利用弹性网和随机森林从髁突和冠突x射线测量预测性别。

Q3 Medicine
Abirami Arthanari, Shanmathy Sureshbabu, Pradeep K Yadalam, Vignesh Ravindran, Shaan Raaj
{"title":"利用弹性网和随机森林从髁突和冠突x射线测量预测性别。","authors":"Abirami Arthanari, Shanmathy Sureshbabu, Pradeep K Yadalam, Vignesh Ravindran, Shaan Raaj","doi":"10.4103/jomfp.jomfp_246_24","DOIUrl":null,"url":null,"abstract":"<p><strong>Aim: </strong>This study aims at the prediction of gender from radiographic condylar and coronoid measurements using random forest and elastic net algorithms.</p><p><strong>Background: </strong>Artificial intelligence (AI) has the potential to revolutionise the process of determining gender from skeletal remains by enhancing objectivity, efficiency, and accuracy. AI systems can be trained to automatically assess skeletal features relevant to gender identification, such as the size of the pelvis, skull, and specific mandibular traits.</p><p><strong>Materials and methods: </strong>A total of 200 digital panoramic radiographs were collected, out of which 100 were males and 100 were females. The average age range of the samples was 20-40 years. Coronoid height and condylar height were measured using Planmeca Romexis Viewer Software version 2.9.2.R (Planmeca OY, Helsinki, Finland). Random forest and elastic net algorithms were employed in the study.</p><p><strong>Results: </strong>The 20-30 years group had an average age of 25.68 years, while the 31-40 years group had an average age of 35.32 years. The 20-30 years group had a lower range and variability compared to the 31-40 years group. Both age groups had similar median values, but the 20-30 years group had slightly higher variability. In elastic net algorithms, the true positive rate was 0.925, indicating high accuracy in identifying positive cases. The random forest model's performance metrics included a precision of 0.7368, recall of 0.875, and F1-score of 0.79, indicating its effectiveness in predicting genders. A high AUC of 0.952 was observed.</p><p><strong>Conclusion: </strong>The study shows that machine learning models can achieve high accuracy in gender prediction. However, future research should expand the sample size, explore additional features, and conduct cross-validation for applicability.</p>","PeriodicalId":38846,"journal":{"name":"Journal of Oral and Maxillofacial Pathology","volume":"29 2","pages":"309-317"},"PeriodicalIF":0.0000,"publicationDate":"2025-04-01","publicationTypes":"Journal Article","fieldsOfStudy":null,"isOpenAccess":false,"openAccessPdf":"https://www.ncbi.nlm.nih.gov/pmc/articles/PMC12283053/pdf/","citationCount":"0","resultStr":"{\"title\":\"Prediction of gender from radiographic condylar and coronoid measurements using elastic net and random forests.\",\"authors\":\"Abirami Arthanari, Shanmathy Sureshbabu, Pradeep K Yadalam, Vignesh Ravindran, Shaan Raaj\",\"doi\":\"10.4103/jomfp.jomfp_246_24\",\"DOIUrl\":null,\"url\":null,\"abstract\":\"<p><strong>Aim: </strong>This study aims at the prediction of gender from radiographic condylar and coronoid measurements using random forest and elastic net algorithms.</p><p><strong>Background: </strong>Artificial intelligence (AI) has the potential to revolutionise the process of determining gender from skeletal remains by enhancing objectivity, efficiency, and accuracy. AI systems can be trained to automatically assess skeletal features relevant to gender identification, such as the size of the pelvis, skull, and specific mandibular traits.</p><p><strong>Materials and methods: </strong>A total of 200 digital panoramic radiographs were collected, out of which 100 were males and 100 were females. The average age range of the samples was 20-40 years. Coronoid height and condylar height were measured using Planmeca Romexis Viewer Software version 2.9.2.R (Planmeca OY, Helsinki, Finland). Random forest and elastic net algorithms were employed in the study.</p><p><strong>Results: </strong>The 20-30 years group had an average age of 25.68 years, while the 31-40 years group had an average age of 35.32 years. The 20-30 years group had a lower range and variability compared to the 31-40 years group. Both age groups had similar median values, but the 20-30 years group had slightly higher variability. In elastic net algorithms, the true positive rate was 0.925, indicating high accuracy in identifying positive cases. The random forest model's performance metrics included a precision of 0.7368, recall of 0.875, and F1-score of 0.79, indicating its effectiveness in predicting genders. A high AUC of 0.952 was observed.</p><p><strong>Conclusion: </strong>The study shows that machine learning models can achieve high accuracy in gender prediction. However, future research should expand the sample size, explore additional features, and conduct cross-validation for applicability.</p>\",\"PeriodicalId\":38846,\"journal\":{\"name\":\"Journal of Oral and Maxillofacial Pathology\",\"volume\":\"29 2\",\"pages\":\"309-317\"},\"PeriodicalIF\":0.0000,\"publicationDate\":\"2025-04-01\",\"publicationTypes\":\"Journal Article\",\"fieldsOfStudy\":null,\"isOpenAccess\":false,\"openAccessPdf\":\"https://www.ncbi.nlm.nih.gov/pmc/articles/PMC12283053/pdf/\",\"citationCount\":\"0\",\"resultStr\":null,\"platform\":\"Semanticscholar\",\"paperid\":null,\"PeriodicalName\":\"Journal of Oral and Maxillofacial Pathology\",\"FirstCategoryId\":\"1085\",\"ListUrlMain\":\"https://doi.org/10.4103/jomfp.jomfp_246_24\",\"RegionNum\":0,\"RegionCategory\":null,\"ArticlePicture\":[],\"TitleCN\":null,\"AbstractTextCN\":null,\"PMCID\":null,\"EPubDate\":\"2025/6/30 0:00:00\",\"PubModel\":\"Epub\",\"JCR\":\"Q3\",\"JCRName\":\"Medicine\",\"Score\":null,\"Total\":0}","platform":"Semanticscholar","paperid":null,"PeriodicalName":"Journal of Oral and Maxillofacial Pathology","FirstCategoryId":"1085","ListUrlMain":"https://doi.org/10.4103/jomfp.jomfp_246_24","RegionNum":0,"RegionCategory":null,"ArticlePicture":[],"TitleCN":null,"AbstractTextCN":null,"PMCID":null,"EPubDate":"2025/6/30 0:00:00","PubModel":"Epub","JCR":"Q3","JCRName":"Medicine","Score":null,"Total":0}
引用次数: 0

摘要

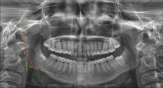
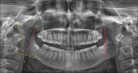
目的:本研究旨在利用随机森林和弹性网络算法从x线摄影的髁突和冠突测量中预测性别。背景:人工智能(AI)有可能通过提高客观性、效率和准确性,彻底改变从骨骼遗骸中确定性别的过程。人工智能系统可以被训练成自动评估与性别识别相关的骨骼特征,比如骨盆的大小、头骨的大小和特定的下颌特征。材料与方法:收集数字全景x线片200张,其中男性100张,女性100张。样本的平均年龄范围为20-40岁。使用Planmeca Romexis Viewer软件2.9.2版本测量冠突高度和髁突高度。R (Planmeca OY,赫尔辛基,芬兰)研究中采用了随机森林和弹性网络算法。结果:20 ~ 30岁组平均年龄25.68岁,31 ~ 40岁组平均年龄35.32岁。与31-40岁组相比,20-30岁组的范围和变异性较低。两个年龄组的中位数相似,但20-30岁组的变异性略高。弹性网算法的真阳性率为0.925,对阳性病例的识别准确率较高。随机森林模型的性能指标包括精度为0.7368,召回率为0.875,f1得分为0.79,表明其在预测性别方面的有效性。AUC高达0.952。结论:研究表明,机器学习模型在性别预测方面可以达到较高的准确率。然而,未来的研究应扩大样本量,探索其他特征,并对适用性进行交叉验证。
本文章由计算机程序翻译,如有差异,请以英文原文为准。

Prediction of gender from radiographic condylar and coronoid measurements using elastic net and random forests.

Prediction of gender from radiographic condylar and coronoid measurements using elastic net and random forests.

Prediction of gender from radiographic condylar and coronoid measurements using elastic net and random forests.

Prediction of gender from radiographic condylar and coronoid measurements using elastic net and random forests.

Aim: This study aims at the prediction of gender from radiographic condylar and coronoid measurements using random forest and elastic net algorithms.

Background: Artificial intelligence (AI) has the potential to revolutionise the process of determining gender from skeletal remains by enhancing objectivity, efficiency, and accuracy. AI systems can be trained to automatically assess skeletal features relevant to gender identification, such as the size of the pelvis, skull, and specific mandibular traits.

Materials and methods: A total of 200 digital panoramic radiographs were collected, out of which 100 were males and 100 were females. The average age range of the samples was 20-40 years. Coronoid height and condylar height were measured using Planmeca Romexis Viewer Software version 2.9.2.R (Planmeca OY, Helsinki, Finland). Random forest and elastic net algorithms were employed in the study.

Results: The 20-30 years group had an average age of 25.68 years, while the 31-40 years group had an average age of 35.32 years. The 20-30 years group had a lower range and variability compared to the 31-40 years group. Both age groups had similar median values, but the 20-30 years group had slightly higher variability. In elastic net algorithms, the true positive rate was 0.925, indicating high accuracy in identifying positive cases. The random forest model's performance metrics included a precision of 0.7368, recall of 0.875, and F1-score of 0.79, indicating its effectiveness in predicting genders. A high AUC of 0.952 was observed.

Conclusion: The study shows that machine learning models can achieve high accuracy in gender prediction. However, future research should expand the sample size, explore additional features, and conduct cross-validation for applicability.

求助全文
通过发布文献求助,成功后即可免费获取论文全文。 去求助
来源期刊
Journal of Oral and Maxillofacial Pathology
Journal of Oral and Maxillofacial Pathology Medicine-Otorhinolaryngology
CiteScore
1.40
自引率
0.00%
发文量
115
期刊介绍: The journal of Oral and Maxillofacial Pathology [ISSN:print-(0973-029X, online-1998-393X)] is a tri-annual journal published on behalf of “The Indian Association of Oral and Maxillofacial Pathologists” (IAOMP). The publication of JOMFP was started in the year 1993. The journal publishes papers on a wide spectrum of topics associated with the scope of Oral and Maxillofacial Pathology, also, ensuring scientific merit and quality. It is a comprehensive reading material for the professionals who want to upgrade their diagnostic skills in Oral Diseases; allows exposure to newer topics and methods of research in the Oral-facial Tissues and Pathology. New features allow an open minded thinking and approach to various pathologies. It also encourages authors to showcase quality work done by them and to compile relevant cases which are diagnostically challenging. The Journal takes pride in maintaining the quality of articles and photomicrographs.
×
引用
GB/T 7714-2015
复制
MLA
复制
APA
复制
导出至
BibTeX EndNote RefMan NoteFirst NoteExpress
×
提示
您的信息不完整,为了账户安全,请先补充。
现在去补充
×
提示
您因"违规操作"
具体请查看互助需知
我知道了
×
提示
确定
请完成安全验证×
copy
已复制链接
快去分享给好友吧!
我知道了
右上角分享
点击右上角分享
0
联系我们:info@booksci.cn Book学术提供免费学术资源搜索服务,方便国内外学者检索中英文文献。致力于提供最便捷和优质的服务体验。 Copyright © 2023 布克学术 All rights reserved.
京ICP备2023020795号-1
ghs 京公网安备 11010802042870号
Book学术文献互助
Book学术文献互助群
群 号:604180095
Book学术官方微信