维生素C可能是人牙龈中酪氨酸酶(Tyr)和酪氨酸酶相关蛋白-1 (TRP-1)抑制剂的分析研究。

Q3 Medicine
Rizwan M Sanadi, Revati Shailesh Deshmukh, Alka Dinesh Kale, Verdine Virginia Antony, Salika Sheikh
{"title":"维生素C可能是人牙龈中酪氨酸酶(Tyr)和酪氨酸酶相关蛋白-1 (TRP-1)抑制剂的分析研究。","authors":"Rizwan M Sanadi, Revati Shailesh Deshmukh, Alka Dinesh Kale, Verdine Virginia Antony, Salika Sheikh","doi":"10.4103/jomfp.jomfp_310_24","DOIUrl":null,"url":null,"abstract":"<p><strong>Background: </strong>Vitamin C is a water-soluble substance naturally occurring in citrus fruits, strawberries, kiwifruit, guava, etc., It is required for formation of collagen, healing of wounds, maintaining the health of blood vessels, ligaments, and bones. Vitamin C inhibits the tyrosinase (Tyr) enzyme and reduces melanin synthesis. Tyrosinase along with tyrosinase related protein- 1 and 2 (TRP-1 & TRP-2) are required for melanin synthesis. Hence this study was conducted to assess the effect of Vitamin C on Tyr and TRP-1 in human gingiva.</p><p><strong>Aim: </strong>To assess the effect of Vitamin C on tyrosinase and TRP-1 levels in individuals with moderate to heavy gingival melanin hyperpigmentation.</p><p><strong>Materials and methods: </strong>Individuals with complaint of black gums were included. Informed consent was obtained. Initial treatment of scaling and root planing was conducted and they were recalled after 2 weeks. The gingival depigmentation was performed by scalpel technique. The excised layer of epithelial tissue was sent to the laboratory to assess the Tyr and TRP-1 levels. Subsequently, Vitamin C was administered at monthly interval for 6 months. Tyr and TRP-1 levels were assessed at the end of 1 year follow-up.</p><p><strong>Results: </strong>The levels of Tyr and TRP-1 in gingival tissue at baseline and at the end of one year follow-up are shown in the table and graph. Tyr and TRP-1 levels were reduced after vitamin C administration.</p><p><strong>Conclusion: </strong>Vitamin C administration resulted in reduction of tyrosinase and TRP-1 levels in human gingiva at 1 year follow-up indicating that Vitamin C is a probable inhibitor of melanin synthesis.</p>","PeriodicalId":38846,"journal":{"name":"Journal of Oral and Maxillofacial Pathology","volume":"29 2","pages":"281-285"},"PeriodicalIF":0.0000,"publicationDate":"2025-04-01","publicationTypes":"Journal Article","fieldsOfStudy":null,"isOpenAccess":false,"openAccessPdf":"https://www.ncbi.nlm.nih.gov/pmc/articles/PMC12283051/pdf/","citationCount":"0","resultStr":"{\"title\":\"Vitamin C as a probable inhibitor of tyrosinase (Tyr) and tyrosinase-related protein-1 (TRP-1) in human gingiva: An analytical study.\",\"authors\":\"Rizwan M Sanadi, Revati Shailesh Deshmukh, Alka Dinesh Kale, Verdine Virginia Antony, Salika Sheikh\",\"doi\":\"10.4103/jomfp.jomfp_310_24\",\"DOIUrl\":null,\"url\":null,\"abstract\":\"<p><strong>Background: </strong>Vitamin C is a water-soluble substance naturally occurring in citrus fruits, strawberries, kiwifruit, guava, etc., It is required for formation of collagen, healing of wounds, maintaining the health of blood vessels, ligaments, and bones. Vitamin C inhibits the tyrosinase (Tyr) enzyme and reduces melanin synthesis. Tyrosinase along with tyrosinase related protein- 1 and 2 (TRP-1 & TRP-2) are required for melanin synthesis. Hence this study was conducted to assess the effect of Vitamin C on Tyr and TRP-1 in human gingiva.</p><p><strong>Aim: </strong>To assess the effect of Vitamin C on tyrosinase and TRP-1 levels in individuals with moderate to heavy gingival melanin hyperpigmentation.</p><p><strong>Materials and methods: </strong>Individuals with complaint of black gums were included. Informed consent was obtained. Initial treatment of scaling and root planing was conducted and they were recalled after 2 weeks. The gingival depigmentation was performed by scalpel technique. The excised layer of epithelial tissue was sent to the laboratory to assess the Tyr and TRP-1 levels. Subsequently, Vitamin C was administered at monthly interval for 6 months. Tyr and TRP-1 levels were assessed at the end of 1 year follow-up.</p><p><strong>Results: </strong>The levels of Tyr and TRP-1 in gingival tissue at baseline and at the end of one year follow-up are shown in the table and graph. Tyr and TRP-1 levels were reduced after vitamin C administration.</p><p><strong>Conclusion: </strong>Vitamin C administration resulted in reduction of tyrosinase and TRP-1 levels in human gingiva at 1 year follow-up indicating that Vitamin C is a probable inhibitor of melanin synthesis.</p>\",\"PeriodicalId\":38846,\"journal\":{\"name\":\"Journal of Oral and Maxillofacial Pathology\",\"volume\":\"29 2\",\"pages\":\"281-285\"},\"PeriodicalIF\":0.0000,\"publicationDate\":\"2025-04-01\",\"publicationTypes\":\"Journal Article\",\"fieldsOfStudy\":null,\"isOpenAccess\":false,\"openAccessPdf\":\"https://www.ncbi.nlm.nih.gov/pmc/articles/PMC12283051/pdf/\",\"citationCount\":\"0\",\"resultStr\":null,\"platform\":\"Semanticscholar\",\"paperid\":null,\"PeriodicalName\":\"Journal of Oral and Maxillofacial Pathology\",\"FirstCategoryId\":\"1085\",\"ListUrlMain\":\"https://doi.org/10.4103/jomfp.jomfp_310_24\",\"RegionNum\":0,\"RegionCategory\":null,\"ArticlePicture\":[],\"TitleCN\":null,\"AbstractTextCN\":null,\"PMCID\":null,\"EPubDate\":\"2025/6/30 0:00:00\",\"PubModel\":\"Epub\",\"JCR\":\"Q3\",\"JCRName\":\"Medicine\",\"Score\":null,\"Total\":0}","platform":"Semanticscholar","paperid":null,"PeriodicalName":"Journal of Oral and Maxillofacial Pathology","FirstCategoryId":"1085","ListUrlMain":"https://doi.org/10.4103/jomfp.jomfp_310_24","RegionNum":0,"RegionCategory":null,"ArticlePicture":[],"TitleCN":null,"AbstractTextCN":null,"PMCID":null,"EPubDate":"2025/6/30 0:00:00","PubModel":"Epub","JCR":"Q3","JCRName":"Medicine","Score":null,"Total":0}
引用次数: 0

摘要

背景:维生素C是一种水溶性物质,天然存在于柑橘类水果、草莓、猕猴桃、番石榴等中,它是胶原蛋白形成、伤口愈合、维持血管、韧带和骨骼健康所必需的。维生素C抑制酪氨酸酶(Tyr),减少黑色素的合成。酪氨酸酶以及酪氨酸酶相关蛋白-1和2 (TRP-1和TRP-2)是黑色素合成所必需的。因此,本研究旨在探讨维生素C对人牙龈Tyr和TRP-1的影响。目的:探讨维生素C对中度至重度牙龈黑色素沉着患者酪氨酸酶和TRP-1水平的影响。材料和方法:研究对象为自诉牙龈变黑的患者。获得知情同意。进行了洗垢和刨根的初步处理,2周后召回。采用手术刀技术对牙龈进行脱色。将切除的上皮组织送到实验室评估Tyr和TRP-1水平。随后,每个月给药一次维生素C,持续6个月。随访1年后评估Tyr和TRP-1水平。结果:基线和随访1年结束时牙龈组织中Tyr和TRP-1水平见表格和图表。给予维生素C后,Tyr和TRP-1水平降低。结论:在1年的随访中,给药维生素C导致人牙龈酪氨酸酶和TRP-1水平的降低,表明维生素C可能是黑色素合成的抑制剂。
本文章由计算机程序翻译,如有差异,请以英文原文为准。

Vitamin C as a probable inhibitor of tyrosinase (Tyr) and tyrosinase-related protein-1 (TRP-1) in human gingiva: An analytical study.

Vitamin C as a probable inhibitor of tyrosinase (Tyr) and tyrosinase-related protein-1 (TRP-1) in human gingiva: An analytical study.

Vitamin C as a probable inhibitor of tyrosinase (Tyr) and tyrosinase-related protein-1 (TRP-1) in human gingiva: An analytical study.

Vitamin C as a probable inhibitor of tyrosinase (Tyr) and tyrosinase-related protein-1 (TRP-1) in human gingiva: An analytical study.

Background: Vitamin C is a water-soluble substance naturally occurring in citrus fruits, strawberries, kiwifruit, guava, etc., It is required for formation of collagen, healing of wounds, maintaining the health of blood vessels, ligaments, and bones. Vitamin C inhibits the tyrosinase (Tyr) enzyme and reduces melanin synthesis. Tyrosinase along with tyrosinase related protein- 1 and 2 (TRP-1 & TRP-2) are required for melanin synthesis. Hence this study was conducted to assess the effect of Vitamin C on Tyr and TRP-1 in human gingiva.

Aim: To assess the effect of Vitamin C on tyrosinase and TRP-1 levels in individuals with moderate to heavy gingival melanin hyperpigmentation.

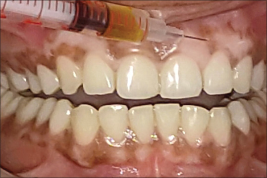
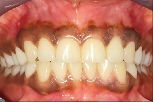
Materials and methods: Individuals with complaint of black gums were included. Informed consent was obtained. Initial treatment of scaling and root planing was conducted and they were recalled after 2 weeks. The gingival depigmentation was performed by scalpel technique. The excised layer of epithelial tissue was sent to the laboratory to assess the Tyr and TRP-1 levels. Subsequently, Vitamin C was administered at monthly interval for 6 months. Tyr and TRP-1 levels were assessed at the end of 1 year follow-up.

Results: The levels of Tyr and TRP-1 in gingival tissue at baseline and at the end of one year follow-up are shown in the table and graph. Tyr and TRP-1 levels were reduced after vitamin C administration.

Conclusion: Vitamin C administration resulted in reduction of tyrosinase and TRP-1 levels in human gingiva at 1 year follow-up indicating that Vitamin C is a probable inhibitor of melanin synthesis.

求助全文
通过发布文献求助,成功后即可免费获取论文全文。 去求助
来源期刊
Journal of Oral and Maxillofacial Pathology
Journal of Oral and Maxillofacial Pathology Medicine-Otorhinolaryngology
CiteScore
1.40
自引率
0.00%
发文量
115
期刊介绍: The journal of Oral and Maxillofacial Pathology [ISSN:print-(0973-029X, online-1998-393X)] is a tri-annual journal published on behalf of “The Indian Association of Oral and Maxillofacial Pathologists” (IAOMP). The publication of JOMFP was started in the year 1993. The journal publishes papers on a wide spectrum of topics associated with the scope of Oral and Maxillofacial Pathology, also, ensuring scientific merit and quality. It is a comprehensive reading material for the professionals who want to upgrade their diagnostic skills in Oral Diseases; allows exposure to newer topics and methods of research in the Oral-facial Tissues and Pathology. New features allow an open minded thinking and approach to various pathologies. It also encourages authors to showcase quality work done by them and to compile relevant cases which are diagnostically challenging. The Journal takes pride in maintaining the quality of articles and photomicrographs.
×
引用
GB/T 7714-2015
复制
MLA
复制
APA
复制
导出至
BibTeX EndNote RefMan NoteFirst NoteExpress
×
提示
您的信息不完整,为了账户安全,请先补充。
现在去补充
×
提示
您因"违规操作"
具体请查看互助需知
我知道了
×
提示
确定
请完成安全验证×
copy
已复制链接
快去分享给好友吧!
我知道了
右上角分享
点击右上角分享
0
联系我们:info@booksci.cn Book学术提供免费学术资源搜索服务,方便国内外学者检索中英文文献。致力于提供最便捷和优质的服务体验。 Copyright © 2023 布克学术 All rights reserved.
京ICP备2023020795号-1
ghs 京公网安备 11010802042870号
Book学术文献互助
Book学术文献互助群
群 号:604180095
Book学术官方微信