韩国患者中肥大细胞丰富和肥大细胞贫乏的酒渣鼻病变中炎症介质的表达无差异:一项比较研究。

IF 0.2 Q3 MEDICINE, GENERAL & INTERNAL
Ewha Medical Journal Pub Date : 2025-01-01 Epub Date: 2025-01-31 DOI:10.12771/emj.2024.e78
Jin Ju Lee, Bo Ram Kwon, Min Young Lee, Ji Yeon Byun, Joo Young Roh, Hae Young Choi, You Won Choi
{"title":"韩国患者中肥大细胞丰富和肥大细胞贫乏的酒渣鼻病变中炎症介质的表达无差异:一项比较研究。","authors":"Jin Ju Lee, Bo Ram Kwon, Min Young Lee, Ji Yeon Byun, Joo Young Roh, Hae Young Choi, You Won Choi","doi":"10.12771/emj.2024.e78","DOIUrl":null,"url":null,"abstract":"<p><p><b>Objectives:</b> This study aimed to evaluate the correlation between mast cell (MC) density in rosacea-affected skin and the expression of key inflammatory mediators, including IL-6, TNF-α, and cathelicidin LL-37. By comparing lesions rich in MCs with those having fewer MCs, we sought to elucidate the role of MCs in the inflammatory mechanisms underlying rosacea pathogenesis. <b>Methods:</b> Specimens were collected from 20 patients diagnosed with rosacea who attended the outpatient clinic between 2008 and 2013. Each specimen underwent staining using hematoxylin/eosin, Giemsa, IL-6, LL-37, and TNF-α for both histopathological and immunohistochemical analyses. The number of stained cells was counted across 10 randomly selected dermal layers at a magnification of ×400 using light microscopy. The results were categorized based on the number of MCs counted: more than 10 MCs were classified as MC-rich, and 10 or fewer MCs as MC-poor. <b>Results:</b> Among the 20 patients (10 MC-rich and 10 MC-poor), the MC-rich group demonstrated significantly higher MC counts than the MC-poor group (P<0.001). However, there were no significant differences in the expression levels of IL-6, LL-37, or TNF-α between the two groups. Additionally, MC density did not show any significant associations with patient demographics, clinical characteristics, or systemic comorbidities. <b>Conclusion:</b> Increased MC density was not associated with differences in IL-6, TNF-α, or LL-37 expression in rosacea lesions. These findings suggest that MC infiltration may not directly influence the inflammatory mediator profile in rosacea. Further research is required to identify distinctive pathological features or markers that can elucidate the mechanisms of rosacea.</p>","PeriodicalId":41392,"journal":{"name":"Ewha Medical Journal","volume":"48 1","pages":"e78"},"PeriodicalIF":0.2000,"publicationDate":"2025-01-01","publicationTypes":"Journal Article","fieldsOfStudy":null,"isOpenAccess":false,"openAccessPdf":"https://www.ncbi.nlm.nih.gov/pmc/articles/PMC12277890/pdf/","citationCount":"0","resultStr":"{\"title\":\"No difference in inflammatory mediator expression between mast cell-rich and mast cell-poor rosacea lesions in Korean patients: a comparative study.\",\"authors\":\"Jin Ju Lee, Bo Ram Kwon, Min Young Lee, Ji Yeon Byun, Joo Young Roh, Hae Young Choi, You Won Choi\",\"doi\":\"10.12771/emj.2024.e78\",\"DOIUrl\":null,\"url\":null,\"abstract\":\"<p><p><b>Objectives:</b> This study aimed to evaluate the correlation between mast cell (MC) density in rosacea-affected skin and the expression of key inflammatory mediators, including IL-6, TNF-α, and cathelicidin LL-37. By comparing lesions rich in MCs with those having fewer MCs, we sought to elucidate the role of MCs in the inflammatory mechanisms underlying rosacea pathogenesis. <b>Methods:</b> Specimens were collected from 20 patients diagnosed with rosacea who attended the outpatient clinic between 2008 and 2013. Each specimen underwent staining using hematoxylin/eosin, Giemsa, IL-6, LL-37, and TNF-α for both histopathological and immunohistochemical analyses. The number of stained cells was counted across 10 randomly selected dermal layers at a magnification of ×400 using light microscopy. The results were categorized based on the number of MCs counted: more than 10 MCs were classified as MC-rich, and 10 or fewer MCs as MC-poor. <b>Results:</b> Among the 20 patients (10 MC-rich and 10 MC-poor), the MC-rich group demonstrated significantly higher MC counts than the MC-poor group (P<0.001). However, there were no significant differences in the expression levels of IL-6, LL-37, or TNF-α between the two groups. Additionally, MC density did not show any significant associations with patient demographics, clinical characteristics, or systemic comorbidities. <b>Conclusion:</b> Increased MC density was not associated with differences in IL-6, TNF-α, or LL-37 expression in rosacea lesions. These findings suggest that MC infiltration may not directly influence the inflammatory mediator profile in rosacea. Further research is required to identify distinctive pathological features or markers that can elucidate the mechanisms of rosacea.</p>\",\"PeriodicalId\":41392,\"journal\":{\"name\":\"Ewha Medical Journal\",\"volume\":\"48 1\",\"pages\":\"e78\"},\"PeriodicalIF\":0.2000,\"publicationDate\":\"2025-01-01\",\"publicationTypes\":\"Journal Article\",\"fieldsOfStudy\":null,\"isOpenAccess\":false,\"openAccessPdf\":\"https://www.ncbi.nlm.nih.gov/pmc/articles/PMC12277890/pdf/\",\"citationCount\":\"0\",\"resultStr\":null,\"platform\":\"Semanticscholar\",\"paperid\":null,\"PeriodicalName\":\"Ewha Medical Journal\",\"FirstCategoryId\":\"1085\",\"ListUrlMain\":\"https://doi.org/10.12771/emj.2024.e78\",\"RegionNum\":0,\"RegionCategory\":null,\"ArticlePicture\":[],\"TitleCN\":null,\"AbstractTextCN\":null,\"PMCID\":null,\"EPubDate\":\"2025/1/31 0:00:00\",\"PubModel\":\"Epub\",\"JCR\":\"Q3\",\"JCRName\":\"MEDICINE, GENERAL & INTERNAL\",\"Score\":null,\"Total\":0}","platform":"Semanticscholar","paperid":null,"PeriodicalName":"Ewha Medical Journal","FirstCategoryId":"1085","ListUrlMain":"https://doi.org/10.12771/emj.2024.e78","RegionNum":0,"RegionCategory":null,"ArticlePicture":[],"TitleCN":null,"AbstractTextCN":null,"PMCID":null,"EPubDate":"2025/1/31 0:00:00","PubModel":"Epub","JCR":"Q3","JCRName":"MEDICINE, GENERAL & INTERNAL","Score":null,"Total":0}
引用次数: 0

摘要

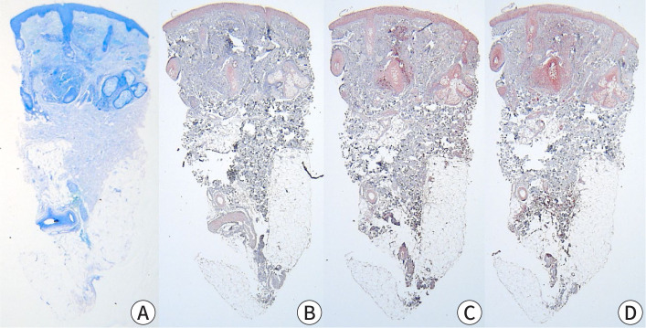
目的:本研究旨在评估酒糟皮肤肥大细胞(MC)密度与关键炎症介质IL-6、TNF-α和抗菌肽LL-37表达的相关性。通过比较富含MCs的病变和MCs较少的病变,我们试图阐明MCs在酒渣鼻发病机制下的炎症机制中的作用。方法:收集2008 - 2013年门诊诊断为酒渣鼻的20例患者标本。每个标本采用苏木精/伊红、吉姆萨、IL-6、LL-37和TNF-α染色,进行组织病理学和免疫组织化学分析。在光学显微镜下,在×400的放大倍数下,对随机选择的10个真皮层的染色细胞数量进行计数。根据统计的mc数量对结果进行分类:超过10个mc被归类为mc丰富,10个或更少的mc被归类为mc贫乏。结果:20例患者(10例MC-rich和10例MC-poor)中,MC-rich组的MC计数明显高于MC-poor组(结论:MC密度的增加与酒渣鼻病变中IL-6、TNF-α或LL-37的表达差异无关。这些结果表明,MC浸润可能不会直接影响酒渣鼻的炎症介质谱。需要进一步的研究来确定独特的病理特征或标志物,以阐明酒渣鼻的机制。
本文章由计算机程序翻译,如有差异,请以英文原文为准。

No difference in inflammatory mediator expression between mast cell-rich and mast cell-poor rosacea lesions in Korean patients: a comparative study.

No difference in inflammatory mediator expression between mast cell-rich and mast cell-poor rosacea lesions in Korean patients: a comparative study.

No difference in inflammatory mediator expression between mast cell-rich and mast cell-poor rosacea lesions in Korean patients: a comparative study.

Objectives: This study aimed to evaluate the correlation between mast cell (MC) density in rosacea-affected skin and the expression of key inflammatory mediators, including IL-6, TNF-α, and cathelicidin LL-37. By comparing lesions rich in MCs with those having fewer MCs, we sought to elucidate the role of MCs in the inflammatory mechanisms underlying rosacea pathogenesis. Methods: Specimens were collected from 20 patients diagnosed with rosacea who attended the outpatient clinic between 2008 and 2013. Each specimen underwent staining using hematoxylin/eosin, Giemsa, IL-6, LL-37, and TNF-α for both histopathological and immunohistochemical analyses. The number of stained cells was counted across 10 randomly selected dermal layers at a magnification of ×400 using light microscopy. The results were categorized based on the number of MCs counted: more than 10 MCs were classified as MC-rich, and 10 or fewer MCs as MC-poor. Results: Among the 20 patients (10 MC-rich and 10 MC-poor), the MC-rich group demonstrated significantly higher MC counts than the MC-poor group (P<0.001). However, there were no significant differences in the expression levels of IL-6, LL-37, or TNF-α between the two groups. Additionally, MC density did not show any significant associations with patient demographics, clinical characteristics, or systemic comorbidities. Conclusion: Increased MC density was not associated with differences in IL-6, TNF-α, or LL-37 expression in rosacea lesions. These findings suggest that MC infiltration may not directly influence the inflammatory mediator profile in rosacea. Further research is required to identify distinctive pathological features or markers that can elucidate the mechanisms of rosacea.

求助全文
通过发布文献求助,成功后即可免费获取论文全文。 去求助
来源期刊
Ewha Medical Journal
Ewha Medical Journal MEDICINE, GENERAL & INTERNAL-
自引率
33.30%
发文量
28
×
引用
GB/T 7714-2015
复制
MLA
复制
APA
复制
导出至
BibTeX EndNote RefMan NoteFirst NoteExpress
×
提示
您的信息不完整,为了账户安全,请先补充。
现在去补充
×
提示
您因"违规操作"
具体请查看互助需知
我知道了
×
提示
确定
请完成安全验证×
copy
已复制链接
快去分享给好友吧!
我知道了
右上角分享
点击右上角分享
0
联系我们:info@booksci.cn Book学术提供免费学术资源搜索服务,方便国内外学者检索中英文文献。致力于提供最便捷和优质的服务体验。 Copyright © 2023 布克学术 All rights reserved.
京ICP备2023020795号-1
ghs 京公网安备 11010802042870号
Book学术文献互助
Book学术文献互助群
群 号:604180095
Book学术官方微信