老年肩周病患者的保守治疗:叙述性回顾。

IF 0.2 Q3 MEDICINE, GENERAL & INTERNAL
Ewha Medical Journal Pub Date : 2025-01-01 Epub Date: 2025-01-31 DOI:10.12771/emj.2025.e1
Kook Jong Kim, Ho-Seung Jeong
{"title":"老年肩周病患者的保守治疗:叙述性回顾。","authors":"Kook Jong Kim, Ho-Seung Jeong","doi":"10.12771/emj.2025.e1","DOIUrl":null,"url":null,"abstract":"<p><p>The purpose of this review is to provide a comprehensive guide for managing older adult patients with shoulder diseases, specifically rotator cuff tears and osteoarthritis, and to explore effective nonsurgical treatment options. Chronic rotator cuff tears are typically degenerative, whereas acute tears result from trauma. A key feature of these tears is tendon degeneration accompanied by type III collagen predominance, predisposing tears to progression. Osteoarthritis in the glenohumeral joint arises from wear-and-tear changes that compromise cartilage integrity, leading to pain and restricted motion. Accurate clinical assessment and imaging, including plain radiographs, ultrasonography, and MRI, facilitate diagnosis and guide treatment. The physic-al examination emphasizes range of motion, rotator cuff strength, and scapular stability. Management strategies prioritize pain relief, function preservation, and improving mobility. Nonsurgical modalities, including exercise, manual therapy, and activity modification, constitute first-line treatments, especially for older adults. Pharmacological approaches involve NSAIDs, corticosteroid injections, and neuropathic pain medications. Steroid injections have short-term benefits, but repeated treatments may compromise tissue integrity. Platelet-rich plasma is a regenerative option that may improve tendon healing, but mixed findings highlight the need for further investigation. A structured physical therapy program focusing on range of motion and strengthening is essential, with alternative interventions used judiciously. Patients should be counseled regarding the potential progression of tears and the possible need for future surgical intervention if nonsurgical methods are unsuccessful. Multimodal approaches, including joint mobilization and personalized exercise regimens, hold potential for optimizing functional outcomes and supporting independence in older adults.</p>","PeriodicalId":41392,"journal":{"name":"Ewha Medical Journal","volume":"48 1","pages":"e1"},"PeriodicalIF":0.2000,"publicationDate":"2025-01-01","publicationTypes":"Journal Article","fieldsOfStudy":null,"isOpenAccess":false,"openAccessPdf":"https://www.ncbi.nlm.nih.gov/pmc/articles/PMC12277903/pdf/","citationCount":"0","resultStr":"{\"title\":\"Conservative treatment of older adult patients with shoulder diseases: a narrative review.\",\"authors\":\"Kook Jong Kim, Ho-Seung Jeong\",\"doi\":\"10.12771/emj.2025.e1\",\"DOIUrl\":null,\"url\":null,\"abstract\":\"<p><p>The purpose of this review is to provide a comprehensive guide for managing older adult patients with shoulder diseases, specifically rotator cuff tears and osteoarthritis, and to explore effective nonsurgical treatment options. Chronic rotator cuff tears are typically degenerative, whereas acute tears result from trauma. A key feature of these tears is tendon degeneration accompanied by type III collagen predominance, predisposing tears to progression. Osteoarthritis in the glenohumeral joint arises from wear-and-tear changes that compromise cartilage integrity, leading to pain and restricted motion. Accurate clinical assessment and imaging, including plain radiographs, ultrasonography, and MRI, facilitate diagnosis and guide treatment. The physic-al examination emphasizes range of motion, rotator cuff strength, and scapular stability. Management strategies prioritize pain relief, function preservation, and improving mobility. Nonsurgical modalities, including exercise, manual therapy, and activity modification, constitute first-line treatments, especially for older adults. Pharmacological approaches involve NSAIDs, corticosteroid injections, and neuropathic pain medications. Steroid injections have short-term benefits, but repeated treatments may compromise tissue integrity. Platelet-rich plasma is a regenerative option that may improve tendon healing, but mixed findings highlight the need for further investigation. A structured physical therapy program focusing on range of motion and strengthening is essential, with alternative interventions used judiciously. Patients should be counseled regarding the potential progression of tears and the possible need for future surgical intervention if nonsurgical methods are unsuccessful. Multimodal approaches, including joint mobilization and personalized exercise regimens, hold potential for optimizing functional outcomes and supporting independence in older adults.</p>\",\"PeriodicalId\":41392,\"journal\":{\"name\":\"Ewha Medical Journal\",\"volume\":\"48 1\",\"pages\":\"e1\"},\"PeriodicalIF\":0.2000,\"publicationDate\":\"2025-01-01\",\"publicationTypes\":\"Journal Article\",\"fieldsOfStudy\":null,\"isOpenAccess\":false,\"openAccessPdf\":\"https://www.ncbi.nlm.nih.gov/pmc/articles/PMC12277903/pdf/\",\"citationCount\":\"0\",\"resultStr\":null,\"platform\":\"Semanticscholar\",\"paperid\":null,\"PeriodicalName\":\"Ewha Medical Journal\",\"FirstCategoryId\":\"1085\",\"ListUrlMain\":\"https://doi.org/10.12771/emj.2025.e1\",\"RegionNum\":0,\"RegionCategory\":null,\"ArticlePicture\":[],\"TitleCN\":null,\"AbstractTextCN\":null,\"PMCID\":null,\"EPubDate\":\"2025/1/31 0:00:00\",\"PubModel\":\"Epub\",\"JCR\":\"Q3\",\"JCRName\":\"MEDICINE, GENERAL & INTERNAL\",\"Score\":null,\"Total\":0}","platform":"Semanticscholar","paperid":null,"PeriodicalName":"Ewha Medical Journal","FirstCategoryId":"1085","ListUrlMain":"https://doi.org/10.12771/emj.2025.e1","RegionNum":0,"RegionCategory":null,"ArticlePicture":[],"TitleCN":null,"AbstractTextCN":null,"PMCID":null,"EPubDate":"2025/1/31 0:00:00","PubModel":"Epub","JCR":"Q3","JCRName":"MEDICINE, GENERAL & INTERNAL","Score":null,"Total":0}
引用次数: 0

摘要

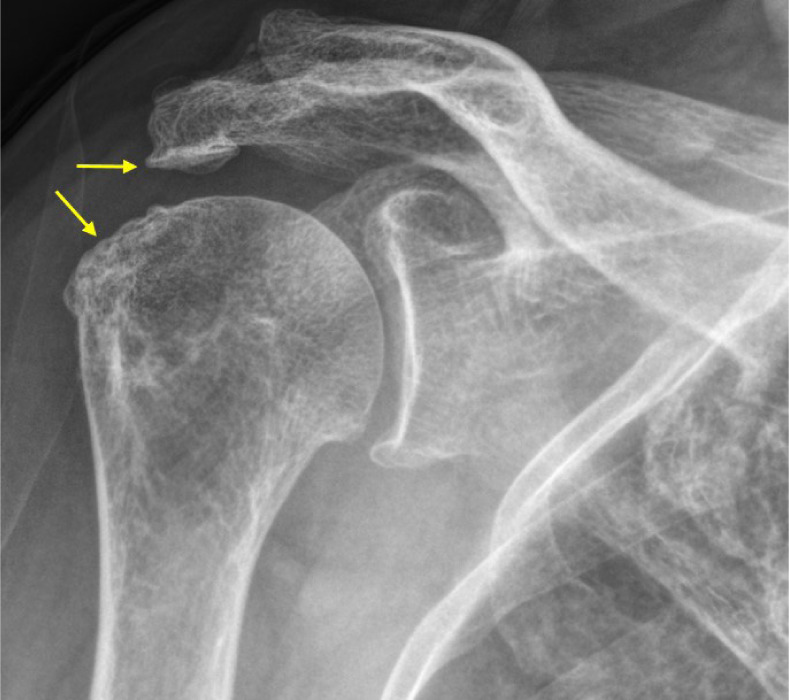
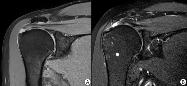
本综述的目的是为老年肩部疾病患者,特别是肩袖撕裂和骨关节炎的治疗提供一个全面的指南,并探索有效的非手术治疗方案。慢性肩袖撕裂通常是退行性的,而急性撕裂是由外伤引起的。这些撕裂的一个关键特征是肌腱变性伴有III型胶原蛋白优势,易使撕裂进展。肱骨关节的骨关节炎是由损伤软骨完整性的磨损变化引起的,导致疼痛和活动受限。准确的临床评估和成像,包括x线平片、超声和MRI,有助于诊断和指导治疗。体格检查强调活动度、肩袖强度和肩胛骨稳定性。治疗策略优先考虑缓解疼痛、保持功能和改善活动能力。非手术方式,包括运动、手工治疗和活动调整,是一线治疗方法,特别是对老年人。药理学方法包括非甾体抗炎药、皮质类固醇注射和神经性止痛药。类固醇注射有短期的好处,但反复治疗可能会损害组织的完整性。富血小板血浆是一种可促进肌腱愈合的再生选择,但结果不一,需要进一步研究。一个结构化的物理治疗方案,重点是活动范围和加强是必不可少的,与替代干预的明智使用。如果非手术方法不成功,应告知患者有关撕裂的潜在进展和未来可能需要手术干预的情况。包括关节活动和个性化运动方案在内的多模式方法,具有优化老年人功能结果和支持老年人独立的潜力。
本文章由计算机程序翻译,如有差异,请以英文原文为准。

Conservative treatment of older adult patients with shoulder diseases: a narrative review.

Conservative treatment of older adult patients with shoulder diseases: a narrative review.

Conservative treatment of older adult patients with shoulder diseases: a narrative review.

Conservative treatment of older adult patients with shoulder diseases: a narrative review.

The purpose of this review is to provide a comprehensive guide for managing older adult patients with shoulder diseases, specifically rotator cuff tears and osteoarthritis, and to explore effective nonsurgical treatment options. Chronic rotator cuff tears are typically degenerative, whereas acute tears result from trauma. A key feature of these tears is tendon degeneration accompanied by type III collagen predominance, predisposing tears to progression. Osteoarthritis in the glenohumeral joint arises from wear-and-tear changes that compromise cartilage integrity, leading to pain and restricted motion. Accurate clinical assessment and imaging, including plain radiographs, ultrasonography, and MRI, facilitate diagnosis and guide treatment. The physic-al examination emphasizes range of motion, rotator cuff strength, and scapular stability. Management strategies prioritize pain relief, function preservation, and improving mobility. Nonsurgical modalities, including exercise, manual therapy, and activity modification, constitute first-line treatments, especially for older adults. Pharmacological approaches involve NSAIDs, corticosteroid injections, and neuropathic pain medications. Steroid injections have short-term benefits, but repeated treatments may compromise tissue integrity. Platelet-rich plasma is a regenerative option that may improve tendon healing, but mixed findings highlight the need for further investigation. A structured physical therapy program focusing on range of motion and strengthening is essential, with alternative interventions used judiciously. Patients should be counseled regarding the potential progression of tears and the possible need for future surgical intervention if nonsurgical methods are unsuccessful. Multimodal approaches, including joint mobilization and personalized exercise regimens, hold potential for optimizing functional outcomes and supporting independence in older adults.

求助全文
通过发布文献求助,成功后即可免费获取论文全文。 去求助
来源期刊
Ewha Medical Journal
Ewha Medical Journal MEDICINE, GENERAL & INTERNAL-
自引率
33.30%
发文量
28
×
引用
GB/T 7714-2015
复制
MLA
复制
APA
复制
导出至
BibTeX EndNote RefMan NoteFirst NoteExpress
×
提示
您的信息不完整,为了账户安全,请先补充。
现在去补充
×
提示
您因"违规操作"
具体请查看互助需知
我知道了
×
提示
确定
请完成安全验证×
copy
已复制链接
快去分享给好友吧!
我知道了
右上角分享
点击右上角分享
0
联系我们:info@booksci.cn Book学术提供免费学术资源搜索服务,方便国内外学者检索中英文文献。致力于提供最便捷和优质的服务体验。 Copyright © 2023 布克学术 All rights reserved.
京ICP备2023020795号-1
ghs 京公网安备 11010802042870号
Book学术文献互助
Book学术文献互助群
群 号:604180095
Book学术官方微信