免疫治疗后奥西替尼诱导的肺腺癌患者携带新生EGFR外显子19缺失和T790M突变:1例报告

IF 0.8 Q3 MEDICINE, GENERAL & INTERNAL
Bradley Steiner, Amanda Edmond, Monica Camou, Taylor Praska, Jiaxin Niu
{"title":"免疫治疗后奥西替尼诱导的肺腺癌患者携带新生EGFR外显子19缺失和T790M突变:1例报告","authors":"Bradley Steiner, Amanda Edmond, Monica Camou, Taylor Praska, Jiaxin Niu","doi":"10.3390/reports8030101","DOIUrl":null,"url":null,"abstract":"<p><p><b>Background and Clinical Significance:</b> Non-small-cell lung cancer (NSCLC) with EGFR mutations, particularly de novo compound mutations such as exon 19 deletions (Ex19del) with T790M substitutions, present a significant clinical challenge due to resistance to many treatments. While treating these patients, the administration of osimertinib, a third-generation EGFR inhibitor, after immunotherapy can lead to unique immune-related adverse events (irAEs), such as pneumonitis and, rarely, hepatitis. <b>Case Presentation:</b> A 36-year-old Filipino woman presented with metastatic NSCLC harboring de novo Ex19del and T790M mutations. Despite initial therapy with carboplatin and paclitaxel, followed by chemoimmunotherapy, the patient's disease progressed. She subsequently developed severe hepatitis from osimertinib after her prior immunotherapy with pembrolizumab. After the hepatitis resolved with high-dose steroids, osimertinib was switched to afatinib, but her disease rapidly progressed with new metastases. A second attempt at osimertinib rechallenge, with concomitant prednisone, resulted in substantial disease control, including improved leptomeningeal disease (LMD) and no recurrence of hepatitis. <b>Conclusions:</b> This case underscores the feasibility of rechallenging with osimertinib in patients who experience adverse events such as hepatotoxicity, provided that appropriate management strategies, such as steroid therapy, are employed. The successful rechallenge in this case highlights the potential of osimertinib as a viable option in advanced EGFR-mutant NSCLC, even after prior treatment-related complications.</p>","PeriodicalId":74664,"journal":{"name":"Reports (MDPI)","volume":"8 3","pages":""},"PeriodicalIF":0.8000,"publicationDate":"2025-06-26","publicationTypes":"Journal Article","fieldsOfStudy":null,"isOpenAccess":false,"openAccessPdf":"https://www.ncbi.nlm.nih.gov/pmc/articles/PMC12265996/pdf/","citationCount":"0","resultStr":"{\"title\":\"Osimertinib-Induced Hepatitis Following Immunotherapy in a Patient with Lung Adenocarcinoma Harboring De Novo EGFR Exon 19 Deletion and T790M Mutations: A Case Report.\",\"authors\":\"Bradley Steiner, Amanda Edmond, Monica Camou, Taylor Praska, Jiaxin Niu\",\"doi\":\"10.3390/reports8030101\",\"DOIUrl\":null,\"url\":null,\"abstract\":\"<p><p><b>Background and Clinical Significance:</b> Non-small-cell lung cancer (NSCLC) with EGFR mutations, particularly de novo compound mutations such as exon 19 deletions (Ex19del) with T790M substitutions, present a significant clinical challenge due to resistance to many treatments. While treating these patients, the administration of osimertinib, a third-generation EGFR inhibitor, after immunotherapy can lead to unique immune-related adverse events (irAEs), such as pneumonitis and, rarely, hepatitis. <b>Case Presentation:</b> A 36-year-old Filipino woman presented with metastatic NSCLC harboring de novo Ex19del and T790M mutations. Despite initial therapy with carboplatin and paclitaxel, followed by chemoimmunotherapy, the patient's disease progressed. She subsequently developed severe hepatitis from osimertinib after her prior immunotherapy with pembrolizumab. After the hepatitis resolved with high-dose steroids, osimertinib was switched to afatinib, but her disease rapidly progressed with new metastases. A second attempt at osimertinib rechallenge, with concomitant prednisone, resulted in substantial disease control, including improved leptomeningeal disease (LMD) and no recurrence of hepatitis. <b>Conclusions:</b> This case underscores the feasibility of rechallenging with osimertinib in patients who experience adverse events such as hepatotoxicity, provided that appropriate management strategies, such as steroid therapy, are employed. The successful rechallenge in this case highlights the potential of osimertinib as a viable option in advanced EGFR-mutant NSCLC, even after prior treatment-related complications.</p>\",\"PeriodicalId\":74664,\"journal\":{\"name\":\"Reports (MDPI)\",\"volume\":\"8 3\",\"pages\":\"\"},\"PeriodicalIF\":0.8000,\"publicationDate\":\"2025-06-26\",\"publicationTypes\":\"Journal Article\",\"fieldsOfStudy\":null,\"isOpenAccess\":false,\"openAccessPdf\":\"https://www.ncbi.nlm.nih.gov/pmc/articles/PMC12265996/pdf/\",\"citationCount\":\"0\",\"resultStr\":null,\"platform\":\"Semanticscholar\",\"paperid\":null,\"PeriodicalName\":\"Reports (MDPI)\",\"FirstCategoryId\":\"1085\",\"ListUrlMain\":\"https://doi.org/10.3390/reports8030101\",\"RegionNum\":0,\"RegionCategory\":null,\"ArticlePicture\":[],\"TitleCN\":null,\"AbstractTextCN\":null,\"PMCID\":null,\"EPubDate\":\"\",\"PubModel\":\"\",\"JCR\":\"Q3\",\"JCRName\":\"MEDICINE, GENERAL & INTERNAL\",\"Score\":null,\"Total\":0}","platform":"Semanticscholar","paperid":null,"PeriodicalName":"Reports (MDPI)","FirstCategoryId":"1085","ListUrlMain":"https://doi.org/10.3390/reports8030101","RegionNum":0,"RegionCategory":null,"ArticlePicture":[],"TitleCN":null,"AbstractTextCN":null,"PMCID":null,"EPubDate":"","PubModel":"","JCR":"Q3","JCRName":"MEDICINE, GENERAL & INTERNAL","Score":null,"Total":0}
引用次数: 0

摘要

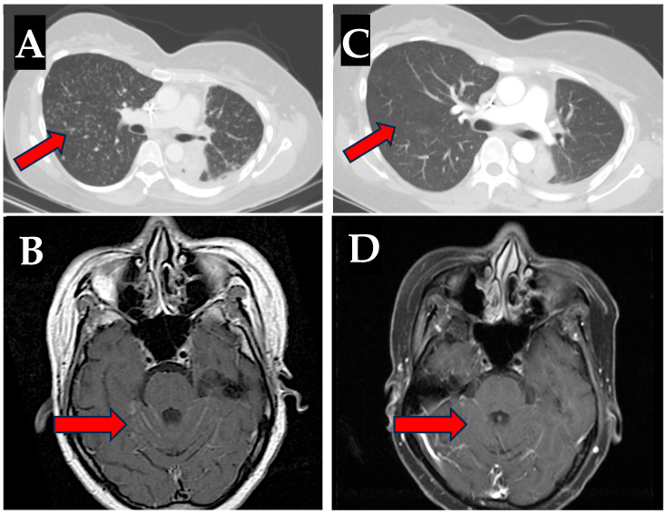
背景和临床意义:EGFR突变的非小细胞肺癌(NSCLC),特别是新发化合物突变,如外显子19缺失(Ex19del)和T790M替换,由于对许多治疗的耐药,呈现出重大的临床挑战。在治疗这些患者时,免疫治疗后给予第三代EGFR抑制剂奥西替尼可导致独特的免疫相关不良事件(irae),如肺炎和罕见的肝炎。病例介绍:一名36岁菲律宾女性,患有转移性非小细胞肺癌,伴有Ex19del和T790M突变。尽管最初用卡铂和紫杉醇治疗,随后化疗免疫治疗,患者的疾病进展。随后,她在先前使用派姆单抗进行免疫治疗后,因使用奥希替尼而出现严重肝炎。在使用大剂量类固醇治疗肝炎后,将奥西替尼转为阿法替尼,但她的疾病迅速进展并出现新的转移。第二次尝试奥西替尼再挑战,同时使用强的松,导致了实质性的疾病控制,包括改善了轻脑膜疾病(LMD)和没有肝炎复发。结论:该病例强调了在采用适当的管理策略(如类固醇治疗)的情况下,对出现肝毒性等不良事件的患者重新使用奥西替尼的可行性。该病例的成功再次挑战突出了奥西替尼作为晚期egfr突变NSCLC的可行选择的潜力,即使在先前治疗相关并发症之后也是如此。
本文章由计算机程序翻译,如有差异,请以英文原文为准。

Osimertinib-Induced Hepatitis Following Immunotherapy in a Patient with Lung Adenocarcinoma Harboring De Novo EGFR Exon 19 Deletion and T790M Mutations: A Case Report.

Osimertinib-Induced Hepatitis Following Immunotherapy in a Patient with Lung Adenocarcinoma Harboring De Novo EGFR Exon 19 Deletion and T790M Mutations: A Case Report.

Background and Clinical Significance: Non-small-cell lung cancer (NSCLC) with EGFR mutations, particularly de novo compound mutations such as exon 19 deletions (Ex19del) with T790M substitutions, present a significant clinical challenge due to resistance to many treatments. While treating these patients, the administration of osimertinib, a third-generation EGFR inhibitor, after immunotherapy can lead to unique immune-related adverse events (irAEs), such as pneumonitis and, rarely, hepatitis. Case Presentation: A 36-year-old Filipino woman presented with metastatic NSCLC harboring de novo Ex19del and T790M mutations. Despite initial therapy with carboplatin and paclitaxel, followed by chemoimmunotherapy, the patient's disease progressed. She subsequently developed severe hepatitis from osimertinib after her prior immunotherapy with pembrolizumab. After the hepatitis resolved with high-dose steroids, osimertinib was switched to afatinib, but her disease rapidly progressed with new metastases. A second attempt at osimertinib rechallenge, with concomitant prednisone, resulted in substantial disease control, including improved leptomeningeal disease (LMD) and no recurrence of hepatitis. Conclusions: This case underscores the feasibility of rechallenging with osimertinib in patients who experience adverse events such as hepatotoxicity, provided that appropriate management strategies, such as steroid therapy, are employed. The successful rechallenge in this case highlights the potential of osimertinib as a viable option in advanced EGFR-mutant NSCLC, even after prior treatment-related complications.

求助全文
通过发布文献求助,成功后即可免费获取论文全文。 去求助
来源期刊
自引率
0.00%
发文量
0
审稿时长
11 weeks
×
引用
GB/T 7714-2015
复制
MLA
复制
APA
复制
导出至
BibTeX EndNote RefMan NoteFirst NoteExpress
×
提示
您的信息不完整,为了账户安全,请先补充。
现在去补充
×
提示
您因"违规操作"
具体请查看互助需知
我知道了
×
提示
确定
请完成安全验证×
copy
已复制链接
快去分享给好友吧!
我知道了
右上角分享
点击右上角分享
0
联系我们:info@booksci.cn Book学术提供免费学术资源搜索服务,方便国内外学者检索中英文文献。致力于提供最便捷和优质的服务体验。 Copyright © 2023 布克学术 All rights reserved.
京ICP备2023020795号-1
ghs 京公网安备 11010802042870号
Book学术文献互助
Book学术文献互助群
群 号:604180095
Book学术官方微信