弥漫性特发性骨骼肥厚症中脊柱不稳定引起的双侧大量胸腔积液:一种罕见但潜在严重的脊柱骨折并发症。

IF 0.8 Q4 RESPIRATORY SYSTEM
Respirology Case Reports Pub Date : 2025-07-22 eCollection Date: 2025-07-01 DOI:10.1002/rcr2.70277
Keisuke Nishikawa, Tetsuo Tani, Takeshi Fujii, Kota Ishioka, Hideaki Imabayashi, Saeko Takahashi
{"title":"弥漫性特发性骨骼肥厚症中脊柱不稳定引起的双侧大量胸腔积液:一种罕见但潜在严重的脊柱骨折并发症。","authors":"Keisuke Nishikawa, Tetsuo Tani, Takeshi Fujii, Kota Ishioka, Hideaki Imabayashi, Saeko Takahashi","doi":"10.1002/rcr2.70277","DOIUrl":null,"url":null,"abstract":"<p><p>A 71-year-old man with diffuse idiopathic skeletal hyperostosis (DISH) underwent posterior spinal fixation for a thoracic vertebral fracture at a fused segment, sustained as a result of a fall. One month postoperatively, he was readmitted due to bilateral massive pleural effusions and increased displacement at the fracture site compared to the immediate postoperative state. The effusions were exudative and lymphocyte-predominant. Further evaluation suggested that inflammation and pleural irritation due to spinal instability were the likely causes. Revision fixation led to the resolution of the effusions. Vertebral fractures caused by low-energy trauma, such as a fall, rarely result in spinal instability severe enough to cause pleural effusion, even in cases of nonunion. However, patients with DISH are more prone to highly unstable fractures due to spinal ankylosis and bone fragility. Even after surgical fixation, such fractures may progress to further instability. We report a case in which this instability led to localised inflammation and pleural irritation, ultimately resulting in bilateral pleural effusions. DISH is commonly seen in older adults and has been associated with obesity and diabetes mellitus. Its prevalence is reportedly increasing. Therefore, both internists and orthopaedic surgeons should be aware of the potential for similar cases and consider spinal instability related to DISH in the differential diagnosis and management of unexplained pleural effusions.</p>","PeriodicalId":45846,"journal":{"name":"Respirology Case Reports","volume":"13 7","pages":"e70277"},"PeriodicalIF":0.8000,"publicationDate":"2025-07-22","publicationTypes":"Journal Article","fieldsOfStudy":null,"isOpenAccess":false,"openAccessPdf":"https://www.ncbi.nlm.nih.gov/pmc/articles/PMC12284312/pdf/","citationCount":"0","resultStr":"{\"title\":\"Bilateral Massive Pleural Effusion Caused by Spinal Instability in Diffuse Idiopathic Skeletal Hyperostosis: A Rare but Potentially Serious Complication of Spinal Fracture.\",\"authors\":\"Keisuke Nishikawa, Tetsuo Tani, Takeshi Fujii, Kota Ishioka, Hideaki Imabayashi, Saeko Takahashi\",\"doi\":\"10.1002/rcr2.70277\",\"DOIUrl\":null,\"url\":null,\"abstract\":\"<p><p>A 71-year-old man with diffuse idiopathic skeletal hyperostosis (DISH) underwent posterior spinal fixation for a thoracic vertebral fracture at a fused segment, sustained as a result of a fall. One month postoperatively, he was readmitted due to bilateral massive pleural effusions and increased displacement at the fracture site compared to the immediate postoperative state. The effusions were exudative and lymphocyte-predominant. Further evaluation suggested that inflammation and pleural irritation due to spinal instability were the likely causes. Revision fixation led to the resolution of the effusions. Vertebral fractures caused by low-energy trauma, such as a fall, rarely result in spinal instability severe enough to cause pleural effusion, even in cases of nonunion. However, patients with DISH are more prone to highly unstable fractures due to spinal ankylosis and bone fragility. Even after surgical fixation, such fractures may progress to further instability. We report a case in which this instability led to localised inflammation and pleural irritation, ultimately resulting in bilateral pleural effusions. DISH is commonly seen in older adults and has been associated with obesity and diabetes mellitus. Its prevalence is reportedly increasing. Therefore, both internists and orthopaedic surgeons should be aware of the potential for similar cases and consider spinal instability related to DISH in the differential diagnosis and management of unexplained pleural effusions.</p>\",\"PeriodicalId\":45846,\"journal\":{\"name\":\"Respirology Case Reports\",\"volume\":\"13 7\",\"pages\":\"e70277\"},\"PeriodicalIF\":0.8000,\"publicationDate\":\"2025-07-22\",\"publicationTypes\":\"Journal Article\",\"fieldsOfStudy\":null,\"isOpenAccess\":false,\"openAccessPdf\":\"https://www.ncbi.nlm.nih.gov/pmc/articles/PMC12284312/pdf/\",\"citationCount\":\"0\",\"resultStr\":null,\"platform\":\"Semanticscholar\",\"paperid\":null,\"PeriodicalName\":\"Respirology Case Reports\",\"FirstCategoryId\":\"1085\",\"ListUrlMain\":\"https://doi.org/10.1002/rcr2.70277\",\"RegionNum\":0,\"RegionCategory\":null,\"ArticlePicture\":[],\"TitleCN\":null,\"AbstractTextCN\":null,\"PMCID\":null,\"EPubDate\":\"2025/7/1 0:00:00\",\"PubModel\":\"eCollection\",\"JCR\":\"Q4\",\"JCRName\":\"RESPIRATORY SYSTEM\",\"Score\":null,\"Total\":0}","platform":"Semanticscholar","paperid":null,"PeriodicalName":"Respirology Case Reports","FirstCategoryId":"1085","ListUrlMain":"https://doi.org/10.1002/rcr2.70277","RegionNum":0,"RegionCategory":null,"ArticlePicture":[],"TitleCN":null,"AbstractTextCN":null,"PMCID":null,"EPubDate":"2025/7/1 0:00:00","PubModel":"eCollection","JCR":"Q4","JCRName":"RESPIRATORY SYSTEM","Score":null,"Total":0}
引用次数: 0

摘要

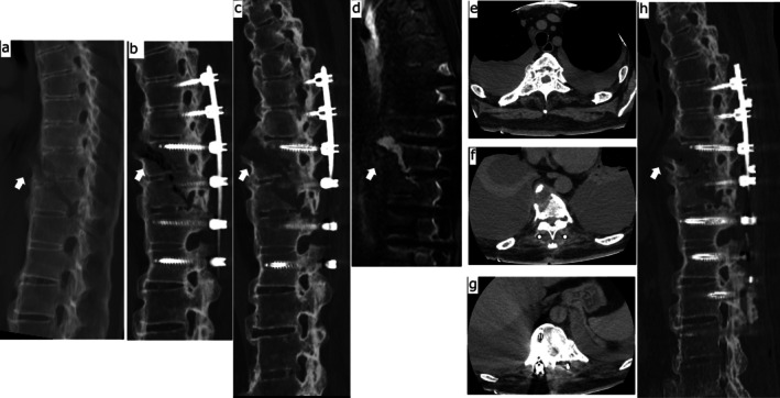
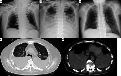
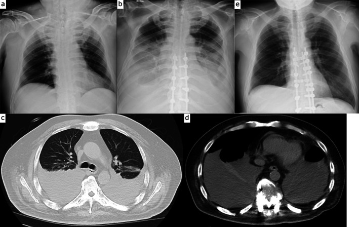
一例71岁男性弥漫性特发性骨骼肥厚症(DISH)患者因跌倒导致胸椎融合段骨折,接受后路脊柱固定治疗。术后1个月,患者因双侧大量胸腔积液和骨折部位移位较术后立即增加而再次入院。渗出性积液以淋巴细胞为主。进一步的评估表明,由于脊柱不稳定引起的炎症和胸膜刺激是可能的原因。翻修固定导致积液的溶解。低能量创伤引起的椎体骨折,如跌倒,很少导致脊柱不稳定,严重到足以引起胸腔积液,即使在不愈合的情况下也是如此。然而,由于脊柱强直和骨骼脆弱,DISH患者更容易发生高度不稳定骨折。即使在手术固定后,这种骨折也可能进一步发展为不稳定。我们报告一个病例,这种不稳定性导致局部炎症和胸膜刺激,最终导致双侧胸膜积液。DISH常见于老年人,与肥胖和糖尿病有关。据报道,其流行率正在上升。因此,内科医生和骨科医生都应该意识到类似病例的可能性,并在鉴别诊断和处理不明原因的胸腔积液时考虑与DISH相关的脊柱不稳定。
本文章由计算机程序翻译,如有差异,请以英文原文为准。

Bilateral Massive Pleural Effusion Caused by Spinal Instability in Diffuse Idiopathic Skeletal Hyperostosis: A Rare but Potentially Serious Complication of Spinal Fracture.

Bilateral Massive Pleural Effusion Caused by Spinal Instability in Diffuse Idiopathic Skeletal Hyperostosis: A Rare but Potentially Serious Complication of Spinal Fracture.

Bilateral Massive Pleural Effusion Caused by Spinal Instability in Diffuse Idiopathic Skeletal Hyperostosis: A Rare but Potentially Serious Complication of Spinal Fracture.

Bilateral Massive Pleural Effusion Caused by Spinal Instability in Diffuse Idiopathic Skeletal Hyperostosis: A Rare but Potentially Serious Complication of Spinal Fracture.

A 71-year-old man with diffuse idiopathic skeletal hyperostosis (DISH) underwent posterior spinal fixation for a thoracic vertebral fracture at a fused segment, sustained as a result of a fall. One month postoperatively, he was readmitted due to bilateral massive pleural effusions and increased displacement at the fracture site compared to the immediate postoperative state. The effusions were exudative and lymphocyte-predominant. Further evaluation suggested that inflammation and pleural irritation due to spinal instability were the likely causes. Revision fixation led to the resolution of the effusions. Vertebral fractures caused by low-energy trauma, such as a fall, rarely result in spinal instability severe enough to cause pleural effusion, even in cases of nonunion. However, patients with DISH are more prone to highly unstable fractures due to spinal ankylosis and bone fragility. Even after surgical fixation, such fractures may progress to further instability. We report a case in which this instability led to localised inflammation and pleural irritation, ultimately resulting in bilateral pleural effusions. DISH is commonly seen in older adults and has been associated with obesity and diabetes mellitus. Its prevalence is reportedly increasing. Therefore, both internists and orthopaedic surgeons should be aware of the potential for similar cases and consider spinal instability related to DISH in the differential diagnosis and management of unexplained pleural effusions.

求助全文
通过发布文献求助,成功后即可免费获取论文全文。 去求助
来源期刊
Respirology Case Reports
Respirology Case Reports RESPIRATORY SYSTEM-
CiteScore
1.40
自引率
0.00%
发文量
178
审稿时长
8 weeks
期刊介绍: Respirology Case Reports is an open-access online journal dedicated to the publication of original clinical case reports, case series, clinical images and clinical videos in all fields of respiratory medicine. The Journal encourages the international exchange between clinicians and researchers of experiences in diagnosing and treating uncommon diseases or diseases with unusual presentations. All manuscripts are peer-reviewed through a streamlined process that aims at providing a rapid turnaround time from submission to publication.
×
引用
GB/T 7714-2015
复制
MLA
复制
APA
复制
导出至
BibTeX EndNote RefMan NoteFirst NoteExpress
×
提示
您的信息不完整,为了账户安全,请先补充。
现在去补充
×
提示
您因"违规操作"
具体请查看互助需知
我知道了
×
提示
确定
请完成安全验证×
copy
已复制链接
快去分享给好友吧!
我知道了
右上角分享
点击右上角分享
0
联系我们:info@booksci.cn Book学术提供免费学术资源搜索服务,方便国内外学者检索中英文文献。致力于提供最便捷和优质的服务体验。 Copyright © 2023 布克学术 All rights reserved.
京ICP备2023020795号-1
ghs 京公网安备 11010802042870号
Book学术文献互助
Book学术文献互助群
群 号:604180095
Book学术官方微信