神经和神经外科疾病首先表现为眼科临床特征:一个病例系列。

Anchal Tripathi, Ashish Pandey, Radhika Gupta, Amul Gupta, Nitin Vichare, Faiz Ahmad
{"title":"神经和神经外科疾病首先表现为眼科临床特征:一个病例系列。","authors":"Anchal Tripathi, Ashish Pandey, Radhika Gupta, Amul Gupta, Nitin Vichare, Faiz Ahmad","doi":"10.22336/rjo.2025.41","DOIUrl":null,"url":null,"abstract":"<p><strong>Objective: </strong>We report four unique neurological cases that initially presented with ophthalmological manifestations.</p><p><strong>Case series: </strong>In the first case, a 36-year-old man came in with a left-sided headache and isolated third nerve palsy. Detailed investigations led to the discovery of a supraclinoid internal carotid artery aneurysm, necessitating prompt neurosurgical intervention. The second case featured a 74-year-old man with complete drooping of his right eyelid. The diagnosis of complete third nerve palsy led to further tests, which uncovered multiple myeloma. The third case involved a 19-year-old girl who had persistent double vision and bilateral ptosis. A collaborative effort between ophthalmologists and neurologists revealed Miller Fisher syndrome, which was successfully treated with intravenous immunoglobulins. Lastly, the fourth case described an 8-year-old girl who presented with optic neuritis. A thorough ophthalmological evaluation led to the diagnosis of Neuromyelitis Optica Spectrum Disorder, enabling early treatment and significant improvement.</p><p><strong>Discussion: </strong>These cases highlight the crucial role of ophthalmologists in identifying severe systemic and neurological conditions through subtle ocular signs. Each diagnosis-from aneurysms to autoimmune and malignant disorders-was made possible by vigilant ophthalmic evaluation and timely interdisciplinary collaboration. These examples reinforce that the eye often provides the first clue to an underlying disease, and that early recognition by ophthalmologists can be critical to effective, and sometimes lifesaving, intervention.</p><p><strong>Conclusion: </strong>These cases collectively emphasize the critical importance of detailed ocular evaluation in the early detection and management of a wide range of neurological and systemic conditions, highlighting how ocular symptoms can often be the first indication of more serious underlying health issues.</p>","PeriodicalId":94355,"journal":{"name":"Romanian journal of ophthalmology","volume":"69 2","pages":"259-266"},"PeriodicalIF":0.0000,"publicationDate":"2025-04-01","publicationTypes":"Journal Article","fieldsOfStudy":null,"isOpenAccess":false,"openAccessPdf":"https://www.ncbi.nlm.nih.gov/pmc/articles/PMC12277984/pdf/","citationCount":"0","resultStr":"{\"title\":\"Neurological and neurosurgical conditions presenting first with ophthalmological clinical features: A case series.\",\"authors\":\"Anchal Tripathi, Ashish Pandey, Radhika Gupta, Amul Gupta, Nitin Vichare, Faiz Ahmad\",\"doi\":\"10.22336/rjo.2025.41\",\"DOIUrl\":null,\"url\":null,\"abstract\":\"<p><strong>Objective: </strong>We report four unique neurological cases that initially presented with ophthalmological manifestations.</p><p><strong>Case series: </strong>In the first case, a 36-year-old man came in with a left-sided headache and isolated third nerve palsy. Detailed investigations led to the discovery of a supraclinoid internal carotid artery aneurysm, necessitating prompt neurosurgical intervention. The second case featured a 74-year-old man with complete drooping of his right eyelid. The diagnosis of complete third nerve palsy led to further tests, which uncovered multiple myeloma. The third case involved a 19-year-old girl who had persistent double vision and bilateral ptosis. A collaborative effort between ophthalmologists and neurologists revealed Miller Fisher syndrome, which was successfully treated with intravenous immunoglobulins. Lastly, the fourth case described an 8-year-old girl who presented with optic neuritis. A thorough ophthalmological evaluation led to the diagnosis of Neuromyelitis Optica Spectrum Disorder, enabling early treatment and significant improvement.</p><p><strong>Discussion: </strong>These cases highlight the crucial role of ophthalmologists in identifying severe systemic and neurological conditions through subtle ocular signs. Each diagnosis-from aneurysms to autoimmune and malignant disorders-was made possible by vigilant ophthalmic evaluation and timely interdisciplinary collaboration. These examples reinforce that the eye often provides the first clue to an underlying disease, and that early recognition by ophthalmologists can be critical to effective, and sometimes lifesaving, intervention.</p><p><strong>Conclusion: </strong>These cases collectively emphasize the critical importance of detailed ocular evaluation in the early detection and management of a wide range of neurological and systemic conditions, highlighting how ocular symptoms can often be the first indication of more serious underlying health issues.</p>\",\"PeriodicalId\":94355,\"journal\":{\"name\":\"Romanian journal of ophthalmology\",\"volume\":\"69 2\",\"pages\":\"259-266\"},\"PeriodicalIF\":0.0000,\"publicationDate\":\"2025-04-01\",\"publicationTypes\":\"Journal Article\",\"fieldsOfStudy\":null,\"isOpenAccess\":false,\"openAccessPdf\":\"https://www.ncbi.nlm.nih.gov/pmc/articles/PMC12277984/pdf/\",\"citationCount\":\"0\",\"resultStr\":null,\"platform\":\"Semanticscholar\",\"paperid\":null,\"PeriodicalName\":\"Romanian journal of ophthalmology\",\"FirstCategoryId\":\"1085\",\"ListUrlMain\":\"https://doi.org/10.22336/rjo.2025.41\",\"RegionNum\":0,\"RegionCategory\":null,\"ArticlePicture\":[],\"TitleCN\":null,\"AbstractTextCN\":null,\"PMCID\":null,\"EPubDate\":\"\",\"PubModel\":\"\",\"JCR\":\"\",\"JCRName\":\"\",\"Score\":null,\"Total\":0}","platform":"Semanticscholar","paperid":null,"PeriodicalName":"Romanian journal of ophthalmology","FirstCategoryId":"1085","ListUrlMain":"https://doi.org/10.22336/rjo.2025.41","RegionNum":0,"RegionCategory":null,"ArticlePicture":[],"TitleCN":null,"AbstractTextCN":null,"PMCID":null,"EPubDate":"","PubModel":"","JCR":"","JCRName":"","Score":null,"Total":0}
引用次数: 0

摘要

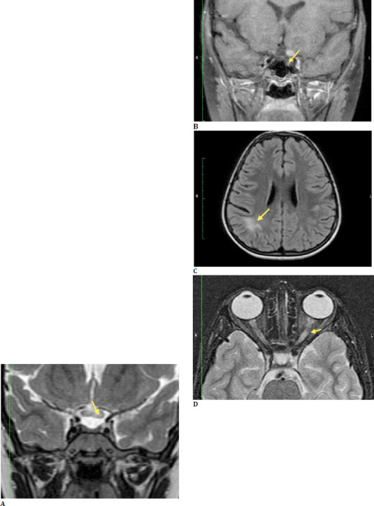
目的:我们报告四个独特的神经病学病例,最初表现为眼科表现。病例系列:在第一个病例中,一名36岁的男性因左侧头痛和孤立的第三神经麻痹而入院。详细的调查导致发现一个颈内颈突上动脉瘤,需要及时的神经外科干预。第二例患者为74岁男性,右眼睑完全下垂。完全第三神经麻痹的诊断导致了进一步的检查,发现了多发性骨髓瘤。第三例患者是一名19岁的女孩,她患有持续性复视和双侧上睑下垂。在眼科医生和神经科医生的共同努力下,发现了米勒费雪综合征,并通过静脉注射免疫球蛋白成功治疗。最后,第四个病例描述了一个8岁的女孩,她表现为视神经炎。彻底的眼科评估导致诊断为视神经脊髓炎频谱障碍,使早期治疗和显著改善。讨论:这些病例强调了眼科医生在通过细微的眼部体征识别严重的全身和神经系统疾病方面的关键作用。每一种诊断——从动脉瘤到自身免疫性疾病和恶性疾病——都是通过警惕的眼科评估和及时的跨学科合作才得以实现的。这些例子强调,眼睛往往是潜在疾病的第一个线索,眼科医生的早期识别对于有效的干预至关重要,有时甚至可以挽救生命。结论:这些病例共同强调了详细的眼部评估在早期发现和处理各种神经系统疾病中的重要性,强调了眼部症状往往是更严重的潜在健康问题的第一个指征。
本文章由计算机程序翻译,如有差异,请以英文原文为准。

Neurological and neurosurgical conditions presenting first with ophthalmological clinical features: A case series.

Neurological and neurosurgical conditions presenting first with ophthalmological clinical features: A case series.

Neurological and neurosurgical conditions presenting first with ophthalmological clinical features: A case series.

Neurological and neurosurgical conditions presenting first with ophthalmological clinical features: A case series.

Objective: We report four unique neurological cases that initially presented with ophthalmological manifestations.

Case series: In the first case, a 36-year-old man came in with a left-sided headache and isolated third nerve palsy. Detailed investigations led to the discovery of a supraclinoid internal carotid artery aneurysm, necessitating prompt neurosurgical intervention. The second case featured a 74-year-old man with complete drooping of his right eyelid. The diagnosis of complete third nerve palsy led to further tests, which uncovered multiple myeloma. The third case involved a 19-year-old girl who had persistent double vision and bilateral ptosis. A collaborative effort between ophthalmologists and neurologists revealed Miller Fisher syndrome, which was successfully treated with intravenous immunoglobulins. Lastly, the fourth case described an 8-year-old girl who presented with optic neuritis. A thorough ophthalmological evaluation led to the diagnosis of Neuromyelitis Optica Spectrum Disorder, enabling early treatment and significant improvement.

Discussion: These cases highlight the crucial role of ophthalmologists in identifying severe systemic and neurological conditions through subtle ocular signs. Each diagnosis-from aneurysms to autoimmune and malignant disorders-was made possible by vigilant ophthalmic evaluation and timely interdisciplinary collaboration. These examples reinforce that the eye often provides the first clue to an underlying disease, and that early recognition by ophthalmologists can be critical to effective, and sometimes lifesaving, intervention.

Conclusion: These cases collectively emphasize the critical importance of detailed ocular evaluation in the early detection and management of a wide range of neurological and systemic conditions, highlighting how ocular symptoms can often be the first indication of more serious underlying health issues.

求助全文
通过发布文献求助,成功后即可免费获取论文全文。 去求助
来源期刊
自引率
0.00%
发文量
0
×
引用
GB/T 7714-2015
复制
MLA
复制
APA
复制
导出至
BibTeX EndNote RefMan NoteFirst NoteExpress
×
提示
您的信息不完整,为了账户安全,请先补充。
现在去补充
×
提示
您因"违规操作"
具体请查看互助需知
我知道了
×
提示
确定
请完成安全验证×
copy
已复制链接
快去分享给好友吧!
我知道了
右上角分享
点击右上角分享
0
联系我们:info@booksci.cn Book学术提供免费学术资源搜索服务,方便国内外学者检索中英文文献。致力于提供最便捷和优质的服务体验。 Copyright © 2023 布克学术 All rights reserved.
京ICP备2023020795号-1
ghs 京公网安备 11010802042870号
Book学术文献互助
Book学术文献互助群
群 号:604180095
Book学术官方微信