胸膜孤立性纤维性肿瘤伴副肿瘤性低血糖1例。

IF 0.8 Q4 RESPIRATORY SYSTEM
Respirology Case Reports Pub Date : 2025-07-21 eCollection Date: 2025-07-01 DOI:10.1002/rcr2.70275
Asmita A Mehta, Valiyaparambil Pavithran Praveen, Valathara Pradeep Lakshmi Priya, Liya Anil, Vishnu Nair
{"title":"胸膜孤立性纤维性肿瘤伴副肿瘤性低血糖1例。","authors":"Asmita A Mehta, Valiyaparambil Pavithran Praveen, Valathara Pradeep Lakshmi Priya, Liya Anil, Vishnu Nair","doi":"10.1002/rcr2.70275","DOIUrl":null,"url":null,"abstract":"<p><p>Solitary fibrous tumours (SFTs) are rare spindle cell neoplasms, predominantly benign, comprising less than 2% of all soft tissue masses. In rare cases, SFTs can lead to Doege-Potter syndrome, a paraneoplastic condition characterised by hypoglycaemia due to elevated levels of insulin-like growth factor II (IGF-II). Patients typically present with symptomatic hypoglycaemia related to this hormonal dysregulation. We report the case of a 70-year-old man who presented with weight loss, cough, fatigue, tingling, and episodes of confusion associated with recurrent hypoglycaemia. Chest radiography revealed a large soft tissue mass in the right lower hemithorax, and CT-guided biopsy confirmed tumour infiltration in the basal segment of the right lower lobe.</p>","PeriodicalId":45846,"journal":{"name":"Respirology Case Reports","volume":"13 7","pages":"e70275"},"PeriodicalIF":0.8000,"publicationDate":"2025-07-21","publicationTypes":"Journal Article","fieldsOfStudy":null,"isOpenAccess":false,"openAccessPdf":"https://www.ncbi.nlm.nih.gov/pmc/articles/PMC12279444/pdf/","citationCount":"0","resultStr":"{\"title\":\"Paraneoplastic Hypoglycaemia in a Patient With Solitary Fibrous Tumor of Pleura.\",\"authors\":\"Asmita A Mehta, Valiyaparambil Pavithran Praveen, Valathara Pradeep Lakshmi Priya, Liya Anil, Vishnu Nair\",\"doi\":\"10.1002/rcr2.70275\",\"DOIUrl\":null,\"url\":null,\"abstract\":\"<p><p>Solitary fibrous tumours (SFTs) are rare spindle cell neoplasms, predominantly benign, comprising less than 2% of all soft tissue masses. In rare cases, SFTs can lead to Doege-Potter syndrome, a paraneoplastic condition characterised by hypoglycaemia due to elevated levels of insulin-like growth factor II (IGF-II). Patients typically present with symptomatic hypoglycaemia related to this hormonal dysregulation. We report the case of a 70-year-old man who presented with weight loss, cough, fatigue, tingling, and episodes of confusion associated with recurrent hypoglycaemia. Chest radiography revealed a large soft tissue mass in the right lower hemithorax, and CT-guided biopsy confirmed tumour infiltration in the basal segment of the right lower lobe.</p>\",\"PeriodicalId\":45846,\"journal\":{\"name\":\"Respirology Case Reports\",\"volume\":\"13 7\",\"pages\":\"e70275\"},\"PeriodicalIF\":0.8000,\"publicationDate\":\"2025-07-21\",\"publicationTypes\":\"Journal Article\",\"fieldsOfStudy\":null,\"isOpenAccess\":false,\"openAccessPdf\":\"https://www.ncbi.nlm.nih.gov/pmc/articles/PMC12279444/pdf/\",\"citationCount\":\"0\",\"resultStr\":null,\"platform\":\"Semanticscholar\",\"paperid\":null,\"PeriodicalName\":\"Respirology Case Reports\",\"FirstCategoryId\":\"1085\",\"ListUrlMain\":\"https://doi.org/10.1002/rcr2.70275\",\"RegionNum\":0,\"RegionCategory\":null,\"ArticlePicture\":[],\"TitleCN\":null,\"AbstractTextCN\":null,\"PMCID\":null,\"EPubDate\":\"2025/7/1 0:00:00\",\"PubModel\":\"eCollection\",\"JCR\":\"Q4\",\"JCRName\":\"RESPIRATORY SYSTEM\",\"Score\":null,\"Total\":0}","platform":"Semanticscholar","paperid":null,"PeriodicalName":"Respirology Case Reports","FirstCategoryId":"1085","ListUrlMain":"https://doi.org/10.1002/rcr2.70275","RegionNum":0,"RegionCategory":null,"ArticlePicture":[],"TitleCN":null,"AbstractTextCN":null,"PMCID":null,"EPubDate":"2025/7/1 0:00:00","PubModel":"eCollection","JCR":"Q4","JCRName":"RESPIRATORY SYSTEM","Score":null,"Total":0}
引用次数: 0

摘要

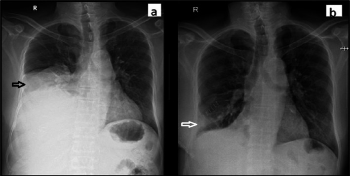
孤立性纤维性肿瘤(SFTs)是罕见的梭形细胞肿瘤,主要是良性的,占所有软组织肿块的不到2%。在极少数情况下,SFTs可导致doge - potter综合征,这是一种副肿瘤疾病,其特征是由于胰岛素样生长因子II (IGF-II)水平升高而导致低血糖。患者通常表现为与这种激素失调有关的症状性低血糖。我们报告一例70岁的男性,他表现为体重减轻,咳嗽,疲劳,刺痛,以及与复发性低血糖相关的精神错乱发作。胸片示右下半胸一大块软组织肿块,ct引导下活检证实右下叶基底段肿瘤浸润。
本文章由计算机程序翻译,如有差异,请以英文原文为准。

Paraneoplastic Hypoglycaemia in a Patient With Solitary Fibrous Tumor of Pleura.

Paraneoplastic Hypoglycaemia in a Patient With Solitary Fibrous Tumor of Pleura.

Paraneoplastic Hypoglycaemia in a Patient With Solitary Fibrous Tumor of Pleura.

Paraneoplastic Hypoglycaemia in a Patient With Solitary Fibrous Tumor of Pleura.

Solitary fibrous tumours (SFTs) are rare spindle cell neoplasms, predominantly benign, comprising less than 2% of all soft tissue masses. In rare cases, SFTs can lead to Doege-Potter syndrome, a paraneoplastic condition characterised by hypoglycaemia due to elevated levels of insulin-like growth factor II (IGF-II). Patients typically present with symptomatic hypoglycaemia related to this hormonal dysregulation. We report the case of a 70-year-old man who presented with weight loss, cough, fatigue, tingling, and episodes of confusion associated with recurrent hypoglycaemia. Chest radiography revealed a large soft tissue mass in the right lower hemithorax, and CT-guided biopsy confirmed tumour infiltration in the basal segment of the right lower lobe.

求助全文
通过发布文献求助,成功后即可免费获取论文全文。 去求助
来源期刊
Respirology Case Reports
Respirology Case Reports RESPIRATORY SYSTEM-
CiteScore
1.40
自引率
0.00%
发文量
178
审稿时长
8 weeks
期刊介绍: Respirology Case Reports is an open-access online journal dedicated to the publication of original clinical case reports, case series, clinical images and clinical videos in all fields of respiratory medicine. The Journal encourages the international exchange between clinicians and researchers of experiences in diagnosing and treating uncommon diseases or diseases with unusual presentations. All manuscripts are peer-reviewed through a streamlined process that aims at providing a rapid turnaround time from submission to publication.
×
引用
GB/T 7714-2015
复制
MLA
复制
APA
复制
导出至
BibTeX EndNote RefMan NoteFirst NoteExpress
×
提示
您的信息不完整,为了账户安全,请先补充。
现在去补充
×
提示
您因"违规操作"
具体请查看互助需知
我知道了
×
提示
确定
请完成安全验证×
copy
已复制链接
快去分享给好友吧!
我知道了
右上角分享
点击右上角分享
0
联系我们:info@booksci.cn Book学术提供免费学术资源搜索服务,方便国内外学者检索中英文文献。致力于提供最便捷和优质的服务体验。 Copyright © 2023 布克学术 All rights reserved.
京ICP备2023020795号-1
ghs 京公网安备 11010802042870号
Book学术文献互助
Book学术文献互助群
群 号:604180095
Book学术官方微信