异尖线虫幼虫蜕皮膜对人嗜酸性血清的免疫原性。

IF 0.2 Q3 MEDICINE, GENERAL & INTERNAL
Ewha Medical Journal Pub Date : 2025-04-01 Epub Date: 2025-04-08 DOI:10.12771/emj.2025.00311
Sooji Hong, Bong-Kwang Jung, Hyun-Jong Yang
{"title":"异尖线虫幼虫蜕皮膜对人嗜酸性血清的免疫原性。","authors":"Sooji Hong, Bong-Kwang Jung, Hyun-Jong Yang","doi":"10.12771/emj.2025.00311","DOIUrl":null,"url":null,"abstract":"<p><strong>Purpose: </strong>This study aimed to investigate whether proteins present in the molting membranes of third-stage (L3) <i>Anisakis</i> larvae could serve as potential risk factors for allergic reactions.</p><p><strong>Methods: </strong>Third-stage larvae (L3) of <i>Anisakis</i> spp. were primarily collected from mackerels and cultured in vitro to yield both molting membranes and fourth-stage (L4) larvae. Major soluble proteins in the molting membranes were identified using SDS-PAGE (sodium dodecyl sulfate-polyacrylamide gel electrophoresis). Crude antigens extracted from L3, L4, and the molting membranes were subsequently evaluated by western blotting using sera from <i>Anisakis</i>-infected rabbits and patients with eosinophilia.</p><p><strong>Results: </strong>Antigens derived from the molting membranes reacted with sera from <i>Anisakis</i>-infected rabbits as well as with sera from 7 patients with eosinophilia of unknown origin. These findings suggest that unidentified proteins in the molting membranes of <i>Anisakis</i> L3 may contribute to early allergic reactions, particularly in patients sensitized by specific molecular components.</p><p><strong>Conclusion: </strong>Our results indicate that proteins present in the molting membranes of third-stage <i>Anisakis</i> spp. larvae may be associated with allergic responses. Further studies are required to confirm the correlation between these membranes and <i>Anisakis</i>-induced allergies.</p>","PeriodicalId":41392,"journal":{"name":"Ewha Medical Journal","volume":"48 2","pages":"e29"},"PeriodicalIF":0.2000,"publicationDate":"2025-04-01","publicationTypes":"Journal Article","fieldsOfStudy":null,"isOpenAccess":false,"openAccessPdf":"https://www.ncbi.nlm.nih.gov/pmc/articles/PMC12277491/pdf/","citationCount":"0","resultStr":"{\"title\":\"Immunogenicity of <i>Anisakis</i> larvae molting membrane against human eosinophilia sera.\",\"authors\":\"Sooji Hong, Bong-Kwang Jung, Hyun-Jong Yang\",\"doi\":\"10.12771/emj.2025.00311\",\"DOIUrl\":null,\"url\":null,\"abstract\":\"<p><strong>Purpose: </strong>This study aimed to investigate whether proteins present in the molting membranes of third-stage (L3) <i>Anisakis</i> larvae could serve as potential risk factors for allergic reactions.</p><p><strong>Methods: </strong>Third-stage larvae (L3) of <i>Anisakis</i> spp. were primarily collected from mackerels and cultured in vitro to yield both molting membranes and fourth-stage (L4) larvae. Major soluble proteins in the molting membranes were identified using SDS-PAGE (sodium dodecyl sulfate-polyacrylamide gel electrophoresis). Crude antigens extracted from L3, L4, and the molting membranes were subsequently evaluated by western blotting using sera from <i>Anisakis</i>-infected rabbits and patients with eosinophilia.</p><p><strong>Results: </strong>Antigens derived from the molting membranes reacted with sera from <i>Anisakis</i>-infected rabbits as well as with sera from 7 patients with eosinophilia of unknown origin. These findings suggest that unidentified proteins in the molting membranes of <i>Anisakis</i> L3 may contribute to early allergic reactions, particularly in patients sensitized by specific molecular components.</p><p><strong>Conclusion: </strong>Our results indicate that proteins present in the molting membranes of third-stage <i>Anisakis</i> spp. larvae may be associated with allergic responses. Further studies are required to confirm the correlation between these membranes and <i>Anisakis</i>-induced allergies.</p>\",\"PeriodicalId\":41392,\"journal\":{\"name\":\"Ewha Medical Journal\",\"volume\":\"48 2\",\"pages\":\"e29\"},\"PeriodicalIF\":0.2000,\"publicationDate\":\"2025-04-01\",\"publicationTypes\":\"Journal Article\",\"fieldsOfStudy\":null,\"isOpenAccess\":false,\"openAccessPdf\":\"https://www.ncbi.nlm.nih.gov/pmc/articles/PMC12277491/pdf/\",\"citationCount\":\"0\",\"resultStr\":null,\"platform\":\"Semanticscholar\",\"paperid\":null,\"PeriodicalName\":\"Ewha Medical Journal\",\"FirstCategoryId\":\"1085\",\"ListUrlMain\":\"https://doi.org/10.12771/emj.2025.00311\",\"RegionNum\":0,\"RegionCategory\":null,\"ArticlePicture\":[],\"TitleCN\":null,\"AbstractTextCN\":null,\"PMCID\":null,\"EPubDate\":\"2025/4/8 0:00:00\",\"PubModel\":\"Epub\",\"JCR\":\"Q3\",\"JCRName\":\"MEDICINE, GENERAL & INTERNAL\",\"Score\":null,\"Total\":0}","platform":"Semanticscholar","paperid":null,"PeriodicalName":"Ewha Medical Journal","FirstCategoryId":"1085","ListUrlMain":"https://doi.org/10.12771/emj.2025.00311","RegionNum":0,"RegionCategory":null,"ArticlePicture":[],"TitleCN":null,"AbstractTextCN":null,"PMCID":null,"EPubDate":"2025/4/8 0:00:00","PubModel":"Epub","JCR":"Q3","JCRName":"MEDICINE, GENERAL & INTERNAL","Score":null,"Total":0}
引用次数: 0

摘要

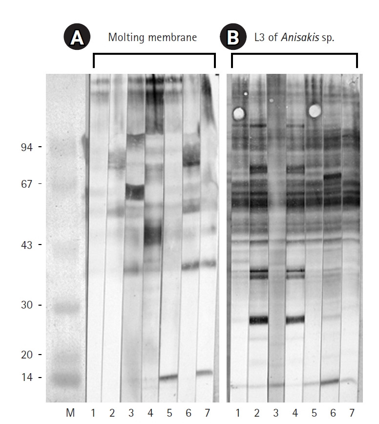
目的:本研究旨在探讨异尖akis第三期(L3)幼虫蜕皮膜中的蛋白质是否可能成为过敏反应的潜在危险因素。方法:主要从鲭鱼身上采集异尖线虫第三期幼虫(L3),体外培养产生蜕皮膜和第四期幼虫(L4)。利用SDS-PAGE(十二烷基硫酸钠-聚丙烯酰胺凝胶电泳)鉴定了脱毛膜中的主要可溶性蛋白。从L3、L4和蜕皮膜中提取粗抗原,随后用免疫印迹法对感染兔和嗜酸性粒细胞增多症患者的血清进行检测。结果:从蜕皮膜中提取的抗原与兔兔感染的血清以及7例来源不明的嗜酸性粒细胞增多症患者的血清发生反应。这些发现表明,异尖线虫L3蜕皮膜中未知的蛋白质可能有助于早期过敏反应,特别是对特定分子成分致敏的患者。结论:异尖线虫第三期幼虫蜕皮膜中存在的蛋白可能与过敏反应有关。需要进一步的研究来证实这些膜与茴香虫引起的过敏之间的相关性。
本文章由计算机程序翻译,如有差异,请以英文原文为准。

Immunogenicity of <i>Anisakis</i> larvae molting membrane against human eosinophilia sera.

Immunogenicity of <i>Anisakis</i> larvae molting membrane against human eosinophilia sera.

Immunogenicity of <i>Anisakis</i> larvae molting membrane against human eosinophilia sera.

Immunogenicity of Anisakis larvae molting membrane against human eosinophilia sera.

Purpose: This study aimed to investigate whether proteins present in the molting membranes of third-stage (L3) Anisakis larvae could serve as potential risk factors for allergic reactions.

Methods: Third-stage larvae (L3) of Anisakis spp. were primarily collected from mackerels and cultured in vitro to yield both molting membranes and fourth-stage (L4) larvae. Major soluble proteins in the molting membranes were identified using SDS-PAGE (sodium dodecyl sulfate-polyacrylamide gel electrophoresis). Crude antigens extracted from L3, L4, and the molting membranes were subsequently evaluated by western blotting using sera from Anisakis-infected rabbits and patients with eosinophilia.

Results: Antigens derived from the molting membranes reacted with sera from Anisakis-infected rabbits as well as with sera from 7 patients with eosinophilia of unknown origin. These findings suggest that unidentified proteins in the molting membranes of Anisakis L3 may contribute to early allergic reactions, particularly in patients sensitized by specific molecular components.

Conclusion: Our results indicate that proteins present in the molting membranes of third-stage Anisakis spp. larvae may be associated with allergic responses. Further studies are required to confirm the correlation between these membranes and Anisakis-induced allergies.

求助全文
通过发布文献求助,成功后即可免费获取论文全文。 去求助
来源期刊
Ewha Medical Journal
Ewha Medical Journal MEDICINE, GENERAL & INTERNAL-
自引率
33.30%
发文量
28
×
引用
GB/T 7714-2015
复制
MLA
复制
APA
复制
导出至
BibTeX EndNote RefMan NoteFirst NoteExpress
×
提示
您的信息不完整,为了账户安全,请先补充。
现在去补充
×
提示
您因"违规操作"
具体请查看互助需知
我知道了
×
提示
确定
请完成安全验证×
copy
已复制链接
快去分享给好友吧!
我知道了
右上角分享
点击右上角分享
0
联系我们:info@booksci.cn Book学术提供免费学术资源搜索服务,方便国内外学者检索中英文文献。致力于提供最便捷和优质的服务体验。 Copyright © 2023 布克学术 All rights reserved.
京ICP备2023020795号-1
ghs 京公网安备 11010802042870号
Book学术文献互助
Book学术文献互助群
群 号:604180095
Book学术官方微信