肝细胞癌的组织病理学和分子异质性:一个叙述性的回顾。

IF 0.2 Q3 MEDICINE, GENERAL & INTERNAL
Ewha Medical Journal Pub Date : 2024-10-01 Epub Date: 2024-10-31 DOI:10.12771/emj.2024.e58
Wonju Chung, Haeryoung Kim
{"title":"肝细胞癌的组织病理学和分子异质性:一个叙述性的回顾。","authors":"Wonju Chung, Haeryoung Kim","doi":"10.12771/emj.2024.e58","DOIUrl":null,"url":null,"abstract":"<p><p>Hepatocellular carcinoma (HCC) remains a leading cause of cancer-related deaths worldwide, with poor clinical outcomes due to challenges in early detection and limited efficacy of current treatments such as receptor tyrosine kinase inhibitors and immunotherapy. HCC exhibits significant heterogeneity at both histopathological and molecular levels, complicating its management but offering potential for personalized therapeutic approaches. This review outlines the morpho-molecular heterogeneity of HCC and summarizes various histological subtypes, including steatohepatitic, clear cell, macrotrabecular-massive, scirrhous, lymphocyte-rich, and fibrolamellar HCCs. Each subtype possesses distinct clinical, histological, and molecular features; for instance, steatohepatitic HCC is associated with metabolic dysfunction and shows IL-6/JAK/STAT activation, while clear cell HCCs often have <i>IDH1</i> mutations and favorable prognosis. The macrotrabecular-massive subtype is linked to poor outcomes and <i>TP53</i> mutations, whereas scirrhous HCCs express stemness markers and have <i>TSC1/TSC2</i> mutations. Lymphocyte-rich HCCs are characterized by immune cell infiltration and better prognosis. <i>CTNNB1</i>-mutated HCCs show specific morphological features and may benefit from targeted therapies. Understanding these subtypes and associated molecular alterations is crucial for developing effective diagnostic and therapeutic strategies, including potential predictive biomarkers and personalized treatments. Additionally, the identification of patterns like vessels-encapsulating-tumor-clusters offers prognostic implications and may guide therapeutic decisions. Recent molecular studies have enhanced our comprehension of HCC heterogeneity, laying the groundwork for more personalized approaches. Pathologists play a vital role in recognizing these subtypes, aiding in prognosis prediction and treatment planning. Advances in digital pathology and artificial intelligence may further facilitate biomarker research, ultimately improving patient outcomes in HCC management.</p>","PeriodicalId":41392,"journal":{"name":"Ewha Medical Journal","volume":"47 4","pages":"e58"},"PeriodicalIF":0.2000,"publicationDate":"2024-10-01","publicationTypes":"Journal Article","fieldsOfStudy":null,"isOpenAccess":false,"openAccessPdf":"https://www.ncbi.nlm.nih.gov/pmc/articles/PMC12093535/pdf/","citationCount":"0","resultStr":"{\"title\":\"The histopathological and molecular heterogeneity of hepatocellular carcinoma: a narrative review.\",\"authors\":\"Wonju Chung, Haeryoung Kim\",\"doi\":\"10.12771/emj.2024.e58\",\"DOIUrl\":null,\"url\":null,\"abstract\":\"<p><p>Hepatocellular carcinoma (HCC) remains a leading cause of cancer-related deaths worldwide, with poor clinical outcomes due to challenges in early detection and limited efficacy of current treatments such as receptor tyrosine kinase inhibitors and immunotherapy. HCC exhibits significant heterogeneity at both histopathological and molecular levels, complicating its management but offering potential for personalized therapeutic approaches. This review outlines the morpho-molecular heterogeneity of HCC and summarizes various histological subtypes, including steatohepatitic, clear cell, macrotrabecular-massive, scirrhous, lymphocyte-rich, and fibrolamellar HCCs. Each subtype possesses distinct clinical, histological, and molecular features; for instance, steatohepatitic HCC is associated with metabolic dysfunction and shows IL-6/JAK/STAT activation, while clear cell HCCs often have <i>IDH1</i> mutations and favorable prognosis. The macrotrabecular-massive subtype is linked to poor outcomes and <i>TP53</i> mutations, whereas scirrhous HCCs express stemness markers and have <i>TSC1/TSC2</i> mutations. Lymphocyte-rich HCCs are characterized by immune cell infiltration and better prognosis. <i>CTNNB1</i>-mutated HCCs show specific morphological features and may benefit from targeted therapies. Understanding these subtypes and associated molecular alterations is crucial for developing effective diagnostic and therapeutic strategies, including potential predictive biomarkers and personalized treatments. Additionally, the identification of patterns like vessels-encapsulating-tumor-clusters offers prognostic implications and may guide therapeutic decisions. Recent molecular studies have enhanced our comprehension of HCC heterogeneity, laying the groundwork for more personalized approaches. Pathologists play a vital role in recognizing these subtypes, aiding in prognosis prediction and treatment planning. Advances in digital pathology and artificial intelligence may further facilitate biomarker research, ultimately improving patient outcomes in HCC management.</p>\",\"PeriodicalId\":41392,\"journal\":{\"name\":\"Ewha Medical Journal\",\"volume\":\"47 4\",\"pages\":\"e58\"},\"PeriodicalIF\":0.2000,\"publicationDate\":\"2024-10-01\",\"publicationTypes\":\"Journal Article\",\"fieldsOfStudy\":null,\"isOpenAccess\":false,\"openAccessPdf\":\"https://www.ncbi.nlm.nih.gov/pmc/articles/PMC12093535/pdf/\",\"citationCount\":\"0\",\"resultStr\":null,\"platform\":\"Semanticscholar\",\"paperid\":null,\"PeriodicalName\":\"Ewha Medical Journal\",\"FirstCategoryId\":\"1085\",\"ListUrlMain\":\"https://doi.org/10.12771/emj.2024.e58\",\"RegionNum\":0,\"RegionCategory\":null,\"ArticlePicture\":[],\"TitleCN\":null,\"AbstractTextCN\":null,\"PMCID\":null,\"EPubDate\":\"2024/10/31 0:00:00\",\"PubModel\":\"Epub\",\"JCR\":\"Q3\",\"JCRName\":\"MEDICINE, GENERAL & INTERNAL\",\"Score\":null,\"Total\":0}","platform":"Semanticscholar","paperid":null,"PeriodicalName":"Ewha Medical Journal","FirstCategoryId":"1085","ListUrlMain":"https://doi.org/10.12771/emj.2024.e58","RegionNum":0,"RegionCategory":null,"ArticlePicture":[],"TitleCN":null,"AbstractTextCN":null,"PMCID":null,"EPubDate":"2024/10/31 0:00:00","PubModel":"Epub","JCR":"Q3","JCRName":"MEDICINE, GENERAL & INTERNAL","Score":null,"Total":0}
引用次数: 0

摘要

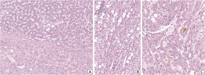
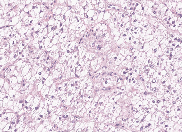
肝细胞癌(HCC)仍然是全球癌症相关死亡的主要原因,由于早期发现的挑战和目前治疗(如受体酪氨酸激酶抑制剂和免疫治疗)的疗效有限,临床结果不佳。HCC在组织病理学和分子水平上均表现出显著的异质性,这使其治疗复杂化,但为个性化治疗方法提供了潜力。本文概述了HCC的形态分子异质性,并总结了各种组织学亚型,包括脂肪肝型、透明细胞型、大梁块状型、硬化型、富含淋巴细胞型和纤维板层型HCC。每个亚型具有不同的临床、组织学和分子特征;例如,脂肪性肝细胞性HCC与代谢功能障碍相关,显示IL-6/JAK/STAT激活,而透明细胞型HCC通常有IDH1突变,预后良好。大小梁-块状亚型与预后不良和TP53突变有关,而硬化型hcc表达干细胞标记物并具有TSC1/TSC2突变。富淋巴细胞hcc的特点是免疫细胞浸润,预后较好。ctnnb1突变的hcc表现出特定的形态特征,可能受益于靶向治疗。了解这些亚型和相关的分子改变对于制定有效的诊断和治疗策略至关重要,包括潜在的预测性生物标志物和个性化治疗。此外,血管包膜-肿瘤簇等模式的识别提供了预后意义,并可能指导治疗决策。最近的分子研究增强了我们对HCC异质性的理解,为更个性化的治疗方法奠定了基础。病理学家在识别这些亚型,帮助预后预测和治疗计划方面发挥着至关重要的作用。数字病理学和人工智能的进步可能进一步促进生物标志物的研究,最终改善HCC治疗的患者结果。
本文章由计算机程序翻译,如有差异,请以英文原文为准。

The histopathological and molecular heterogeneity of hepatocellular carcinoma: a narrative review.

The histopathological and molecular heterogeneity of hepatocellular carcinoma: a narrative review.

The histopathological and molecular heterogeneity of hepatocellular carcinoma: a narrative review.

The histopathological and molecular heterogeneity of hepatocellular carcinoma: a narrative review.

Hepatocellular carcinoma (HCC) remains a leading cause of cancer-related deaths worldwide, with poor clinical outcomes due to challenges in early detection and limited efficacy of current treatments such as receptor tyrosine kinase inhibitors and immunotherapy. HCC exhibits significant heterogeneity at both histopathological and molecular levels, complicating its management but offering potential for personalized therapeutic approaches. This review outlines the morpho-molecular heterogeneity of HCC and summarizes various histological subtypes, including steatohepatitic, clear cell, macrotrabecular-massive, scirrhous, lymphocyte-rich, and fibrolamellar HCCs. Each subtype possesses distinct clinical, histological, and molecular features; for instance, steatohepatitic HCC is associated with metabolic dysfunction and shows IL-6/JAK/STAT activation, while clear cell HCCs often have IDH1 mutations and favorable prognosis. The macrotrabecular-massive subtype is linked to poor outcomes and TP53 mutations, whereas scirrhous HCCs express stemness markers and have TSC1/TSC2 mutations. Lymphocyte-rich HCCs are characterized by immune cell infiltration and better prognosis. CTNNB1-mutated HCCs show specific morphological features and may benefit from targeted therapies. Understanding these subtypes and associated molecular alterations is crucial for developing effective diagnostic and therapeutic strategies, including potential predictive biomarkers and personalized treatments. Additionally, the identification of patterns like vessels-encapsulating-tumor-clusters offers prognostic implications and may guide therapeutic decisions. Recent molecular studies have enhanced our comprehension of HCC heterogeneity, laying the groundwork for more personalized approaches. Pathologists play a vital role in recognizing these subtypes, aiding in prognosis prediction and treatment planning. Advances in digital pathology and artificial intelligence may further facilitate biomarker research, ultimately improving patient outcomes in HCC management.

求助全文
通过发布文献求助,成功后即可免费获取论文全文。 去求助
来源期刊
Ewha Medical Journal
Ewha Medical Journal MEDICINE, GENERAL & INTERNAL-
自引率
33.30%
发文量
28
×
引用
GB/T 7714-2015
复制
MLA
复制
APA
复制
导出至
BibTeX EndNote RefMan NoteFirst NoteExpress
×
提示
您的信息不完整,为了账户安全,请先补充。
现在去补充
×
提示
您因"违规操作"
具体请查看互助需知
我知道了
×
提示
确定
请完成安全验证×
copy
已复制链接
快去分享给好友吧!
我知道了
右上角分享
点击右上角分享
0
联系我们:info@booksci.cn Book学术提供免费学术资源搜索服务,方便国内外学者检索中英文文献。致力于提供最便捷和优质的服务体验。 Copyright © 2023 布克学术 All rights reserved.
京ICP备2023020795号-1
ghs 京公网安备 11010802042870号
Book学术文献互助
Book学术文献互助群
群 号:604180095
Book学术官方微信