支气管内脂肪瘤:慢性咳嗽背后的隐藏障碍。

IF 0.8 Q4 RESPIRATORY SYSTEM
Respirology Case Reports Pub Date : 2025-07-22 eCollection Date: 2025-07-01 DOI:10.1002/rcr2.70291
Zeinab El Mawla, Bilal Damen
{"title":"支气管内脂肪瘤:慢性咳嗽背后的隐藏障碍。","authors":"Zeinab El Mawla, Bilal Damen","doi":"10.1002/rcr2.70291","DOIUrl":null,"url":null,"abstract":"<p><p>Endobronchial lipomas are rare, benign tumours that arise from the submucosal fat of the bronchial wall and account for less than 0.5% of all lung tumours. These tumours can present with non-specific respiratory symptoms, often mimicking common pulmonary conditions such as asthma, COPD, or infections, making diagnosis challenging. We present the case of a 54-year-old female smoker who experienced a three-month history of chronic productive cough, dyspnea and recurrent respiratory infections. During this period, she was evaluated by three healthcare providers, each of whom prescribed multiple courses of antibiotics and inhaled bronchodilators based on presumed diagnoses of bronchitis or COPD exacerbation. Notably, no chest imaging was performed at the initial stages. Chest imaging revealed left lung collapse, and bronchoscopy revealed a polypoidal mass obstructing the left main bronchus. Histopathological analysis confirmed the diagnosis of an endobronchial lipoma. This case highlights the importance of considering benign bronchial tumours in the differential diagnosis of chronic respiratory complaints, especially in patients with a smoking history. Complete excision, either bronchoscopic or surgical, is the treatment of choice, resulting in excellent prognosis and symptom resolution.</p>","PeriodicalId":45846,"journal":{"name":"Respirology Case Reports","volume":"13 7","pages":"e70291"},"PeriodicalIF":0.8000,"publicationDate":"2025-07-22","publicationTypes":"Journal Article","fieldsOfStudy":null,"isOpenAccess":false,"openAccessPdf":"https://www.ncbi.nlm.nih.gov/pmc/articles/PMC12284315/pdf/","citationCount":"0","resultStr":"{\"title\":\"Endobronchial Lipoma: A Hidden Obstruction Behind Chronic Cough.\",\"authors\":\"Zeinab El Mawla, Bilal Damen\",\"doi\":\"10.1002/rcr2.70291\",\"DOIUrl\":null,\"url\":null,\"abstract\":\"<p><p>Endobronchial lipomas are rare, benign tumours that arise from the submucosal fat of the bronchial wall and account for less than 0.5% of all lung tumours. These tumours can present with non-specific respiratory symptoms, often mimicking common pulmonary conditions such as asthma, COPD, or infections, making diagnosis challenging. We present the case of a 54-year-old female smoker who experienced a three-month history of chronic productive cough, dyspnea and recurrent respiratory infections. During this period, she was evaluated by three healthcare providers, each of whom prescribed multiple courses of antibiotics and inhaled bronchodilators based on presumed diagnoses of bronchitis or COPD exacerbation. Notably, no chest imaging was performed at the initial stages. Chest imaging revealed left lung collapse, and bronchoscopy revealed a polypoidal mass obstructing the left main bronchus. Histopathological analysis confirmed the diagnosis of an endobronchial lipoma. This case highlights the importance of considering benign bronchial tumours in the differential diagnosis of chronic respiratory complaints, especially in patients with a smoking history. Complete excision, either bronchoscopic or surgical, is the treatment of choice, resulting in excellent prognosis and symptom resolution.</p>\",\"PeriodicalId\":45846,\"journal\":{\"name\":\"Respirology Case Reports\",\"volume\":\"13 7\",\"pages\":\"e70291\"},\"PeriodicalIF\":0.8000,\"publicationDate\":\"2025-07-22\",\"publicationTypes\":\"Journal Article\",\"fieldsOfStudy\":null,\"isOpenAccess\":false,\"openAccessPdf\":\"https://www.ncbi.nlm.nih.gov/pmc/articles/PMC12284315/pdf/\",\"citationCount\":\"0\",\"resultStr\":null,\"platform\":\"Semanticscholar\",\"paperid\":null,\"PeriodicalName\":\"Respirology Case Reports\",\"FirstCategoryId\":\"1085\",\"ListUrlMain\":\"https://doi.org/10.1002/rcr2.70291\",\"RegionNum\":0,\"RegionCategory\":null,\"ArticlePicture\":[],\"TitleCN\":null,\"AbstractTextCN\":null,\"PMCID\":null,\"EPubDate\":\"2025/7/1 0:00:00\",\"PubModel\":\"eCollection\",\"JCR\":\"Q4\",\"JCRName\":\"RESPIRATORY SYSTEM\",\"Score\":null,\"Total\":0}","platform":"Semanticscholar","paperid":null,"PeriodicalName":"Respirology Case Reports","FirstCategoryId":"1085","ListUrlMain":"https://doi.org/10.1002/rcr2.70291","RegionNum":0,"RegionCategory":null,"ArticlePicture":[],"TitleCN":null,"AbstractTextCN":null,"PMCID":null,"EPubDate":"2025/7/1 0:00:00","PubModel":"eCollection","JCR":"Q4","JCRName":"RESPIRATORY SYSTEM","Score":null,"Total":0}
引用次数: 0

摘要

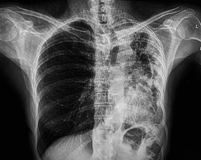
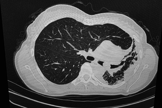
支气管内脂肪瘤是一种罕见的良性肿瘤,起源于支气管壁粘膜下脂肪,占所有肺部肿瘤的不到0.5%。这些肿瘤可表现为非特异性呼吸道症状,通常类似于常见的肺部疾病,如哮喘、慢性阻塞性肺病或感染,这使得诊断具有挑战性。我们提出的情况下,54岁的女性吸烟者谁经历了三个月的历史慢性生产性咳嗽,呼吸困难和反复呼吸道感染。在此期间,她接受了三名医疗服务提供者的评估,根据支气管炎或慢性阻塞性肺病加重的推定诊断,每个人都开了多个疗程的抗生素和吸入支气管扩张剂。值得注意的是,在初始阶段没有进行胸部成像。胸部影像显示左肺萎陷,支气管镜检查显示息肉样肿块阻塞左主支气管。组织病理学分析证实了支气管内脂肪瘤的诊断。本病例强调了在鉴别诊断慢性呼吸系统疾病时考虑良性支气管肿瘤的重要性,特别是在有吸烟史的患者中。完全切除,无论是支气管镜或手术,是治疗的选择,导致良好的预后和症状解决。
本文章由计算机程序翻译,如有差异,请以英文原文为准。

Endobronchial Lipoma: A Hidden Obstruction Behind Chronic Cough.

Endobronchial Lipoma: A Hidden Obstruction Behind Chronic Cough.

Endobronchial Lipoma: A Hidden Obstruction Behind Chronic Cough.

Endobronchial Lipoma: A Hidden Obstruction Behind Chronic Cough.

Endobronchial lipomas are rare, benign tumours that arise from the submucosal fat of the bronchial wall and account for less than 0.5% of all lung tumours. These tumours can present with non-specific respiratory symptoms, often mimicking common pulmonary conditions such as asthma, COPD, or infections, making diagnosis challenging. We present the case of a 54-year-old female smoker who experienced a three-month history of chronic productive cough, dyspnea and recurrent respiratory infections. During this period, she was evaluated by three healthcare providers, each of whom prescribed multiple courses of antibiotics and inhaled bronchodilators based on presumed diagnoses of bronchitis or COPD exacerbation. Notably, no chest imaging was performed at the initial stages. Chest imaging revealed left lung collapse, and bronchoscopy revealed a polypoidal mass obstructing the left main bronchus. Histopathological analysis confirmed the diagnosis of an endobronchial lipoma. This case highlights the importance of considering benign bronchial tumours in the differential diagnosis of chronic respiratory complaints, especially in patients with a smoking history. Complete excision, either bronchoscopic or surgical, is the treatment of choice, resulting in excellent prognosis and symptom resolution.

求助全文
通过发布文献求助,成功后即可免费获取论文全文。 去求助
来源期刊
Respirology Case Reports
Respirology Case Reports RESPIRATORY SYSTEM-
CiteScore
1.40
自引率
0.00%
发文量
178
审稿时长
8 weeks
期刊介绍: Respirology Case Reports is an open-access online journal dedicated to the publication of original clinical case reports, case series, clinical images and clinical videos in all fields of respiratory medicine. The Journal encourages the international exchange between clinicians and researchers of experiences in diagnosing and treating uncommon diseases or diseases with unusual presentations. All manuscripts are peer-reviewed through a streamlined process that aims at providing a rapid turnaround time from submission to publication.
×
引用
GB/T 7714-2015
复制
MLA
复制
APA
复制
导出至
BibTeX EndNote RefMan NoteFirst NoteExpress
×
提示
您的信息不完整,为了账户安全,请先补充。
现在去补充
×
提示
您因"违规操作"
具体请查看互助需知
我知道了
×
提示
确定
请完成安全验证×
copy
已复制链接
快去分享给好友吧!
我知道了
右上角分享
点击右上角分享
0
联系我们:info@booksci.cn Book学术提供免费学术资源搜索服务,方便国内外学者检索中英文文献。致力于提供最便捷和优质的服务体验。 Copyright © 2023 布克学术 All rights reserved.
京ICP备2023020795号-1
ghs 京公网安备 11010802042870号
Book学术文献互助
Book学术文献互助群
群 号:604180095
Book学术官方微信