1型神经纤维瘤病中小牛巨大非典型神经纤维瘤1例报告及文献复习。

IF 0.8 Q3 MEDICINE, GENERAL & INTERNAL
Lyubomir Gaydarski, Georgi P Georgiev, Svetoslav A Slavchev
{"title":"1型神经纤维瘤病中小牛巨大非典型神经纤维瘤1例报告及文献复习。","authors":"Lyubomir Gaydarski, Georgi P Georgiev, Svetoslav A Slavchev","doi":"10.3390/reports8030112","DOIUrl":null,"url":null,"abstract":"<p><p><b>Background and Clinical Significance:</b> Neurofibromatosis type 1 (NF1) predisposes individuals to various peripheral nerve sheath tumors (PNSTs), including benign neurofibromas, malignant peripheral nerve sheath tumors (MPNSTs), and intermediate lesions known as atypical neurofibromatous neoplasms of uncertain biologic potential (ANNUBP), previously often termed atypical neurofibroma. These atypical lesions are considered premalignant precursors to MPNST. <b>Case Presentation:</b> We present the case of a 33-year-old male with NF1 who developed a rapidly growing, painful mass in his right calf. Clinical examination revealed signs consistent with NF1. Magnetic resonance imaging showed a large, heterogeneous mass in the lateral compartment. Biopsy revealed a neurofibroma with hypercellularity, moderate atypia, scarce S100 positivity, focal CD34 positivity, and an elevated Ki-67 proliferation index of 10-12%, consistent with ANNUBP. The patient underwent wide surgical resection, including the fibula and peroneal muscles. At the 30-month follow-up, there was no local recurrence, though the patient had a mild residual limp. <b>Discussion:</b> This case highlights the clinical presentation, diagnostic features, and management considerations for ANNUBP in NF1, emphasizing the importance of recognizing warning signs and the role of pathology in guiding treatment for these high-risk precursor lesions.</p>","PeriodicalId":74664,"journal":{"name":"Reports (MDPI)","volume":"8 3","pages":""},"PeriodicalIF":0.8000,"publicationDate":"2025-07-17","publicationTypes":"Journal Article","fieldsOfStudy":null,"isOpenAccess":false,"openAccessPdf":"https://www.ncbi.nlm.nih.gov/pmc/articles/PMC12286112/pdf/","citationCount":"0","resultStr":"{\"title\":\"Giant Atypical Neurofibroma of the Calf in Neurofibromatosis Type 1: Case Report and Literature Review.\",\"authors\":\"Lyubomir Gaydarski, Georgi P Georgiev, Svetoslav A Slavchev\",\"doi\":\"10.3390/reports8030112\",\"DOIUrl\":null,\"url\":null,\"abstract\":\"<p><p><b>Background and Clinical Significance:</b> Neurofibromatosis type 1 (NF1) predisposes individuals to various peripheral nerve sheath tumors (PNSTs), including benign neurofibromas, malignant peripheral nerve sheath tumors (MPNSTs), and intermediate lesions known as atypical neurofibromatous neoplasms of uncertain biologic potential (ANNUBP), previously often termed atypical neurofibroma. These atypical lesions are considered premalignant precursors to MPNST. <b>Case Presentation:</b> We present the case of a 33-year-old male with NF1 who developed a rapidly growing, painful mass in his right calf. Clinical examination revealed signs consistent with NF1. Magnetic resonance imaging showed a large, heterogeneous mass in the lateral compartment. Biopsy revealed a neurofibroma with hypercellularity, moderate atypia, scarce S100 positivity, focal CD34 positivity, and an elevated Ki-67 proliferation index of 10-12%, consistent with ANNUBP. The patient underwent wide surgical resection, including the fibula and peroneal muscles. At the 30-month follow-up, there was no local recurrence, though the patient had a mild residual limp. <b>Discussion:</b> This case highlights the clinical presentation, diagnostic features, and management considerations for ANNUBP in NF1, emphasizing the importance of recognizing warning signs and the role of pathology in guiding treatment for these high-risk precursor lesions.</p>\",\"PeriodicalId\":74664,\"journal\":{\"name\":\"Reports (MDPI)\",\"volume\":\"8 3\",\"pages\":\"\"},\"PeriodicalIF\":0.8000,\"publicationDate\":\"2025-07-17\",\"publicationTypes\":\"Journal Article\",\"fieldsOfStudy\":null,\"isOpenAccess\":false,\"openAccessPdf\":\"https://www.ncbi.nlm.nih.gov/pmc/articles/PMC12286112/pdf/\",\"citationCount\":\"0\",\"resultStr\":null,\"platform\":\"Semanticscholar\",\"paperid\":null,\"PeriodicalName\":\"Reports (MDPI)\",\"FirstCategoryId\":\"1085\",\"ListUrlMain\":\"https://doi.org/10.3390/reports8030112\",\"RegionNum\":0,\"RegionCategory\":null,\"ArticlePicture\":[],\"TitleCN\":null,\"AbstractTextCN\":null,\"PMCID\":null,\"EPubDate\":\"\",\"PubModel\":\"\",\"JCR\":\"Q3\",\"JCRName\":\"MEDICINE, GENERAL & INTERNAL\",\"Score\":null,\"Total\":0}","platform":"Semanticscholar","paperid":null,"PeriodicalName":"Reports (MDPI)","FirstCategoryId":"1085","ListUrlMain":"https://doi.org/10.3390/reports8030112","RegionNum":0,"RegionCategory":null,"ArticlePicture":[],"TitleCN":null,"AbstractTextCN":null,"PMCID":null,"EPubDate":"","PubModel":"","JCR":"Q3","JCRName":"MEDICINE, GENERAL & INTERNAL","Score":null,"Total":0}
引用次数: 0

摘要

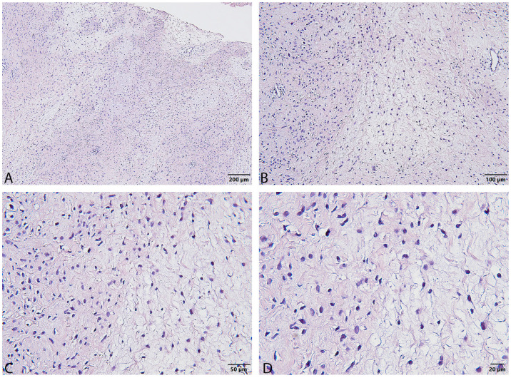
背景和临床意义:1型神经纤维瘤病(NF1)使个体易患各种周围神经鞘肿瘤(PNSTs),包括良性神经纤维瘤、恶性周围神经鞘肿瘤(MPNSTs)和中间病变,即生物潜能不确定的非典型神经纤维瘤肿瘤(ANNUBP),以前常被称为非典型神经纤维瘤瘤。这些非典型病变被认为是MPNST的癌前前兆。病例介绍:我们提出的情况下,33岁的男性NF1谁发展了一个快速增长,疼痛的肿块在他的右小腿。临床检查显示与NF1相符的征象。磁共振成像显示外侧腔室有一个巨大的非均匀肿块。活检显示神经纤维瘤呈高细胞性,中度异型性,S100阳性,局灶性CD34阳性,Ki-67增殖指数升高10-12%,与ANNUBP一致。患者接受了广泛的手术切除,包括腓骨和腓骨肌。在30个月的随访中,虽然患者有轻微的跛行,但没有局部复发。讨论:本病例强调了NF1中ANNUBP的临床表现、诊断特征和管理注意事项,强调了识别警告信号的重要性以及病理学在指导这些高风险前驱病变治疗中的作用。
本文章由计算机程序翻译,如有差异,请以英文原文为准。

Giant Atypical Neurofibroma of the Calf in Neurofibromatosis Type 1: Case Report and Literature Review.

Giant Atypical Neurofibroma of the Calf in Neurofibromatosis Type 1: Case Report and Literature Review.

Giant Atypical Neurofibroma of the Calf in Neurofibromatosis Type 1: Case Report and Literature Review.

Giant Atypical Neurofibroma of the Calf in Neurofibromatosis Type 1: Case Report and Literature Review.

Background and Clinical Significance: Neurofibromatosis type 1 (NF1) predisposes individuals to various peripheral nerve sheath tumors (PNSTs), including benign neurofibromas, malignant peripheral nerve sheath tumors (MPNSTs), and intermediate lesions known as atypical neurofibromatous neoplasms of uncertain biologic potential (ANNUBP), previously often termed atypical neurofibroma. These atypical lesions are considered premalignant precursors to MPNST. Case Presentation: We present the case of a 33-year-old male with NF1 who developed a rapidly growing, painful mass in his right calf. Clinical examination revealed signs consistent with NF1. Magnetic resonance imaging showed a large, heterogeneous mass in the lateral compartment. Biopsy revealed a neurofibroma with hypercellularity, moderate atypia, scarce S100 positivity, focal CD34 positivity, and an elevated Ki-67 proliferation index of 10-12%, consistent with ANNUBP. The patient underwent wide surgical resection, including the fibula and peroneal muscles. At the 30-month follow-up, there was no local recurrence, though the patient had a mild residual limp. Discussion: This case highlights the clinical presentation, diagnostic features, and management considerations for ANNUBP in NF1, emphasizing the importance of recognizing warning signs and the role of pathology in guiding treatment for these high-risk precursor lesions.

求助全文
通过发布文献求助,成功后即可免费获取论文全文。 去求助
来源期刊
自引率
0.00%
发文量
0
审稿时长
11 weeks
×
引用
GB/T 7714-2015
复制
MLA
复制
APA
复制
导出至
BibTeX EndNote RefMan NoteFirst NoteExpress
×
提示
您的信息不完整,为了账户安全,请先补充。
现在去补充
×
提示
您因"违规操作"
具体请查看互助需知
我知道了
×
提示
确定
请完成安全验证×
copy
已复制链接
快去分享给好友吧!
我知道了
右上角分享
点击右上角分享
0
联系我们:info@booksci.cn Book学术提供免费学术资源搜索服务,方便国内外学者检索中英文文献。致力于提供最便捷和优质的服务体验。 Copyright © 2023 布克学术 All rights reserved.
京ICP备2023020795号-1
ghs 京公网安备 11010802042870号
Book学术文献互助
Book学术文献互助群
群 号:604180095
Book学术官方微信