依邦膦酸引起的眼眶炎症和并发前葡萄膜炎-一种罕见的表现。

Jayasri Periyandavan, Amudha Purushothaman, Vijhayapriya Thanasekaran, Ezhilvathani T Namaskaram
{"title":"依邦膦酸引起的眼眶炎症和并发前葡萄膜炎-一种罕见的表现。","authors":"Jayasri Periyandavan, Amudha Purushothaman, Vijhayapriya Thanasekaran, Ezhilvathani T Namaskaram","doi":"10.22336/rjo.2025.42","DOIUrl":null,"url":null,"abstract":"<p><strong>Aim: </strong>To report the first case of orbital inflammation with concurrent anterior uveitis induced by oral Ibandronate, a bisphosphonate used for osteoporosis and other bone disorders.</p><p><strong>Material and methods: </strong>A 55-year-old female, with a history of diabetes and hypertension, developed bilateral eye pain, redness, and photophobia two days after taking oral Ibandronate for a thoracic spine fracture. Examination revealed reduced visual acuity, anterior uveitis at presentation, and bilateral proptosis two days later. The imaging revealed diffuse bilateral orbital inflammation.</p><p><strong>Results: </strong>After discontinuing the drug, the patient was treated with intravenous methylprednisolone, leading to significant improvement in ocular symptoms.</p><p><strong>Discussion: </strong>Bisphosphonates, including Ibandronate, can cause ocular adverse effects such as uveitis and orbital inflammation. The pathophysiology is linked to immune modulation via gamma T-cell activation. Most cases respond to discontinuation of drug and steroid administration. The risk-benefit ratio of steroid administration has to be weighed, as it can worsen osteoporosis. Early detection and timely discontinuation of the drug can avoid sight-threatening complications.</p><p><strong>Conclusion: </strong>This case underscores the importance of early recognition and prompt management of ocular complications, particularly as the use of bisphosphonates continues to increase.</p>","PeriodicalId":94355,"journal":{"name":"Romanian journal of ophthalmology","volume":"69 2","pages":"267-270"},"PeriodicalIF":0.0000,"publicationDate":"2025-04-01","publicationTypes":"Journal Article","fieldsOfStudy":null,"isOpenAccess":false,"openAccessPdf":"https://www.ncbi.nlm.nih.gov/pmc/articles/PMC12277990/pdf/","citationCount":"0","resultStr":"{\"title\":\"Ibandronic Acid Induced Orbital Inflammation and Concurrent Anterior Uveitis - A Rare Presentation.\",\"authors\":\"Jayasri Periyandavan, Amudha Purushothaman, Vijhayapriya Thanasekaran, Ezhilvathani T Namaskaram\",\"doi\":\"10.22336/rjo.2025.42\",\"DOIUrl\":null,\"url\":null,\"abstract\":\"<p><strong>Aim: </strong>To report the first case of orbital inflammation with concurrent anterior uveitis induced by oral Ibandronate, a bisphosphonate used for osteoporosis and other bone disorders.</p><p><strong>Material and methods: </strong>A 55-year-old female, with a history of diabetes and hypertension, developed bilateral eye pain, redness, and photophobia two days after taking oral Ibandronate for a thoracic spine fracture. Examination revealed reduced visual acuity, anterior uveitis at presentation, and bilateral proptosis two days later. The imaging revealed diffuse bilateral orbital inflammation.</p><p><strong>Results: </strong>After discontinuing the drug, the patient was treated with intravenous methylprednisolone, leading to significant improvement in ocular symptoms.</p><p><strong>Discussion: </strong>Bisphosphonates, including Ibandronate, can cause ocular adverse effects such as uveitis and orbital inflammation. The pathophysiology is linked to immune modulation via gamma T-cell activation. Most cases respond to discontinuation of drug and steroid administration. The risk-benefit ratio of steroid administration has to be weighed, as it can worsen osteoporosis. Early detection and timely discontinuation of the drug can avoid sight-threatening complications.</p><p><strong>Conclusion: </strong>This case underscores the importance of early recognition and prompt management of ocular complications, particularly as the use of bisphosphonates continues to increase.</p>\",\"PeriodicalId\":94355,\"journal\":{\"name\":\"Romanian journal of ophthalmology\",\"volume\":\"69 2\",\"pages\":\"267-270\"},\"PeriodicalIF\":0.0000,\"publicationDate\":\"2025-04-01\",\"publicationTypes\":\"Journal Article\",\"fieldsOfStudy\":null,\"isOpenAccess\":false,\"openAccessPdf\":\"https://www.ncbi.nlm.nih.gov/pmc/articles/PMC12277990/pdf/\",\"citationCount\":\"0\",\"resultStr\":null,\"platform\":\"Semanticscholar\",\"paperid\":null,\"PeriodicalName\":\"Romanian journal of ophthalmology\",\"FirstCategoryId\":\"1085\",\"ListUrlMain\":\"https://doi.org/10.22336/rjo.2025.42\",\"RegionNum\":0,\"RegionCategory\":null,\"ArticlePicture\":[],\"TitleCN\":null,\"AbstractTextCN\":null,\"PMCID\":null,\"EPubDate\":\"\",\"PubModel\":\"\",\"JCR\":\"\",\"JCRName\":\"\",\"Score\":null,\"Total\":0}","platform":"Semanticscholar","paperid":null,"PeriodicalName":"Romanian journal of ophthalmology","FirstCategoryId":"1085","ListUrlMain":"https://doi.org/10.22336/rjo.2025.42","RegionNum":0,"RegionCategory":null,"ArticlePicture":[],"TitleCN":null,"AbstractTextCN":null,"PMCID":null,"EPubDate":"","PubModel":"","JCR":"","JCRName":"","Score":null,"Total":0}
引用次数: 0

摘要

目的:报告第一例由口服伊班膦酸盐(一种用于治疗骨质疏松和其他骨疾病的双膦酸盐)引起的眼眶炎症并并发前葡萄膜炎。材料和方法:55岁女性,有糖尿病和高血压病史,因胸椎骨折口服依班膦酸盐2天后出现双侧眼睛疼痛、发红、畏光。检查显示视力下降,出现前葡萄膜炎,两天后双侧突出。影像学显示双侧眼眶弥漫性炎症。结果:停药后,患者静脉注射甲基强的松龙,眼部症状明显改善。讨论:双膦酸盐,包括依班膦酸盐,可引起眼部不良反应,如葡萄膜炎和眼窝炎症。病理生理学与通过γ t细胞激活的免疫调节有关。大多数病例对停药和类固醇治疗有反应。必须权衡类固醇治疗的风险收益比,因为它会加重骨质疏松症。早期发现和及时停药可以避免威胁视力的并发症。结论:该病例强调了早期识别和及时处理眼部并发症的重要性,特别是随着双膦酸盐的使用不断增加。
本文章由计算机程序翻译,如有差异,请以英文原文为准。

Ibandronic Acid Induced Orbital Inflammation and Concurrent Anterior Uveitis - A Rare Presentation.

Ibandronic Acid Induced Orbital Inflammation and Concurrent Anterior Uveitis - A Rare Presentation.

Ibandronic Acid Induced Orbital Inflammation and Concurrent Anterior Uveitis - A Rare Presentation.

Ibandronic Acid Induced Orbital Inflammation and Concurrent Anterior Uveitis - A Rare Presentation.

Aim: To report the first case of orbital inflammation with concurrent anterior uveitis induced by oral Ibandronate, a bisphosphonate used for osteoporosis and other bone disorders.

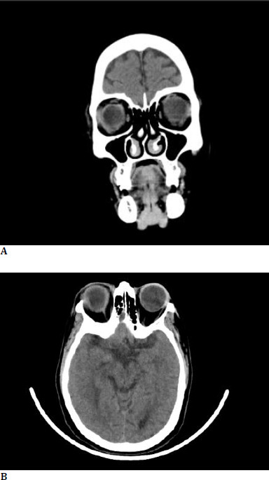
Material and methods: A 55-year-old female, with a history of diabetes and hypertension, developed bilateral eye pain, redness, and photophobia two days after taking oral Ibandronate for a thoracic spine fracture. Examination revealed reduced visual acuity, anterior uveitis at presentation, and bilateral proptosis two days later. The imaging revealed diffuse bilateral orbital inflammation.

Results: After discontinuing the drug, the patient was treated with intravenous methylprednisolone, leading to significant improvement in ocular symptoms.

Discussion: Bisphosphonates, including Ibandronate, can cause ocular adverse effects such as uveitis and orbital inflammation. The pathophysiology is linked to immune modulation via gamma T-cell activation. Most cases respond to discontinuation of drug and steroid administration. The risk-benefit ratio of steroid administration has to be weighed, as it can worsen osteoporosis. Early detection and timely discontinuation of the drug can avoid sight-threatening complications.

Conclusion: This case underscores the importance of early recognition and prompt management of ocular complications, particularly as the use of bisphosphonates continues to increase.

求助全文
通过发布文献求助,成功后即可免费获取论文全文。 去求助
来源期刊
自引率
0.00%
发文量
0
×
引用
GB/T 7714-2015
复制
MLA
复制
APA
复制
导出至
BibTeX EndNote RefMan NoteFirst NoteExpress
×
提示
您的信息不完整,为了账户安全,请先补充。
现在去补充
×
提示
您因"违规操作"
具体请查看互助需知
我知道了
×
提示
确定
请完成安全验证×
copy
已复制链接
快去分享给好友吧!
我知道了
右上角分享
点击右上角分享
0
联系我们:info@booksci.cn Book学术提供免费学术资源搜索服务,方便国内外学者检索中英文文献。致力于提供最便捷和优质的服务体验。 Copyright © 2023 布克学术 All rights reserved.
京ICP备2023020795号-1
ghs 京公网安备 11010802042870号
Book学术文献互助
Book学术文献互助群
群 号:604180095
Book学术官方微信