经胸超声心动图引导血流动力学管理维持颅外-颅内旁路术脑灌注1例报告。

IF 0.7 Q4 CLINICAL NEUROLOGY
Journal of Neurological Surgery Reports Pub Date : 2025-07-22 eCollection Date: 2025-07-01 DOI:10.1055/a-2650-6679
Beddome C Allen, Chesney S Oravec, Stacey Q Wolfe, Saraschandra Vallabhajosyula, Sahil Kapoor, Sai Varun Bethina, Aarti Sarwal
{"title":"经胸超声心动图引导血流动力学管理维持颅外-颅内旁路术脑灌注1例报告。","authors":"Beddome C Allen, Chesney S Oravec, Stacey Q Wolfe, Saraschandra Vallabhajosyula, Sahil Kapoor, Sai Varun Bethina, Aarti Sarwal","doi":"10.1055/a-2650-6679","DOIUrl":null,"url":null,"abstract":"<p><p>A 70-year-old man with transient ischemic attacks (TIAs) due to left internal carotid artery (ICA) occlusion underwent external carotid to ICA bypass which occluded postoperatively. He developed aphasia which resolved with induced hypertension optimized by using serial transthoracic echocardiography in the setting of left ventricle outflow tract obstruction.</p>","PeriodicalId":44256,"journal":{"name":"Journal of Neurological Surgery Reports","volume":"86 3","pages":"e165-e169"},"PeriodicalIF":0.7000,"publicationDate":"2025-07-22","publicationTypes":"Journal Article","fieldsOfStudy":null,"isOpenAccess":false,"openAccessPdf":"https://www.ncbi.nlm.nih.gov/pmc/articles/PMC12283219/pdf/","citationCount":"0","resultStr":"{\"title\":\"Transthoracic Echocardiogram Guided Hemodynamic Management to Maintain Cerebral Perfusion in an Extracranial-Intracranial Bypass Case: Case Report.\",\"authors\":\"Beddome C Allen, Chesney S Oravec, Stacey Q Wolfe, Saraschandra Vallabhajosyula, Sahil Kapoor, Sai Varun Bethina, Aarti Sarwal\",\"doi\":\"10.1055/a-2650-6679\",\"DOIUrl\":null,\"url\":null,\"abstract\":\"<p><p>A 70-year-old man with transient ischemic attacks (TIAs) due to left internal carotid artery (ICA) occlusion underwent external carotid to ICA bypass which occluded postoperatively. He developed aphasia which resolved with induced hypertension optimized by using serial transthoracic echocardiography in the setting of left ventricle outflow tract obstruction.</p>\",\"PeriodicalId\":44256,\"journal\":{\"name\":\"Journal of Neurological Surgery Reports\",\"volume\":\"86 3\",\"pages\":\"e165-e169\"},\"PeriodicalIF\":0.7000,\"publicationDate\":\"2025-07-22\",\"publicationTypes\":\"Journal Article\",\"fieldsOfStudy\":null,\"isOpenAccess\":false,\"openAccessPdf\":\"https://www.ncbi.nlm.nih.gov/pmc/articles/PMC12283219/pdf/\",\"citationCount\":\"0\",\"resultStr\":null,\"platform\":\"Semanticscholar\",\"paperid\":null,\"PeriodicalName\":\"Journal of Neurological Surgery Reports\",\"FirstCategoryId\":\"1085\",\"ListUrlMain\":\"https://doi.org/10.1055/a-2650-6679\",\"RegionNum\":0,\"RegionCategory\":null,\"ArticlePicture\":[],\"TitleCN\":null,\"AbstractTextCN\":null,\"PMCID\":null,\"EPubDate\":\"2025/7/1 0:00:00\",\"PubModel\":\"eCollection\",\"JCR\":\"Q4\",\"JCRName\":\"CLINICAL NEUROLOGY\",\"Score\":null,\"Total\":0}","platform":"Semanticscholar","paperid":null,"PeriodicalName":"Journal of Neurological Surgery Reports","FirstCategoryId":"1085","ListUrlMain":"https://doi.org/10.1055/a-2650-6679","RegionNum":0,"RegionCategory":null,"ArticlePicture":[],"TitleCN":null,"AbstractTextCN":null,"PMCID":null,"EPubDate":"2025/7/1 0:00:00","PubModel":"eCollection","JCR":"Q4","JCRName":"CLINICAL NEUROLOGY","Score":null,"Total":0}
引用次数: 0

摘要

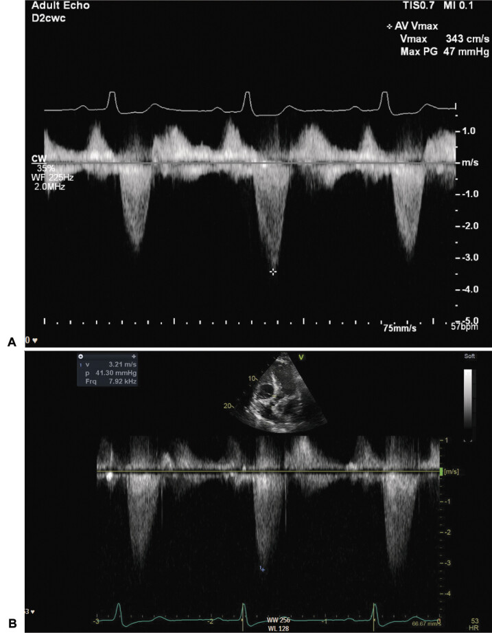
一位70岁的男性,由于左颈内动脉(ICA)闭塞而发生短暂性脑缺血发作(tia),他接受了颈外动脉到ICA的搭桥手术,该搭桥术后闭塞。在左心室流出道梗阻的情况下,经胸连续超声心动图优化后,患者出现失语,并以诱发高血压解决。
本文章由计算机程序翻译,如有差异,请以英文原文为准。

Transthoracic Echocardiogram Guided Hemodynamic Management to Maintain Cerebral Perfusion in an Extracranial-Intracranial Bypass Case: Case Report.

Transthoracic Echocardiogram Guided Hemodynamic Management to Maintain Cerebral Perfusion in an Extracranial-Intracranial Bypass Case: Case Report.

Transthoracic Echocardiogram Guided Hemodynamic Management to Maintain Cerebral Perfusion in an Extracranial-Intracranial Bypass Case: Case Report.

A 70-year-old man with transient ischemic attacks (TIAs) due to left internal carotid artery (ICA) occlusion underwent external carotid to ICA bypass which occluded postoperatively. He developed aphasia which resolved with induced hypertension optimized by using serial transthoracic echocardiography in the setting of left ventricle outflow tract obstruction.

求助全文
通过发布文献求助,成功后即可免费获取论文全文。 去求助
来源期刊
自引率
0.00%
发文量
31
审稿时长
12 weeks
×
引用
GB/T 7714-2015
复制
MLA
复制
APA
复制
导出至
BibTeX EndNote RefMan NoteFirst NoteExpress
×
提示
您的信息不完整,为了账户安全,请先补充。
现在去补充
×
提示
您因"违规操作"
具体请查看互助需知
我知道了
×
提示
确定
请完成安全验证×
copy
已复制链接
快去分享给好友吧!
我知道了
右上角分享
点击右上角分享
0
联系我们:info@booksci.cn Book学术提供免费学术资源搜索服务,方便国内外学者检索中英文文献。致力于提供最便捷和优质的服务体验。 Copyright © 2023 布克学术 All rights reserved.
京ICP备2023020795号-1
ghs 京公网安备 11010802042870号
Book学术文献互助
Book学术文献互助群
群 号:604180095
Book学术官方微信