儿童便秘诊断为获得性肌肠系性神经节减少症1例。

IF 0.8 Q3 MEDICINE, GENERAL & INTERNAL
Niharika Singh, James Petrancosta, Elizabeth O'Daniel, Samuel Nurko, Kristen Calabro
{"title":"儿童便秘诊断为获得性肌肠系性神经节减少症1例。","authors":"Niharika Singh, James Petrancosta, Elizabeth O'Daniel, Samuel Nurko, Kristen Calabro","doi":"10.3390/reports8030108","DOIUrl":null,"url":null,"abstract":"<p><p><b>Background and Clinical Significance:</b> Acquired myenteric hypoganglionosis is a rare dysmotility disorder that can present in childhood and adulthood, characterized by a reduced number of ganglion cells within Auerbach's plexus. Due to the rarity of the pathology, few case reports of acquired myenteric hypoganglionosis in adolescents have been described. This case report explores the presentation, risk factors, and surgical complications associated with the ultimate diagnosis of myenteric hypoganglionosis. <b>Case Presentation:</b> We present a case of a 12-year-old male with a history of constipation and achalasia, presenting with constipation and abdominal distention, who underwent a colonoscopy, which was converted to an exploratory laparotomy with loop ileostomy creation due to persistent significant abdominal distention. This was complicated by colonic perforation, most likely secondary to stercoral colitis, requiring takeback to the operating room on postoperative day 11 for an exploratory laparotomy with bowel resection and mucous fistula creation. The patient was then referred to Boston Children's Hospital for motility studies, which revealed poor colonic motility and plans to reassess motility in 1 year. <b>Conclusions</b>: Although rare, it is important to have high clinical suspicion for acquired myenteric hypoganglionosis in children, especially males, with severe constipation.</p>","PeriodicalId":74664,"journal":{"name":"Reports (MDPI)","volume":"8 3","pages":""},"PeriodicalIF":0.8000,"publicationDate":"2025-07-15","publicationTypes":"Journal Article","fieldsOfStudy":null,"isOpenAccess":false,"openAccessPdf":"https://www.ncbi.nlm.nih.gov/pmc/articles/PMC12265997/pdf/","citationCount":"0","resultStr":"{\"title\":\"A Case Report of a Child with Constipation Diagnosed with Acquired Myenteric Hypoganglionosis.\",\"authors\":\"Niharika Singh, James Petrancosta, Elizabeth O'Daniel, Samuel Nurko, Kristen Calabro\",\"doi\":\"10.3390/reports8030108\",\"DOIUrl\":null,\"url\":null,\"abstract\":\"<p><p><b>Background and Clinical Significance:</b> Acquired myenteric hypoganglionosis is a rare dysmotility disorder that can present in childhood and adulthood, characterized by a reduced number of ganglion cells within Auerbach's plexus. Due to the rarity of the pathology, few case reports of acquired myenteric hypoganglionosis in adolescents have been described. This case report explores the presentation, risk factors, and surgical complications associated with the ultimate diagnosis of myenteric hypoganglionosis. <b>Case Presentation:</b> We present a case of a 12-year-old male with a history of constipation and achalasia, presenting with constipation and abdominal distention, who underwent a colonoscopy, which was converted to an exploratory laparotomy with loop ileostomy creation due to persistent significant abdominal distention. This was complicated by colonic perforation, most likely secondary to stercoral colitis, requiring takeback to the operating room on postoperative day 11 for an exploratory laparotomy with bowel resection and mucous fistula creation. The patient was then referred to Boston Children's Hospital for motility studies, which revealed poor colonic motility and plans to reassess motility in 1 year. <b>Conclusions</b>: Although rare, it is important to have high clinical suspicion for acquired myenteric hypoganglionosis in children, especially males, with severe constipation.</p>\",\"PeriodicalId\":74664,\"journal\":{\"name\":\"Reports (MDPI)\",\"volume\":\"8 3\",\"pages\":\"\"},\"PeriodicalIF\":0.8000,\"publicationDate\":\"2025-07-15\",\"publicationTypes\":\"Journal Article\",\"fieldsOfStudy\":null,\"isOpenAccess\":false,\"openAccessPdf\":\"https://www.ncbi.nlm.nih.gov/pmc/articles/PMC12265997/pdf/\",\"citationCount\":\"0\",\"resultStr\":null,\"platform\":\"Semanticscholar\",\"paperid\":null,\"PeriodicalName\":\"Reports (MDPI)\",\"FirstCategoryId\":\"1085\",\"ListUrlMain\":\"https://doi.org/10.3390/reports8030108\",\"RegionNum\":0,\"RegionCategory\":null,\"ArticlePicture\":[],\"TitleCN\":null,\"AbstractTextCN\":null,\"PMCID\":null,\"EPubDate\":\"\",\"PubModel\":\"\",\"JCR\":\"Q3\",\"JCRName\":\"MEDICINE, GENERAL & INTERNAL\",\"Score\":null,\"Total\":0}","platform":"Semanticscholar","paperid":null,"PeriodicalName":"Reports (MDPI)","FirstCategoryId":"1085","ListUrlMain":"https://doi.org/10.3390/reports8030108","RegionNum":0,"RegionCategory":null,"ArticlePicture":[],"TitleCN":null,"AbstractTextCN":null,"PMCID":null,"EPubDate":"","PubModel":"","JCR":"Q3","JCRName":"MEDICINE, GENERAL & INTERNAL","Score":null,"Total":0}
引用次数: 0

摘要

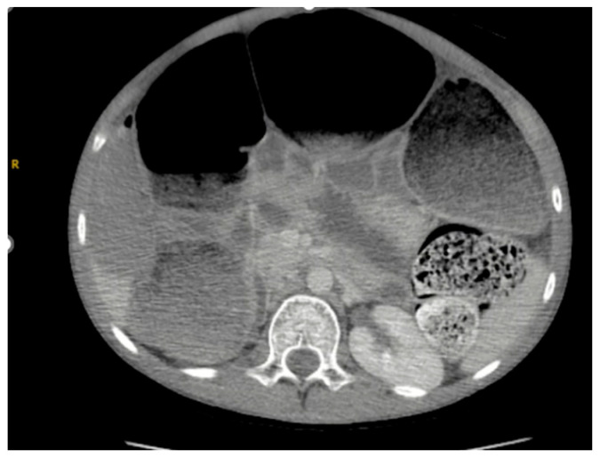
背景和临床意义:获得性肌enteric hypoganglionosis是一种罕见的运动障碍,可出现在儿童和成年期,其特征是奥尔巴赫神经丛内神经节细胞数量减少。由于罕见的病理,很少的病例报告获得性肌神经节减少症在青少年已被描述。本病例报告探讨了肌肠性神经节减少症的表现、危险因素和最终诊断的手术并发症。病例介绍:我们报告了一个12岁的男性,有便秘和贲门失弛缓症的病史,表现为便秘和腹胀,他接受了结肠镜检查,由于持续明显的腹胀,这被转换为探查性剖腹手术和回肠袢造口术。并发结肠穿孔,很可能继发于后珊瑚结肠炎,需要在术后第11天返回手术室进行探查性剖腹手术,切除肠并建立粘液瘘管。患者随后转至波士顿儿童医院进行胃肠蠕动检查,结果显示结肠蠕动不良,并计划在1年后重新评估胃肠蠕动。结论:虽然罕见,但对于儿童,尤其是男性,伴严重便秘的获得性肌肠神经节减少症,临床应高度警惕。
本文章由计算机程序翻译,如有差异,请以英文原文为准。

A Case Report of a Child with Constipation Diagnosed with Acquired Myenteric Hypoganglionosis.

A Case Report of a Child with Constipation Diagnosed with Acquired Myenteric Hypoganglionosis.

A Case Report of a Child with Constipation Diagnosed with Acquired Myenteric Hypoganglionosis.

A Case Report of a Child with Constipation Diagnosed with Acquired Myenteric Hypoganglionosis.

Background and Clinical Significance: Acquired myenteric hypoganglionosis is a rare dysmotility disorder that can present in childhood and adulthood, characterized by a reduced number of ganglion cells within Auerbach's plexus. Due to the rarity of the pathology, few case reports of acquired myenteric hypoganglionosis in adolescents have been described. This case report explores the presentation, risk factors, and surgical complications associated with the ultimate diagnosis of myenteric hypoganglionosis. Case Presentation: We present a case of a 12-year-old male with a history of constipation and achalasia, presenting with constipation and abdominal distention, who underwent a colonoscopy, which was converted to an exploratory laparotomy with loop ileostomy creation due to persistent significant abdominal distention. This was complicated by colonic perforation, most likely secondary to stercoral colitis, requiring takeback to the operating room on postoperative day 11 for an exploratory laparotomy with bowel resection and mucous fistula creation. The patient was then referred to Boston Children's Hospital for motility studies, which revealed poor colonic motility and plans to reassess motility in 1 year. Conclusions: Although rare, it is important to have high clinical suspicion for acquired myenteric hypoganglionosis in children, especially males, with severe constipation.

求助全文
通过发布文献求助,成功后即可免费获取论文全文。 去求助
来源期刊
自引率
0.00%
发文量
0
审稿时长
11 weeks
×
引用
GB/T 7714-2015
复制
MLA
复制
APA
复制
导出至
BibTeX EndNote RefMan NoteFirst NoteExpress
×
提示
您的信息不完整,为了账户安全,请先补充。
现在去补充
×
提示
您因"违规操作"
具体请查看互助需知
我知道了
×
提示
确定
请完成安全验证×
copy
已复制链接
快去分享给好友吧!
我知道了
右上角分享
点击右上角分享
0
联系我们:info@booksci.cn Book学术提供免费学术资源搜索服务,方便国内外学者检索中英文文献。致力于提供最便捷和优质的服务体验。 Copyright © 2023 布克学术 All rights reserved.
京ICP备2023020795号-1
ghs 京公网安备 11010802042870号
Book学术文献互助
Book学术文献互助群
群 号:604180095
Book学术官方微信