLA
复制
APA
复制
导出至
BibTeX EndNote RefMan NoteFirst NoteExpress
×
提示
您的信息不完整,为了账户安全,请先补充。
现在去补充
×
提示
您因"违规操作"
具体请查看互助需知
我知道了
×
提示
确定
请完成安全验证×
copy
已复制链接
快去分享给好友吧!
我知道了
右上角分享
点击右上角分享
0
联系我们:info@booksci.cn Book学术提供免费学术资源搜索服务,方便国内外学者检索中英文文献。致力于提供最便捷和优质的服务体验。 Copyright © 2023 布克学术 All rights reserved.
京ICP备2023020795号-1
ghs 京公网安备 11010802042870号
Book学术文献互助
Book学术文献互助群
群 号:604180095
Book学术官方微信