使用深度学习的脑肿瘤分割:最小化MRI数据的高性能。

IF 2.3
Frontiers in radiology Pub Date : 2025-07-08 eCollection Date: 2025-01-01 DOI:10.3389/fradi.2025.1616293
Jacky Huang, Banu Yagmurlu, Powell Molleti, Richard Lee, Abigail VanderPloeg, Humaira Noor, Rohan Bareja, Yiheng Li, Michael Iv, Haruka Itakura
{"title":"使用深度学习的脑肿瘤分割:最小化MRI数据的高性能。","authors":"Jacky Huang, Banu Yagmurlu, Powell Molleti, Richard Lee, Abigail VanderPloeg, Humaira Noor, Rohan Bareja, Yiheng Li, Michael Iv, Haruka Itakura","doi":"10.3389/fradi.2025.1616293","DOIUrl":null,"url":null,"abstract":"<p><strong>Purpose: </strong>Brain tumor segmentation with MRI is a challenging task, traditionally relying on manual delineation of regions-of-interest across multiple imaging sequences. However, this data-intensive approach is time-consuming. We aimed to optimize the process by using a deep learning (DL) based model while minimizing the number of MRI sequences required to segment gliomas.</p><p><strong>Methods: </strong>We trained a 3D U-Net DL model using the annotated 2018 MICCAI BraTS dataset (training dataset, <i>n</i> = 285), focusing on sub-segmenting enhancing tumor (ET) and tumor core (TC). We compared the performances of models trained on four different combinations of MRI sequences: T1C-only, FLAIR-only, T1C + FLAIR and T1 + T2 + T1C + FLAIR to evaluate whether a smaller MRI data subset could achieve comparable performance. We evaluated the performance on the four different sequence combinations using 5-fold cross-validation on the training dataset, then on our test dataset (<i>n</i> = 358) consisting of samples from a separately held-out 2018 BraTS validation set (<i>n</i> = 66) and 2021 BraTS datasets (<i>n</i> = 292). Dice scores on both cross-validation and test datasets were assessed to measure model performance.</p><p><strong>Results: </strong>Dice scores on cross-validation showed that T1C + FLAIR (ET: 0.814, TC: 0.856) matched or outperformed those of T1 + T2 + T1C + FLAIR (ET: 0.785, TC: 0.841), T1C-only (ET: 0.781, TC: 0.852) and FLAIR-only (ET: 0.008, TC: 0.619). Results on the test dataset also showed that T1C + FLAIR (ET: 0.867, TC: 0.926) matched or outperformed those of T1 + T2 + T1C + FLAIR (ET: 0.835, TC: 0.908), T1C-only (ET: 0.726, TC: 0.928), and FLAIR-only (ET: 0.056, TC: 0.543). T1C + FLAIR excelled in both ET and TC, exceeding the performance of the four-sequence dataset. T1C-only matched T1C + FLAIR in TC performance. Similarly<b>,</b> T1C and T1C + FLAIR also outperformed in ET delineation by sensitivity (0.829) and Hausdorff distance (5.964) on the test set. Across all configurations, specificity remained high (≥0.958). T1C performed well in TC delineation (sensitivity: 0.737), but the inclusion of all sequences led to improvement (0.754). Hausdorff distances clustered in a narrow range (17.622-33.812) for TC delineation across the configurations.</p><p><strong>Conclusions: </strong>DL-based brain tumor segmentation can achieve high accuracy using only two MRI sequences (T1C + FLAIR). Reduction of multiple sequence dependency may enhance DL generalizability and dissemination in both clinical and research contexts. Our findings may ultimately help mitigate human labor intensity of a complex task integral to medical imaging analysis.</p>","PeriodicalId":73101,"journal":{"name":"Frontiers in radiology","volume":"5 ","pages":"1616293"},"PeriodicalIF":2.3000,"publicationDate":"2025-07-08","publicationTypes":"Journal Article","fieldsOfStudy":null,"isOpenAccess":false,"openAccessPdf":"https://www.ncbi.nlm.nih.gov/pmc/articles/PMC12281592/pdf/","citationCount":"0","resultStr":"{\"title\":\"Brain tumor segmentation using deep learning: high performance with minimized MRI data.\",\"authors\":\"Jacky Huang, Banu Yagmurlu, Powell Molleti, Richard Lee, Abigail VanderPloeg, Humaira Noor, Rohan Bareja, Yiheng Li, Michael Iv, Haruka Itakura\",\"doi\":\"10.3389/fradi.2025.1616293\",\"DOIUrl\":null,\"url\":null,\"abstract\":\"<p><strong>Purpose: </strong>Brain tumor segmentation with MRI is a challenging task, traditionally relying on manual delineation of regions-of-interest across multiple imaging sequences. However, this data-intensive approach is time-consuming. We aimed to optimize the process by using a deep learning (DL) based model while minimizing the number of MRI sequences required to segment gliomas.</p><p><strong>Methods: </strong>We trained a 3D U-Net DL model using the annotated 2018 MICCAI BraTS dataset (training dataset, <i>n</i> = 285), focusing on sub-segmenting enhancing tumor (ET) and tumor core (TC). We compared the performances of models trained on four different combinations of MRI sequences: T1C-only, FLAIR-only, T1C + FLAIR and T1 + T2 + T1C + FLAIR to evaluate whether a smaller MRI data subset could achieve comparable performance. We evaluated the performance on the four different sequence combinations using 5-fold cross-validation on the training dataset, then on our test dataset (<i>n</i> = 358) consisting of samples from a separately held-out 2018 BraTS validation set (<i>n</i> = 66) and 2021 BraTS datasets (<i>n</i> = 292). Dice scores on both cross-validation and test datasets were assessed to measure model performance.</p><p><strong>Results: </strong>Dice scores on cross-validation showed that T1C + FLAIR (ET: 0.814, TC: 0.856) matched or outperformed those of T1 + T2 + T1C + FLAIR (ET: 0.785, TC: 0.841), T1C-only (ET: 0.781, TC: 0.852) and FLAIR-only (ET: 0.008, TC: 0.619). Results on the test dataset also showed that T1C + FLAIR (ET: 0.867, TC: 0.926) matched or outperformed those of T1 + T2 + T1C + FLAIR (ET: 0.835, TC: 0.908), T1C-only (ET: 0.726, TC: 0.928), and FLAIR-only (ET: 0.056, TC: 0.543). T1C + FLAIR excelled in both ET and TC, exceeding the performance of the four-sequence dataset. T1C-only matched T1C + FLAIR in TC performance. Similarly<b>,</b> T1C and T1C + FLAIR also outperformed in ET delineation by sensitivity (0.829) and Hausdorff distance (5.964) on the test set. Across all configurations, specificity remained high (≥0.958). T1C performed well in TC delineation (sensitivity: 0.737), but the inclusion of all sequences led to improvement (0.754). Hausdorff distances clustered in a narrow range (17.622-33.812) for TC delineation across the configurations.</p><p><strong>Conclusions: </strong>DL-based brain tumor segmentation can achieve high accuracy using only two MRI sequences (T1C + FLAIR). Reduction of multiple sequence dependency may enhance DL generalizability and dissemination in both clinical and research contexts. Our findings may ultimately help mitigate human labor intensity of a complex task integral to medical imaging analysis.</p>\",\"PeriodicalId\":73101,\"journal\":{\"name\":\"Frontiers in radiology\",\"volume\":\"5 \",\"pages\":\"1616293\"},\"PeriodicalIF\":2.3000,\"publicationDate\":\"2025-07-08\",\"publicationTypes\":\"Journal Article\",\"fieldsOfStudy\":null,\"isOpenAccess\":false,\"openAccessPdf\":\"https://www.ncbi.nlm.nih.gov/pmc/articles/PMC12281592/pdf/\",\"citationCount\":\"0\",\"resultStr\":null,\"platform\":\"Semanticscholar\",\"paperid\":null,\"PeriodicalName\":\"Frontiers in radiology\",\"FirstCategoryId\":\"1085\",\"ListUrlMain\":\"https://doi.org/10.3389/fradi.2025.1616293\",\"RegionNum\":0,\"RegionCategory\":null,\"ArticlePicture\":[],\"TitleCN\":null,\"AbstractTextCN\":null,\"PMCID\":null,\"EPubDate\":\"2025/1/1 0:00:00\",\"PubModel\":\"eCollection\",\"JCR\":\"\",\"JCRName\":\"\",\"Score\":null,\"Total\":0}","platform":"Semanticscholar","paperid":null,"PeriodicalName":"Frontiers in radiology","FirstCategoryId":"1085","ListUrlMain":"https://doi.org/10.3389/fradi.2025.1616293","RegionNum":0,"RegionCategory":null,"ArticlePicture":[],"TitleCN":null,"AbstractTextCN":null,"PMCID":null,"EPubDate":"2025/1/1 0:00:00","PubModel":"eCollection","JCR":"","JCRName":"","Score":null,"Total":0}
引用次数: 0

摘要

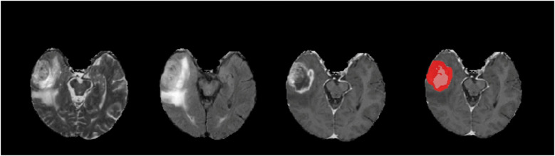
目的:脑肿瘤MRI分割是一项具有挑战性的任务,传统上依赖于手动划定多个成像序列的兴趣区域。然而,这种数据密集型方法非常耗时。我们的目标是通过使用基于深度学习(DL)的模型来优化这一过程,同时最大限度地减少分割胶质瘤所需的MRI序列数量。方法:使用带注释的2018 MICCAI BraTS数据集(n = 285)训练三维U-Net DL模型,重点关注亚分割增强肿瘤(ET)和肿瘤核心(TC)。我们比较了在四种不同MRI序列组合上训练的模型的性能:T1C-only、FLAIR-only、T1C + FLAIR和T1 + T2 + T1C + FLAIR,以评估更小的MRI数据子集是否可以达到类似的性能。我们在训练数据集上使用5倍交叉验证评估了四种不同序列组合的性能,然后在我们的测试数据集(n = 358)上评估了性能,该数据集由来自2018年BraTS验证集(n = 66)和2021年BraTS数据集(n = 292)的样本组成。对交叉验证和测试数据集的骰子得分进行评估,以衡量模型的性能。结果:交叉验证的Dice评分显示,T1C + FLAIR (ET: 0.814, TC: 0.856)与T1 + T2 + T1C + FLAIR (ET: 0.785, TC: 0.841)、T1C-only (ET: 0.781, TC: 0.852)和FLAIR-only (ET: 0.008, TC: 0.619)相当或优于T1 + T2 + T1C + FLAIR (ET: 0.781, TC: 0.852)。测试数据集的结果还显示,T1C + FLAIR (ET: 0.867, TC: 0.926)与T1 + T2 + T1C + FLAIR (ET: 0.835, TC: 0.908)、T1C-only (ET: 0.726, TC: 0.928)和FLAIR-only (ET: 0.056, TC: 0.543)相当或优于T1 + T2 + T1C + FLAIR (ET: 0.835, TC: 0.908)。T1C + FLAIR在ET和TC方面均表现优异,超过了四序列数据集的表现。T1C在TC表现上仅与T1C + FLAIR相匹配。同样,T1C和T1C + FLAIR在ET描绘方面也优于测试集的灵敏度(0.829)和豪斯多夫距离(5.964)。在所有配置中,特异性仍然很高(≥0.958)。T1C在TC描述中表现良好(敏感性:0.737),但纳入所有序列导致改善(0.754)。Hausdorff距离聚集在一个较窄的范围内(17.622-33.812)。结论:基于dl的脑肿瘤分割仅使用两个MRI序列(T1C + FLAIR)即可达到较高的准确性。减少多序列依赖性可以增强DL在临床和研究中的推广和传播。我们的研究结果可能最终有助于减轻医学成像分析中复杂任务的人类劳动强度。
本文章由计算机程序翻译,如有差异,请以英文原文为准。

Brain tumor segmentation using deep learning: high performance with minimized MRI data.

Brain tumor segmentation using deep learning: high performance with minimized MRI data.

Brain tumor segmentation using deep learning: high performance with minimized MRI data.

Brain tumor segmentation using deep learning: high performance with minimized MRI data.

Purpose: Brain tumor segmentation with MRI is a challenging task, traditionally relying on manual delineation of regions-of-interest across multiple imaging sequences. However, this data-intensive approach is time-consuming. We aimed to optimize the process by using a deep learning (DL) based model while minimizing the number of MRI sequences required to segment gliomas.

Methods: We trained a 3D U-Net DL model using the annotated 2018 MICCAI BraTS dataset (training dataset, n = 285), focusing on sub-segmenting enhancing tumor (ET) and tumor core (TC). We compared the performances of models trained on four different combinations of MRI sequences: T1C-only, FLAIR-only, T1C + FLAIR and T1 + T2 + T1C + FLAIR to evaluate whether a smaller MRI data subset could achieve comparable performance. We evaluated the performance on the four different sequence combinations using 5-fold cross-validation on the training dataset, then on our test dataset (n = 358) consisting of samples from a separately held-out 2018 BraTS validation set (n = 66) and 2021 BraTS datasets (n = 292). Dice scores on both cross-validation and test datasets were assessed to measure model performance.

Results: Dice scores on cross-validation showed that T1C + FLAIR (ET: 0.814, TC: 0.856) matched or outperformed those of T1 + T2 + T1C + FLAIR (ET: 0.785, TC: 0.841), T1C-only (ET: 0.781, TC: 0.852) and FLAIR-only (ET: 0.008, TC: 0.619). Results on the test dataset also showed that T1C + FLAIR (ET: 0.867, TC: 0.926) matched or outperformed those of T1 + T2 + T1C + FLAIR (ET: 0.835, TC: 0.908), T1C-only (ET: 0.726, TC: 0.928), and FLAIR-only (ET: 0.056, TC: 0.543). T1C + FLAIR excelled in both ET and TC, exceeding the performance of the four-sequence dataset. T1C-only matched T1C + FLAIR in TC performance. Similarly, T1C and T1C + FLAIR also outperformed in ET delineation by sensitivity (0.829) and Hausdorff distance (5.964) on the test set. Across all configurations, specificity remained high (≥0.958). T1C performed well in TC delineation (sensitivity: 0.737), but the inclusion of all sequences led to improvement (0.754). Hausdorff distances clustered in a narrow range (17.622-33.812) for TC delineation across the configurations.

Conclusions: DL-based brain tumor segmentation can achieve high accuracy using only two MRI sequences (T1C + FLAIR). Reduction of multiple sequence dependency may enhance DL generalizability and dissemination in both clinical and research contexts. Our findings may ultimately help mitigate human labor intensity of a complex task integral to medical imaging analysis.

求助全文
通过发布文献求助,成功后即可免费获取论文全文。 去求助
来源期刊
CiteScore
1.20
自引率
0.00%
发文量
0
×
引用
GB/T 7714-2015
复制
MLA
复制
APA
复制
导出至
BibTeX EndNote RefMan NoteFirst NoteExpress
×
提示
您的信息不完整,为了账户安全,请先补充。
现在去补充
×
提示
您因"违规操作"
具体请查看互助需知
我知道了
×
提示
确定
请完成安全验证×
copy
已复制链接
快去分享给好友吧!
我知道了
右上角分享
点击右上角分享
0
联系我们:info@booksci.cn Book学术提供免费学术资源搜索服务,方便国内外学者检索中英文文献。致力于提供最便捷和优质的服务体验。 Copyright © 2023 布克学术 All rights reserved.
京ICP备2023020795号-1
ghs 京公网安备 11010802042870号
Book学术文献互助
Book学术文献互助群
群 号:604180095
Book学术官方微信