粘连蛋白1和3作为口腔癌隐匿淋巴结转移的潜在标志物。

Q3 Medicine
Yellarthi Pavan Kumar, Arvind Muthukrishnan, Venkata Madhavi Bellala, Bellala Ravi Shankar, Sandhya Pavankumar, Divya Uppala
{"title":"粘连蛋白1和3作为口腔癌隐匿淋巴结转移的潜在标志物。","authors":"Yellarthi Pavan Kumar, Arvind Muthukrishnan, Venkata Madhavi Bellala, Bellala Ravi Shankar, Sandhya Pavankumar, Divya Uppala","doi":"10.4103/jomfp.jomfp_19_25","DOIUrl":null,"url":null,"abstract":"<p><strong>Objectives: </strong>The majority of oral cancers are oral squamous cell carcinomas (OSCC). The successful management of OSCC depends on early detection, timely intervention, and prevention of distant metastasis. Metastasis is an important aspect of OSCC-related deaths. Diagnosis of cervical lymph node metastasis is an essential requirement for clinical staging and treatment and is now widely accepted as an important factor in the prognosis of OSCCs. Roles of desmosomal cadherins desmoglein 1 (DSG1) and desmoglein 3 (DSG3) have been extensively studied and DSG3 is known to be a squamous-specific protein marker that is expressed specifically in the positive lymph nodes, and hence a potential marker for detecting occult lymph nodes, however, no conclusive evidence is established. The objective of this study was to assess DSG1 and DSG3 as potential biomarkers of lymph node metastasis.</p><p><strong>Materials and methods: </strong>A total of 50 archival lymph node blocks, both positive and negative neck nodes of the patients treated for OSCC, were used for the assessment of DSG1 and 3 expressions by immunohistochemistry (IHC) following their histopathological examination. The assessment of IHC staining was conducted by two independent maxillofacial pathologists as per the grading criteria in all the lymph node sections.</p><p><strong>Results: </strong>A total number of 88 nodes were assessed, of which 27 were positive on histopathological assessment. DSG1 and DSG3 positivity were noted and varied between 11.4-12.5% and between 20.5-22.7% of positive nodes, respectively, between the observers. Cronbach's alpha was calculated for interobserver reliability for positive identification of metastatic lymph nodes. Area under curve (AUC) values for DSG1 were 0.478 and 0.02 for DSG3, and not so statistically significant value for DSG1 was obtained (<i>P</i> > 0.05) compared to DSG3 (<i>P</i> = 0.000).</p><p><strong>Conclusion: </strong>Current study results do not confirm the roles of DSG1 and 3 as potential markers for occult lymph node metastasis, and hence, the reliability of their roles may require further studies along with other markers of lymph node metastasis. Even though overexpression of DSG3 and partial expression of DSG1 in OSCC is seen, further studies may be required to confirm them either as a diagnostic or prognostic marker which can be useful for future management in cases of radical neck dissections.</p>","PeriodicalId":38846,"journal":{"name":"Journal of Oral and Maxillofacial Pathology","volume":"29 2","pages":"228-235"},"PeriodicalIF":0.0000,"publicationDate":"2025-04-01","publicationTypes":"Journal Article","fieldsOfStudy":null,"isOpenAccess":false,"openAccessPdf":"https://www.ncbi.nlm.nih.gov/pmc/articles/PMC12283034/pdf/","citationCount":"0","resultStr":"{\"title\":\"Desmoglein 1 and 3 as potential markers of occult lymph node metastasis in oral cancer.\",\"authors\":\"Yellarthi Pavan Kumar, Arvind Muthukrishnan, Venkata Madhavi Bellala, Bellala Ravi Shankar, Sandhya Pavankumar, Divya Uppala\",\"doi\":\"10.4103/jomfp.jomfp_19_25\",\"DOIUrl\":null,\"url\":null,\"abstract\":\"<p><strong>Objectives: </strong>The majority of oral cancers are oral squamous cell carcinomas (OSCC). The successful management of OSCC depends on early detection, timely intervention, and prevention of distant metastasis. Metastasis is an important aspect of OSCC-related deaths. Diagnosis of cervical lymph node metastasis is an essential requirement for clinical staging and treatment and is now widely accepted as an important factor in the prognosis of OSCCs. Roles of desmosomal cadherins desmoglein 1 (DSG1) and desmoglein 3 (DSG3) have been extensively studied and DSG3 is known to be a squamous-specific protein marker that is expressed specifically in the positive lymph nodes, and hence a potential marker for detecting occult lymph nodes, however, no conclusive evidence is established. The objective of this study was to assess DSG1 and DSG3 as potential biomarkers of lymph node metastasis.</p><p><strong>Materials and methods: </strong>A total of 50 archival lymph node blocks, both positive and negative neck nodes of the patients treated for OSCC, were used for the assessment of DSG1 and 3 expressions by immunohistochemistry (IHC) following their histopathological examination. The assessment of IHC staining was conducted by two independent maxillofacial pathologists as per the grading criteria in all the lymph node sections.</p><p><strong>Results: </strong>A total number of 88 nodes were assessed, of which 27 were positive on histopathological assessment. DSG1 and DSG3 positivity were noted and varied between 11.4-12.5% and between 20.5-22.7% of positive nodes, respectively, between the observers. Cronbach's alpha was calculated for interobserver reliability for positive identification of metastatic lymph nodes. Area under curve (AUC) values for DSG1 were 0.478 and 0.02 for DSG3, and not so statistically significant value for DSG1 was obtained (<i>P</i> > 0.05) compared to DSG3 (<i>P</i> = 0.000).</p><p><strong>Conclusion: </strong>Current study results do not confirm the roles of DSG1 and 3 as potential markers for occult lymph node metastasis, and hence, the reliability of their roles may require further studies along with other markers of lymph node metastasis. Even though overexpression of DSG3 and partial expression of DSG1 in OSCC is seen, further studies may be required to confirm them either as a diagnostic or prognostic marker which can be useful for future management in cases of radical neck dissections.</p>\",\"PeriodicalId\":38846,\"journal\":{\"name\":\"Journal of Oral and Maxillofacial Pathology\",\"volume\":\"29 2\",\"pages\":\"228-235\"},\"PeriodicalIF\":0.0000,\"publicationDate\":\"2025-04-01\",\"publicationTypes\":\"Journal Article\",\"fieldsOfStudy\":null,\"isOpenAccess\":false,\"openAccessPdf\":\"https://www.ncbi.nlm.nih.gov/pmc/articles/PMC12283034/pdf/\",\"citationCount\":\"0\",\"resultStr\":null,\"platform\":\"Semanticscholar\",\"paperid\":null,\"PeriodicalName\":\"Journal of Oral and Maxillofacial Pathology\",\"FirstCategoryId\":\"1085\",\"ListUrlMain\":\"https://doi.org/10.4103/jomfp.jomfp_19_25\",\"RegionNum\":0,\"RegionCategory\":null,\"ArticlePicture\":[],\"TitleCN\":null,\"AbstractTextCN\":null,\"PMCID\":null,\"EPubDate\":\"2025/6/30 0:00:00\",\"PubModel\":\"Epub\",\"JCR\":\"Q3\",\"JCRName\":\"Medicine\",\"Score\":null,\"Total\":0}","platform":"Semanticscholar","paperid":null,"PeriodicalName":"Journal of Oral and Maxillofacial Pathology","FirstCategoryId":"1085","ListUrlMain":"https://doi.org/10.4103/jomfp.jomfp_19_25","RegionNum":0,"RegionCategory":null,"ArticlePicture":[],"TitleCN":null,"AbstractTextCN":null,"PMCID":null,"EPubDate":"2025/6/30 0:00:00","PubModel":"Epub","JCR":"Q3","JCRName":"Medicine","Score":null,"Total":0}
引用次数: 0

摘要

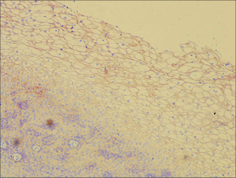
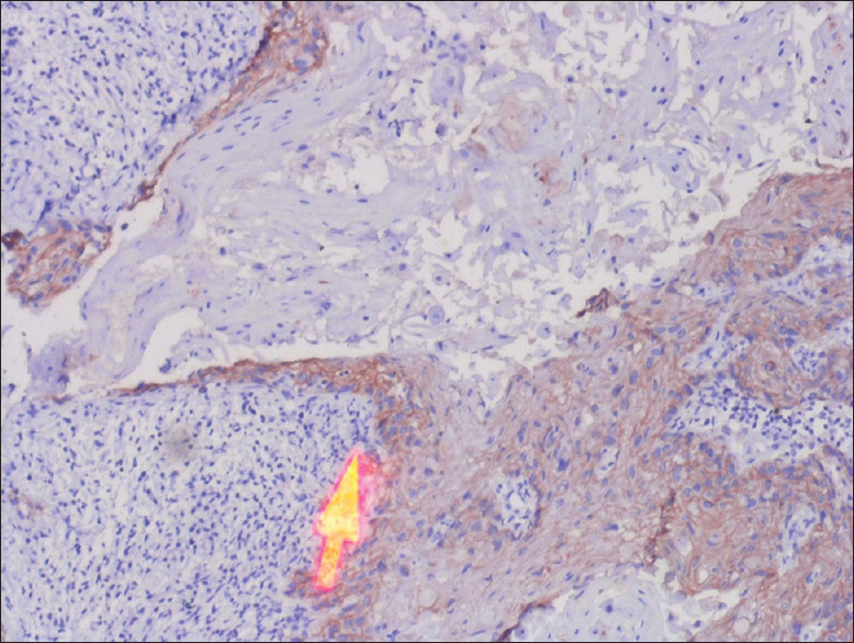
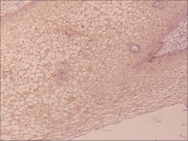
目的:口腔癌以口腔鳞状细胞癌(OSCC)为主。OSCC的成功治疗取决于早期发现、及时干预和预防远处转移。转移是oscc相关死亡的一个重要方面。颈部淋巴结转移的诊断是临床分期和治疗的基本要求,现已被广泛认为是影响OSCCs预后的重要因素。桥粒体钙粘蛋白桥粒蛋白1 (DSG1)和桥粒蛋白桥粒蛋白3 (DSG3)的作用已被广泛研究,DSG3是一种鳞状特异性蛋白标记物,在阳性淋巴结中特异性表达,因此是检测隐匿淋巴结的潜在标记物,但尚无确凿证据。本研究的目的是评估DSG1和DSG3作为淋巴结转移的潜在生物标志物。材料与方法:选取OSCC治疗患者的50例颈淋巴结(阳性和阴性),在组织病理学检查后,采用免疫组化(IHC)方法评估DSG1和3的表达。免疫组化染色由两名独立的颌面病理学家根据所有淋巴结切片的分级标准进行评估。结果:共检查88个淋巴结,其中27个组织病理检查阳性。观察者中DSG1和DSG3阳性,阳性节点分别在11.4-12.5%和20.5-22.7%之间变化。计算Cronbach’s alpha以确定转移性淋巴结阳性的观察者间信度。DSG1的曲线下面积(AUC)值为0.478,DSG3的AUC值为0.02,与DSG3相比,DSG1的AUC值无统计学意义(P < 0.05) (P = 0.000)。结论:目前的研究结果尚未证实DSG1和3作为隐匿性淋巴结转移的潜在标志物的作用,因此,其作用的可靠性可能需要与其他淋巴结转移标志物一起进一步研究。尽管在OSCC中发现DSG3过表达和DSG1部分表达,但可能需要进一步的研究来证实它们是一种诊断或预后标志物,可以用于根治性颈部清扫病例的未来治疗。
本文章由计算机程序翻译,如有差异,请以英文原文为准。

Desmoglein 1 and 3 as potential markers of occult lymph node metastasis in oral cancer.

Desmoglein 1 and 3 as potential markers of occult lymph node metastasis in oral cancer.

Desmoglein 1 and 3 as potential markers of occult lymph node metastasis in oral cancer.

Desmoglein 1 and 3 as potential markers of occult lymph node metastasis in oral cancer.

Objectives: The majority of oral cancers are oral squamous cell carcinomas (OSCC). The successful management of OSCC depends on early detection, timely intervention, and prevention of distant metastasis. Metastasis is an important aspect of OSCC-related deaths. Diagnosis of cervical lymph node metastasis is an essential requirement for clinical staging and treatment and is now widely accepted as an important factor in the prognosis of OSCCs. Roles of desmosomal cadherins desmoglein 1 (DSG1) and desmoglein 3 (DSG3) have been extensively studied and DSG3 is known to be a squamous-specific protein marker that is expressed specifically in the positive lymph nodes, and hence a potential marker for detecting occult lymph nodes, however, no conclusive evidence is established. The objective of this study was to assess DSG1 and DSG3 as potential biomarkers of lymph node metastasis.

Materials and methods: A total of 50 archival lymph node blocks, both positive and negative neck nodes of the patients treated for OSCC, were used for the assessment of DSG1 and 3 expressions by immunohistochemistry (IHC) following their histopathological examination. The assessment of IHC staining was conducted by two independent maxillofacial pathologists as per the grading criteria in all the lymph node sections.

Results: A total number of 88 nodes were assessed, of which 27 were positive on histopathological assessment. DSG1 and DSG3 positivity were noted and varied between 11.4-12.5% and between 20.5-22.7% of positive nodes, respectively, between the observers. Cronbach's alpha was calculated for interobserver reliability for positive identification of metastatic lymph nodes. Area under curve (AUC) values for DSG1 were 0.478 and 0.02 for DSG3, and not so statistically significant value for DSG1 was obtained (P > 0.05) compared to DSG3 (P = 0.000).

Conclusion: Current study results do not confirm the roles of DSG1 and 3 as potential markers for occult lymph node metastasis, and hence, the reliability of their roles may require further studies along with other markers of lymph node metastasis. Even though overexpression of DSG3 and partial expression of DSG1 in OSCC is seen, further studies may be required to confirm them either as a diagnostic or prognostic marker which can be useful for future management in cases of radical neck dissections.

求助全文
通过发布文献求助,成功后即可免费获取论文全文。 去求助
来源期刊
Journal of Oral and Maxillofacial Pathology
Journal of Oral and Maxillofacial Pathology Medicine-Otorhinolaryngology
CiteScore
1.40
自引率
0.00%
发文量
115
期刊介绍: The journal of Oral and Maxillofacial Pathology [ISSN:print-(0973-029X, online-1998-393X)] is a tri-annual journal published on behalf of “The Indian Association of Oral and Maxillofacial Pathologists” (IAOMP). The publication of JOMFP was started in the year 1993. The journal publishes papers on a wide spectrum of topics associated with the scope of Oral and Maxillofacial Pathology, also, ensuring scientific merit and quality. It is a comprehensive reading material for the professionals who want to upgrade their diagnostic skills in Oral Diseases; allows exposure to newer topics and methods of research in the Oral-facial Tissues and Pathology. New features allow an open minded thinking and approach to various pathologies. It also encourages authors to showcase quality work done by them and to compile relevant cases which are diagnostically challenging. The Journal takes pride in maintaining the quality of articles and photomicrographs.
×
引用
GB/T 7714-2015
复制
MLA
复制
APA
复制
导出至
BibTeX EndNote RefMan NoteFirst NoteExpress
×
提示
您的信息不完整,为了账户安全,请先补充。
现在去补充
×
提示
您因"违规操作"
具体请查看互助需知
我知道了
×
提示
确定
请完成安全验证×
copy
已复制链接
快去分享给好友吧!
我知道了
右上角分享
点击右上角分享
0
联系我们:info@booksci.cn Book学术提供免费学术资源搜索服务,方便国内外学者检索中英文文献。致力于提供最便捷和优质的服务体验。 Copyright © 2023 布克学术 All rights reserved.
京ICP备2023020795号-1
ghs 京公网安备 11010802042870号
Book学术文献互助
Book学术文献互助群
群 号:604180095
Book学术官方微信