多参数MRI放射组学鉴别肺癌脑转移病理亚型的可行性研究。

IF 3.9 2区 综合性期刊 Q1 MULTIDISCIPLINARY SCIENCES
Lian-Yu Sui, Shuai Quan, Li-Hong Xing, Yu Zhang, Huan Meng, Jia-Liang Ren, Jia-Ning Wang, Xiao-Ping Yin
{"title":"多参数MRI放射组学鉴别肺癌脑转移病理亚型的可行性研究。","authors":"Lian-Yu Sui, Shuai Quan, Li-Hong Xing, Yu Zhang, Huan Meng, Jia-Liang Ren, Jia-Ning Wang, Xiao-Ping Yin","doi":"10.1038/s41598-025-11886-y","DOIUrl":null,"url":null,"abstract":"<p><p>This study was aimed at differentiating brain metastases (BMs) from non-small cell lung cancer (NSCLC) vs. small cell lung cancer (SCLC), and the adenocarcinoma (AD) vs. non-adenocarcinoma (NAD) subtypes, according to radiomics features derived from multiparametric magnetic resonance imaging (MRI). A total of 276 patients with BMs, including 98 with SCLC and 178 with NSCLC, were randomly divided into training (193 cases) and test (83 cases) datasets in a 7:3 ratio. Of the 178 patients with NSCLC, 155 had primary AD, and 23 had NAD; those patients were also randomly divided into training (124 cases) and test (54 cases) datasets. Logistic regression analysis was used to construct classification models based on the radiomics features extracted from contrast-enhanced T1-weighted imaging (T1CE), T2-fluid-attenuated inversion recovery (T2-FLAIR), and diffusion-weighted imaging (DWI) images. Diagnostic efficiency was evaluated with the area under the receiver operating characteristic curve (AUC) through Delong's test, calibration curves through the Hosmer-Lemeshow test and Brier score, precision-recall curves, and decision curve analysis. Compared with radiomics features derived from a single sequence, multiparametric combined-sequence MRI radiomics features based on T1CE, T2-FLAIR, and DWI images exhibited greater specificity in distinguishing BMs originating from various lung cancer subtypes. In the training and test datasets, the AUCs of the model for the classification of SCLC and NSCLC BMs were 0.765 (95% CI 0.711, 0.822) and 0.762 (95% CI 0.671, 0.845), respectively, whereas the AUCs of the prediction models combining the three sequences in differentiating AD from NAD BMs were 0.861 (95% CI 0.756, 0.951) and 0.851 (95% CI 0.649, 0.984), respectively. The radiomics classification method based on the combination of multiple MRI sequences can be used for differentiating various lung cancer BMs.</p>","PeriodicalId":21811,"journal":{"name":"Scientific Reports","volume":"15 1","pages":"26762"},"PeriodicalIF":3.9000,"publicationDate":"2025-07-23","publicationTypes":"Journal Article","fieldsOfStudy":null,"isOpenAccess":false,"openAccessPdf":"https://www.ncbi.nlm.nih.gov/pmc/articles/PMC12287448/pdf/","citationCount":"0","resultStr":"{\"title\":\"Identification of the pathological subtypes of lung cancer brain metastases with multiparametric MRI radiomics: A feasibility study.\",\"authors\":\"Lian-Yu Sui, Shuai Quan, Li-Hong Xing, Yu Zhang, Huan Meng, Jia-Liang Ren, Jia-Ning Wang, Xiao-Ping Yin\",\"doi\":\"10.1038/s41598-025-11886-y\",\"DOIUrl\":null,\"url\":null,\"abstract\":\"<p><p>This study was aimed at differentiating brain metastases (BMs) from non-small cell lung cancer (NSCLC) vs. small cell lung cancer (SCLC), and the adenocarcinoma (AD) vs. non-adenocarcinoma (NAD) subtypes, according to radiomics features derived from multiparametric magnetic resonance imaging (MRI). A total of 276 patients with BMs, including 98 with SCLC and 178 with NSCLC, were randomly divided into training (193 cases) and test (83 cases) datasets in a 7:3 ratio. Of the 178 patients with NSCLC, 155 had primary AD, and 23 had NAD; those patients were also randomly divided into training (124 cases) and test (54 cases) datasets. Logistic regression analysis was used to construct classification models based on the radiomics features extracted from contrast-enhanced T1-weighted imaging (T1CE), T2-fluid-attenuated inversion recovery (T2-FLAIR), and diffusion-weighted imaging (DWI) images. Diagnostic efficiency was evaluated with the area under the receiver operating characteristic curve (AUC) through Delong's test, calibration curves through the Hosmer-Lemeshow test and Brier score, precision-recall curves, and decision curve analysis. Compared with radiomics features derived from a single sequence, multiparametric combined-sequence MRI radiomics features based on T1CE, T2-FLAIR, and DWI images exhibited greater specificity in distinguishing BMs originating from various lung cancer subtypes. In the training and test datasets, the AUCs of the model for the classification of SCLC and NSCLC BMs were 0.765 (95% CI 0.711, 0.822) and 0.762 (95% CI 0.671, 0.845), respectively, whereas the AUCs of the prediction models combining the three sequences in differentiating AD from NAD BMs were 0.861 (95% CI 0.756, 0.951) and 0.851 (95% CI 0.649, 0.984), respectively. The radiomics classification method based on the combination of multiple MRI sequences can be used for differentiating various lung cancer BMs.</p>\",\"PeriodicalId\":21811,\"journal\":{\"name\":\"Scientific Reports\",\"volume\":\"15 1\",\"pages\":\"26762\"},\"PeriodicalIF\":3.9000,\"publicationDate\":\"2025-07-23\",\"publicationTypes\":\"Journal Article\",\"fieldsOfStudy\":null,\"isOpenAccess\":false,\"openAccessPdf\":\"https://www.ncbi.nlm.nih.gov/pmc/articles/PMC12287448/pdf/\",\"citationCount\":\"0\",\"resultStr\":null,\"platform\":\"Semanticscholar\",\"paperid\":null,\"PeriodicalName\":\"Scientific Reports\",\"FirstCategoryId\":\"103\",\"ListUrlMain\":\"https://doi.org/10.1038/s41598-025-11886-y\",\"RegionNum\":2,\"RegionCategory\":\"综合性期刊\",\"ArticlePicture\":[],\"TitleCN\":null,\"AbstractTextCN\":null,\"PMCID\":null,\"EPubDate\":\"\",\"PubModel\":\"\",\"JCR\":\"Q1\",\"JCRName\":\"MULTIDISCIPLINARY SCIENCES\",\"Score\":null,\"Total\":0}","platform":"Semanticscholar","paperid":null,"PeriodicalName":"Scientific Reports","FirstCategoryId":"103","ListUrlMain":"https://doi.org/10.1038/s41598-025-11886-y","RegionNum":2,"RegionCategory":"综合性期刊","ArticlePicture":[],"TitleCN":null,"AbstractTextCN":null,"PMCID":null,"EPubDate":"","PubModel":"","JCR":"Q1","JCRName":"MULTIDISCIPLINARY SCIENCES","Score":null,"Total":0}
引用次数: 0

摘要

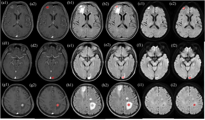
本研究旨在根据多参数磁共振成像(MRI)的放射组学特征,区分非小细胞肺癌(NSCLC)与小细胞肺癌(SCLC)的脑转移(BMs),以及腺癌(AD)与非腺癌(NAD)亚型。276例脑转移患者,其中98例为SCLC, 178例为NSCLC,按7:3的比例随机分为训练(193例)和测试(83例)数据集。178例NSCLC患者中,155例为原发性AD, 23例为NAD;这些患者也被随机分为训练(124例)和测试(54例)数据集。基于从对比度增强t1加权成像(T1CE)、t2流体衰减反演恢复(T2-FLAIR)和弥散加权成像(DWI)图像中提取的放射组学特征,采用Logistic回归分析构建分类模型。通过Delong试验、Hosmer-Lemeshow试验和Brier评分的校准曲线、精密度-召回率曲线和决策曲线分析来评价诊断效率。与来自单一序列的放射组学特征相比,基于T1CE、T2-FLAIR和DWI图像的多参数联合序列MRI放射组学特征在区分源自不同肺癌亚型的脑转移方面表现出更大的特异性。在训练和测试数据集中,该模型用于SCLC和NSCLC脑转移分类的auc分别为0.765 (95% CI 0.711, 0.822)和0.762 (95% CI 0.671, 0.845),而结合这三个序列的预测模型用于区分AD和NAD脑转移的auc分别为0.861 (95% CI 0.756, 0.951)和0.851 (95% CI 0.649, 0.984)。基于多个MRI序列组合的放射组学分类方法可用于鉴别各种肺癌脑转移。
本文章由计算机程序翻译,如有差异,请以英文原文为准。

Identification of the pathological subtypes of lung cancer brain metastases with multiparametric MRI radiomics: A feasibility study.

Identification of the pathological subtypes of lung cancer brain metastases with multiparametric MRI radiomics: A feasibility study.

Identification of the pathological subtypes of lung cancer brain metastases with multiparametric MRI radiomics: A feasibility study.

Identification of the pathological subtypes of lung cancer brain metastases with multiparametric MRI radiomics: A feasibility study.

This study was aimed at differentiating brain metastases (BMs) from non-small cell lung cancer (NSCLC) vs. small cell lung cancer (SCLC), and the adenocarcinoma (AD) vs. non-adenocarcinoma (NAD) subtypes, according to radiomics features derived from multiparametric magnetic resonance imaging (MRI). A total of 276 patients with BMs, including 98 with SCLC and 178 with NSCLC, were randomly divided into training (193 cases) and test (83 cases) datasets in a 7:3 ratio. Of the 178 patients with NSCLC, 155 had primary AD, and 23 had NAD; those patients were also randomly divided into training (124 cases) and test (54 cases) datasets. Logistic regression analysis was used to construct classification models based on the radiomics features extracted from contrast-enhanced T1-weighted imaging (T1CE), T2-fluid-attenuated inversion recovery (T2-FLAIR), and diffusion-weighted imaging (DWI) images. Diagnostic efficiency was evaluated with the area under the receiver operating characteristic curve (AUC) through Delong's test, calibration curves through the Hosmer-Lemeshow test and Brier score, precision-recall curves, and decision curve analysis. Compared with radiomics features derived from a single sequence, multiparametric combined-sequence MRI radiomics features based on T1CE, T2-FLAIR, and DWI images exhibited greater specificity in distinguishing BMs originating from various lung cancer subtypes. In the training and test datasets, the AUCs of the model for the classification of SCLC and NSCLC BMs were 0.765 (95% CI 0.711, 0.822) and 0.762 (95% CI 0.671, 0.845), respectively, whereas the AUCs of the prediction models combining the three sequences in differentiating AD from NAD BMs were 0.861 (95% CI 0.756, 0.951) and 0.851 (95% CI 0.649, 0.984), respectively. The radiomics classification method based on the combination of multiple MRI sequences can be used for differentiating various lung cancer BMs.

求助全文
通过发布文献求助,成功后即可免费获取论文全文。 去求助
来源期刊
Scientific Reports
Scientific Reports Natural Science Disciplines-
CiteScore
7.50
自引率
4.30%
发文量
19567
审稿时长
3.9 months
期刊介绍: We publish original research from all areas of the natural sciences, psychology, medicine and engineering. You can learn more about what we publish by browsing our specific scientific subject areas below or explore Scientific Reports by browsing all articles and collections. Scientific Reports has a 2-year impact factor: 4.380 (2021), and is the 6th most-cited journal in the world, with more than 540,000 citations in 2020 (Clarivate Analytics, 2021). •Engineering Engineering covers all aspects of engineering, technology, and applied science. It plays a crucial role in the development of technologies to address some of the world''s biggest challenges, helping to save lives and improve the way we live. •Physical sciences Physical sciences are those academic disciplines that aim to uncover the underlying laws of nature — often written in the language of mathematics. It is a collective term for areas of study including astronomy, chemistry, materials science and physics. •Earth and environmental sciences Earth and environmental sciences cover all aspects of Earth and planetary science and broadly encompass solid Earth processes, surface and atmospheric dynamics, Earth system history, climate and climate change, marine and freshwater systems, and ecology. It also considers the interactions between humans and these systems. •Biological sciences Biological sciences encompass all the divisions of natural sciences examining various aspects of vital processes. The concept includes anatomy, physiology, cell biology, biochemistry and biophysics, and covers all organisms from microorganisms, animals to plants. •Health sciences The health sciences study health, disease and healthcare. This field of study aims to develop knowledge, interventions and technology for use in healthcare to improve the treatment of patients.
×
引用
GB/T 7714-2015
复制
MLA
复制
APA
复制
导出至
BibTeX EndNote RefMan NoteFirst NoteExpress
×
提示
您的信息不完整,为了账户安全,请先补充。
现在去补充
×
提示
您因"违规操作"
具体请查看互助需知
我知道了
×
提示
确定
请完成安全验证×
copy
已复制链接
快去分享给好友吧!
我知道了
右上角分享
点击右上角分享
0
联系我们:info@booksci.cn Book学术提供免费学术资源搜索服务,方便国内外学者检索中英文文献。致力于提供最便捷和优质的服务体验。 Copyright © 2023 布克学术 All rights reserved.
京ICP备2023020795号-1
ghs 京公网安备 11010802042870号
Book学术文献互助
Book学术文献互助群
群 号:604180095
Book学术官方微信