儿童因亨塞巴尔通体引起的多系统损害。

IF 1.7 4区 医学 Q4 INFECTIOUS DISEASES
Thiago Jessé Kucarz, Cintia Avila Souza, Simone Aiko Hatanaka, Elisa Nunes Secamilli, Marina Rovani Drummond, Marcos Tadeu Nolasco da Silva, Rafael Fantelli Stelini, Maria Leticia Cintra, Paulo Eduardo Neves Ferreira Velho
{"title":"儿童因亨塞巴尔通体引起的多系统损害。","authors":"Thiago Jessé Kucarz, Cintia Avila Souza, Simone Aiko Hatanaka, Elisa Nunes Secamilli, Marina Rovani Drummond, Marcos Tadeu Nolasco da Silva, Rafael Fantelli Stelini, Maria Leticia Cintra, Paulo Eduardo Neves Ferreira Velho","doi":"10.1590/S1678-9946202567047","DOIUrl":null,"url":null,"abstract":"<p><p>Currently, at least 22 species of Bartonella are known to cause diseases in humans, with Bartonella henselae being the main one. Among the clinical manifestations associated with bartonellosis, cutaneous vasculitis is rare, but it can be severe. We report the case of a 9-year-old child who presented with cervical lymphadenopathy, arthritis, epididymitis, and cutaneous vasculitis as clinical manifestations of systemic bartonellosis, with positive detection of B. henselae in blood and skin fragment using species-specific conventional polymerase chain reaction (PCR) techniques. Vasculitis caused by Bartonella spp. occurs due to the endothelial tropism of the bacteria and can mimic systemic vasculitis with positive anti-neutrophil cytoplasmic antibodies (ANCA). Furthermore, we found just one previous report about epididymitis related to B. henselae infection, and arthritis is also considered an unusual manifestation of the infection. This case emphasizes the need to consider bartonellosis among differential diagnoses when faced with presentations of purpura, cutaneous vasculitis, arthritis, or epididymitis.</p>","PeriodicalId":54466,"journal":{"name":"Revista Do Instituto De Medicina Tropical De Sao Paulo","volume":"67 ","pages":"e47"},"PeriodicalIF":1.7000,"publicationDate":"2025-07-18","publicationTypes":"Journal Article","fieldsOfStudy":null,"isOpenAccess":false,"openAccessPdf":"https://www.ncbi.nlm.nih.gov/pmc/articles/PMC12273857/pdf/","citationCount":"0","resultStr":"{\"title\":\"Multi systemic compromise due to Bartonella henselae in a child.\",\"authors\":\"Thiago Jessé Kucarz, Cintia Avila Souza, Simone Aiko Hatanaka, Elisa Nunes Secamilli, Marina Rovani Drummond, Marcos Tadeu Nolasco da Silva, Rafael Fantelli Stelini, Maria Leticia Cintra, Paulo Eduardo Neves Ferreira Velho\",\"doi\":\"10.1590/S1678-9946202567047\",\"DOIUrl\":null,\"url\":null,\"abstract\":\"<p><p>Currently, at least 22 species of Bartonella are known to cause diseases in humans, with Bartonella henselae being the main one. Among the clinical manifestations associated with bartonellosis, cutaneous vasculitis is rare, but it can be severe. We report the case of a 9-year-old child who presented with cervical lymphadenopathy, arthritis, epididymitis, and cutaneous vasculitis as clinical manifestations of systemic bartonellosis, with positive detection of B. henselae in blood and skin fragment using species-specific conventional polymerase chain reaction (PCR) techniques. Vasculitis caused by Bartonella spp. occurs due to the endothelial tropism of the bacteria and can mimic systemic vasculitis with positive anti-neutrophil cytoplasmic antibodies (ANCA). Furthermore, we found just one previous report about epididymitis related to B. henselae infection, and arthritis is also considered an unusual manifestation of the infection. This case emphasizes the need to consider bartonellosis among differential diagnoses when faced with presentations of purpura, cutaneous vasculitis, arthritis, or epididymitis.</p>\",\"PeriodicalId\":54466,\"journal\":{\"name\":\"Revista Do Instituto De Medicina Tropical De Sao Paulo\",\"volume\":\"67 \",\"pages\":\"e47\"},\"PeriodicalIF\":1.7000,\"publicationDate\":\"2025-07-18\",\"publicationTypes\":\"Journal Article\",\"fieldsOfStudy\":null,\"isOpenAccess\":false,\"openAccessPdf\":\"https://www.ncbi.nlm.nih.gov/pmc/articles/PMC12273857/pdf/\",\"citationCount\":\"0\",\"resultStr\":null,\"platform\":\"Semanticscholar\",\"paperid\":null,\"PeriodicalName\":\"Revista Do Instituto De Medicina Tropical De Sao Paulo\",\"FirstCategoryId\":\"3\",\"ListUrlMain\":\"https://doi.org/10.1590/S1678-9946202567047\",\"RegionNum\":4,\"RegionCategory\":\"医学\",\"ArticlePicture\":[],\"TitleCN\":null,\"AbstractTextCN\":null,\"PMCID\":null,\"EPubDate\":\"2025/1/1 0:00:00\",\"PubModel\":\"eCollection\",\"JCR\":\"Q4\",\"JCRName\":\"INFECTIOUS DISEASES\",\"Score\":null,\"Total\":0}","platform":"Semanticscholar","paperid":null,"PeriodicalName":"Revista Do Instituto De Medicina Tropical De Sao Paulo","FirstCategoryId":"3","ListUrlMain":"https://doi.org/10.1590/S1678-9946202567047","RegionNum":4,"RegionCategory":"医学","ArticlePicture":[],"TitleCN":null,"AbstractTextCN":null,"PMCID":null,"EPubDate":"2025/1/1 0:00:00","PubModel":"eCollection","JCR":"Q4","JCRName":"INFECTIOUS DISEASES","Score":null,"Total":0}
引用次数: 0

摘要

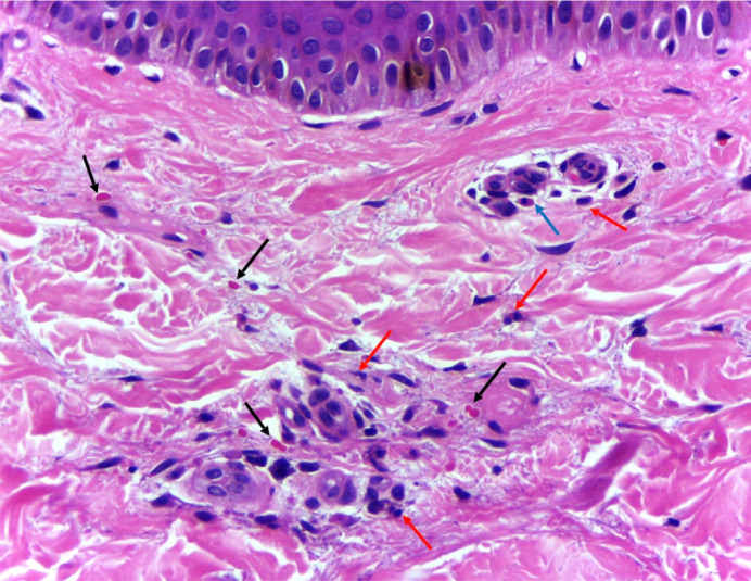
目前,已知至少有22种巴尔通体可引起人类疾病,其中以亨塞拉巴尔通体为主要种类。在与巴尔通体病相关的临床表现中,皮肤血管炎是罕见的,但它可能是严重的。我们报告一名9岁儿童的病例,他以颈部淋巴结病、关节炎、附睾炎和皮肤血管炎为全身性巴尔通体病的临床表现,使用物种特异性常规聚合酶链反应(PCR)技术在血液和皮肤片段中检测到亨selb阳性。由巴尔通体引起的血管炎是由于细菌的内皮性而发生的,并且可以通过抗中性粒细胞胞浆抗体(ANCA)阳性来模拟全身性血管炎。此外,我们只发现一篇关于附睾炎与母鸡乙虫感染相关的报道,关节炎也被认为是感染的一种不寻常的表现。本病例强调,当出现紫癜、皮肤血管炎、关节炎或附睾炎时,需要在鉴别诊断中考虑巴尔通体病。
本文章由计算机程序翻译,如有差异,请以英文原文为准。

Multi systemic compromise due to Bartonella henselae in a child.

Multi systemic compromise due to Bartonella henselae in a child.

Multi systemic compromise due to Bartonella henselae in a child.

Multi systemic compromise due to Bartonella henselae in a child.

Currently, at least 22 species of Bartonella are known to cause diseases in humans, with Bartonella henselae being the main one. Among the clinical manifestations associated with bartonellosis, cutaneous vasculitis is rare, but it can be severe. We report the case of a 9-year-old child who presented with cervical lymphadenopathy, arthritis, epididymitis, and cutaneous vasculitis as clinical manifestations of systemic bartonellosis, with positive detection of B. henselae in blood and skin fragment using species-specific conventional polymerase chain reaction (PCR) techniques. Vasculitis caused by Bartonella spp. occurs due to the endothelial tropism of the bacteria and can mimic systemic vasculitis with positive anti-neutrophil cytoplasmic antibodies (ANCA). Furthermore, we found just one previous report about epididymitis related to B. henselae infection, and arthritis is also considered an unusual manifestation of the infection. This case emphasizes the need to consider bartonellosis among differential diagnoses when faced with presentations of purpura, cutaneous vasculitis, arthritis, or epididymitis.

求助全文
通过发布文献求助,成功后即可免费获取论文全文。 去求助
来源期刊
CiteScore
3.60
自引率
5.30%
发文量
100
审稿时长
6-12 weeks
期刊介绍: The Revista do Instituto de Medicina Tropical de São Paulo (Journal of the São Paulo Institute of Tropical Medicine) is a journal devoted to research on different aspects of tropical infectious diseases. The journal welcomes original work on all infectious diseases, provided that data and results are directly linked to human health. The journal publishes, besides original articles, review articles, case reports, brief communications, and letters to the editor. The journal publishes manuscripts only in English. From 2016 on, the Revista do Instituto de Medicina Tropical de São Paulo (Journal of the São Paulo Institute of Tropical Medicine) is published online only, maintaining the free access. For more information visit: - http://www.scielo.br/rimtsp - http://www.imt.usp.br/revista-imt/
×
引用
GB/T 7714-2015
复制
MLA
复制
APA
复制
导出至
BibTeX EndNote RefMan NoteFirst NoteExpress
×
提示
您的信息不完整,为了账户安全,请先补充。
现在去补充
×
提示
您因"违规操作"
具体请查看互助需知
我知道了
×
提示
确定
请完成安全验证×
copy
已复制链接
快去分享给好友吧!
我知道了
右上角分享
点击右上角分享
0
联系我们:info@booksci.cn Book学术提供免费学术资源搜索服务,方便国内外学者检索中英文文献。致力于提供最便捷和优质的服务体验。 Copyright © 2023 布克学术 All rights reserved.
京ICP备2023020795号-1
ghs 京公网安备 11010802042870号
Book学术文献互助
Book学术文献互助群
群 号:604180095
Book学术官方微信