半肺循环呼吸:单侧肺动脉发育不全3例。

IF 0.8 Q4 RESPIRATORY SYSTEM
Respirology Case Reports Pub Date : 2025-07-22 eCollection Date: 2025-07-01 DOI:10.1002/rcr2.70280
Vignesh Kumar Kathiresan, Benjamin Earnest Williams, V S Aswith Chowdary Jonnalagadda
{"title":"半肺循环呼吸:单侧肺动脉发育不全3例。","authors":"Vignesh Kumar Kathiresan, Benjamin Earnest Williams, V S Aswith Chowdary Jonnalagadda","doi":"10.1002/rcr2.70280","DOIUrl":null,"url":null,"abstract":"<p><p>Unilateral pulmonary artery atresia (UPAA) is a rare congenital anomaly marked by the absence of one of the pulmonary arteries. This article examines three instances of UPAA, predominantly affecting the right side, although one case involved the left side. Common characteristics included hemoptysis, observed in two patients-one with a chronic history necessitating embolization and another with a mild, recent onset. The third case was identified incidentally during a preoperative evaluation. All cases demonstrated varying degrees of ipsilateral lung volume reduction and associated interstitial changes or fibrosis. UPAA can be asymptomatic or present with hemoptysis, recurrent infections, or breathlessness. Diagnosis relies on computed tomography pulmonary angiography (CTPA) or magnetic resonance (MR) angiography. Management ranges from observation to embolization or pneumonectomy in severe cases. Mortality is around 7%, with pulmonary hypertension and haemorrhage being major prognostic factors.</p>","PeriodicalId":45846,"journal":{"name":"Respirology Case Reports","volume":"13 7","pages":"e70280"},"PeriodicalIF":0.8000,"publicationDate":"2025-07-22","publicationTypes":"Journal Article","fieldsOfStudy":null,"isOpenAccess":false,"openAccessPdf":"https://www.ncbi.nlm.nih.gov/pmc/articles/PMC12283216/pdf/","citationCount":"0","resultStr":"{\"title\":\"Breathing With Half a Pulmonary Circuit: Three Cases of Unilateral Pulmonary Artery Agenesis.\",\"authors\":\"Vignesh Kumar Kathiresan, Benjamin Earnest Williams, V S Aswith Chowdary Jonnalagadda\",\"doi\":\"10.1002/rcr2.70280\",\"DOIUrl\":null,\"url\":null,\"abstract\":\"<p><p>Unilateral pulmonary artery atresia (UPAA) is a rare congenital anomaly marked by the absence of one of the pulmonary arteries. This article examines three instances of UPAA, predominantly affecting the right side, although one case involved the left side. Common characteristics included hemoptysis, observed in two patients-one with a chronic history necessitating embolization and another with a mild, recent onset. The third case was identified incidentally during a preoperative evaluation. All cases demonstrated varying degrees of ipsilateral lung volume reduction and associated interstitial changes or fibrosis. UPAA can be asymptomatic or present with hemoptysis, recurrent infections, or breathlessness. Diagnosis relies on computed tomography pulmonary angiography (CTPA) or magnetic resonance (MR) angiography. Management ranges from observation to embolization or pneumonectomy in severe cases. Mortality is around 7%, with pulmonary hypertension and haemorrhage being major prognostic factors.</p>\",\"PeriodicalId\":45846,\"journal\":{\"name\":\"Respirology Case Reports\",\"volume\":\"13 7\",\"pages\":\"e70280\"},\"PeriodicalIF\":0.8000,\"publicationDate\":\"2025-07-22\",\"publicationTypes\":\"Journal Article\",\"fieldsOfStudy\":null,\"isOpenAccess\":false,\"openAccessPdf\":\"https://www.ncbi.nlm.nih.gov/pmc/articles/PMC12283216/pdf/\",\"citationCount\":\"0\",\"resultStr\":null,\"platform\":\"Semanticscholar\",\"paperid\":null,\"PeriodicalName\":\"Respirology Case Reports\",\"FirstCategoryId\":\"1085\",\"ListUrlMain\":\"https://doi.org/10.1002/rcr2.70280\",\"RegionNum\":0,\"RegionCategory\":null,\"ArticlePicture\":[],\"TitleCN\":null,\"AbstractTextCN\":null,\"PMCID\":null,\"EPubDate\":\"2025/7/1 0:00:00\",\"PubModel\":\"eCollection\",\"JCR\":\"Q4\",\"JCRName\":\"RESPIRATORY SYSTEM\",\"Score\":null,\"Total\":0}","platform":"Semanticscholar","paperid":null,"PeriodicalName":"Respirology Case Reports","FirstCategoryId":"1085","ListUrlMain":"https://doi.org/10.1002/rcr2.70280","RegionNum":0,"RegionCategory":null,"ArticlePicture":[],"TitleCN":null,"AbstractTextCN":null,"PMCID":null,"EPubDate":"2025/7/1 0:00:00","PubModel":"eCollection","JCR":"Q4","JCRName":"RESPIRATORY SYSTEM","Score":null,"Total":0}
引用次数: 0

摘要

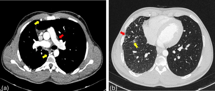
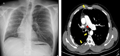
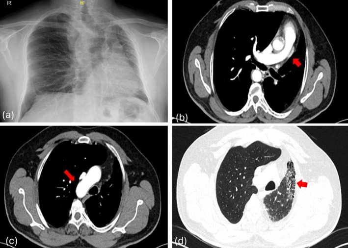
单侧肺动脉闭锁(UPAA)是一种罕见的先天性异常,其特征是缺少一条肺动脉。本文研究了三例UPAA,主要影响右侧,尽管有一例涉及左侧。常见的特征包括咯血,在两例患者中观察到,一例有慢性病史,需要栓塞,另一例是轻微的,最近发病。第三例是在术前评估时偶然发现的。所有病例均表现出不同程度的同侧肺体积缩小和相关间质改变或纤维化。UPAA可无症状或以咯血、反复感染或呼吸困难为表现。诊断依赖于计算机断层肺血管造影(CTPA)或磁共振血管造影(MR)。治疗方法从观察到栓塞或严重病例的全肺切除术。死亡率约为7%,肺动脉高压和出血是主要的预后因素。
本文章由计算机程序翻译,如有差异,请以英文原文为准。

Breathing With Half a Pulmonary Circuit: Three Cases of Unilateral Pulmonary Artery Agenesis.

Breathing With Half a Pulmonary Circuit: Three Cases of Unilateral Pulmonary Artery Agenesis.

Breathing With Half a Pulmonary Circuit: Three Cases of Unilateral Pulmonary Artery Agenesis.

Breathing With Half a Pulmonary Circuit: Three Cases of Unilateral Pulmonary Artery Agenesis.

Unilateral pulmonary artery atresia (UPAA) is a rare congenital anomaly marked by the absence of one of the pulmonary arteries. This article examines three instances of UPAA, predominantly affecting the right side, although one case involved the left side. Common characteristics included hemoptysis, observed in two patients-one with a chronic history necessitating embolization and another with a mild, recent onset. The third case was identified incidentally during a preoperative evaluation. All cases demonstrated varying degrees of ipsilateral lung volume reduction and associated interstitial changes or fibrosis. UPAA can be asymptomatic or present with hemoptysis, recurrent infections, or breathlessness. Diagnosis relies on computed tomography pulmonary angiography (CTPA) or magnetic resonance (MR) angiography. Management ranges from observation to embolization or pneumonectomy in severe cases. Mortality is around 7%, with pulmonary hypertension and haemorrhage being major prognostic factors.

求助全文
通过发布文献求助,成功后即可免费获取论文全文。 去求助
来源期刊
Respirology Case Reports
Respirology Case Reports RESPIRATORY SYSTEM-
CiteScore
1.40
自引率
0.00%
发文量
178
审稿时长
8 weeks
期刊介绍: Respirology Case Reports is an open-access online journal dedicated to the publication of original clinical case reports, case series, clinical images and clinical videos in all fields of respiratory medicine. The Journal encourages the international exchange between clinicians and researchers of experiences in diagnosing and treating uncommon diseases or diseases with unusual presentations. All manuscripts are peer-reviewed through a streamlined process that aims at providing a rapid turnaround time from submission to publication.
×
引用
GB/T 7714-2015
复制
MLA
复制
APA
复制
导出至
BibTeX EndNote RefMan NoteFirst NoteExpress
×
提示
您的信息不完整,为了账户安全,请先补充。
现在去补充
×
提示
您因"违规操作"
具体请查看互助需知
我知道了
×
提示
确定
请完成安全验证×
copy
已复制链接
快去分享给好友吧!
我知道了
右上角分享
点击右上角分享
0
联系我们:info@booksci.cn Book学术提供免费学术资源搜索服务,方便国内外学者检索中英文文献。致力于提供最便捷和优质的服务体验。 Copyright © 2023 布克学术 All rights reserved.
京ICP备2023020795号-1
ghs 京公网安备 11010802042870号
Book学术文献互助
Book学术文献互助群
群 号:604180095
Book学术官方微信