腹腔镜手术治疗巨大输卵管旁囊肿伴粘液囊腺瘤1例报告及文献复习。

IF 0.8 Q3 MEDICINE, GENERAL & INTERNAL
Tudor Andrei Butureanu, Ana-Maria Apetrei, Ioana Pavaleanu, Ana-Maria Haliciu, Razvan Socolov, Raluca Balan
{"title":"腹腔镜手术治疗巨大输卵管旁囊肿伴粘液囊腺瘤1例报告及文献复习。","authors":"Tudor Andrei Butureanu, Ana-Maria Apetrei, Ioana Pavaleanu, Ana-Maria Haliciu, Razvan Socolov, Raluca Balan","doi":"10.3390/reports8030106","DOIUrl":null,"url":null,"abstract":"<p><p><b>Background and Clinical Significance</b>: A paratubal cyst, which makes up about 10% of all adnexal masses, is a specific type of adnexal cyst that develops from the mesothelium in the broad ligament located between the fallopian tube and the ovary. Interestingly, the majority of paratubal cyst cases are initially misidentified as ovarian cysts, with suspicion arising in only 1 out of every 15 patients before undergoing surgery. <b>Case Presentation</b>: We report a case of a giant paratubal cyst mimicking an ovarian cyst in a 21-year-old woman supported by some representative images along with a literature review. The cyst's therapeutic management was surgical removal of the adnexa and the final postoperative histopathological diagnosis was that of a benign paratubal cyst. <b>Conclusions</b>: This case highlights the need to include a paratubal cyst in the differential diagnosis of pelvic masses, especially in women of reproductive age. To the best of our knowledge, this represents the largest paratubal cyst reported in the literature to date, based on overall dimensions and the highest recorded volume of aspirated fluid, successfully managed via laparoscopy. A further notable aspect of this case is the coexistence of the giant paratubal cyst with an ovarian mucinous cystadenoma.</p>","PeriodicalId":74664,"journal":{"name":"Reports (MDPI)","volume":"8 3","pages":""},"PeriodicalIF":0.8000,"publicationDate":"2025-07-14","publicationTypes":"Journal Article","fieldsOfStudy":null,"isOpenAccess":false,"openAccessPdf":"https://www.ncbi.nlm.nih.gov/pmc/articles/PMC12265995/pdf/","citationCount":"0","resultStr":"{\"title\":\"Extremely Rare Case of a Giant Paratubal Cyst, Coexisting with a Mucinous Cystadenoma, Surgically Treated Through Laparoscopy-A Case Report and Review of the Literature.\",\"authors\":\"Tudor Andrei Butureanu, Ana-Maria Apetrei, Ioana Pavaleanu, Ana-Maria Haliciu, Razvan Socolov, Raluca Balan\",\"doi\":\"10.3390/reports8030106\",\"DOIUrl\":null,\"url\":null,\"abstract\":\"<p><p><b>Background and Clinical Significance</b>: A paratubal cyst, which makes up about 10% of all adnexal masses, is a specific type of adnexal cyst that develops from the mesothelium in the broad ligament located between the fallopian tube and the ovary. Interestingly, the majority of paratubal cyst cases are initially misidentified as ovarian cysts, with suspicion arising in only 1 out of every 15 patients before undergoing surgery. <b>Case Presentation</b>: We report a case of a giant paratubal cyst mimicking an ovarian cyst in a 21-year-old woman supported by some representative images along with a literature review. The cyst's therapeutic management was surgical removal of the adnexa and the final postoperative histopathological diagnosis was that of a benign paratubal cyst. <b>Conclusions</b>: This case highlights the need to include a paratubal cyst in the differential diagnosis of pelvic masses, especially in women of reproductive age. To the best of our knowledge, this represents the largest paratubal cyst reported in the literature to date, based on overall dimensions and the highest recorded volume of aspirated fluid, successfully managed via laparoscopy. A further notable aspect of this case is the coexistence of the giant paratubal cyst with an ovarian mucinous cystadenoma.</p>\",\"PeriodicalId\":74664,\"journal\":{\"name\":\"Reports (MDPI)\",\"volume\":\"8 3\",\"pages\":\"\"},\"PeriodicalIF\":0.8000,\"publicationDate\":\"2025-07-14\",\"publicationTypes\":\"Journal Article\",\"fieldsOfStudy\":null,\"isOpenAccess\":false,\"openAccessPdf\":\"https://www.ncbi.nlm.nih.gov/pmc/articles/PMC12265995/pdf/\",\"citationCount\":\"0\",\"resultStr\":null,\"platform\":\"Semanticscholar\",\"paperid\":null,\"PeriodicalName\":\"Reports (MDPI)\",\"FirstCategoryId\":\"1085\",\"ListUrlMain\":\"https://doi.org/10.3390/reports8030106\",\"RegionNum\":0,\"RegionCategory\":null,\"ArticlePicture\":[],\"TitleCN\":null,\"AbstractTextCN\":null,\"PMCID\":null,\"EPubDate\":\"\",\"PubModel\":\"\",\"JCR\":\"Q3\",\"JCRName\":\"MEDICINE, GENERAL & INTERNAL\",\"Score\":null,\"Total\":0}","platform":"Semanticscholar","paperid":null,"PeriodicalName":"Reports (MDPI)","FirstCategoryId":"1085","ListUrlMain":"https://doi.org/10.3390/reports8030106","RegionNum":0,"RegionCategory":null,"ArticlePicture":[],"TitleCN":null,"AbstractTextCN":null,"PMCID":null,"EPubDate":"","PubModel":"","JCR":"Q3","JCRName":"MEDICINE, GENERAL & INTERNAL","Score":null,"Total":0}
引用次数: 0

摘要

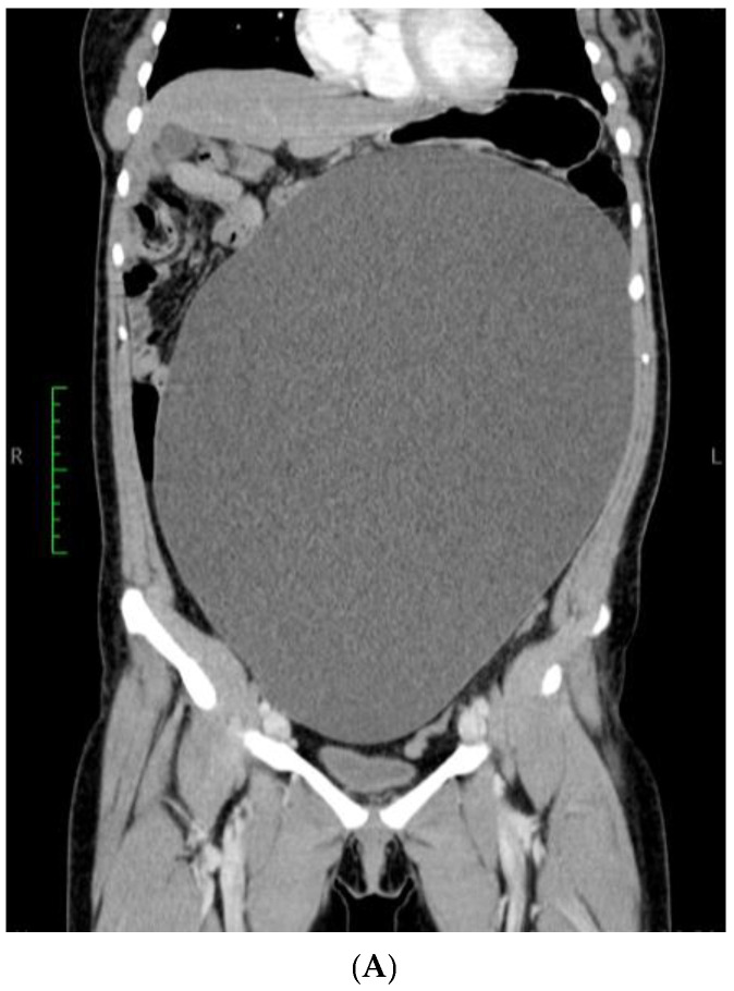
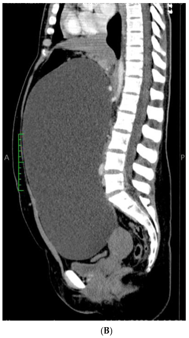
背景及临床意义:输卵管旁囊肿是一种特殊类型的附件囊肿,起源于位于输卵管和卵巢之间的阔韧带间皮,约占附件肿块的10%。有趣的是,大多数输卵管旁囊肿病例最初被误认为卵巢囊肿,每15名患者中只有1名在手术前被怀疑。病例介绍:我们报告了一例21岁女性的巨大输卵管旁囊肿,并附有一些代表性图像和文献综述。囊肿的治疗方法是手术切除附件,最终的术后组织病理学诊断为良性输卵管旁囊肿。结论:本病例强调需要包括输卵管旁囊肿在鉴别诊断盆腔肿块,特别是育龄妇女。据我们所知,这是迄今为止文献报道的最大的输卵管旁囊肿,基于总体尺寸和最高记录的抽吸液量,通过腹腔镜成功处理。本病例另一个值得注意的方面是巨大的输卵管旁囊肿与卵巢粘液囊腺瘤共存。
本文章由计算机程序翻译,如有差异,请以英文原文为准。

Extremely Rare Case of a Giant Paratubal Cyst, Coexisting with a Mucinous Cystadenoma, Surgically Treated Through Laparoscopy-A Case Report and Review of the Literature.

Extremely Rare Case of a Giant Paratubal Cyst, Coexisting with a Mucinous Cystadenoma, Surgically Treated Through Laparoscopy-A Case Report and Review of the Literature.

Extremely Rare Case of a Giant Paratubal Cyst, Coexisting with a Mucinous Cystadenoma, Surgically Treated Through Laparoscopy-A Case Report and Review of the Literature.

Extremely Rare Case of a Giant Paratubal Cyst, Coexisting with a Mucinous Cystadenoma, Surgically Treated Through Laparoscopy-A Case Report and Review of the Literature.

Background and Clinical Significance: A paratubal cyst, which makes up about 10% of all adnexal masses, is a specific type of adnexal cyst that develops from the mesothelium in the broad ligament located between the fallopian tube and the ovary. Interestingly, the majority of paratubal cyst cases are initially misidentified as ovarian cysts, with suspicion arising in only 1 out of every 15 patients before undergoing surgery. Case Presentation: We report a case of a giant paratubal cyst mimicking an ovarian cyst in a 21-year-old woman supported by some representative images along with a literature review. The cyst's therapeutic management was surgical removal of the adnexa and the final postoperative histopathological diagnosis was that of a benign paratubal cyst. Conclusions: This case highlights the need to include a paratubal cyst in the differential diagnosis of pelvic masses, especially in women of reproductive age. To the best of our knowledge, this represents the largest paratubal cyst reported in the literature to date, based on overall dimensions and the highest recorded volume of aspirated fluid, successfully managed via laparoscopy. A further notable aspect of this case is the coexistence of the giant paratubal cyst with an ovarian mucinous cystadenoma.

求助全文
通过发布文献求助,成功后即可免费获取论文全文。 去求助
来源期刊
自引率
0.00%
发文量
0
审稿时长
11 weeks
×
引用
GB/T 7714-2015
复制
MLA
复制
APA
复制
导出至
BibTeX EndNote RefMan NoteFirst NoteExpress
×
提示
您的信息不完整,为了账户安全,请先补充。
现在去补充
×
提示
您因"违规操作"
具体请查看互助需知
我知道了
×
提示
确定
请完成安全验证×
copy
已复制链接
快去分享给好友吧!
我知道了
右上角分享
点击右上角分享
0
联系我们:info@booksci.cn Book学术提供免费学术资源搜索服务,方便国内外学者检索中英文文献。致力于提供最便捷和优质的服务体验。 Copyright © 2023 布克学术 All rights reserved.
京ICP备2023020795号-1
ghs 京公网安备 11010802042870号
Book学术文献互助
Book学术文献互助群
群 号:604180095
Book学术官方微信