接受曲妥珠单抗治疗的her2阳性胃癌患者室性心律失常1例

IF 0.5 Q4 GASTROENTEROLOGY & HEPATOLOGY
Case Reports in Gastrointestinal Medicine Pub Date : 2025-07-15 eCollection Date: 2025-01-01 DOI:10.1155/crgm/2752788
Naoto Takahashi, Hitoshi Fujii, Tomohiro Iwasa, Yuka Koizumi, Yukihiro Minagawa, Chihiro Tono
{"title":"接受曲妥珠单抗治疗的her2阳性胃癌患者室性心律失常1例","authors":"Naoto Takahashi, Hitoshi Fujii, Tomohiro Iwasa, Yuka Koizumi, Yukihiro Minagawa, Chihiro Tono","doi":"10.1155/crgm/2752788","DOIUrl":null,"url":null,"abstract":"<p><p><b>Background:</b> Human epidermal growth factor receptor 2 (HER2)-positive gastric cancer accounts for approximately 15% of gastric cancer cases. Trastuzumab (Trz), a monoclonal antibody targeting HER2, has been shown to improve overall survival when combined with chemotherapy. However, while Trz-induced cardiotoxicity (TIC) is a well-recognized adverse effect in breast cancer chemotherapy, reports on its occurrence in gastric cancer treatment remain limited. <b>Case Presentation:</b> An 80-year-old Japanese male with HER2-positive advanced gastric cancer (cStage III) developed ventricular arrhythmia and heart failure during postoperative chemotherapy with the Trz + SOX regimen (Trz, oxaliplatin, and TS-1). The patient initially underwent distal gastrectomy with D1+ lymphadenectomy for anemia and pyloric stenosis. Metastasis to the #8a lymph node (anterior superior lymph node of the common hepatic artery) and pancreatic invasion via lymph nodes were treated with two cycles of the Trz + SOX regimen, leading to a partial response. However, after the 11th cycle, he developed ventricular tachycardia and heart failure. Cardiac imaging and laboratory findings revealed no coronary artery disease or structural abnormalities, suggesting TIC as the underlying cause. Antiarrhythmic therapy with pharmacological agents led to symptom resolution, and no recurrence of arrhythmia or heart failure was observed. <b>Discussion:</b> This case highlights the potential cardiotoxicity associated with nonanthracycline-based Trz regimens for gastric cancer. Pathophysiologically, HER2 signaling inhibition in cardiomyocytes may impair stress responses and repair mechanisms. The patient's advanced age, history of hypertension and anemia, and cumulative exposure to chemotherapy may have contributed to increased cardiac vulnerability. Careful monitoring of cardiac function is essential in elderly and comorbid patients undergoing Trz-based therapy for gastric cancer to mitigate the risk of cardiotoxicity. <b>Conclusion:</b> Trz-based chemotherapy for HER2-positive gastric cancer, even without anthracyclines, may pose a risk of cardiotoxicity, particularly in elderly or comorbid patients. Further research is warranted to elucidate underlying mechanisms and optimize monitoring and prevention strategies in this population.</p>","PeriodicalId":45645,"journal":{"name":"Case Reports in Gastrointestinal Medicine","volume":"2025 ","pages":"2752788"},"PeriodicalIF":0.5000,"publicationDate":"2025-07-15","publicationTypes":"Journal Article","fieldsOfStudy":null,"isOpenAccess":false,"openAccessPdf":"https://www.ncbi.nlm.nih.gov/pmc/articles/PMC12283206/pdf/","citationCount":"0","resultStr":"{\"title\":\"A Case of Ventricular Arrhythmia in a Patient With HER2-Positive Gastric Cancer Receiving Trastuzumab.\",\"authors\":\"Naoto Takahashi, Hitoshi Fujii, Tomohiro Iwasa, Yuka Koizumi, Yukihiro Minagawa, Chihiro Tono\",\"doi\":\"10.1155/crgm/2752788\",\"DOIUrl\":null,\"url\":null,\"abstract\":\"<p><p><b>Background:</b> Human epidermal growth factor receptor 2 (HER2)-positive gastric cancer accounts for approximately 15% of gastric cancer cases. Trastuzumab (Trz), a monoclonal antibody targeting HER2, has been shown to improve overall survival when combined with chemotherapy. However, while Trz-induced cardiotoxicity (TIC) is a well-recognized adverse effect in breast cancer chemotherapy, reports on its occurrence in gastric cancer treatment remain limited. <b>Case Presentation:</b> An 80-year-old Japanese male with HER2-positive advanced gastric cancer (cStage III) developed ventricular arrhythmia and heart failure during postoperative chemotherapy with the Trz + SOX regimen (Trz, oxaliplatin, and TS-1). The patient initially underwent distal gastrectomy with D1+ lymphadenectomy for anemia and pyloric stenosis. Metastasis to the #8a lymph node (anterior superior lymph node of the common hepatic artery) and pancreatic invasion via lymph nodes were treated with two cycles of the Trz + SOX regimen, leading to a partial response. However, after the 11th cycle, he developed ventricular tachycardia and heart failure. Cardiac imaging and laboratory findings revealed no coronary artery disease or structural abnormalities, suggesting TIC as the underlying cause. Antiarrhythmic therapy with pharmacological agents led to symptom resolution, and no recurrence of arrhythmia or heart failure was observed. <b>Discussion:</b> This case highlights the potential cardiotoxicity associated with nonanthracycline-based Trz regimens for gastric cancer. Pathophysiologically, HER2 signaling inhibition in cardiomyocytes may impair stress responses and repair mechanisms. The patient's advanced age, history of hypertension and anemia, and cumulative exposure to chemotherapy may have contributed to increased cardiac vulnerability. Careful monitoring of cardiac function is essential in elderly and comorbid patients undergoing Trz-based therapy for gastric cancer to mitigate the risk of cardiotoxicity. <b>Conclusion:</b> Trz-based chemotherapy for HER2-positive gastric cancer, even without anthracyclines, may pose a risk of cardiotoxicity, particularly in elderly or comorbid patients. Further research is warranted to elucidate underlying mechanisms and optimize monitoring and prevention strategies in this population.</p>\",\"PeriodicalId\":45645,\"journal\":{\"name\":\"Case Reports in Gastrointestinal Medicine\",\"volume\":\"2025 \",\"pages\":\"2752788\"},\"PeriodicalIF\":0.5000,\"publicationDate\":\"2025-07-15\",\"publicationTypes\":\"Journal Article\",\"fieldsOfStudy\":null,\"isOpenAccess\":false,\"openAccessPdf\":\"https://www.ncbi.nlm.nih.gov/pmc/articles/PMC12283206/pdf/\",\"citationCount\":\"0\",\"resultStr\":null,\"platform\":\"Semanticscholar\",\"paperid\":null,\"PeriodicalName\":\"Case Reports in Gastrointestinal Medicine\",\"FirstCategoryId\":\"1085\",\"ListUrlMain\":\"https://doi.org/10.1155/crgm/2752788\",\"RegionNum\":0,\"RegionCategory\":null,\"ArticlePicture\":[],\"TitleCN\":null,\"AbstractTextCN\":null,\"PMCID\":null,\"EPubDate\":\"2025/1/1 0:00:00\",\"PubModel\":\"eCollection\",\"JCR\":\"Q4\",\"JCRName\":\"GASTROENTEROLOGY & HEPATOLOGY\",\"Score\":null,\"Total\":0}","platform":"Semanticscholar","paperid":null,"PeriodicalName":"Case Reports in Gastrointestinal Medicine","FirstCategoryId":"1085","ListUrlMain":"https://doi.org/10.1155/crgm/2752788","RegionNum":0,"RegionCategory":null,"ArticlePicture":[],"TitleCN":null,"AbstractTextCN":null,"PMCID":null,"EPubDate":"2025/1/1 0:00:00","PubModel":"eCollection","JCR":"Q4","JCRName":"GASTROENTEROLOGY & HEPATOLOGY","Score":null,"Total":0}
引用次数: 0

摘要

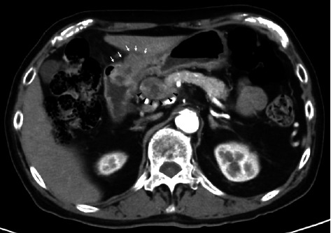
背景:人表皮生长因子受体2 (HER2)阳性胃癌约占胃癌病例的15%。曲妥珠单抗(Trz)是一种靶向HER2的单克隆抗体,已被证明与化疗联合可提高总生存率。然而,虽然trz诱导的心脏毒性(TIC)是乳腺癌化疗中公认的不良反应,但关于其在胃癌治疗中的发生的报道仍然有限。病例介绍:一名80岁日本男性her2阳性晚期胃癌(ciii期)患者在术后使用Trz + SOX方案(Trz、奥沙利铂和TS-1)化疗时出现室性心律失常和心力衰竭。患者最初因贫血和幽门狭窄行远端胃切除术并D1+淋巴结切除术。转移到#8a淋巴结(肝总动脉前上淋巴结)和通过淋巴结侵入胰腺的患者采用两个周期的Trz + SOX方案治疗,导致部分缓解。然而,在第11个周期后,他出现室性心动过速和心力衰竭。心脏影像学和实验室检查未发现冠状动脉病变或结构异常,提示TIC是根本原因。药物抗心律失常治疗导致症状缓解,无心律失常或心力衰竭复发。讨论:本病例强调了以非蒽环类药物为基础的Trz治疗胃癌的潜在心脏毒性。病理生理学上,HER2信号抑制可能会损害心肌细胞的应激反应和修复机制。患者的高龄、高血压和贫血史以及长期接受化疗可能是心脏易感性增加的原因。仔细监测心功能对于接受trz为基础的胃癌治疗的老年和合并症患者至关重要,以减轻心脏毒性的风险。结论:以trz为基础的化疗治疗her2阳性胃癌,即使不使用蒽环类药物,也可能造成心脏毒性的风险,特别是在老年人或合并症患者中。需要进一步的研究来阐明潜在的机制,优化这一人群的监测和预防策略。
本文章由计算机程序翻译,如有差异,请以英文原文为准。

A Case of Ventricular Arrhythmia in a Patient With HER2-Positive Gastric Cancer Receiving Trastuzumab.

A Case of Ventricular Arrhythmia in a Patient With HER2-Positive Gastric Cancer Receiving Trastuzumab.

A Case of Ventricular Arrhythmia in a Patient With HER2-Positive Gastric Cancer Receiving Trastuzumab.

A Case of Ventricular Arrhythmia in a Patient With HER2-Positive Gastric Cancer Receiving Trastuzumab.

Background: Human epidermal growth factor receptor 2 (HER2)-positive gastric cancer accounts for approximately 15% of gastric cancer cases. Trastuzumab (Trz), a monoclonal antibody targeting HER2, has been shown to improve overall survival when combined with chemotherapy. However, while Trz-induced cardiotoxicity (TIC) is a well-recognized adverse effect in breast cancer chemotherapy, reports on its occurrence in gastric cancer treatment remain limited. Case Presentation: An 80-year-old Japanese male with HER2-positive advanced gastric cancer (cStage III) developed ventricular arrhythmia and heart failure during postoperative chemotherapy with the Trz + SOX regimen (Trz, oxaliplatin, and TS-1). The patient initially underwent distal gastrectomy with D1+ lymphadenectomy for anemia and pyloric stenosis. Metastasis to the #8a lymph node (anterior superior lymph node of the common hepatic artery) and pancreatic invasion via lymph nodes were treated with two cycles of the Trz + SOX regimen, leading to a partial response. However, after the 11th cycle, he developed ventricular tachycardia and heart failure. Cardiac imaging and laboratory findings revealed no coronary artery disease or structural abnormalities, suggesting TIC as the underlying cause. Antiarrhythmic therapy with pharmacological agents led to symptom resolution, and no recurrence of arrhythmia or heart failure was observed. Discussion: This case highlights the potential cardiotoxicity associated with nonanthracycline-based Trz regimens for gastric cancer. Pathophysiologically, HER2 signaling inhibition in cardiomyocytes may impair stress responses and repair mechanisms. The patient's advanced age, history of hypertension and anemia, and cumulative exposure to chemotherapy may have contributed to increased cardiac vulnerability. Careful monitoring of cardiac function is essential in elderly and comorbid patients undergoing Trz-based therapy for gastric cancer to mitigate the risk of cardiotoxicity. Conclusion: Trz-based chemotherapy for HER2-positive gastric cancer, even without anthracyclines, may pose a risk of cardiotoxicity, particularly in elderly or comorbid patients. Further research is warranted to elucidate underlying mechanisms and optimize monitoring and prevention strategies in this population.

求助全文
通过发布文献求助,成功后即可免费获取论文全文。 去求助
来源期刊
Case Reports in Gastrointestinal Medicine
Case Reports in Gastrointestinal Medicine GASTROENTEROLOGY & HEPATOLOGY-
自引率
0.00%
发文量
33
审稿时长
14 weeks
×
引用
GB/T 7714-2015
复制
MLA
复制
APA
复制
导出至
BibTeX EndNote RefMan NoteFirst NoteExpress
×
提示
您的信息不完整,为了账户安全,请先补充。
现在去补充
×
提示
您因"违规操作"
具体请查看互助需知
我知道了
×
提示
确定
请完成安全验证×
copy
已复制链接
快去分享给好友吧!
我知道了
右上角分享
点击右上角分享
0
联系我们:info@booksci.cn Book学术提供免费学术资源搜索服务,方便国内外学者检索中英文文献。致力于提供最便捷和优质的服务体验。 Copyright © 2023 布克学术 All rights reserved.
京ICP备2023020795号-1
ghs 京公网安备 11010802042870号
Book学术文献互助
Book学术文献互助群
群 号:604180095
Book学术官方微信