嗅觉沟脑膜瘤压迫视交叉和视神经:手术干预对视觉功能的改善。

Sevgi Tongal, Ismail Uyanik, Fatma Poslu Karademir, Ihsan Cakir, Asli Inal
{"title":"嗅觉沟脑膜瘤压迫视交叉和视神经:手术干预对视觉功能的改善。","authors":"Sevgi Tongal, Ismail Uyanik, Fatma Poslu Karademir, Ihsan Cakir, Asli Inal","doi":"10.22336/rjo.2025.39","DOIUrl":null,"url":null,"abstract":"<p><strong>Objective: </strong>Olfactory groove meningiomas (OGMs) are rare but serious tumours that can cause visual loss. Surgical treatment of such meningiomas is critical for the recovery of visual functions.</p><p><strong>Methods: </strong>In this case report, a 62-year-old patient presented to our clinic with sudden visual loss in the right eye and underwent ophthalmological examination. Visual field (VF), retinal nerve fibre layer (RNFL) thickness test, and contrast-enhanced cranial and orbital magnetic resonance imaging (MRI) were performed. The patient was diagnosed with OGM compressing the optic chiasm and nerve, and was operated on by the neurosurgery department. Post-operative examinations were repeated, and the patient was followed up regularly.</p><p><strong>Results: </strong>Evaluations revealed a significant improvement in the patient's visual functions, including visual acuity and visual field (VF). Postoperative RNFL-thickness tests showed minimum variation. Early surgical treatment of OGMs compressing the optic chiasm and the optic nerve resulted in significant improvements in visual acuity and visual field (VF).</p><p><strong>Discussion: </strong>This case demonstrates that early surgical intervention in olfactory groove meningiomas can result in substantial improvements in visual acuity and visual fields, regardless of the initial severity of visual impairment. Even in cases with profoundly reduced vision, significant functional recovery is possible following timely decompression. Preoperative preservation of retinal nerve fiber layer (RNFL) thickness may serve as a favorable prognostic indicator for postoperative visual outcomes. The integration of MRI, VF, and OCT findings provides a comprehensive framework for diagnosis, treatment planning, and follow-up.</p><p><strong>Conclusions: </strong>According to the literature, surgical intervention is efficacious in improving visual functions and emphasizes the importance of early surgical treatment for such cases.</p>","PeriodicalId":94355,"journal":{"name":"Romanian journal of ophthalmology","volume":"69 2","pages":"247-253"},"PeriodicalIF":0.0000,"publicationDate":"2025-04-01","publicationTypes":"Journal Article","fieldsOfStudy":null,"isOpenAccess":false,"openAccessPdf":"https://www.ncbi.nlm.nih.gov/pmc/articles/PMC12277992/pdf/","citationCount":"0","resultStr":"{\"title\":\"Olfactory Groove Meningioma Compressing the Optic Chiasm and Optic Nerve: Improvement of Visual Functions by Surgical Intervention.\",\"authors\":\"Sevgi Tongal, Ismail Uyanik, Fatma Poslu Karademir, Ihsan Cakir, Asli Inal\",\"doi\":\"10.22336/rjo.2025.39\",\"DOIUrl\":null,\"url\":null,\"abstract\":\"<p><strong>Objective: </strong>Olfactory groove meningiomas (OGMs) are rare but serious tumours that can cause visual loss. Surgical treatment of such meningiomas is critical for the recovery of visual functions.</p><p><strong>Methods: </strong>In this case report, a 62-year-old patient presented to our clinic with sudden visual loss in the right eye and underwent ophthalmological examination. Visual field (VF), retinal nerve fibre layer (RNFL) thickness test, and contrast-enhanced cranial and orbital magnetic resonance imaging (MRI) were performed. The patient was diagnosed with OGM compressing the optic chiasm and nerve, and was operated on by the neurosurgery department. Post-operative examinations were repeated, and the patient was followed up regularly.</p><p><strong>Results: </strong>Evaluations revealed a significant improvement in the patient's visual functions, including visual acuity and visual field (VF). Postoperative RNFL-thickness tests showed minimum variation. Early surgical treatment of OGMs compressing the optic chiasm and the optic nerve resulted in significant improvements in visual acuity and visual field (VF).</p><p><strong>Discussion: </strong>This case demonstrates that early surgical intervention in olfactory groove meningiomas can result in substantial improvements in visual acuity and visual fields, regardless of the initial severity of visual impairment. Even in cases with profoundly reduced vision, significant functional recovery is possible following timely decompression. Preoperative preservation of retinal nerve fiber layer (RNFL) thickness may serve as a favorable prognostic indicator for postoperative visual outcomes. The integration of MRI, VF, and OCT findings provides a comprehensive framework for diagnosis, treatment planning, and follow-up.</p><p><strong>Conclusions: </strong>According to the literature, surgical intervention is efficacious in improving visual functions and emphasizes the importance of early surgical treatment for such cases.</p>\",\"PeriodicalId\":94355,\"journal\":{\"name\":\"Romanian journal of ophthalmology\",\"volume\":\"69 2\",\"pages\":\"247-253\"},\"PeriodicalIF\":0.0000,\"publicationDate\":\"2025-04-01\",\"publicationTypes\":\"Journal Article\",\"fieldsOfStudy\":null,\"isOpenAccess\":false,\"openAccessPdf\":\"https://www.ncbi.nlm.nih.gov/pmc/articles/PMC12277992/pdf/\",\"citationCount\":\"0\",\"resultStr\":null,\"platform\":\"Semanticscholar\",\"paperid\":null,\"PeriodicalName\":\"Romanian journal of ophthalmology\",\"FirstCategoryId\":\"1085\",\"ListUrlMain\":\"https://doi.org/10.22336/rjo.2025.39\",\"RegionNum\":0,\"RegionCategory\":null,\"ArticlePicture\":[],\"TitleCN\":null,\"AbstractTextCN\":null,\"PMCID\":null,\"EPubDate\":\"\",\"PubModel\":\"\",\"JCR\":\"\",\"JCRName\":\"\",\"Score\":null,\"Total\":0}","platform":"Semanticscholar","paperid":null,"PeriodicalName":"Romanian journal of ophthalmology","FirstCategoryId":"1085","ListUrlMain":"https://doi.org/10.22336/rjo.2025.39","RegionNum":0,"RegionCategory":null,"ArticlePicture":[],"TitleCN":null,"AbstractTextCN":null,"PMCID":null,"EPubDate":"","PubModel":"","JCR":"","JCRName":"","Score":null,"Total":0}
引用次数: 0

摘要

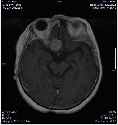
目的:嗅沟脑膜瘤(OGMs)是一种罕见但严重的肿瘤,可导致视力丧失。脑膜瘤的手术治疗对于恢复视觉功能至关重要。方法:本病例报告一名62岁患者因右眼突发性视力丧失而就诊,并行眼科检查。进行视野(VF)、视网膜神经纤维层(RNFL)厚度测试、对比增强颅眶磁共振成像(MRI)检查。患者被诊断为压迫视交叉和神经的OGM,由神经外科手术治疗。术后复查,定期随访。结果:评估显示患者的视觉功能有明显改善,包括视力和视野(VF)。术后rnfl厚度测试显示最小变化。早期手术治疗压迫视交叉和视神经的OGMs可显著改善视力和视野(VF)。讨论:本病例表明,嗅觉沟脑膜瘤的早期手术干预可以导致视力和视野的显著改善,无论初始视力损害的严重程度如何。即使在视力严重下降的情况下,及时减压也可以显著恢复功能。术前保留视网膜神经纤维层(RNFL)厚度可作为术后视力预后的良好指标。MRI、VF和OCT的综合表现为诊断、治疗计划和随访提供了一个全面的框架。结论:根据文献,手术干预对改善视功能是有效的,并强调对此类病例早期手术治疗的重要性。
本文章由计算机程序翻译,如有差异,请以英文原文为准。

Olfactory Groove Meningioma Compressing the Optic Chiasm and Optic Nerve: Improvement of Visual Functions by Surgical Intervention.

Olfactory Groove Meningioma Compressing the Optic Chiasm and Optic Nerve: Improvement of Visual Functions by Surgical Intervention.

Olfactory Groove Meningioma Compressing the Optic Chiasm and Optic Nerve: Improvement of Visual Functions by Surgical Intervention.

Olfactory Groove Meningioma Compressing the Optic Chiasm and Optic Nerve: Improvement of Visual Functions by Surgical Intervention.

Objective: Olfactory groove meningiomas (OGMs) are rare but serious tumours that can cause visual loss. Surgical treatment of such meningiomas is critical for the recovery of visual functions.

Methods: In this case report, a 62-year-old patient presented to our clinic with sudden visual loss in the right eye and underwent ophthalmological examination. Visual field (VF), retinal nerve fibre layer (RNFL) thickness test, and contrast-enhanced cranial and orbital magnetic resonance imaging (MRI) were performed. The patient was diagnosed with OGM compressing the optic chiasm and nerve, and was operated on by the neurosurgery department. Post-operative examinations were repeated, and the patient was followed up regularly.

Results: Evaluations revealed a significant improvement in the patient's visual functions, including visual acuity and visual field (VF). Postoperative RNFL-thickness tests showed minimum variation. Early surgical treatment of OGMs compressing the optic chiasm and the optic nerve resulted in significant improvements in visual acuity and visual field (VF).

Discussion: This case demonstrates that early surgical intervention in olfactory groove meningiomas can result in substantial improvements in visual acuity and visual fields, regardless of the initial severity of visual impairment. Even in cases with profoundly reduced vision, significant functional recovery is possible following timely decompression. Preoperative preservation of retinal nerve fiber layer (RNFL) thickness may serve as a favorable prognostic indicator for postoperative visual outcomes. The integration of MRI, VF, and OCT findings provides a comprehensive framework for diagnosis, treatment planning, and follow-up.

Conclusions: According to the literature, surgical intervention is efficacious in improving visual functions and emphasizes the importance of early surgical treatment for such cases.

求助全文
通过发布文献求助,成功后即可免费获取论文全文。 去求助
来源期刊
自引率
0.00%
发文量
0
×
引用
GB/T 7714-2015
复制
MLA
复制
APA
复制
导出至
BibTeX EndNote RefMan NoteFirst NoteExpress
×
提示
您的信息不完整,为了账户安全,请先补充。
现在去补充
×
提示
您因"违规操作"
具体请查看互助需知
我知道了
×
提示
确定
请完成安全验证×
copy
已复制链接
快去分享给好友吧!
我知道了
右上角分享
点击右上角分享
0
联系我们:info@booksci.cn Book学术提供免费学术资源搜索服务,方便国内外学者检索中英文文献。致力于提供最便捷和优质的服务体验。 Copyright © 2023 布克学术 All rights reserved.
京ICP备2023020795号-1
ghs 京公网安备 11010802042870号
Book学术文献互助
Book学术文献互助群
群 号:604180095
Book学术官方微信