结核相关慢性阻塞性肺疾病的病理生理、临床表现和治疗:综述

IF 0.2 Q3 MEDICINE, GENERAL & INTERNAL
Ewha Medical Journal Pub Date : 2025-04-01 Epub Date: 2025-03-19 DOI:10.12771/emj.2025.00059
Joon Young Choi
{"title":"结核相关慢性阻塞性肺疾病的病理生理、临床表现和治疗:综述","authors":"Joon Young Choi","doi":"10.12771/emj.2025.00059","DOIUrl":null,"url":null,"abstract":"<p><p>Chronic obstructive pulmonary disease (COPD) is a leading cause of respiratory morbidity and mortality, most often linked to smoking. However, growing evidence indicates that previous tuberculosis (TB) infection is also a critical risk factor for COPD. This review aimed at providing a comprehensive perspective on TB-COPD, covering its epidemiologic significance, pathogenesis, clinical characteristics, and current management approaches. Tuberculosis-associated chronic obstructive pulmonary disease (TB-COPD) is characterized by persistent inflammatory responses, altered immune pathways, and extensive structural lung damage-manifested as cavitation, fibrosis, and airway remodeling. Multiple epidemiologic studies have shown that individuals with a history of TB have a significantly higher likelihood of developing COPD and experiencing worse outcomes, such as increased breathlessness and frequent exacerbations. Key pathogenic mechanisms include elevated matrix metalloproteinase activity and excessive neutrophil-driven inflammation, which lead to alveolar destruction, fibrotic scarring, and the development of bronchiectasis. Treatment generally follows current COPD guidelines, advocating the use of long-acting bronchodilators and the selective application of inhaled corticosteroids. Studies have demonstrated that indacaterol significantly improves lung function and respiratory symptoms, while long-acting muscarinic antagonists have shown survival benefits.</p>","PeriodicalId":41392,"journal":{"name":"Ewha Medical Journal","volume":"48 2","pages":"e24"},"PeriodicalIF":0.2000,"publicationDate":"2025-04-01","publicationTypes":"Journal Article","fieldsOfStudy":null,"isOpenAccess":false,"openAccessPdf":"https://www.ncbi.nlm.nih.gov/pmc/articles/PMC12277497/pdf/","citationCount":"0","resultStr":"{\"title\":\"Pathophysiology, clinical manifestation, and treatment of tuberculosis-associated chronic obstructive pulmonary disease: a narrative review.\",\"authors\":\"Joon Young Choi\",\"doi\":\"10.12771/emj.2025.00059\",\"DOIUrl\":null,\"url\":null,\"abstract\":\"<p><p>Chronic obstructive pulmonary disease (COPD) is a leading cause of respiratory morbidity and mortality, most often linked to smoking. However, growing evidence indicates that previous tuberculosis (TB) infection is also a critical risk factor for COPD. This review aimed at providing a comprehensive perspective on TB-COPD, covering its epidemiologic significance, pathogenesis, clinical characteristics, and current management approaches. Tuberculosis-associated chronic obstructive pulmonary disease (TB-COPD) is characterized by persistent inflammatory responses, altered immune pathways, and extensive structural lung damage-manifested as cavitation, fibrosis, and airway remodeling. Multiple epidemiologic studies have shown that individuals with a history of TB have a significantly higher likelihood of developing COPD and experiencing worse outcomes, such as increased breathlessness and frequent exacerbations. Key pathogenic mechanisms include elevated matrix metalloproteinase activity and excessive neutrophil-driven inflammation, which lead to alveolar destruction, fibrotic scarring, and the development of bronchiectasis. Treatment generally follows current COPD guidelines, advocating the use of long-acting bronchodilators and the selective application of inhaled corticosteroids. Studies have demonstrated that indacaterol significantly improves lung function and respiratory symptoms, while long-acting muscarinic antagonists have shown survival benefits.</p>\",\"PeriodicalId\":41392,\"journal\":{\"name\":\"Ewha Medical Journal\",\"volume\":\"48 2\",\"pages\":\"e24\"},\"PeriodicalIF\":0.2000,\"publicationDate\":\"2025-04-01\",\"publicationTypes\":\"Journal Article\",\"fieldsOfStudy\":null,\"isOpenAccess\":false,\"openAccessPdf\":\"https://www.ncbi.nlm.nih.gov/pmc/articles/PMC12277497/pdf/\",\"citationCount\":\"0\",\"resultStr\":null,\"platform\":\"Semanticscholar\",\"paperid\":null,\"PeriodicalName\":\"Ewha Medical Journal\",\"FirstCategoryId\":\"1085\",\"ListUrlMain\":\"https://doi.org/10.12771/emj.2025.00059\",\"RegionNum\":0,\"RegionCategory\":null,\"ArticlePicture\":[],\"TitleCN\":null,\"AbstractTextCN\":null,\"PMCID\":null,\"EPubDate\":\"2025/3/19 0:00:00\",\"PubModel\":\"Epub\",\"JCR\":\"Q3\",\"JCRName\":\"MEDICINE, GENERAL & INTERNAL\",\"Score\":null,\"Total\":0}","platform":"Semanticscholar","paperid":null,"PeriodicalName":"Ewha Medical Journal","FirstCategoryId":"1085","ListUrlMain":"https://doi.org/10.12771/emj.2025.00059","RegionNum":0,"RegionCategory":null,"ArticlePicture":[],"TitleCN":null,"AbstractTextCN":null,"PMCID":null,"EPubDate":"2025/3/19 0:00:00","PubModel":"Epub","JCR":"Q3","JCRName":"MEDICINE, GENERAL & INTERNAL","Score":null,"Total":0}
引用次数: 0

摘要

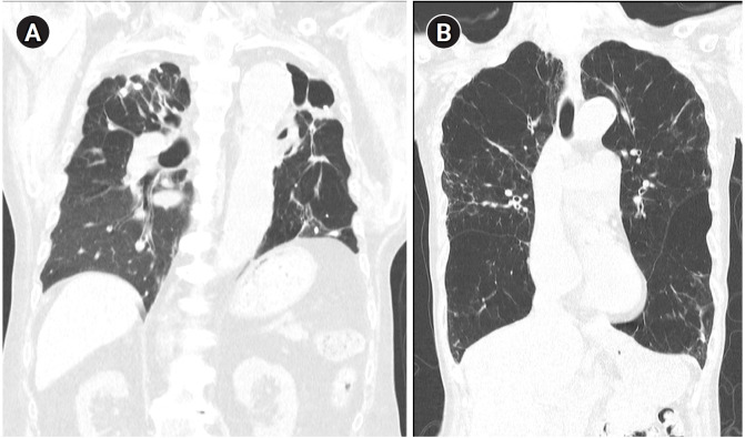
慢性阻塞性肺疾病(COPD)是呼吸道疾病和死亡的主要原因,通常与吸烟有关。然而,越来越多的证据表明,既往结核病感染也是COPD的一个关键危险因素。本文综述了结核病-慢性阻塞性肺病的流行病学意义、发病机制、临床特点和目前的治疗方法。结核病相关慢性阻塞性肺疾病(TB-COPD)的特征是持续的炎症反应、免疫途径改变和广泛的结构性肺损伤,表现为空化、纤维化和气道重塑。多项流行病学研究表明,有结核病病史的人患慢性阻塞性肺病的可能性明显更高,并出现更糟糕的结果,如呼吸困难加剧和病情频繁恶化。主要的致病机制包括基质金属蛋白酶活性升高和中性粒细胞驱动的过度炎症,导致肺泡破坏、纤维化瘢痕形成和支气管扩张的发展。治疗一般遵循当前COPD指南,提倡使用长效支气管扩张剂和选择性应用吸入皮质类固醇。研究表明,茚达特罗可显著改善肺功能和呼吸系统症状,而长效毒蕈碱拮抗剂已显示出生存益处。
本文章由计算机程序翻译,如有差异,请以英文原文为准。

Pathophysiology, clinical manifestation, and treatment of tuberculosis-associated chronic obstructive pulmonary disease: a narrative review.

Pathophysiology, clinical manifestation, and treatment of tuberculosis-associated chronic obstructive pulmonary disease: a narrative review.

Chronic obstructive pulmonary disease (COPD) is a leading cause of respiratory morbidity and mortality, most often linked to smoking. However, growing evidence indicates that previous tuberculosis (TB) infection is also a critical risk factor for COPD. This review aimed at providing a comprehensive perspective on TB-COPD, covering its epidemiologic significance, pathogenesis, clinical characteristics, and current management approaches. Tuberculosis-associated chronic obstructive pulmonary disease (TB-COPD) is characterized by persistent inflammatory responses, altered immune pathways, and extensive structural lung damage-manifested as cavitation, fibrosis, and airway remodeling. Multiple epidemiologic studies have shown that individuals with a history of TB have a significantly higher likelihood of developing COPD and experiencing worse outcomes, such as increased breathlessness and frequent exacerbations. Key pathogenic mechanisms include elevated matrix metalloproteinase activity and excessive neutrophil-driven inflammation, which lead to alveolar destruction, fibrotic scarring, and the development of bronchiectasis. Treatment generally follows current COPD guidelines, advocating the use of long-acting bronchodilators and the selective application of inhaled corticosteroids. Studies have demonstrated that indacaterol significantly improves lung function and respiratory symptoms, while long-acting muscarinic antagonists have shown survival benefits.

求助全文
通过发布文献求助,成功后即可免费获取论文全文。 去求助
来源期刊
Ewha Medical Journal
Ewha Medical Journal MEDICINE, GENERAL & INTERNAL-
自引率
33.30%
发文量
28
×
引用
GB/T 7714-2015
复制
MLA
复制
APA
复制
导出至
BibTeX EndNote RefMan NoteFirst NoteExpress
×
提示
您的信息不完整,为了账户安全,请先补充。
现在去补充
×
提示
您因"违规操作"
具体请查看互助需知
我知道了
×
提示
确定
请完成安全验证×
copy
已复制链接
快去分享给好友吧!
我知道了
右上角分享
点击右上角分享
0
联系我们:info@booksci.cn Book学术提供免费学术资源搜索服务,方便国内外学者检索中英文文献。致力于提供最便捷和优质的服务体验。 Copyright © 2023 布克学术 All rights reserved.
京ICP备2023020795号-1
ghs 京公网安备 11010802042870号
Book学术文献互助
Book学术文献互助群
群 号:604180095
Book学术官方微信