额叶脑膜瘤引起的福斯特·肯尼迪综合征:一例罕见病例报告。

Rizaldy Taslim Pinzon, Marlyna Afifudin, Ananda Digdoyo, Fx Kevin Christiansen Naibaho, Petra Gusti Parikesit, Yoel Sasamu Allendio
{"title":"额叶脑膜瘤引起的福斯特·肯尼迪综合征:一例罕见病例报告。","authors":"Rizaldy Taslim Pinzon, Marlyna Afifudin, Ananda Digdoyo, Fx Kevin Christiansen Naibaho, Petra Gusti Parikesit, Yoel Sasamu Allendio","doi":"10.22336/rjo.2025.43","DOIUrl":null,"url":null,"abstract":"<p><strong>Background: </strong>Foster Kennedy syndrome is a neuro-ophthalmological disorder characterized by ipsilateral vision loss in one eye, followed by clinically significant papilledema in the opposite eye. The presence of mass lesions in the frontal lobe is primarily responsible for this syndrome. This case report further discusses symblepharon as an ocular manifestation of SJS.</p><p><strong>Method: </strong>A case report.</p><p><strong>Case report: </strong>We present a case of a 59-year-old female with a history of progressive headache, anosmia, mental status changes, and progressive poor vision. Ocular examination revealed disc pallor in her left eye with disc oedema in the contralateral eye. The patient was sent for computerized tomography (CT) and MRI, and the diagnosis of frontal lobe meningioma was confirmed. The surgical removal was performed, and the condition improved gradually.</p><p><strong>Discussion: </strong>We present a case of Foster Kennedy Syndrome, a rare neurological sign characterized by optic atrophy (vision loss) in one eye and papilledema (swelling of the optic nerve) in the other eye, often associated with an intracranial mass (meningioma).</p><p><strong>Conclusion: </strong>Presence of cranial fossa meningioma related to direct compression of a unilateral optic nerve, resulting in optic atrophy and might induce a rise in intracranial pressure, resulting in contralateral papilledema. This case presentation demonstrated that prompt and appropriate treatment was effective in gradually reducing the deterioration of symptoms associated with Foster Kennedy syndrome.</p>","PeriodicalId":94355,"journal":{"name":"Romanian journal of ophthalmology","volume":"69 2","pages":"271-274"},"PeriodicalIF":0.0000,"publicationDate":"2025-04-01","publicationTypes":"Journal Article","fieldsOfStudy":null,"isOpenAccess":false,"openAccessPdf":"https://www.ncbi.nlm.nih.gov/pmc/articles/PMC12277997/pdf/","citationCount":"0","resultStr":"{\"title\":\"Foster Kennedy Syndrome from Frontal Lobe Meningioma: A Rare Case Report.\",\"authors\":\"Rizaldy Taslim Pinzon, Marlyna Afifudin, Ananda Digdoyo, Fx Kevin Christiansen Naibaho, Petra Gusti Parikesit, Yoel Sasamu Allendio\",\"doi\":\"10.22336/rjo.2025.43\",\"DOIUrl\":null,\"url\":null,\"abstract\":\"<p><strong>Background: </strong>Foster Kennedy syndrome is a neuro-ophthalmological disorder characterized by ipsilateral vision loss in one eye, followed by clinically significant papilledema in the opposite eye. The presence of mass lesions in the frontal lobe is primarily responsible for this syndrome. This case report further discusses symblepharon as an ocular manifestation of SJS.</p><p><strong>Method: </strong>A case report.</p><p><strong>Case report: </strong>We present a case of a 59-year-old female with a history of progressive headache, anosmia, mental status changes, and progressive poor vision. Ocular examination revealed disc pallor in her left eye with disc oedema in the contralateral eye. The patient was sent for computerized tomography (CT) and MRI, and the diagnosis of frontal lobe meningioma was confirmed. The surgical removal was performed, and the condition improved gradually.</p><p><strong>Discussion: </strong>We present a case of Foster Kennedy Syndrome, a rare neurological sign characterized by optic atrophy (vision loss) in one eye and papilledema (swelling of the optic nerve) in the other eye, often associated with an intracranial mass (meningioma).</p><p><strong>Conclusion: </strong>Presence of cranial fossa meningioma related to direct compression of a unilateral optic nerve, resulting in optic atrophy and might induce a rise in intracranial pressure, resulting in contralateral papilledema. This case presentation demonstrated that prompt and appropriate treatment was effective in gradually reducing the deterioration of symptoms associated with Foster Kennedy syndrome.</p>\",\"PeriodicalId\":94355,\"journal\":{\"name\":\"Romanian journal of ophthalmology\",\"volume\":\"69 2\",\"pages\":\"271-274\"},\"PeriodicalIF\":0.0000,\"publicationDate\":\"2025-04-01\",\"publicationTypes\":\"Journal Article\",\"fieldsOfStudy\":null,\"isOpenAccess\":false,\"openAccessPdf\":\"https://www.ncbi.nlm.nih.gov/pmc/articles/PMC12277997/pdf/\",\"citationCount\":\"0\",\"resultStr\":null,\"platform\":\"Semanticscholar\",\"paperid\":null,\"PeriodicalName\":\"Romanian journal of ophthalmology\",\"FirstCategoryId\":\"1085\",\"ListUrlMain\":\"https://doi.org/10.22336/rjo.2025.43\",\"RegionNum\":0,\"RegionCategory\":null,\"ArticlePicture\":[],\"TitleCN\":null,\"AbstractTextCN\":null,\"PMCID\":null,\"EPubDate\":\"\",\"PubModel\":\"\",\"JCR\":\"\",\"JCRName\":\"\",\"Score\":null,\"Total\":0}","platform":"Semanticscholar","paperid":null,"PeriodicalName":"Romanian journal of ophthalmology","FirstCategoryId":"1085","ListUrlMain":"https://doi.org/10.22336/rjo.2025.43","RegionNum":0,"RegionCategory":null,"ArticlePicture":[],"TitleCN":null,"AbstractTextCN":null,"PMCID":null,"EPubDate":"","PubModel":"","JCR":"","JCRName":"","Score":null,"Total":0}
引用次数: 0

摘要

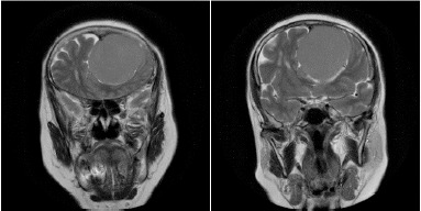
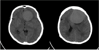
背景:福斯特-肯尼迪综合征是一种神经-眼科疾病,其特征是单眼同侧视力丧失,然后是另一只眼临床上显著的乳头水肿。额叶肿块病变的存在是导致这种综合征的主要原因。本病例报告进一步讨论了眼睑粘连作为SJS的一种眼部表现。方法:病例报告。病例报告:我们报告一位59岁女性,有进行性头痛、嗅觉丧失、精神状态改变和进行性视力低下的病史。眼科检查发现左眼椎间盘苍白,对侧眼椎间盘水肿。患者行CT及MRI检查,诊断为额叶脑膜瘤。手术切除后病情逐渐好转。讨论:我们报告一例福斯特·肯尼迪综合征,这是一种罕见的神经系统症状,其特征是一只眼睛视神经萎缩(视力丧失),另一只眼睛视神经乳头水肿(视神经肿胀),通常伴有颅内肿块(脑膜瘤)。结论:颅窝脑膜瘤的存在与单侧视神经的直接压迫有关,导致视神经萎缩,并可能引起颅内压升高,导致对侧乳头水肿。本病例报告表明,及时和适当的治疗可以有效地逐渐减轻与福斯特肯尼迪综合征相关的症状恶化。
本文章由计算机程序翻译,如有差异,请以英文原文为准。

Foster Kennedy Syndrome from Frontal Lobe Meningioma: A Rare Case Report.

Foster Kennedy Syndrome from Frontal Lobe Meningioma: A Rare Case Report.

Foster Kennedy Syndrome from Frontal Lobe Meningioma: A Rare Case Report.

Foster Kennedy Syndrome from Frontal Lobe Meningioma: A Rare Case Report.

Background: Foster Kennedy syndrome is a neuro-ophthalmological disorder characterized by ipsilateral vision loss in one eye, followed by clinically significant papilledema in the opposite eye. The presence of mass lesions in the frontal lobe is primarily responsible for this syndrome. This case report further discusses symblepharon as an ocular manifestation of SJS.

Method: A case report.

Case report: We present a case of a 59-year-old female with a history of progressive headache, anosmia, mental status changes, and progressive poor vision. Ocular examination revealed disc pallor in her left eye with disc oedema in the contralateral eye. The patient was sent for computerized tomography (CT) and MRI, and the diagnosis of frontal lobe meningioma was confirmed. The surgical removal was performed, and the condition improved gradually.

Discussion: We present a case of Foster Kennedy Syndrome, a rare neurological sign characterized by optic atrophy (vision loss) in one eye and papilledema (swelling of the optic nerve) in the other eye, often associated with an intracranial mass (meningioma).

Conclusion: Presence of cranial fossa meningioma related to direct compression of a unilateral optic nerve, resulting in optic atrophy and might induce a rise in intracranial pressure, resulting in contralateral papilledema. This case presentation demonstrated that prompt and appropriate treatment was effective in gradually reducing the deterioration of symptoms associated with Foster Kennedy syndrome.

求助全文
通过发布文献求助,成功后即可免费获取论文全文。 去求助
来源期刊
自引率
0.00%
发文量
0
×
引用
GB/T 7714-2015
复制
MLA
复制
APA
复制
导出至
BibTeX EndNote RefMan NoteFirst NoteExpress
×
提示
您的信息不完整,为了账户安全,请先补充。
现在去补充
×
提示
您因"违规操作"
具体请查看互助需知
我知道了
×
提示
确定
请完成安全验证×
copy
已复制链接
快去分享给好友吧!
我知道了
右上角分享
点击右上角分享
0
联系我们:info@booksci.cn Book学术提供免费学术资源搜索服务,方便国内外学者检索中英文文献。致力于提供最便捷和优质的服务体验。 Copyright © 2023 布克学术 All rights reserved.
京ICP备2023020795号-1
ghs 京公网安备 11010802042870号
Book学术文献互助
Book学术文献互助群
群 号:604180095
Book学术官方微信