新生儿心包填塞由周围置管引起:1例报告。

IF 0.9 Q2 MEDICINE, GENERAL & INTERNAL
Einstein-Sao Paulo Pub Date : 2025-07-18 eCollection Date: 2025-01-01 DOI:10.31744/einstein_journal/2025RC0634
Carolina Tenfen, Gabriela Dominicci de Melo Casacio, Maria Fernanda Munhak da Silva, Graziely Masotti Scalabrin Barreto, Adriana Zilly, Rosane Meire Munhak da Silva
{"title":"新生儿心包填塞由周围置管引起:1例报告。","authors":"Carolina Tenfen, Gabriela Dominicci de Melo Casacio, Maria Fernanda Munhak da Silva, Graziely Masotti Scalabrin Barreto, Adriana Zilly, Rosane Meire Munhak da Silva","doi":"10.31744/einstein_journal/2025RC0634","DOIUrl":null,"url":null,"abstract":"<p><strong>Background: </strong>This article describes the occurrence of cardiac tamponade in a premature newborn after the use of a peripherally inserted central catheter at a university hospital in Brazil. Pericardiocentesis was performed, the catheter was repositioned using radiography, and minimal residual pericardial effusion was confirmed using echocardiography. The patient showed good progress and was discharged from the hospital on day 47 of life without any complications related to the event. Therefore, although adverse events may occur following the insertion of peripherally inserted central catheters, imaging examinations and exclusion diagnoses have a positive impact on clinical outcomes. This study emphasizes the importance of a multidisciplinary team for monitoring and managing adverse events and optimizing the care of critically ill newborns.</p>","PeriodicalId":47359,"journal":{"name":"Einstein-Sao Paulo","volume":"23 ","pages":"eRC0634"},"PeriodicalIF":0.9000,"publicationDate":"2025-07-18","publicationTypes":"Journal Article","fieldsOfStudy":null,"isOpenAccess":false,"openAccessPdf":"https://www.ncbi.nlm.nih.gov/pmc/articles/PMC12266839/pdf/","citationCount":"0","resultStr":"{\"title\":\"Cardiac tamponade in a newborn caused by a peripherally inserted central catheter: case report.\",\"authors\":\"Carolina Tenfen, Gabriela Dominicci de Melo Casacio, Maria Fernanda Munhak da Silva, Graziely Masotti Scalabrin Barreto, Adriana Zilly, Rosane Meire Munhak da Silva\",\"doi\":\"10.31744/einstein_journal/2025RC0634\",\"DOIUrl\":null,\"url\":null,\"abstract\":\"<p><strong>Background: </strong>This article describes the occurrence of cardiac tamponade in a premature newborn after the use of a peripherally inserted central catheter at a university hospital in Brazil. Pericardiocentesis was performed, the catheter was repositioned using radiography, and minimal residual pericardial effusion was confirmed using echocardiography. The patient showed good progress and was discharged from the hospital on day 47 of life without any complications related to the event. Therefore, although adverse events may occur following the insertion of peripherally inserted central catheters, imaging examinations and exclusion diagnoses have a positive impact on clinical outcomes. This study emphasizes the importance of a multidisciplinary team for monitoring and managing adverse events and optimizing the care of critically ill newborns.</p>\",\"PeriodicalId\":47359,\"journal\":{\"name\":\"Einstein-Sao Paulo\",\"volume\":\"23 \",\"pages\":\"eRC0634\"},\"PeriodicalIF\":0.9000,\"publicationDate\":\"2025-07-18\",\"publicationTypes\":\"Journal Article\",\"fieldsOfStudy\":null,\"isOpenAccess\":false,\"openAccessPdf\":\"https://www.ncbi.nlm.nih.gov/pmc/articles/PMC12266839/pdf/\",\"citationCount\":\"0\",\"resultStr\":null,\"platform\":\"Semanticscholar\",\"paperid\":null,\"PeriodicalName\":\"Einstein-Sao Paulo\",\"FirstCategoryId\":\"1085\",\"ListUrlMain\":\"https://doi.org/10.31744/einstein_journal/2025RC0634\",\"RegionNum\":0,\"RegionCategory\":null,\"ArticlePicture\":[],\"TitleCN\":null,\"AbstractTextCN\":null,\"PMCID\":null,\"EPubDate\":\"2025/1/1 0:00:00\",\"PubModel\":\"eCollection\",\"JCR\":\"Q2\",\"JCRName\":\"MEDICINE, GENERAL & INTERNAL\",\"Score\":null,\"Total\":0}","platform":"Semanticscholar","paperid":null,"PeriodicalName":"Einstein-Sao Paulo","FirstCategoryId":"1085","ListUrlMain":"https://doi.org/10.31744/einstein_journal/2025RC0634","RegionNum":0,"RegionCategory":null,"ArticlePicture":[],"TitleCN":null,"AbstractTextCN":null,"PMCID":null,"EPubDate":"2025/1/1 0:00:00","PubModel":"eCollection","JCR":"Q2","JCRName":"MEDICINE, GENERAL & INTERNAL","Score":null,"Total":0}
引用次数: 0

摘要

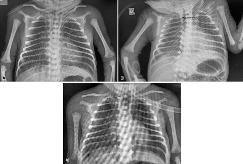
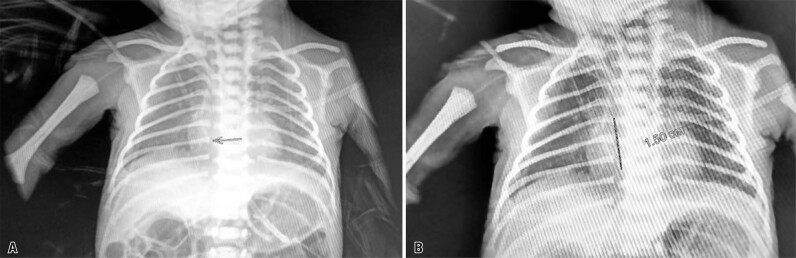
背景:这篇文章描述了在巴西的一所大学医院,一个早产儿在使用外周插入中心导管后发生心脏填塞。行心包穿刺,经x线摄影重新定位导管,超声心动图证实心包积液残留极小。患者进展良好,并于生命第47天出院,无任何与该事件相关的并发症。因此,尽管在置入外周中心导管后可能发生不良事件,但影像学检查和排除诊断对临床结果有积极影响。本研究强调了多学科团队对监测和管理不良事件以及优化危重新生儿护理的重要性。
本文章由计算机程序翻译,如有差异,请以英文原文为准。

Cardiac tamponade in a newborn caused by a peripherally inserted central catheter: case report.

Cardiac tamponade in a newborn caused by a peripherally inserted central catheter: case report.

Cardiac tamponade in a newborn caused by a peripherally inserted central catheter: case report.

Background: This article describes the occurrence of cardiac tamponade in a premature newborn after the use of a peripherally inserted central catheter at a university hospital in Brazil. Pericardiocentesis was performed, the catheter was repositioned using radiography, and minimal residual pericardial effusion was confirmed using echocardiography. The patient showed good progress and was discharged from the hospital on day 47 of life without any complications related to the event. Therefore, although adverse events may occur following the insertion of peripherally inserted central catheters, imaging examinations and exclusion diagnoses have a positive impact on clinical outcomes. This study emphasizes the importance of a multidisciplinary team for monitoring and managing adverse events and optimizing the care of critically ill newborns.

求助全文
通过发布文献求助,成功后即可免费获取论文全文。 去求助
来源期刊
Einstein-Sao Paulo
Einstein-Sao Paulo MEDICINE, GENERAL & INTERNAL-
CiteScore
2.00
自引率
0.00%
发文量
210
审稿时长
38 weeks
×
引用
GB/T 7714-2015
复制
MLA
复制
APA
复制
导出至
BibTeX EndNote RefMan NoteFirst NoteExpress
×
提示
您的信息不完整,为了账户安全,请先补充。
现在去补充
×
提示
您因"违规操作"
具体请查看互助需知
我知道了
×
提示
确定
请完成安全验证×
copy
已复制链接
快去分享给好友吧!
我知道了
右上角分享
点击右上角分享
0
联系我们:info@booksci.cn Book学术提供免费学术资源搜索服务,方便国内外学者检索中英文文献。致力于提供最便捷和优质的服务体验。 Copyright © 2023 布克学术 All rights reserved.
京ICP备2023020795号-1
ghs 京公网安备 11010802042870号
Book学术文献互助
Book学术文献互助群
群 号:604180095
Book学术官方微信