牛分枝杆菌,一种罕见的多发性假性动脉瘤的致病菌。

IF 2.2
Manuel Callejón-Fernández, Dácil García-Rosado, Zena Ibrahim-Achi, Silvia Campos-Gutiérrez, María Del Mar Alonso-Socas, María Lecuona-Fernández
{"title":"牛分枝杆菌,一种罕见的多发性假性动脉瘤的致病菌。","authors":"Manuel Callejón-Fernández, Dácil García-Rosado, Zena Ibrahim-Achi, Silvia Campos-Gutiérrez, María Del Mar Alonso-Socas, María Lecuona-Fernández","doi":"10.37201/req/057.2025","DOIUrl":null,"url":null,"abstract":"","PeriodicalId":94198,"journal":{"name":"Revista espanola de quimioterapia : publicacion oficial de la Sociedad Espanola de Quimioterapia","volume":" ","pages":"439-441"},"PeriodicalIF":2.2000,"publicationDate":"2025-09-15","publicationTypes":"Journal Article","fieldsOfStudy":null,"isOpenAccess":false,"openAccessPdf":"https://www.ncbi.nlm.nih.gov/pmc/articles/PMC12447300/pdf/","citationCount":"0","resultStr":"{\"title\":\"<i>Mycobacterium bovis</i>, a rare causative pathogen of multiple pseudoaneurysms.\",\"authors\":\"Manuel Callejón-Fernández, Dácil García-Rosado, Zena Ibrahim-Achi, Silvia Campos-Gutiérrez, María Del Mar Alonso-Socas, María Lecuona-Fernández\",\"doi\":\"10.37201/req/057.2025\",\"DOIUrl\":null,\"url\":null,\"abstract\":\"\",\"PeriodicalId\":94198,\"journal\":{\"name\":\"Revista espanola de quimioterapia : publicacion oficial de la Sociedad Espanola de Quimioterapia\",\"volume\":\" \",\"pages\":\"439-441\"},\"PeriodicalIF\":2.2000,\"publicationDate\":\"2025-09-15\",\"publicationTypes\":\"Journal Article\",\"fieldsOfStudy\":null,\"isOpenAccess\":false,\"openAccessPdf\":\"https://www.ncbi.nlm.nih.gov/pmc/articles/PMC12447300/pdf/\",\"citationCount\":\"0\",\"resultStr\":null,\"platform\":\"Semanticscholar\",\"paperid\":null,\"PeriodicalName\":\"Revista espanola de quimioterapia : publicacion oficial de la Sociedad Espanola de Quimioterapia\",\"FirstCategoryId\":\"1085\",\"ListUrlMain\":\"https://doi.org/10.37201/req/057.2025\",\"RegionNum\":0,\"RegionCategory\":null,\"ArticlePicture\":[],\"TitleCN\":null,\"AbstractTextCN\":null,\"PMCID\":null,\"EPubDate\":\"2025/7/23 0:00:00\",\"PubModel\":\"Epub\",\"JCR\":\"\",\"JCRName\":\"\",\"Score\":null,\"Total\":0}","platform":"Semanticscholar","paperid":null,"PeriodicalName":"Revista espanola de quimioterapia : publicacion oficial de la Sociedad Espanola de Quimioterapia","FirstCategoryId":"1085","ListUrlMain":"https://doi.org/10.37201/req/057.2025","RegionNum":0,"RegionCategory":null,"ArticlePicture":[],"TitleCN":null,"AbstractTextCN":null,"PMCID":null,"EPubDate":"2025/7/23 0:00:00","PubModel":"Epub","JCR":"","JCRName":"","Score":null,"Total":0}
引用次数: 0

摘要

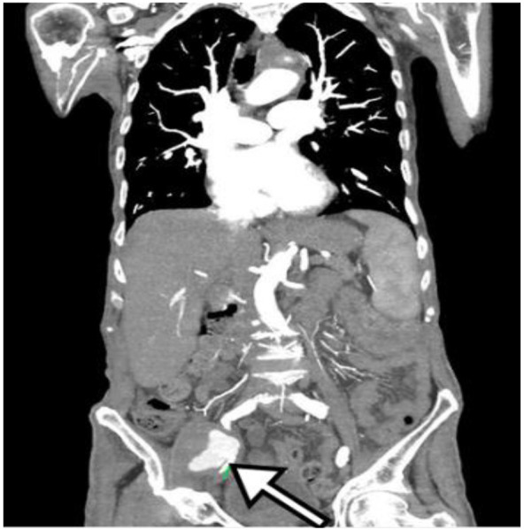
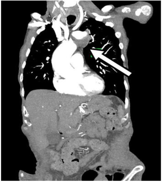
我们报告一例85岁男性膀胱腺癌病史,经17次膀胱内灌注卡介苗(BCG)治疗,表现出体质症状和多发假性动脉瘤:左侧锁骨下动脉、右侧髂外动脉和右侧股浅动脉。尽管没有最初的微生物学发现,血液和尿液培养最终培养出对吡嗪酰胺耐药的牛分枝杆菌BCG菌株。在微生物学证实之前,临床病程以进行性恶化和死亡为标志。本病例突出了膀胱内卡介苗治疗的一种罕见但严重的并发症,并强调了在卡介苗暴露后出现不明原因假性动脉瘤的患者早期怀疑和联合手术和抗菌治疗的重要性。
本文章由计算机程序翻译,如有差异,请以英文原文为准。

<i>Mycobacterium bovis</i>, a rare causative pathogen of multiple pseudoaneurysms.

<i>Mycobacterium bovis</i>, a rare causative pathogen of multiple pseudoaneurysms.

Mycobacterium bovis, a rare causative pathogen of multiple pseudoaneurysms.
求助全文
通过发布文献求助,成功后即可免费获取论文全文。 去求助
来源期刊
自引率
0.00%
发文量
0
×
引用
GB/T 7714-2015
复制
MLA
复制
APA
复制
导出至
BibTeX EndNote RefMan NoteFirst NoteExpress
×
提示
您的信息不完整,为了账户安全,请先补充。
现在去补充
×
提示
您因"违规操作"
具体请查看互助需知
我知道了
×
提示
确定
请完成安全验证×
copy
已复制链接
快去分享给好友吧!
我知道了
右上角分享
点击右上角分享
0
联系我们:info@booksci.cn Book学术提供免费学术资源搜索服务,方便国内外学者检索中英文文献。致力于提供最便捷和优质的服务体验。 Copyright © 2023 布克学术 All rights reserved.
京ICP备2023020795号-1
ghs 京公网安备 11010802042870号
Book学术文献互助
Book学术文献互助群
群 号:604180095
Book学术官方微信