两种脱蛋白骨移植材料在保存骨窝中的作用:临床和组织学研究。

IF 3.1 Q1 DENTISTRY, ORAL SURGERY & MEDICINE
Frontiers in oral health Pub Date : 2025-07-09 eCollection Date: 2025-01-01 DOI:10.3389/froh.2025.1630504
Marwa Madi, Nasser S Al-Naief, Adel S Alagl
{"title":"两种脱蛋白骨移植材料在保存骨窝中的作用:临床和组织学研究。","authors":"Marwa Madi, Nasser S Al-Naief, Adel S Alagl","doi":"10.3389/froh.2025.1630504","DOIUrl":null,"url":null,"abstract":"<p><strong>Objective: </strong>To evaluate dimensional changes and new bone formation using two deproteinized bovine bone minerals, NuOss and Bio-Oss, in socket preservation.</p><p><strong>Materials and methods: </strong>Eighteen patients (6 males, 12 females; aged 23-45 years) requiring posterior tooth extraction were enrolled. Eighteen extraction sockets were augmented with either NuOss or Bio-Oss and covered with a collagen membrane. After six months, Cone Beam Cephalometry (CBCT) assessed dimensional changes in buccolingual width and buccal bone thickness. Bone core biopsies were obtained during implant placement and decalcified for histomorphologic examination. Statistical analysis compared dimensional changes and histomorphometric parameters between groups.</p><p><strong>Results: </strong>All experimental sites healed uneventfully, with complete soft tissue healing within four weeks and successful implant placement. CBCT scans showed comparable, non-significant dimensional reductions. Histomorphologic examination revealed lamellar cortical bone and osteoid trabeculae with partial to optimal integration. NuOss demonstrated significantly higher new bone formation (52.5 ± 2.5%) compared to Bio-Oss (37.5 ± 2.5%; <i>p</i> = 0.0021), with lower residual graft material (27.5 ± 2.5% vs. 42.5 ± 2.5%; <i>p</i> = 0.0018). Bio-Oss grafted cases exhibited more pronounced inflammatory cell infiltration. Soft tissue proportions were similar between groups (NuOss: 22.5 ± 2.5%, Bio-Oss: 17.5 ± 2.5%; <i>p</i> = 0.0892).</p><p><strong>Conclusion: </strong>Both NuOss and Bio-Oss showed positive bone regeneration effects. However, NuOss demonstrated more favorable biocompatibility, with less inflammation and improved bone integration than Bio-Oss.</p>","PeriodicalId":94016,"journal":{"name":"Frontiers in oral health","volume":"6 ","pages":"1630504"},"PeriodicalIF":3.1000,"publicationDate":"2025-07-09","publicationTypes":"Journal Article","fieldsOfStudy":null,"isOpenAccess":false,"openAccessPdf":"https://www.ncbi.nlm.nih.gov/pmc/articles/PMC12283978/pdf/","citationCount":"0","resultStr":"{\"title\":\"Effect of two deproteinized bone graft materials for socket preservation: a clinical and histological study.\",\"authors\":\"Marwa Madi, Nasser S Al-Naief, Adel S Alagl\",\"doi\":\"10.3389/froh.2025.1630504\",\"DOIUrl\":null,\"url\":null,\"abstract\":\"<p><strong>Objective: </strong>To evaluate dimensional changes and new bone formation using two deproteinized bovine bone minerals, NuOss and Bio-Oss, in socket preservation.</p><p><strong>Materials and methods: </strong>Eighteen patients (6 males, 12 females; aged 23-45 years) requiring posterior tooth extraction were enrolled. Eighteen extraction sockets were augmented with either NuOss or Bio-Oss and covered with a collagen membrane. After six months, Cone Beam Cephalometry (CBCT) assessed dimensional changes in buccolingual width and buccal bone thickness. Bone core biopsies were obtained during implant placement and decalcified for histomorphologic examination. Statistical analysis compared dimensional changes and histomorphometric parameters between groups.</p><p><strong>Results: </strong>All experimental sites healed uneventfully, with complete soft tissue healing within four weeks and successful implant placement. CBCT scans showed comparable, non-significant dimensional reductions. Histomorphologic examination revealed lamellar cortical bone and osteoid trabeculae with partial to optimal integration. NuOss demonstrated significantly higher new bone formation (52.5 ± 2.5%) compared to Bio-Oss (37.5 ± 2.5%; <i>p</i> = 0.0021), with lower residual graft material (27.5 ± 2.5% vs. 42.5 ± 2.5%; <i>p</i> = 0.0018). Bio-Oss grafted cases exhibited more pronounced inflammatory cell infiltration. Soft tissue proportions were similar between groups (NuOss: 22.5 ± 2.5%, Bio-Oss: 17.5 ± 2.5%; <i>p</i> = 0.0892).</p><p><strong>Conclusion: </strong>Both NuOss and Bio-Oss showed positive bone regeneration effects. However, NuOss demonstrated more favorable biocompatibility, with less inflammation and improved bone integration than Bio-Oss.</p>\",\"PeriodicalId\":94016,\"journal\":{\"name\":\"Frontiers in oral health\",\"volume\":\"6 \",\"pages\":\"1630504\"},\"PeriodicalIF\":3.1000,\"publicationDate\":\"2025-07-09\",\"publicationTypes\":\"Journal Article\",\"fieldsOfStudy\":null,\"isOpenAccess\":false,\"openAccessPdf\":\"https://www.ncbi.nlm.nih.gov/pmc/articles/PMC12283978/pdf/\",\"citationCount\":\"0\",\"resultStr\":null,\"platform\":\"Semanticscholar\",\"paperid\":null,\"PeriodicalName\":\"Frontiers in oral health\",\"FirstCategoryId\":\"1085\",\"ListUrlMain\":\"https://doi.org/10.3389/froh.2025.1630504\",\"RegionNum\":0,\"RegionCategory\":null,\"ArticlePicture\":[],\"TitleCN\":null,\"AbstractTextCN\":null,\"PMCID\":null,\"EPubDate\":\"2025/1/1 0:00:00\",\"PubModel\":\"eCollection\",\"JCR\":\"Q1\",\"JCRName\":\"DENTISTRY, ORAL SURGERY & MEDICINE\",\"Score\":null,\"Total\":0}","platform":"Semanticscholar","paperid":null,"PeriodicalName":"Frontiers in oral health","FirstCategoryId":"1085","ListUrlMain":"https://doi.org/10.3389/froh.2025.1630504","RegionNum":0,"RegionCategory":null,"ArticlePicture":[],"TitleCN":null,"AbstractTextCN":null,"PMCID":null,"EPubDate":"2025/1/1 0:00:00","PubModel":"eCollection","JCR":"Q1","JCRName":"DENTISTRY, ORAL SURGERY & MEDICINE","Score":null,"Total":0}
引用次数: 0

摘要

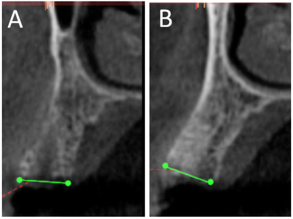
目的:评价两种脱蛋白牛骨矿物质(NuOss和Bio-Oss)在骨槽保存中的尺寸变化和新骨形成。材料与方法:18例患者(男6例,女12例;年龄23-45岁,需要拔牙。用NuOss或Bio-Oss填充18个拔牙槽,并覆盖胶原膜。六个月后,锥形束头测术(CBCT)评估颊舌宽度和颊骨厚度的尺寸变化。植入期间进行骨芯活检并脱钙进行组织形态学检查。统计学分析比较各组间的尺寸变化及组织形态学参数。结果:所有实验部位均顺利愈合,四周内软组织完全愈合,种植体植入成功。CBCT扫描显示类似的,不明显的尺寸减小。组织形态学检查显示板层皮质骨和骨样小梁部分至最佳整合。nuos组的新骨形成(52.5±2.5%)明显高于bio - os组(37.5±2.5%);P = 0.0021),移植材料残留较低(27.5±2.5% vs. 42.5±2.5%;p = 0.0018)。Bio-Oss移植病例表现出更明显的炎症细胞浸润。各组间软组织比例相近(nuos: 22.5±2.5%,bio - os: 17.5±2.5%;p = 0.0892)。结论:nuos和bio - os均有良好的骨再生效果。然而,与Bio-Oss相比,nuos表现出更有利的生物相容性,炎症更少,骨整合更好。
本文章由计算机程序翻译,如有差异,请以英文原文为准。

Effect of two deproteinized bone graft materials for socket preservation: a clinical and histological study.

Effect of two deproteinized bone graft materials for socket preservation: a clinical and histological study.

Effect of two deproteinized bone graft materials for socket preservation: a clinical and histological study.

Effect of two deproteinized bone graft materials for socket preservation: a clinical and histological study.

Objective: To evaluate dimensional changes and new bone formation using two deproteinized bovine bone minerals, NuOss and Bio-Oss, in socket preservation.

Materials and methods: Eighteen patients (6 males, 12 females; aged 23-45 years) requiring posterior tooth extraction were enrolled. Eighteen extraction sockets were augmented with either NuOss or Bio-Oss and covered with a collagen membrane. After six months, Cone Beam Cephalometry (CBCT) assessed dimensional changes in buccolingual width and buccal bone thickness. Bone core biopsies were obtained during implant placement and decalcified for histomorphologic examination. Statistical analysis compared dimensional changes and histomorphometric parameters between groups.

Results: All experimental sites healed uneventfully, with complete soft tissue healing within four weeks and successful implant placement. CBCT scans showed comparable, non-significant dimensional reductions. Histomorphologic examination revealed lamellar cortical bone and osteoid trabeculae with partial to optimal integration. NuOss demonstrated significantly higher new bone formation (52.5 ± 2.5%) compared to Bio-Oss (37.5 ± 2.5%; p = 0.0021), with lower residual graft material (27.5 ± 2.5% vs. 42.5 ± 2.5%; p = 0.0018). Bio-Oss grafted cases exhibited more pronounced inflammatory cell infiltration. Soft tissue proportions were similar between groups (NuOss: 22.5 ± 2.5%, Bio-Oss: 17.5 ± 2.5%; p = 0.0892).

Conclusion: Both NuOss and Bio-Oss showed positive bone regeneration effects. However, NuOss demonstrated more favorable biocompatibility, with less inflammation and improved bone integration than Bio-Oss.

求助全文
通过发布文献求助,成功后即可免费获取论文全文。 去求助
来源期刊
CiteScore
3.30
自引率
0.00%
发文量
0
审稿时长
13 weeks
×
引用
GB/T 7714-2015
复制
MLA
复制
APA
复制
导出至
BibTeX EndNote RefMan NoteFirst NoteExpress
×
提示
您的信息不完整,为了账户安全,请先补充。
现在去补充
×
提示
您因"违规操作"
具体请查看互助需知
我知道了
×
提示
确定
请完成安全验证×
copy
已复制链接
快去分享给好友吧!
我知道了
右上角分享
点击右上角分享
0
联系我们:info@booksci.cn Book学术提供免费学术资源搜索服务,方便国内外学者检索中英文文献。致力于提供最便捷和优质的服务体验。 Copyright © 2023 布克学术 All rights reserved.
京ICP备2023020795号-1
ghs 京公网安备 11010802042870号
Book学术文献互助
Book学术文献互助群
群 号:604180095
Book学术官方微信