DISH综合征患者生命第10年的救命治疗。

IF 2.1 Q3 GERIATRICS & GERONTOLOGY
Bartosz Krolicki, Victor Mandat, Tomasz S Mandat
{"title":"DISH综合征患者生命第10年的救命治疗。","authors":"Bartosz Krolicki, Victor Mandat, Tomasz S Mandat","doi":"10.3390/geriatrics10040092","DOIUrl":null,"url":null,"abstract":"<p><p><b>Background/Objectives</b>: Diffuse idiopathic skeleton hyperostosis (DISH) is also known as Forestier-Rotes-Querol syndrome. The etiology of DISH is unknown. DISH is characterized by ossification of the anterior longitudinal ligaments of the spine. The area most frequently involved in the disease is the thoracic region of the spine. DISH in most cases is asymptomatic. If the cervical spine is involved, the most common symptoms are dysphagia and dyspnea. The ossifications in the cervical region of the spine are localized most frequently in its lower segments. <b>Case presentation</b>: The authors present the case of a 92-year-old cachectic female patient (body mass index (BMI) of 17; lost 13% of her body weight within the last 6 months). The patient underwent resection of the anterior osteophytes C2-T1. Results: At one-year follow up, the patient had gained weight (BMI-20) and regained her ability to consume solid products. To our knowledge, this is the oldest patient treated surgically for DISH. <b>Conclusions</b>: If dysphagia or dyspnea appears among elderly patients, cervical spine inspection should be conducted. If DISH is diagnosed safe, effective surgical treatment should be considered.</p>","PeriodicalId":12653,"journal":{"name":"Geriatrics","volume":"10 4","pages":""},"PeriodicalIF":2.1000,"publicationDate":"2025-07-07","publicationTypes":"Journal Article","fieldsOfStudy":null,"isOpenAccess":false,"openAccessPdf":"https://www.ncbi.nlm.nih.gov/pmc/articles/PMC12286281/pdf/","citationCount":"0","resultStr":"{\"title\":\"Lifesaving Treatment for DISH Syndrome in the Tenth Decade of Patient's Life.\",\"authors\":\"Bartosz Krolicki, Victor Mandat, Tomasz S Mandat\",\"doi\":\"10.3390/geriatrics10040092\",\"DOIUrl\":null,\"url\":null,\"abstract\":\"<p><p><b>Background/Objectives</b>: Diffuse idiopathic skeleton hyperostosis (DISH) is also known as Forestier-Rotes-Querol syndrome. The etiology of DISH is unknown. DISH is characterized by ossification of the anterior longitudinal ligaments of the spine. The area most frequently involved in the disease is the thoracic region of the spine. DISH in most cases is asymptomatic. If the cervical spine is involved, the most common symptoms are dysphagia and dyspnea. The ossifications in the cervical region of the spine are localized most frequently in its lower segments. <b>Case presentation</b>: The authors present the case of a 92-year-old cachectic female patient (body mass index (BMI) of 17; lost 13% of her body weight within the last 6 months). The patient underwent resection of the anterior osteophytes C2-T1. Results: At one-year follow up, the patient had gained weight (BMI-20) and regained her ability to consume solid products. To our knowledge, this is the oldest patient treated surgically for DISH. <b>Conclusions</b>: If dysphagia or dyspnea appears among elderly patients, cervical spine inspection should be conducted. If DISH is diagnosed safe, effective surgical treatment should be considered.</p>\",\"PeriodicalId\":12653,\"journal\":{\"name\":\"Geriatrics\",\"volume\":\"10 4\",\"pages\":\"\"},\"PeriodicalIF\":2.1000,\"publicationDate\":\"2025-07-07\",\"publicationTypes\":\"Journal Article\",\"fieldsOfStudy\":null,\"isOpenAccess\":false,\"openAccessPdf\":\"https://www.ncbi.nlm.nih.gov/pmc/articles/PMC12286281/pdf/\",\"citationCount\":\"0\",\"resultStr\":null,\"platform\":\"Semanticscholar\",\"paperid\":null,\"PeriodicalName\":\"Geriatrics\",\"FirstCategoryId\":\"1085\",\"ListUrlMain\":\"https://doi.org/10.3390/geriatrics10040092\",\"RegionNum\":0,\"RegionCategory\":null,\"ArticlePicture\":[],\"TitleCN\":null,\"AbstractTextCN\":null,\"PMCID\":null,\"EPubDate\":\"\",\"PubModel\":\"\",\"JCR\":\"Q3\",\"JCRName\":\"GERIATRICS & GERONTOLOGY\",\"Score\":null,\"Total\":0}","platform":"Semanticscholar","paperid":null,"PeriodicalName":"Geriatrics","FirstCategoryId":"1085","ListUrlMain":"https://doi.org/10.3390/geriatrics10040092","RegionNum":0,"RegionCategory":null,"ArticlePicture":[],"TitleCN":null,"AbstractTextCN":null,"PMCID":null,"EPubDate":"","PubModel":"","JCR":"Q3","JCRName":"GERIATRICS & GERONTOLOGY","Score":null,"Total":0}
引用次数: 0

摘要

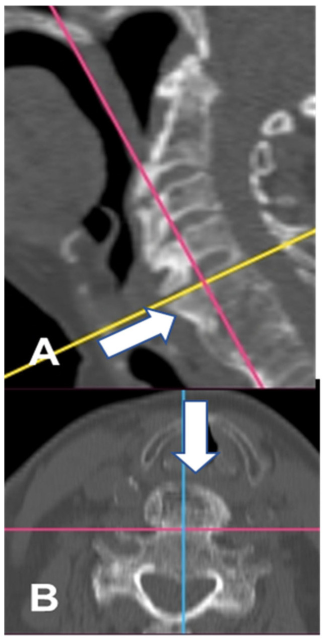
背景/目的:弥漫性特发性骨骼肥厚症(DISH)也被称为foretier - rotes - querol综合征。DISH的病因尚不清楚。DISH的特点是脊柱前纵韧带骨化。该疾病最常累及的区域是脊柱的胸椎区域。DISH在大多数情况下是无症状的。如果颈椎受累,最常见的症状是吞咽困难和呼吸困难。颈椎区的骨化最常发生在脊柱的下节段。病例报告:作者报告了一位92岁的女性病毒症患者(身体质量指数(BMI)为17;在过去的6个月里她的体重减少了13%)。患者行前骨赘C2-T1切除术。结果:在一年的随访中,患者体重增加(BMI-20),并恢复了固体食物的摄入能力。据我们所知,这是接受DISH手术治疗的年龄最大的患者。结论:老年患者如出现吞咽困难或呼吸困难,应进行颈椎检查。如果诊断为DISH是安全的,则应考虑有效的手术治疗。
本文章由计算机程序翻译,如有差异,请以英文原文为准。

Lifesaving Treatment for DISH Syndrome in the Tenth Decade of Patient's Life.

Lifesaving Treatment for DISH Syndrome in the Tenth Decade of Patient's Life.

Lifesaving Treatment for DISH Syndrome in the Tenth Decade of Patient's Life.

Lifesaving Treatment for DISH Syndrome in the Tenth Decade of Patient's Life.

Background/Objectives: Diffuse idiopathic skeleton hyperostosis (DISH) is also known as Forestier-Rotes-Querol syndrome. The etiology of DISH is unknown. DISH is characterized by ossification of the anterior longitudinal ligaments of the spine. The area most frequently involved in the disease is the thoracic region of the spine. DISH in most cases is asymptomatic. If the cervical spine is involved, the most common symptoms are dysphagia and dyspnea. The ossifications in the cervical region of the spine are localized most frequently in its lower segments. Case presentation: The authors present the case of a 92-year-old cachectic female patient (body mass index (BMI) of 17; lost 13% of her body weight within the last 6 months). The patient underwent resection of the anterior osteophytes C2-T1. Results: At one-year follow up, the patient had gained weight (BMI-20) and regained her ability to consume solid products. To our knowledge, this is the oldest patient treated surgically for DISH. Conclusions: If dysphagia or dyspnea appears among elderly patients, cervical spine inspection should be conducted. If DISH is diagnosed safe, effective surgical treatment should be considered.

求助全文
通过发布文献求助,成功后即可免费获取论文全文。 去求助
来源期刊
Geriatrics
Geriatrics 医学-老年医学
CiteScore
3.30
自引率
0.00%
发文量
115
审稿时长
20.03 days
期刊介绍: • Geriatric biology • Geriatric health services research • Geriatric medicine research • Geriatric neurology, stroke, cognition and oncology • Geriatric surgery • Geriatric physical functioning, physical health and activity • Geriatric psychiatry and psychology • Geriatric nutrition • Geriatric epidemiology • Geriatric rehabilitation
×
引用
GB/T 7714-2015
复制
MLA
复制
APA
复制
导出至
BibTeX EndNote RefMan NoteFirst NoteExpress
×
提示
您的信息不完整,为了账户安全,请先补充。
现在去补充
×
提示
您因"违规操作"
具体请查看互助需知
我知道了
×
提示
确定
请完成安全验证×
copy
已复制链接
快去分享给好友吧!
我知道了
右上角分享
点击右上角分享
0
联系我们:info@booksci.cn Book学术提供免费学术资源搜索服务,方便国内外学者检索中英文文献。致力于提供最便捷和优质的服务体验。 Copyright © 2023 布克学术 All rights reserved.
京ICP备2023020795号-1
ghs 京公网安备 11010802042870号
Book学术文献互助
Book学术文献互助群
群 号:604180095
Book学术官方微信