木苹果(Limonia acidissima)、水菠菜(Ipomoea aquatica)和辣木(Moringa oleifera)对庆大霉素诱导大鼠肾毒性和氧化应激的肾保护作用。

IF 2.4 Q3 NUTRITION & DIETETICS
Journal of Nutrition and Metabolism Pub Date : 2025-07-16 eCollection Date: 2025-01-01 DOI:10.1155/jnme/3688503
Mousumi Akter, Sneha Sarwar, Maisha Majid, Mahbub Zaman Mithun, Badhan Banik, Md Saidul Arefin, Sheikh Nazrul Islam
{"title":"木苹果(Limonia acidissima)、水菠菜(Ipomoea aquatica)和辣木(Moringa oleifera)对庆大霉素诱导大鼠肾毒性和氧化应激的肾保护作用。","authors":"Mousumi Akter, Sneha Sarwar, Maisha Majid, Mahbub Zaman Mithun, Badhan Banik, Md Saidul Arefin, Sheikh Nazrul Islam","doi":"10.1155/jnme/3688503","DOIUrl":null,"url":null,"abstract":"<p><p><b>Objective:</b> The present research investigated the pharmacological effectiveness of three functional foods-wood apple (WA), water spinach (WS), and moringa (MO)-against gentamicin (GM)-induced nephrotoxicity and oxidative stress in rat models. <b>Methodology:</b> The study was conducted on rat model. Twenty-five healthy Long Evan rats of both sexes were equally divided into five groups, which were studied for 7 days. GM at a dose of 80 mg/kg body weight was given daily intraperitoneally to rats of all groups except the normal control (NC). Simply, the NC and negative control (GM) groups received only regular diet. The 3 treatment groups received 20 g/rat/day of mashed WA, fried WS, and roasted MO with regular feed diet at 1:1 ratio. On the last experimental day (8<sup>th</sup> day), all the rats were sacrificed to collect blood and kidney samples. Nephrotoxicity was assessed by biochemical estimation of serum creatinine (CK) and blood urea nitrogen (BUN), and oxidative stress was analyzed by determination of serum malondialdehyde (MDA) and superoxide dismutase (SOD) levels. In addition, histopathology of kidney tissue was also performed for final observation. <b>Results:</b> By lowering uremic toxin (serum CK and urea) levels, all the three functional foods significantly (<i>p</i> < 0.05) improved kidney function and the GM-induced oxidative stress. However, the difference in the blood SOD level was found to be statistically insignificant (<i>p</i> > 0.05), nevertheless. The histopathological results in those groups corroborated the biochemical results of the food intervention groups. <b>Conclusion:</b> The present attempt shows that consuming the foods containing antioxidant phytochemicals may be a possible way to combat nephrotoxicity and oxidative stress. Nonetheless, the dosage response of these functional foods and mechanism of action to nephroprotection need to be investigated.</p>","PeriodicalId":16587,"journal":{"name":"Journal of Nutrition and Metabolism","volume":"2025 ","pages":"3688503"},"PeriodicalIF":2.4000,"publicationDate":"2025-07-16","publicationTypes":"Journal Article","fieldsOfStudy":null,"isOpenAccess":false,"openAccessPdf":"https://www.ncbi.nlm.nih.gov/pmc/articles/PMC12286676/pdf/","citationCount":"0","resultStr":"{\"title\":\"Nephroprotection of Wood Apple (<i>Limonia acidissima</i>), Water Spinach (<i>Ipomoea aquatica</i>), and Moringa (<i>Moringa oleifera</i>) on Gentamicin-Induced Nephrotoxicity and Oxidative Stress in Rat Model.\",\"authors\":\"Mousumi Akter, Sneha Sarwar, Maisha Majid, Mahbub Zaman Mithun, Badhan Banik, Md Saidul Arefin, Sheikh Nazrul Islam\",\"doi\":\"10.1155/jnme/3688503\",\"DOIUrl\":null,\"url\":null,\"abstract\":\"<p><p><b>Objective:</b> The present research investigated the pharmacological effectiveness of three functional foods-wood apple (WA), water spinach (WS), and moringa (MO)-against gentamicin (GM)-induced nephrotoxicity and oxidative stress in rat models. <b>Methodology:</b> The study was conducted on rat model. Twenty-five healthy Long Evan rats of both sexes were equally divided into five groups, which were studied for 7 days. GM at a dose of 80 mg/kg body weight was given daily intraperitoneally to rats of all groups except the normal control (NC). Simply, the NC and negative control (GM) groups received only regular diet. The 3 treatment groups received 20 g/rat/day of mashed WA, fried WS, and roasted MO with regular feed diet at 1:1 ratio. On the last experimental day (8<sup>th</sup> day), all the rats were sacrificed to collect blood and kidney samples. Nephrotoxicity was assessed by biochemical estimation of serum creatinine (CK) and blood urea nitrogen (BUN), and oxidative stress was analyzed by determination of serum malondialdehyde (MDA) and superoxide dismutase (SOD) levels. In addition, histopathology of kidney tissue was also performed for final observation. <b>Results:</b> By lowering uremic toxin (serum CK and urea) levels, all the three functional foods significantly (<i>p</i> < 0.05) improved kidney function and the GM-induced oxidative stress. However, the difference in the blood SOD level was found to be statistically insignificant (<i>p</i> > 0.05), nevertheless. The histopathological results in those groups corroborated the biochemical results of the food intervention groups. <b>Conclusion:</b> The present attempt shows that consuming the foods containing antioxidant phytochemicals may be a possible way to combat nephrotoxicity and oxidative stress. Nonetheless, the dosage response of these functional foods and mechanism of action to nephroprotection need to be investigated.</p>\",\"PeriodicalId\":16587,\"journal\":{\"name\":\"Journal of Nutrition and Metabolism\",\"volume\":\"2025 \",\"pages\":\"3688503\"},\"PeriodicalIF\":2.4000,\"publicationDate\":\"2025-07-16\",\"publicationTypes\":\"Journal Article\",\"fieldsOfStudy\":null,\"isOpenAccess\":false,\"openAccessPdf\":\"https://www.ncbi.nlm.nih.gov/pmc/articles/PMC12286676/pdf/\",\"citationCount\":\"0\",\"resultStr\":null,\"platform\":\"Semanticscholar\",\"paperid\":null,\"PeriodicalName\":\"Journal of Nutrition and Metabolism\",\"FirstCategoryId\":\"1085\",\"ListUrlMain\":\"https://doi.org/10.1155/jnme/3688503\",\"RegionNum\":0,\"RegionCategory\":null,\"ArticlePicture\":[],\"TitleCN\":null,\"AbstractTextCN\":null,\"PMCID\":null,\"EPubDate\":\"2025/1/1 0:00:00\",\"PubModel\":\"eCollection\",\"JCR\":\"Q3\",\"JCRName\":\"NUTRITION & DIETETICS\",\"Score\":null,\"Total\":0}","platform":"Semanticscholar","paperid":null,"PeriodicalName":"Journal of Nutrition and Metabolism","FirstCategoryId":"1085","ListUrlMain":"https://doi.org/10.1155/jnme/3688503","RegionNum":0,"RegionCategory":null,"ArticlePicture":[],"TitleCN":null,"AbstractTextCN":null,"PMCID":null,"EPubDate":"2025/1/1 0:00:00","PubModel":"eCollection","JCR":"Q3","JCRName":"NUTRITION & DIETETICS","Score":null,"Total":0}
引用次数: 0

摘要

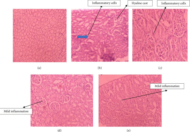
目的:研究木苹果(WA)、水菠菜(WS)和辣木(MO)三种功能食品对庆大霉素(GM)所致大鼠肾毒性和氧化应激的药理作用。方法:采用大鼠模型。选取健康的雌雄龙文大鼠25只,平均分为5组,每组研究7 d。除正常对照组(NC)外,其余各组大鼠每日腹腔注射剂量为80 mg/kg体重的GM。简单地说,NC组和阴性对照(GM)组只接受常规饮食。3个处理组在常规饲料中按1:1的比例分别饲喂WA泥、WS炒、MO烤20 g/ d。实验最后一天(第8天)处死大鼠采集血液和肾脏标本。通过测定血清肌酐(CK)和尿素氮(BUN)生化指标评估肾毒性,通过测定血清丙二醛(MDA)和超氧化物歧化酶(SOD)水平分析氧化应激。此外,还进行了肾脏组织病理学检查,以进行最终观察。结果:3种功能食品均可通过降低血清CK和尿素水平,显著改善大鼠肾功能和氧化应激(p < 0.05)。然而,血液中SOD水平差异无统计学意义(p < 0.05)。这些组的组织病理学结果证实了食物干预组的生化结果。结论:食用含有抗氧化植物化学物质的食物可能是对抗肾毒性和氧化应激的一种可能途径。然而,这些功能性食品的剂量反应和对肾保护的作用机制还需要进一步研究。
本文章由计算机程序翻译,如有差异,请以英文原文为准。

Nephroprotection of Wood Apple (<i>Limonia acidissima</i>), Water Spinach (<i>Ipomoea aquatica</i>), and Moringa (<i>Moringa oleifera</i>) on Gentamicin-Induced Nephrotoxicity and Oxidative Stress in Rat Model.

Nephroprotection of Wood Apple (Limonia acidissima), Water Spinach (Ipomoea aquatica), and Moringa (Moringa oleifera) on Gentamicin-Induced Nephrotoxicity and Oxidative Stress in Rat Model.

Objective: The present research investigated the pharmacological effectiveness of three functional foods-wood apple (WA), water spinach (WS), and moringa (MO)-against gentamicin (GM)-induced nephrotoxicity and oxidative stress in rat models. Methodology: The study was conducted on rat model. Twenty-five healthy Long Evan rats of both sexes were equally divided into five groups, which were studied for 7 days. GM at a dose of 80 mg/kg body weight was given daily intraperitoneally to rats of all groups except the normal control (NC). Simply, the NC and negative control (GM) groups received only regular diet. The 3 treatment groups received 20 g/rat/day of mashed WA, fried WS, and roasted MO with regular feed diet at 1:1 ratio. On the last experimental day (8th day), all the rats were sacrificed to collect blood and kidney samples. Nephrotoxicity was assessed by biochemical estimation of serum creatinine (CK) and blood urea nitrogen (BUN), and oxidative stress was analyzed by determination of serum malondialdehyde (MDA) and superoxide dismutase (SOD) levels. In addition, histopathology of kidney tissue was also performed for final observation. Results: By lowering uremic toxin (serum CK and urea) levels, all the three functional foods significantly (p < 0.05) improved kidney function and the GM-induced oxidative stress. However, the difference in the blood SOD level was found to be statistically insignificant (p > 0.05), nevertheless. The histopathological results in those groups corroborated the biochemical results of the food intervention groups. Conclusion: The present attempt shows that consuming the foods containing antioxidant phytochemicals may be a possible way to combat nephrotoxicity and oxidative stress. Nonetheless, the dosage response of these functional foods and mechanism of action to nephroprotection need to be investigated.

求助全文
通过发布文献求助,成功后即可免费获取论文全文。 去求助
来源期刊
Journal of Nutrition and Metabolism
Journal of Nutrition and Metabolism NUTRITION & DIETETICS-
CiteScore
5.40
自引率
0.00%
发文量
49
审稿时长
17 weeks
期刊介绍: Journal of Nutrition and Metabolism is a peer-reviewed, Open Access journal that publishes original research articles, review articles, and clinical studies covering the broad and multidisciplinary field of human nutrition and metabolism. The journal welcomes submissions on studies related to obesity, diabetes, metabolic syndrome, molecular and cellular biology of nutrients, foods and dietary supplements, as well as macro- and micronutrients including vitamins and minerals.
×
引用
GB/T 7714-2015
复制
MLA
复制
APA
复制
导出至
BibTeX EndNote RefMan NoteFirst NoteExpress
×
提示
您的信息不完整,为了账户安全,请先补充。
现在去补充
×
提示
您因"违规操作"
具体请查看互助需知
我知道了
×
提示
确定
请完成安全验证×
copy
已复制链接
快去分享给好友吧!
我知道了
右上角分享
点击右上角分享
0
联系我们:info@booksci.cn Book学术提供免费学术资源搜索服务,方便国内外学者检索中英文文献。致力于提供最便捷和优质的服务体验。 Copyright © 2023 布克学术 All rights reserved.
京ICP备2023020795号-1
ghs 京公网安备 11010802042870号
Book学术文献互助
Book学术文献互助群
群 号:604180095
Book学术官方微信