探索绒毛膜-尿囊膜(CAM)作为烧伤创面建模和分析的平台。

IF 2 Q3 BIOCHEMICAL RESEARCH METHODS
Rita Araújo, Maria Guerra-Gomes, Joana Barros, Pedro Gomes
{"title":"探索绒毛膜-尿囊膜(CAM)作为烧伤创面建模和分析的平台。","authors":"Rita Araújo, Maria Guerra-Gomes, Joana Barros, Pedro Gomes","doi":"10.3390/mps8040079","DOIUrl":null,"url":null,"abstract":"<p><p>Burn wounds present a significant challenge to both the medical and scientific communities, contributing to the global economic burden on healthcare systems. Due to the complexity and highly variability of burn injuries, along with intricate pathophysiological mechanisms, the development of appropriate and effective treatment strategies remains particularly demanding. The development of robust pre-clinical models that recapitulate specific molecular and cellular events underlying burn injury are essential to advance the understanding of associated biological mechanisms and facilitate the screening of innovative therapeutic interventions. While conventional in vivo models can replicate the key aspects of human burn wound pathology, they are often associated with ethical, logistical, and cost-related limitations. In this context, this study aims to explore the potential of the chicken chorioallantoic membrane (CAM) as an alternative model for burn wound research. Thus, we describe a reproducible and ethically favorable protocol for establishing standardized burn injuries on the CAM and provide a comprehensive evaluation of tissue responses through macroscopic, morphometric, and histological analyses. Our findings support the CAM as a viable pre-clinical platform for the study of burn wound healing and for the early-stage screening of candidate therapeutic agents.</p>","PeriodicalId":18715,"journal":{"name":"Methods and Protocols","volume":"8 4","pages":""},"PeriodicalIF":2.0000,"publicationDate":"2025-07-10","publicationTypes":"Journal Article","fieldsOfStudy":null,"isOpenAccess":false,"openAccessPdf":"https://www.ncbi.nlm.nih.gov/pmc/articles/PMC12286008/pdf/","citationCount":"0","resultStr":"{\"title\":\"Exploring the Chorioallantoic Membrane (CAM) as a Platform for Burn Wound Modelling and Analysis.\",\"authors\":\"Rita Araújo, Maria Guerra-Gomes, Joana Barros, Pedro Gomes\",\"doi\":\"10.3390/mps8040079\",\"DOIUrl\":null,\"url\":null,\"abstract\":\"<p><p>Burn wounds present a significant challenge to both the medical and scientific communities, contributing to the global economic burden on healthcare systems. Due to the complexity and highly variability of burn injuries, along with intricate pathophysiological mechanisms, the development of appropriate and effective treatment strategies remains particularly demanding. The development of robust pre-clinical models that recapitulate specific molecular and cellular events underlying burn injury are essential to advance the understanding of associated biological mechanisms and facilitate the screening of innovative therapeutic interventions. While conventional in vivo models can replicate the key aspects of human burn wound pathology, they are often associated with ethical, logistical, and cost-related limitations. In this context, this study aims to explore the potential of the chicken chorioallantoic membrane (CAM) as an alternative model for burn wound research. Thus, we describe a reproducible and ethically favorable protocol for establishing standardized burn injuries on the CAM and provide a comprehensive evaluation of tissue responses through macroscopic, morphometric, and histological analyses. Our findings support the CAM as a viable pre-clinical platform for the study of burn wound healing and for the early-stage screening of candidate therapeutic agents.</p>\",\"PeriodicalId\":18715,\"journal\":{\"name\":\"Methods and Protocols\",\"volume\":\"8 4\",\"pages\":\"\"},\"PeriodicalIF\":2.0000,\"publicationDate\":\"2025-07-10\",\"publicationTypes\":\"Journal Article\",\"fieldsOfStudy\":null,\"isOpenAccess\":false,\"openAccessPdf\":\"https://www.ncbi.nlm.nih.gov/pmc/articles/PMC12286008/pdf/\",\"citationCount\":\"0\",\"resultStr\":null,\"platform\":\"Semanticscholar\",\"paperid\":null,\"PeriodicalName\":\"Methods and Protocols\",\"FirstCategoryId\":\"1085\",\"ListUrlMain\":\"https://doi.org/10.3390/mps8040079\",\"RegionNum\":0,\"RegionCategory\":null,\"ArticlePicture\":[],\"TitleCN\":null,\"AbstractTextCN\":null,\"PMCID\":null,\"EPubDate\":\"\",\"PubModel\":\"\",\"JCR\":\"Q3\",\"JCRName\":\"BIOCHEMICAL RESEARCH METHODS\",\"Score\":null,\"Total\":0}","platform":"Semanticscholar","paperid":null,"PeriodicalName":"Methods and Protocols","FirstCategoryId":"1085","ListUrlMain":"https://doi.org/10.3390/mps8040079","RegionNum":0,"RegionCategory":null,"ArticlePicture":[],"TitleCN":null,"AbstractTextCN":null,"PMCID":null,"EPubDate":"","PubModel":"","JCR":"Q3","JCRName":"BIOCHEMICAL RESEARCH METHODS","Score":null,"Total":0}
引用次数: 0

摘要

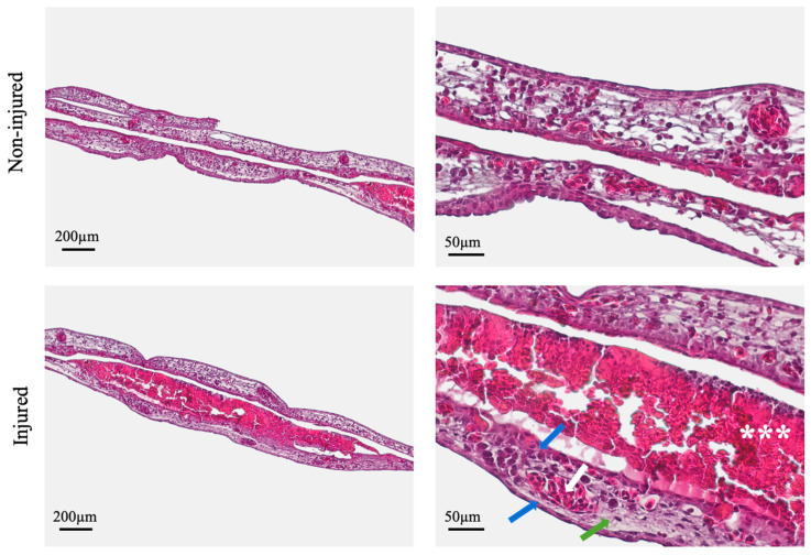
烧伤对医学界和科学界都是一个重大挑战,对全球卫生保健系统造成了经济负担。由于烧伤的复杂性和高度可变性,以及复杂的病理生理机制,开发适当和有效的治疗策略仍然特别需要。建立强大的临床前模型,概括烧伤损伤背后的特定分子和细胞事件,对于促进对相关生物学机制的理解和促进创新治疗干预措施的筛选至关重要。虽然传统的体内模型可以复制人体烧伤创面病理的关键方面,但它们通常与伦理、后勤和成本相关的限制有关。在此背景下,本研究旨在探索鸡绒毛膜尿囊膜(CAM)作为烧伤创面研究的替代模型的潜力。因此,我们描述了一个可重复的、伦理上有利的方案,用于在CAM上建立标准化烧伤,并通过宏观、形态计量学和组织学分析提供组织反应的综合评估。我们的研究结果支持CAM作为一个可行的临床前平台,用于研究烧伤创面愈合和候选治疗药物的早期筛选。
本文章由计算机程序翻译,如有差异,请以英文原文为准。

Exploring the Chorioallantoic Membrane (CAM) as a Platform for Burn Wound Modelling and Analysis.

Exploring the Chorioallantoic Membrane (CAM) as a Platform for Burn Wound Modelling and Analysis.

Exploring the Chorioallantoic Membrane (CAM) as a Platform for Burn Wound Modelling and Analysis.

Exploring the Chorioallantoic Membrane (CAM) as a Platform for Burn Wound Modelling and Analysis.

Burn wounds present a significant challenge to both the medical and scientific communities, contributing to the global economic burden on healthcare systems. Due to the complexity and highly variability of burn injuries, along with intricate pathophysiological mechanisms, the development of appropriate and effective treatment strategies remains particularly demanding. The development of robust pre-clinical models that recapitulate specific molecular and cellular events underlying burn injury are essential to advance the understanding of associated biological mechanisms and facilitate the screening of innovative therapeutic interventions. While conventional in vivo models can replicate the key aspects of human burn wound pathology, they are often associated with ethical, logistical, and cost-related limitations. In this context, this study aims to explore the potential of the chicken chorioallantoic membrane (CAM) as an alternative model for burn wound research. Thus, we describe a reproducible and ethically favorable protocol for establishing standardized burn injuries on the CAM and provide a comprehensive evaluation of tissue responses through macroscopic, morphometric, and histological analyses. Our findings support the CAM as a viable pre-clinical platform for the study of burn wound healing and for the early-stage screening of candidate therapeutic agents.

求助全文
通过发布文献求助,成功后即可免费获取论文全文。 去求助
来源期刊
Methods and Protocols
Methods and Protocols Biochemistry, Genetics and Molecular Biology-Biochemistry, Genetics and Molecular Biology (miscellaneous)
CiteScore
3.60
自引率
0.00%
发文量
85
审稿时长
8 weeks
×
引用
GB/T 7714-2015
复制
MLA
复制
APA
复制
导出至
BibTeX EndNote RefMan NoteFirst NoteExpress
×
提示
您的信息不完整,为了账户安全,请先补充。
现在去补充
×
提示
您因"违规操作"
具体请查看互助需知
我知道了
×
提示
确定
请完成安全验证×
copy
已复制链接
快去分享给好友吧!
我知道了
右上角分享
点击右上角分享
0
联系我们:info@booksci.cn Book学术提供免费学术资源搜索服务,方便国内外学者检索中英文文献。致力于提供最便捷和优质的服务体验。 Copyright © 2023 布克学术 All rights reserved.
京ICP备2023020795号-1
ghs 京公网安备 11010802042870号
Book学术文献互助
Book学术文献互助群
群 号:604180095
Book学术官方微信