老年人肩关节疾病的影像学特征,包括粘连性囊炎、肩袖撕裂和肩关节骨关节炎:叙述性回顾

IF 0.2 Q3 MEDICINE, GENERAL & INTERNAL
Ewha Medical Journal Pub Date : 2025-01-01 Epub Date: 2025-01-31 DOI:10.12771/emj.2025.e10
Myung-Seo Kim, Tae-Hoon Jung
{"title":"老年人肩关节疾病的影像学特征,包括粘连性囊炎、肩袖撕裂和肩关节骨关节炎:叙述性回顾","authors":"Myung-Seo Kim, Tae-Hoon Jung","doi":"10.12771/emj.2025.e10","DOIUrl":null,"url":null,"abstract":"<p><p>Shoulder diseases, including adhesive capsulitis, rotator cuff tear, and osteoarthritis of the glenohumeral joint, can significantly impair daily activities in older adult patients. This review aims to examine the radiologic findings associated with these shoulder conditions in older patients, providing insights for accurate diagnosis and effective treatment. Adhesive capsulitis, commonly known as frozen shoulder, leads to pain and restricted movement, thereby causing shoulder dysfunction. Recent advances in diagnostic technology have greatly enhanced the sensitivity and accuracy of diagnosing this condition through radiologic evaluations, including MRI, magnetic resonance arthrography (MRA), and high-resolution ultrasound. Rotator cuff disease is another frequent issue in older adults, with full-thickness tears occurring in 50%-80% of cases. Both MRI and MRA are highly sensitive and specific in identifying rotator cuff tears. Additionally, ultrasonography is recognized for its high sensitivity and specificity in detecting tears of the supraspinatus tendon. Although osteoarthritis of the glenohumeral joint is less commonly prevalent, its advanced stages can severely affect the function of the upper extremity. Plain radiography is typically the first imaging technique used to assess this type of osteoarthritis. As the condition worsens, CT is utilized to measure glenoid bone loss, glenoid version, and inclination, which are crucial for accurate surgical planning. Each imaging modality provides distinct benefits: plain radiographs for initial structural assessment, ultrasonography for real-time evaluation of soft tissues, MRI/MRA for detailed visualization of capsular and tendinous lesions, and CT for precise bony analysis.</p>","PeriodicalId":41392,"journal":{"name":"Ewha Medical Journal","volume":"48 1","pages":"e10"},"PeriodicalIF":0.2000,"publicationDate":"2025-01-01","publicationTypes":"Journal Article","fieldsOfStudy":null,"isOpenAccess":false,"openAccessPdf":"https://www.ncbi.nlm.nih.gov/pmc/articles/PMC12277897/pdf/","citationCount":"0","resultStr":"{\"title\":\"Radiological characteristics of shoulder diseases in older adults, including adhesive capsulitis, rotator cuff tear, and osteoarthritis of the glenohumeral joint: a narrative review.\",\"authors\":\"Myung-Seo Kim, Tae-Hoon Jung\",\"doi\":\"10.12771/emj.2025.e10\",\"DOIUrl\":null,\"url\":null,\"abstract\":\"<p><p>Shoulder diseases, including adhesive capsulitis, rotator cuff tear, and osteoarthritis of the glenohumeral joint, can significantly impair daily activities in older adult patients. This review aims to examine the radiologic findings associated with these shoulder conditions in older patients, providing insights for accurate diagnosis and effective treatment. Adhesive capsulitis, commonly known as frozen shoulder, leads to pain and restricted movement, thereby causing shoulder dysfunction. Recent advances in diagnostic technology have greatly enhanced the sensitivity and accuracy of diagnosing this condition through radiologic evaluations, including MRI, magnetic resonance arthrography (MRA), and high-resolution ultrasound. Rotator cuff disease is another frequent issue in older adults, with full-thickness tears occurring in 50%-80% of cases. Both MRI and MRA are highly sensitive and specific in identifying rotator cuff tears. Additionally, ultrasonography is recognized for its high sensitivity and specificity in detecting tears of the supraspinatus tendon. Although osteoarthritis of the glenohumeral joint is less commonly prevalent, its advanced stages can severely affect the function of the upper extremity. Plain radiography is typically the first imaging technique used to assess this type of osteoarthritis. As the condition worsens, CT is utilized to measure glenoid bone loss, glenoid version, and inclination, which are crucial for accurate surgical planning. Each imaging modality provides distinct benefits: plain radiographs for initial structural assessment, ultrasonography for real-time evaluation of soft tissues, MRI/MRA for detailed visualization of capsular and tendinous lesions, and CT for precise bony analysis.</p>\",\"PeriodicalId\":41392,\"journal\":{\"name\":\"Ewha Medical Journal\",\"volume\":\"48 1\",\"pages\":\"e10\"},\"PeriodicalIF\":0.2000,\"publicationDate\":\"2025-01-01\",\"publicationTypes\":\"Journal Article\",\"fieldsOfStudy\":null,\"isOpenAccess\":false,\"openAccessPdf\":\"https://www.ncbi.nlm.nih.gov/pmc/articles/PMC12277897/pdf/\",\"citationCount\":\"0\",\"resultStr\":null,\"platform\":\"Semanticscholar\",\"paperid\":null,\"PeriodicalName\":\"Ewha Medical Journal\",\"FirstCategoryId\":\"1085\",\"ListUrlMain\":\"https://doi.org/10.12771/emj.2025.e10\",\"RegionNum\":0,\"RegionCategory\":null,\"ArticlePicture\":[],\"TitleCN\":null,\"AbstractTextCN\":null,\"PMCID\":null,\"EPubDate\":\"2025/1/31 0:00:00\",\"PubModel\":\"Epub\",\"JCR\":\"Q3\",\"JCRName\":\"MEDICINE, GENERAL & INTERNAL\",\"Score\":null,\"Total\":0}","platform":"Semanticscholar","paperid":null,"PeriodicalName":"Ewha Medical Journal","FirstCategoryId":"1085","ListUrlMain":"https://doi.org/10.12771/emj.2025.e10","RegionNum":0,"RegionCategory":null,"ArticlePicture":[],"TitleCN":null,"AbstractTextCN":null,"PMCID":null,"EPubDate":"2025/1/31 0:00:00","PubModel":"Epub","JCR":"Q3","JCRName":"MEDICINE, GENERAL & INTERNAL","Score":null,"Total":0}
引用次数: 0

摘要

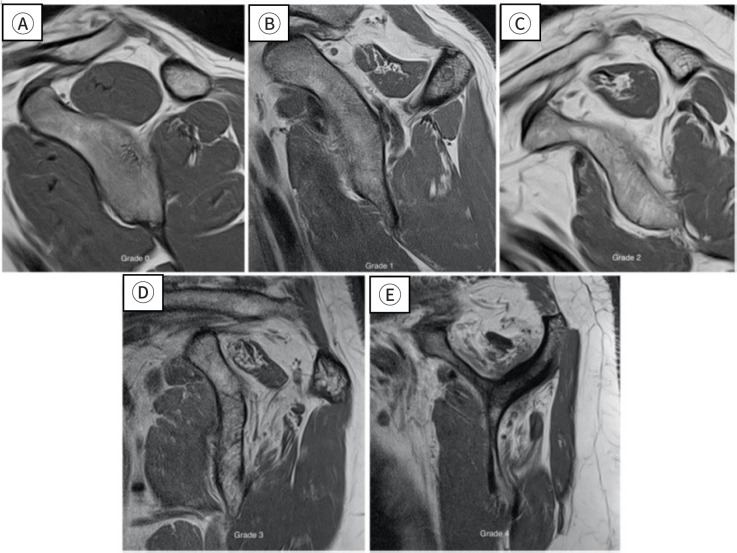
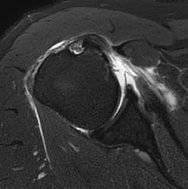
肩部疾病,包括粘连性囊炎、肩袖撕裂和肩关节骨关节炎,可严重损害老年成人患者的日常活动。本综述旨在探讨老年患者这些肩关节疾病的影像学表现,为准确诊断和有效治疗提供见解。粘连性囊炎,俗称冻肩,导致疼痛和活动受限,从而引起肩关节功能障碍。最近诊断技术的进步极大地提高了通过放射学评估诊断这种疾病的敏感性和准确性,包括MRI,磁共振关节成像(MRA)和高分辨率超声。肩袖疾病是老年人的另一个常见问题,50%-80%的病例发生全层撕裂。MRI和MRA在识别肩袖撕裂方面都是高度敏感和特异性的。此外,超声在检测冈上肌腱撕裂方面具有很高的敏感性和特异性。虽然肩关节骨关节炎不太常见,但其晚期可严重影响上肢的功能。x线平片通常是评估这类骨关节炎的首选成像技术。随着病情的恶化,CT被用于测量关节盂骨丢失、关节盂形态和关节盂倾斜度,这对于精确的手术计划至关重要。每种成像方式都有其独特的优势:x线平片用于初始结构评估,超声检查用于软组织的实时评估,MRI/MRA用于详细可视化囊和肌腱病变,CT用于精确的骨骼分析。
本文章由计算机程序翻译,如有差异,请以英文原文为准。

Radiological characteristics of shoulder diseases in older adults, including adhesive capsulitis, rotator cuff tear, and osteoarthritis of the glenohumeral joint: a narrative review.

Radiological characteristics of shoulder diseases in older adults, including adhesive capsulitis, rotator cuff tear, and osteoarthritis of the glenohumeral joint: a narrative review.

Radiological characteristics of shoulder diseases in older adults, including adhesive capsulitis, rotator cuff tear, and osteoarthritis of the glenohumeral joint: a narrative review.

Radiological characteristics of shoulder diseases in older adults, including adhesive capsulitis, rotator cuff tear, and osteoarthritis of the glenohumeral joint: a narrative review.

Shoulder diseases, including adhesive capsulitis, rotator cuff tear, and osteoarthritis of the glenohumeral joint, can significantly impair daily activities in older adult patients. This review aims to examine the radiologic findings associated with these shoulder conditions in older patients, providing insights for accurate diagnosis and effective treatment. Adhesive capsulitis, commonly known as frozen shoulder, leads to pain and restricted movement, thereby causing shoulder dysfunction. Recent advances in diagnostic technology have greatly enhanced the sensitivity and accuracy of diagnosing this condition through radiologic evaluations, including MRI, magnetic resonance arthrography (MRA), and high-resolution ultrasound. Rotator cuff disease is another frequent issue in older adults, with full-thickness tears occurring in 50%-80% of cases. Both MRI and MRA are highly sensitive and specific in identifying rotator cuff tears. Additionally, ultrasonography is recognized for its high sensitivity and specificity in detecting tears of the supraspinatus tendon. Although osteoarthritis of the glenohumeral joint is less commonly prevalent, its advanced stages can severely affect the function of the upper extremity. Plain radiography is typically the first imaging technique used to assess this type of osteoarthritis. As the condition worsens, CT is utilized to measure glenoid bone loss, glenoid version, and inclination, which are crucial for accurate surgical planning. Each imaging modality provides distinct benefits: plain radiographs for initial structural assessment, ultrasonography for real-time evaluation of soft tissues, MRI/MRA for detailed visualization of capsular and tendinous lesions, and CT for precise bony analysis.

求助全文
通过发布文献求助,成功后即可免费获取论文全文。 去求助
来源期刊
Ewha Medical Journal
Ewha Medical Journal MEDICINE, GENERAL & INTERNAL-
自引率
33.30%
发文量
28
×
引用
GB/T 7714-2015
复制
MLA
复制
APA
复制
导出至
BibTeX EndNote RefMan NoteFirst NoteExpress
×
提示
您的信息不完整,为了账户安全,请先补充。
现在去补充
×
提示
您因"违规操作"
具体请查看互助需知
我知道了
×
提示
确定
请完成安全验证×
copy
已复制链接
快去分享给好友吧!
我知道了
右上角分享
点击右上角分享
0
联系我们:info@booksci.cn Book学术提供免费学术资源搜索服务,方便国内外学者检索中英文文献。致力于提供最便捷和优质的服务体验。 Copyright © 2023 布克学术 All rights reserved.
京ICP备2023020795号-1
ghs 京公网安备 11010802042870号
Book学术文献互助
Book学术文献互助群
群 号:604180095
Book学术官方微信