纤维蛋白-4在口腔黏膜潜在恶性疾病和鳞状细胞癌中的表达——免疫组织化学研究

Q3 Medicine
Karuppiah Karpagaselvi, Lokesh Papaiah, Roopavathi Keshavaiah, Jayalakshmi Kumarswamy
{"title":"纤维蛋白-4在口腔黏膜潜在恶性疾病和鳞状细胞癌中的表达——免疫组织化学研究","authors":"Karuppiah Karpagaselvi, Lokesh Papaiah, Roopavathi Keshavaiah, Jayalakshmi Kumarswamy","doi":"10.4103/jomfp.jomfp_35_25","DOIUrl":null,"url":null,"abstract":"<p><strong>Background: </strong>Oral squamous cell carcinoma (OSCC) is a leading cause of cancer-related deaths, with India accounting for approximately one-fourth of global cases. OSCC often develops from oral potentially malignant disorders like leucoplakia, erythroplakia, and oral submucous fibrosis (OSF), each carrying varying risks for malignant transformation. Fibulin-4, a glycoprotein involved in extracellular matrix (ECM) remodelling, has been implicated in several cancers, but its role in oral tumours remains unexplored.</p><p><strong>Methodology: </strong>Paraffin-embedded sections of oral epithelial dysplasia (OED) (<i>n</i> = 24), OSF (<i>n</i> = 23), OSCC (<i>n</i> = 23), and normal mucosa (<i>n</i> = 23) were analysed for immunohistochemical expression of Fibulin-4. Staining intensity and percentage of positive cells were evaluated with a semi-quantitative scoring system. Statistical analyses included Kruskal-Wallis, Chi-square, Mann-Whitney tests, and Kappa statistics to assess interobserver and intraobserver variability.</p><p><strong>Results: </strong>Significant differences in Fibulin-4 expression were noted across groups. OSCC and OED displayed high proportions of strong Fibulin-4 expression (76-100%), while OSF showed distinct staining patterns mainly in the middle and upper tissue layers. Higher grades of staining intensity were observed in leucoplakia (82.6% were grade 2), OSMF (83.3% were grade 2), and OSCC groups (65.2% were grade 2) than the control group (78% were grade 1). The interobserver reliability and interobserver reproducibility of Fibulin-4 expression evaluated by kappa statistic was excellent( kappa ≥ 0.80). Fibulin-4 expression was high in OSCC, OED, OSF compared to normal oral mucosa and was statistically significant (<i>p</i><0.001).</p><p><strong>Conclusion: </strong>Fibulin-4 expression varies significantly across normal mucosa, OED, OSF, and OSCC, suggesting its potential role in oral carcinogenesis and ECM dynamics. Elevated Fibulin-4 expression in OSCC and OED highlights its potential as a biomarker for malignant transformation. Further research is needed to clarify its role and explore its potential as a therapeutic target in oral cancer.</p>","PeriodicalId":38846,"journal":{"name":"Journal of Oral and Maxillofacial Pathology","volume":"29 2","pages":"248-253"},"PeriodicalIF":0.0000,"publicationDate":"2025-04-01","publicationTypes":"Journal Article","fieldsOfStudy":null,"isOpenAccess":false,"openAccessPdf":"https://www.ncbi.nlm.nih.gov/pmc/articles/PMC12283056/pdf/","citationCount":"0","resultStr":"{\"title\":\"Fibulin-4 expression in potentially malignant disorders and squamous cell carcinoma of oral mucosa-An immunohistochemical study.\",\"authors\":\"Karuppiah Karpagaselvi, Lokesh Papaiah, Roopavathi Keshavaiah, Jayalakshmi Kumarswamy\",\"doi\":\"10.4103/jomfp.jomfp_35_25\",\"DOIUrl\":null,\"url\":null,\"abstract\":\"<p><strong>Background: </strong>Oral squamous cell carcinoma (OSCC) is a leading cause of cancer-related deaths, with India accounting for approximately one-fourth of global cases. OSCC often develops from oral potentially malignant disorders like leucoplakia, erythroplakia, and oral submucous fibrosis (OSF), each carrying varying risks for malignant transformation. Fibulin-4, a glycoprotein involved in extracellular matrix (ECM) remodelling, has been implicated in several cancers, but its role in oral tumours remains unexplored.</p><p><strong>Methodology: </strong>Paraffin-embedded sections of oral epithelial dysplasia (OED) (<i>n</i> = 24), OSF (<i>n</i> = 23), OSCC (<i>n</i> = 23), and normal mucosa (<i>n</i> = 23) were analysed for immunohistochemical expression of Fibulin-4. Staining intensity and percentage of positive cells were evaluated with a semi-quantitative scoring system. Statistical analyses included Kruskal-Wallis, Chi-square, Mann-Whitney tests, and Kappa statistics to assess interobserver and intraobserver variability.</p><p><strong>Results: </strong>Significant differences in Fibulin-4 expression were noted across groups. OSCC and OED displayed high proportions of strong Fibulin-4 expression (76-100%), while OSF showed distinct staining patterns mainly in the middle and upper tissue layers. Higher grades of staining intensity were observed in leucoplakia (82.6% were grade 2), OSMF (83.3% were grade 2), and OSCC groups (65.2% were grade 2) than the control group (78% were grade 1). The interobserver reliability and interobserver reproducibility of Fibulin-4 expression evaluated by kappa statistic was excellent( kappa ≥ 0.80). Fibulin-4 expression was high in OSCC, OED, OSF compared to normal oral mucosa and was statistically significant (<i>p</i><0.001).</p><p><strong>Conclusion: </strong>Fibulin-4 expression varies significantly across normal mucosa, OED, OSF, and OSCC, suggesting its potential role in oral carcinogenesis and ECM dynamics. Elevated Fibulin-4 expression in OSCC and OED highlights its potential as a biomarker for malignant transformation. Further research is needed to clarify its role and explore its potential as a therapeutic target in oral cancer.</p>\",\"PeriodicalId\":38846,\"journal\":{\"name\":\"Journal of Oral and Maxillofacial Pathology\",\"volume\":\"29 2\",\"pages\":\"248-253\"},\"PeriodicalIF\":0.0000,\"publicationDate\":\"2025-04-01\",\"publicationTypes\":\"Journal Article\",\"fieldsOfStudy\":null,\"isOpenAccess\":false,\"openAccessPdf\":\"https://www.ncbi.nlm.nih.gov/pmc/articles/PMC12283056/pdf/\",\"citationCount\":\"0\",\"resultStr\":null,\"platform\":\"Semanticscholar\",\"paperid\":null,\"PeriodicalName\":\"Journal of Oral and Maxillofacial Pathology\",\"FirstCategoryId\":\"1085\",\"ListUrlMain\":\"https://doi.org/10.4103/jomfp.jomfp_35_25\",\"RegionNum\":0,\"RegionCategory\":null,\"ArticlePicture\":[],\"TitleCN\":null,\"AbstractTextCN\":null,\"PMCID\":null,\"EPubDate\":\"2025/6/30 0:00:00\",\"PubModel\":\"Epub\",\"JCR\":\"Q3\",\"JCRName\":\"Medicine\",\"Score\":null,\"Total\":0}","platform":"Semanticscholar","paperid":null,"PeriodicalName":"Journal of Oral and Maxillofacial Pathology","FirstCategoryId":"1085","ListUrlMain":"https://doi.org/10.4103/jomfp.jomfp_35_25","RegionNum":0,"RegionCategory":null,"ArticlePicture":[],"TitleCN":null,"AbstractTextCN":null,"PMCID":null,"EPubDate":"2025/6/30 0:00:00","PubModel":"Epub","JCR":"Q3","JCRName":"Medicine","Score":null,"Total":0}
引用次数: 0

摘要

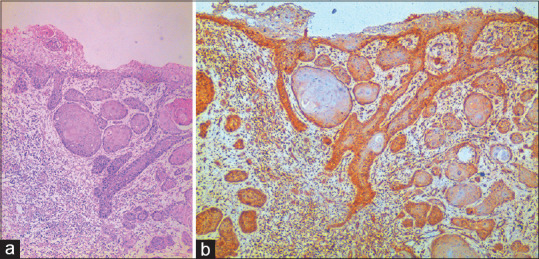
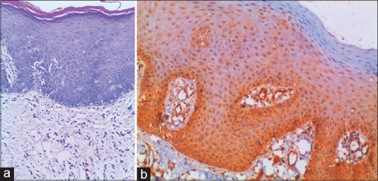
背景:口腔鳞状细胞癌(OSCC)是癌症相关死亡的主要原因,印度约占全球病例的四分之一。OSCC通常由口腔潜在的恶性疾病如白斑、红斑和口腔黏膜下纤维化(OSF)发展而来,每种疾病都有不同的恶性转化风险。纤维蛋白-4是一种参与细胞外基质(ECM)重塑的糖蛋白,与几种癌症有关,但其在口腔肿瘤中的作用仍未被探索。方法:对口腔上皮发育不良(OED) (n = 24)、OSF (n = 23)、OSCC (n = 23)和正常粘膜(n = 23)的石蜡包埋切片进行Fibulin-4的免疫组织化学表达分析。采用半定量评分系统评价染色强度和阳性细胞百分比。统计分析包括Kruskal-Wallis、卡方检验、Mann-Whitney检验和Kappa统计来评估观察者之间和观察者内部的变异性。结果:各组间Fibulin-4表达差异有统计学意义。OSCC和OED中Fibulin-4的高表达比例(76-100%),OSF主要在中上层组织层中表现出明显的染色模式。白斑组(82.6%为2级)、OSMF组(83.3%为2级)和OSCC组(65.2%为2级)的染色强度均高于对照组(78%为1级)。kappa统计量评价Fibulin-4表达的观察者间信度和观察者间再现性极好(kappa≥0.80)。结论:Fibulin-4在正常黏膜、OED、OSF中的表达差异显著,提示其在口腔癌变和ECM动力学中具有潜在作用。在OSCC和OED中,Fibulin-4表达升高凸显了其作为恶性转化生物标志物的潜力。需要进一步的研究来阐明其作用并探索其作为口腔癌治疗靶点的潜力。
本文章由计算机程序翻译,如有差异,请以英文原文为准。

Fibulin-4 expression in potentially malignant disorders and squamous cell carcinoma of oral mucosa-An immunohistochemical study.

Fibulin-4 expression in potentially malignant disorders and squamous cell carcinoma of oral mucosa-An immunohistochemical study.

Fibulin-4 expression in potentially malignant disorders and squamous cell carcinoma of oral mucosa-An immunohistochemical study.

Fibulin-4 expression in potentially malignant disorders and squamous cell carcinoma of oral mucosa-An immunohistochemical study.

Background: Oral squamous cell carcinoma (OSCC) is a leading cause of cancer-related deaths, with India accounting for approximately one-fourth of global cases. OSCC often develops from oral potentially malignant disorders like leucoplakia, erythroplakia, and oral submucous fibrosis (OSF), each carrying varying risks for malignant transformation. Fibulin-4, a glycoprotein involved in extracellular matrix (ECM) remodelling, has been implicated in several cancers, but its role in oral tumours remains unexplored.

Methodology: Paraffin-embedded sections of oral epithelial dysplasia (OED) (n = 24), OSF (n = 23), OSCC (n = 23), and normal mucosa (n = 23) were analysed for immunohistochemical expression of Fibulin-4. Staining intensity and percentage of positive cells were evaluated with a semi-quantitative scoring system. Statistical analyses included Kruskal-Wallis, Chi-square, Mann-Whitney tests, and Kappa statistics to assess interobserver and intraobserver variability.

Results: Significant differences in Fibulin-4 expression were noted across groups. OSCC and OED displayed high proportions of strong Fibulin-4 expression (76-100%), while OSF showed distinct staining patterns mainly in the middle and upper tissue layers. Higher grades of staining intensity were observed in leucoplakia (82.6% were grade 2), OSMF (83.3% were grade 2), and OSCC groups (65.2% were grade 2) than the control group (78% were grade 1). The interobserver reliability and interobserver reproducibility of Fibulin-4 expression evaluated by kappa statistic was excellent( kappa ≥ 0.80). Fibulin-4 expression was high in OSCC, OED, OSF compared to normal oral mucosa and was statistically significant (p<0.001).

Conclusion: Fibulin-4 expression varies significantly across normal mucosa, OED, OSF, and OSCC, suggesting its potential role in oral carcinogenesis and ECM dynamics. Elevated Fibulin-4 expression in OSCC and OED highlights its potential as a biomarker for malignant transformation. Further research is needed to clarify its role and explore its potential as a therapeutic target in oral cancer.

求助全文
通过发布文献求助,成功后即可免费获取论文全文。 去求助
来源期刊
Journal of Oral and Maxillofacial Pathology
Journal of Oral and Maxillofacial Pathology Medicine-Otorhinolaryngology
CiteScore
1.40
自引率
0.00%
发文量
115
期刊介绍: The journal of Oral and Maxillofacial Pathology [ISSN:print-(0973-029X, online-1998-393X)] is a tri-annual journal published on behalf of “The Indian Association of Oral and Maxillofacial Pathologists” (IAOMP). The publication of JOMFP was started in the year 1993. The journal publishes papers on a wide spectrum of topics associated with the scope of Oral and Maxillofacial Pathology, also, ensuring scientific merit and quality. It is a comprehensive reading material for the professionals who want to upgrade their diagnostic skills in Oral Diseases; allows exposure to newer topics and methods of research in the Oral-facial Tissues and Pathology. New features allow an open minded thinking and approach to various pathologies. It also encourages authors to showcase quality work done by them and to compile relevant cases which are diagnostically challenging. The Journal takes pride in maintaining the quality of articles and photomicrographs.
×
引用
GB/T 7714-2015
复制
MLA
复制
APA
复制
导出至
BibTeX EndNote RefMan NoteFirst NoteExpress
×
提示
您的信息不完整,为了账户安全,请先补充。
现在去补充
×
提示
您因"违规操作"
具体请查看互助需知
我知道了
×
提示
确定
请完成安全验证×
copy
已复制链接
快去分享给好友吧!
我知道了
右上角分享
点击右上角分享
0
联系我们:info@booksci.cn Book学术提供免费学术资源搜索服务,方便国内外学者检索中英文文献。致力于提供最便捷和优质的服务体验。 Copyright © 2023 布克学术 All rights reserved.
京ICP备2023020795号-1
ghs 京公网安备 11010802042870号
Book学术文献互助
Book学术文献互助群
群 号:604180095
Book学术官方微信