体外心肺复苏术(eCPR)成功治疗暴发性肺栓塞致难治性心脏骤停1例,恢复显著。

IF 0.8 Q3 MEDICINE, GENERAL & INTERNAL
Lukas Harbaum, Klevis Mihali, Felix Ausbüttel, Bernhard Schieffer, Julian Kreutz
{"title":"体外心肺复苏术(eCPR)成功治疗暴发性肺栓塞致难治性心脏骤停1例,恢复显著。","authors":"Lukas Harbaum, Klevis Mihali, Felix Ausbüttel, Bernhard Schieffer, Julian Kreutz","doi":"10.3390/reports8030100","DOIUrl":null,"url":null,"abstract":"<p><p><b>Background and Clinical Significance</b>: Fulminant pulmonary embolism (PE) leading to an out-of-hospital cardiac arrest (OHCA) is associated with a high mortality rate and cardiopulmonary resuscitation (CPR) frequently failing to achieve return of spontaneous circulation (ROSC). Extracorporeal CPR (eCPR) has emerged as a potential life-saving intervention. <b>Case Presentation</b>: A 66-year-old woman suffered an OHCA due to massive PE, presenting with pulseless electrical activity (PEA). After 90 min of pre- and in-hospital CPR without sustained ROSC, venoarterial extracorporeal membrane oxygenation (va-ECMO) was initiated as eCPR upon arrival at the hospital. Even after implantation of the va-ECMO, there was initially a pronounced acidosis (pH 6.9) with a high elevated lactate level (>30 mmol/L); these factors, together with the prolonged low-flow period, indicated a poor prognosis. Further diagnostic tests revealed intracranial hemorrhage (subdural hematoma), and systemic lysis was not possible. With persistent right heart failure, surgical thrombectomy was performed during hospitalization. Intensive multidisciplinary management finally led to successful therapy and weaning from mechanical ventilation, as well as to complete neurological recovery (CPC-Score 1-2). <b>Conclusions</b>: This case illustrates that eCPR can facilitate survival with good favorable neurological outcomes despite initially poor prognostic predictors. It underscores the importance of refining patient selection criteria and optimizing management strategies for eCPR in refractory cardiac arrest secondary to PE.</p>","PeriodicalId":74664,"journal":{"name":"Reports (MDPI)","volume":"8 3","pages":""},"PeriodicalIF":0.8000,"publicationDate":"2025-06-25","publicationTypes":"Journal Article","fieldsOfStudy":null,"isOpenAccess":false,"openAccessPdf":"https://www.ncbi.nlm.nih.gov/pmc/articles/PMC12266001/pdf/","citationCount":"0","resultStr":"{\"title\":\"Case Report of Successful Extracorporeal CPR (eCPR) in Refractory Cardiac Arrest Caused by Fulminant Pulmonary Embolism with Remarkable Recovery.\",\"authors\":\"Lukas Harbaum, Klevis Mihali, Felix Ausbüttel, Bernhard Schieffer, Julian Kreutz\",\"doi\":\"10.3390/reports8030100\",\"DOIUrl\":null,\"url\":null,\"abstract\":\"<p><p><b>Background and Clinical Significance</b>: Fulminant pulmonary embolism (PE) leading to an out-of-hospital cardiac arrest (OHCA) is associated with a high mortality rate and cardiopulmonary resuscitation (CPR) frequently failing to achieve return of spontaneous circulation (ROSC). Extracorporeal CPR (eCPR) has emerged as a potential life-saving intervention. <b>Case Presentation</b>: A 66-year-old woman suffered an OHCA due to massive PE, presenting with pulseless electrical activity (PEA). After 90 min of pre- and in-hospital CPR without sustained ROSC, venoarterial extracorporeal membrane oxygenation (va-ECMO) was initiated as eCPR upon arrival at the hospital. Even after implantation of the va-ECMO, there was initially a pronounced acidosis (pH 6.9) with a high elevated lactate level (>30 mmol/L); these factors, together with the prolonged low-flow period, indicated a poor prognosis. Further diagnostic tests revealed intracranial hemorrhage (subdural hematoma), and systemic lysis was not possible. With persistent right heart failure, surgical thrombectomy was performed during hospitalization. Intensive multidisciplinary management finally led to successful therapy and weaning from mechanical ventilation, as well as to complete neurological recovery (CPC-Score 1-2). <b>Conclusions</b>: This case illustrates that eCPR can facilitate survival with good favorable neurological outcomes despite initially poor prognostic predictors. It underscores the importance of refining patient selection criteria and optimizing management strategies for eCPR in refractory cardiac arrest secondary to PE.</p>\",\"PeriodicalId\":74664,\"journal\":{\"name\":\"Reports (MDPI)\",\"volume\":\"8 3\",\"pages\":\"\"},\"PeriodicalIF\":0.8000,\"publicationDate\":\"2025-06-25\",\"publicationTypes\":\"Journal Article\",\"fieldsOfStudy\":null,\"isOpenAccess\":false,\"openAccessPdf\":\"https://www.ncbi.nlm.nih.gov/pmc/articles/PMC12266001/pdf/\",\"citationCount\":\"0\",\"resultStr\":null,\"platform\":\"Semanticscholar\",\"paperid\":null,\"PeriodicalName\":\"Reports (MDPI)\",\"FirstCategoryId\":\"1085\",\"ListUrlMain\":\"https://doi.org/10.3390/reports8030100\",\"RegionNum\":0,\"RegionCategory\":null,\"ArticlePicture\":[],\"TitleCN\":null,\"AbstractTextCN\":null,\"PMCID\":null,\"EPubDate\":\"\",\"PubModel\":\"\",\"JCR\":\"Q3\",\"JCRName\":\"MEDICINE, GENERAL & INTERNAL\",\"Score\":null,\"Total\":0}","platform":"Semanticscholar","paperid":null,"PeriodicalName":"Reports (MDPI)","FirstCategoryId":"1085","ListUrlMain":"https://doi.org/10.3390/reports8030100","RegionNum":0,"RegionCategory":null,"ArticlePicture":[],"TitleCN":null,"AbstractTextCN":null,"PMCID":null,"EPubDate":"","PubModel":"","JCR":"Q3","JCRName":"MEDICINE, GENERAL & INTERNAL","Score":null,"Total":0}
引用次数: 0

摘要

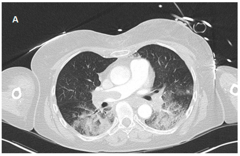
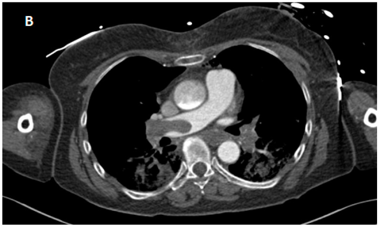
背景和临床意义:暴发性肺栓塞(PE)导致院外心脏骤停(OHCA)与高死亡率和心肺复苏(CPR)经常不能实现自然循环恢复(ROSC)相关。体外心肺复苏(eCPR)已成为一种潜在的挽救生命的干预措施。病例介绍:一名66岁女性因大量PE而遭受OHCA,表现为无脉性电活动(PEA)。在没有持续ROSC的情况下进行90分钟的院前和院内CPR后,到达医院后开始静脉动脉体外膜氧合(va-ECMO)作为eCPR。即使在植入va-ECMO后,最初也有明显的酸中毒(pH 6.9),乳酸水平升高(>30 mmol/L);这些因素,加上低流量期延长,预示预后不良。进一步的诊断检查显示颅内出血(硬膜下血肿),不可能出现全身溶解。由于持续的右心衰,住院期间进行了手术取栓。密集的多学科管理最终导致治疗成功,脱离机械通气,并完全恢复神经系统(CPC-Score 1-2)。结论:该病例表明,尽管最初预后预测较差,但eCPR可以促进预后良好的神经系统预后。它强调了细化患者选择标准和优化eCPR继发于PE的难治性心脏骤停的管理策略的重要性。
本文章由计算机程序翻译,如有差异,请以英文原文为准。

Case Report of Successful Extracorporeal CPR (eCPR) in Refractory Cardiac Arrest Caused by Fulminant Pulmonary Embolism with Remarkable Recovery.

Case Report of Successful Extracorporeal CPR (eCPR) in Refractory Cardiac Arrest Caused by Fulminant Pulmonary Embolism with Remarkable Recovery.

Case Report of Successful Extracorporeal CPR (eCPR) in Refractory Cardiac Arrest Caused by Fulminant Pulmonary Embolism with Remarkable Recovery.

Case Report of Successful Extracorporeal CPR (eCPR) in Refractory Cardiac Arrest Caused by Fulminant Pulmonary Embolism with Remarkable Recovery.

Background and Clinical Significance: Fulminant pulmonary embolism (PE) leading to an out-of-hospital cardiac arrest (OHCA) is associated with a high mortality rate and cardiopulmonary resuscitation (CPR) frequently failing to achieve return of spontaneous circulation (ROSC). Extracorporeal CPR (eCPR) has emerged as a potential life-saving intervention. Case Presentation: A 66-year-old woman suffered an OHCA due to massive PE, presenting with pulseless electrical activity (PEA). After 90 min of pre- and in-hospital CPR without sustained ROSC, venoarterial extracorporeal membrane oxygenation (va-ECMO) was initiated as eCPR upon arrival at the hospital. Even after implantation of the va-ECMO, there was initially a pronounced acidosis (pH 6.9) with a high elevated lactate level (>30 mmol/L); these factors, together with the prolonged low-flow period, indicated a poor prognosis. Further diagnostic tests revealed intracranial hemorrhage (subdural hematoma), and systemic lysis was not possible. With persistent right heart failure, surgical thrombectomy was performed during hospitalization. Intensive multidisciplinary management finally led to successful therapy and weaning from mechanical ventilation, as well as to complete neurological recovery (CPC-Score 1-2). Conclusions: This case illustrates that eCPR can facilitate survival with good favorable neurological outcomes despite initially poor prognostic predictors. It underscores the importance of refining patient selection criteria and optimizing management strategies for eCPR in refractory cardiac arrest secondary to PE.

求助全文
通过发布文献求助,成功后即可免费获取论文全文。 去求助
来源期刊
自引率
0.00%
发文量
0
审稿时长
11 weeks
×
引用
GB/T 7714-2015
复制
MLA
复制
APA
复制
导出至
BibTeX EndNote RefMan NoteFirst NoteExpress
×
提示
您的信息不完整,为了账户安全,请先补充。
现在去补充
×
提示
您因"违规操作"
具体请查看互助需知
我知道了
×
提示
确定
请完成安全验证×
copy
已复制链接
快去分享给好友吧!
我知道了
右上角分享
点击右上角分享
0
联系我们:info@booksci.cn Book学术提供免费学术资源搜索服务,方便国内外学者检索中英文文献。致力于提供最便捷和优质的服务体验。 Copyright © 2023 布克学术 All rights reserved.
京ICP备2023020795号-1
ghs 京公网安备 11010802042870号
Book学术文献互助
Book学术文献互助群
群 号:604180095
Book学术官方微信