眼眶腺癌的转移。

Mary Stephen, Kumaradarshini Maruthachalam, Nirupama Kasturi, Jayasri Periyandavan
{"title":"眼眶腺癌的转移。","authors":"Mary Stephen, Kumaradarshini Maruthachalam, Nirupama Kasturi, Jayasri Periyandavan","doi":"10.22336/rjo.2025.46","DOIUrl":null,"url":null,"abstract":"<p><p>Hidradenocarcinoma is a rare form of malignant adnexal tumor. This malignant tumor has been reported to metastasize to regional lymph nodes, and distant metastasis into structures like the orbit and extraocular muscle is uncommon. Orbital metastasis comprises about 10% of all orbital neoplasms. Common systemic malignancies contributing to orbital metastasis are breast cancer, prostate cancer, and skin malignancy, melanoma. We report the case of a middle-aged man with left axillary hidradenocarcinoma with an orbital metastatic lesion infiltrating the inferior rectus muscle with optic nerve involvement. This case report describes a rare presentation of orbital metastasis from an adnexal tumour.</p>","PeriodicalId":94355,"journal":{"name":"Romanian journal of ophthalmology","volume":"69 2","pages":"287-290"},"PeriodicalIF":0.0000,"publicationDate":"2025-04-01","publicationTypes":"Journal Article","fieldsOfStudy":null,"isOpenAccess":false,"openAccessPdf":"https://www.ncbi.nlm.nih.gov/pmc/articles/PMC12277994/pdf/","citationCount":"0","resultStr":"{\"title\":\"Orbital Metastasis from Hidradenocarcinoma.\",\"authors\":\"Mary Stephen, Kumaradarshini Maruthachalam, Nirupama Kasturi, Jayasri Periyandavan\",\"doi\":\"10.22336/rjo.2025.46\",\"DOIUrl\":null,\"url\":null,\"abstract\":\"<p><p>Hidradenocarcinoma is a rare form of malignant adnexal tumor. This malignant tumor has been reported to metastasize to regional lymph nodes, and distant metastasis into structures like the orbit and extraocular muscle is uncommon. Orbital metastasis comprises about 10% of all orbital neoplasms. Common systemic malignancies contributing to orbital metastasis are breast cancer, prostate cancer, and skin malignancy, melanoma. We report the case of a middle-aged man with left axillary hidradenocarcinoma with an orbital metastatic lesion infiltrating the inferior rectus muscle with optic nerve involvement. This case report describes a rare presentation of orbital metastasis from an adnexal tumour.</p>\",\"PeriodicalId\":94355,\"journal\":{\"name\":\"Romanian journal of ophthalmology\",\"volume\":\"69 2\",\"pages\":\"287-290\"},\"PeriodicalIF\":0.0000,\"publicationDate\":\"2025-04-01\",\"publicationTypes\":\"Journal Article\",\"fieldsOfStudy\":null,\"isOpenAccess\":false,\"openAccessPdf\":\"https://www.ncbi.nlm.nih.gov/pmc/articles/PMC12277994/pdf/\",\"citationCount\":\"0\",\"resultStr\":null,\"platform\":\"Semanticscholar\",\"paperid\":null,\"PeriodicalName\":\"Romanian journal of ophthalmology\",\"FirstCategoryId\":\"1085\",\"ListUrlMain\":\"https://doi.org/10.22336/rjo.2025.46\",\"RegionNum\":0,\"RegionCategory\":null,\"ArticlePicture\":[],\"TitleCN\":null,\"AbstractTextCN\":null,\"PMCID\":null,\"EPubDate\":\"\",\"PubModel\":\"\",\"JCR\":\"\",\"JCRName\":\"\",\"Score\":null,\"Total\":0}","platform":"Semanticscholar","paperid":null,"PeriodicalName":"Romanian journal of ophthalmology","FirstCategoryId":"1085","ListUrlMain":"https://doi.org/10.22336/rjo.2025.46","RegionNum":0,"RegionCategory":null,"ArticlePicture":[],"TitleCN":null,"AbstractTextCN":null,"PMCID":null,"EPubDate":"","PubModel":"","JCR":"","JCRName":"","Score":null,"Total":0}
引用次数: 0

摘要

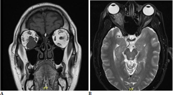
腺腺癌是一种罕见的附件恶性肿瘤。据报道,这种恶性肿瘤转移到区域淋巴结,而远端转移到眼眶和眼外肌等结构是罕见的。眼眶转移约占所有眼眶肿瘤的10%。引起眼眶转移的常见系统性恶性肿瘤有乳腺癌、前列腺癌、皮肤恶性肿瘤、黑色素瘤。我们报告一例中年男性左腋窝汗腺癌伴眼眶转移灶浸润下直肌并累及视神经。本病例报告描述一例罕见的附件肿瘤眼眶转移。
本文章由计算机程序翻译,如有差异,请以英文原文为准。

Orbital Metastasis from Hidradenocarcinoma.

Orbital Metastasis from Hidradenocarcinoma.

Orbital Metastasis from Hidradenocarcinoma.

Orbital Metastasis from Hidradenocarcinoma.

Hidradenocarcinoma is a rare form of malignant adnexal tumor. This malignant tumor has been reported to metastasize to regional lymph nodes, and distant metastasis into structures like the orbit and extraocular muscle is uncommon. Orbital metastasis comprises about 10% of all orbital neoplasms. Common systemic malignancies contributing to orbital metastasis are breast cancer, prostate cancer, and skin malignancy, melanoma. We report the case of a middle-aged man with left axillary hidradenocarcinoma with an orbital metastatic lesion infiltrating the inferior rectus muscle with optic nerve involvement. This case report describes a rare presentation of orbital metastasis from an adnexal tumour.

求助全文
通过发布文献求助,成功后即可免费获取论文全文。 去求助
来源期刊
自引率
0.00%
发文量
0
×
引用
GB/T 7714-2015
复制
MLA
复制
APA
复制
导出至
BibTeX EndNote RefMan NoteFirst NoteExpress
×
提示
您的信息不完整,为了账户安全,请先补充。
现在去补充
×
提示
您因"违规操作"
具体请查看互助需知
我知道了
×
提示
确定
请完成安全验证×
copy
已复制链接
快去分享给好友吧!
我知道了
右上角分享
点击右上角分享
0
联系我们:info@booksci.cn Book学术提供免费学术资源搜索服务,方便国内外学者检索中英文文献。致力于提供最便捷和优质的服务体验。 Copyright © 2023 布克学术 All rights reserved.
京ICP备2023020795号-1
ghs 京公网安备 11010802042870号
Book学术文献互助
Book学术文献互助群
群 号:604180095
Book学术官方微信