超声造影增强诊断低水平β-HCG输卵管异位妊娠的有效方法。

IF 2.9 Q2 Medicine
Jingping Wu, Xinyu Chen, Qiong Wu, Na Wei, Guifang An, Hairong Yu, Ning Wang
{"title":"超声造影增强诊断低水平β-HCG输卵管异位妊娠的有效方法。","authors":"Jingping Wu, Xinyu Chen, Qiong Wu, Na Wei, Guifang An, Hairong Yu, Ning Wang","doi":"10.1186/s13089-025-00438-0","DOIUrl":null,"url":null,"abstract":"<p><strong>Background: </strong>In patients presenting with atypical symptoms or low plasma β-HCG levels, the presence of an adnexal mass without a yolk sac or embryo on ultrasound often provides insufficient confidence for a definitive diagnosis of ectopic pregnancy(EP). Consequently, most such cases can only be classified as suspected EP. This study aimed to evaluate the diagnostic value of contrast enhanced ultrasound (CEUS) for tubal EP (tEP). We retrospectively analyzed 21 patients with suspected EP who underwent CEUS between August 2017 and August 2024. All patients had plasma β-HCG levels below 3500 mIU/mL. Among them, 20 underwent laparoscopic surgery, and all underwent curettage. The diagnostic performance of CEUS for tEP was assessed.</p><p><strong>Results: </strong>A total of 21 patients were included: 19 with tEP, 1 with ovarian pregnancy, and 1 with intrauterine pregnancy. The sensitivity, specificity, and accuracy of transvaginal ultrasound (TVUS) for diagnosing tubal dilation were 15.8%, 100%, and 23.8%, respectively. For CEUS, these values were 94.7%, 100%, and 95.2%, respectively. Statistically significant differences were observed between CEUS and TVUS in sensitivity and accuracy (P = 0.000). The enhancement pattern of villous tissue was categorized as either circular or non-circular. Among the tEP cases, 2 exhibited circular enhancement and 17 showed non-circular enhancement. Based on positive β-HCG, absence of an intrauterine gestational sac, and sonographic visualization of a dilated fallopian tube containing either circular or non-circular enhancement internally, CEUS demonstrated high diagnostic accuracy for tEP diagnosis in cases with low β-HCG levels. CEUS correctly diagnosed 18 of 19 tEP cases. One tEP case was diagnosed as a mass of uncertain significance. The intrauterine pregnancy case was misdiagnosed as an EP. The ovarian pregnancy case was diagnosed as EP, though CEUS indicated a relatively high possibility of ovarian origin.</p><p><strong>Conclusion: </strong>In conclusion, CEUS holds significant diagnostic value for tEP. It is particularly useful in diagnostically unclear cases and provides a more detailed assessment of the internal structure of adnexal masses.</p>","PeriodicalId":36911,"journal":{"name":"Ultrasound Journal","volume":"17 1","pages":"33"},"PeriodicalIF":2.9000,"publicationDate":"2025-07-23","publicationTypes":"Journal Article","fieldsOfStudy":null,"isOpenAccess":false,"openAccessPdf":"https://www.ncbi.nlm.nih.gov/pmc/articles/PMC12287497/pdf/","citationCount":"0","resultStr":"{\"title\":\"Contrast enhanced ultrasound - a useful method for diagnosing tubal ectopic pregnancy with low level β-HCG.\",\"authors\":\"Jingping Wu, Xinyu Chen, Qiong Wu, Na Wei, Guifang An, Hairong Yu, Ning Wang\",\"doi\":\"10.1186/s13089-025-00438-0\",\"DOIUrl\":null,\"url\":null,\"abstract\":\"<p><strong>Background: </strong>In patients presenting with atypical symptoms or low plasma β-HCG levels, the presence of an adnexal mass without a yolk sac or embryo on ultrasound often provides insufficient confidence for a definitive diagnosis of ectopic pregnancy(EP). Consequently, most such cases can only be classified as suspected EP. This study aimed to evaluate the diagnostic value of contrast enhanced ultrasound (CEUS) for tubal EP (tEP). We retrospectively analyzed 21 patients with suspected EP who underwent CEUS between August 2017 and August 2024. All patients had plasma β-HCG levels below 3500 mIU/mL. Among them, 20 underwent laparoscopic surgery, and all underwent curettage. The diagnostic performance of CEUS for tEP was assessed.</p><p><strong>Results: </strong>A total of 21 patients were included: 19 with tEP, 1 with ovarian pregnancy, and 1 with intrauterine pregnancy. The sensitivity, specificity, and accuracy of transvaginal ultrasound (TVUS) for diagnosing tubal dilation were 15.8%, 100%, and 23.8%, respectively. For CEUS, these values were 94.7%, 100%, and 95.2%, respectively. Statistically significant differences were observed between CEUS and TVUS in sensitivity and accuracy (P = 0.000). The enhancement pattern of villous tissue was categorized as either circular or non-circular. Among the tEP cases, 2 exhibited circular enhancement and 17 showed non-circular enhancement. Based on positive β-HCG, absence of an intrauterine gestational sac, and sonographic visualization of a dilated fallopian tube containing either circular or non-circular enhancement internally, CEUS demonstrated high diagnostic accuracy for tEP diagnosis in cases with low β-HCG levels. CEUS correctly diagnosed 18 of 19 tEP cases. One tEP case was diagnosed as a mass of uncertain significance. The intrauterine pregnancy case was misdiagnosed as an EP. The ovarian pregnancy case was diagnosed as EP, though CEUS indicated a relatively high possibility of ovarian origin.</p><p><strong>Conclusion: </strong>In conclusion, CEUS holds significant diagnostic value for tEP. It is particularly useful in diagnostically unclear cases and provides a more detailed assessment of the internal structure of adnexal masses.</p>\",\"PeriodicalId\":36911,\"journal\":{\"name\":\"Ultrasound Journal\",\"volume\":\"17 1\",\"pages\":\"33\"},\"PeriodicalIF\":2.9000,\"publicationDate\":\"2025-07-23\",\"publicationTypes\":\"Journal Article\",\"fieldsOfStudy\":null,\"isOpenAccess\":false,\"openAccessPdf\":\"https://www.ncbi.nlm.nih.gov/pmc/articles/PMC12287497/pdf/\",\"citationCount\":\"0\",\"resultStr\":null,\"platform\":\"Semanticscholar\",\"paperid\":null,\"PeriodicalName\":\"Ultrasound Journal\",\"FirstCategoryId\":\"1085\",\"ListUrlMain\":\"https://doi.org/10.1186/s13089-025-00438-0\",\"RegionNum\":0,\"RegionCategory\":null,\"ArticlePicture\":[],\"TitleCN\":null,\"AbstractTextCN\":null,\"PMCID\":null,\"EPubDate\":\"\",\"PubModel\":\"\",\"JCR\":\"Q2\",\"JCRName\":\"Medicine\",\"Score\":null,\"Total\":0}","platform":"Semanticscholar","paperid":null,"PeriodicalName":"Ultrasound Journal","FirstCategoryId":"1085","ListUrlMain":"https://doi.org/10.1186/s13089-025-00438-0","RegionNum":0,"RegionCategory":null,"ArticlePicture":[],"TitleCN":null,"AbstractTextCN":null,"PMCID":null,"EPubDate":"","PubModel":"","JCR":"Q2","JCRName":"Medicine","Score":null,"Total":0}
引用次数: 0

摘要

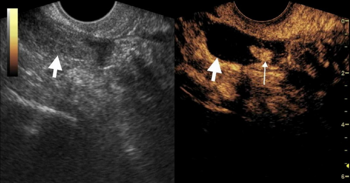
背景:在表现为不典型症状或血浆β-HCG水平低的患者中,超声检查发现无卵黄囊或胚胎的附件肿块通常不能充分确定异位妊娠(EP)的诊断。因此,大多数此类病例只能归类为疑似EP。本研究旨在探讨超声造影(CEUS)对输卵管性EP (tEP)的诊断价值。我们回顾性分析了2017年8月至2024年8月期间接受超声造影的21例疑似EP患者。所有患者血浆β-HCG水平均低于3500 mIU/mL。其中20例行腹腔镜手术,均行刮除术。评价超声造影对tEP的诊断价值。结果:共纳入21例患者:tEP 19例,卵巢妊娠1例,宫内妊娠1例。经阴道超声(TVUS)诊断输卵管扩张的敏感性为15.8%,特异性为100%,准确性为23.8%。对于CEUS,这些值分别为94.7%,100%和95.2%。CEUS与TVUS在敏感性和准确性上有统计学差异(P = 0.000)。绒毛组织的增强模式分为圆形和非圆形。tEP中圆形增强2例,非圆形增强17例。基于β-HCG阳性,宫内妊娠囊缺失,超声显示扩张的输卵管内包含圆形或非圆形增强,超声造影显示低β-HCG水平的tEP诊断具有较高的准确性。超声造影正确诊断19例tEP中的18例。1例tEP被诊断为意义不确定的肿块。本例宫内妊娠被误诊为EP。卵巢妊娠的病例被诊断为EP,尽管超声造影显示卵巢起源的可能性相对较高。结论:超声造影对tEP有重要的诊断价值。它在诊断不明确的病例中特别有用,并提供了对附件肿块内部结构更详细的评估。
本文章由计算机程序翻译,如有差异,请以英文原文为准。

Contrast enhanced ultrasound - a useful method for diagnosing tubal ectopic pregnancy with low level β-HCG.

Contrast enhanced ultrasound - a useful method for diagnosing tubal ectopic pregnancy with low level β-HCG.

Contrast enhanced ultrasound - a useful method for diagnosing tubal ectopic pregnancy with low level β-HCG.

Contrast enhanced ultrasound - a useful method for diagnosing tubal ectopic pregnancy with low level β-HCG.

Background: In patients presenting with atypical symptoms or low plasma β-HCG levels, the presence of an adnexal mass without a yolk sac or embryo on ultrasound often provides insufficient confidence for a definitive diagnosis of ectopic pregnancy(EP). Consequently, most such cases can only be classified as suspected EP. This study aimed to evaluate the diagnostic value of contrast enhanced ultrasound (CEUS) for tubal EP (tEP). We retrospectively analyzed 21 patients with suspected EP who underwent CEUS between August 2017 and August 2024. All patients had plasma β-HCG levels below 3500 mIU/mL. Among them, 20 underwent laparoscopic surgery, and all underwent curettage. The diagnostic performance of CEUS for tEP was assessed.

Results: A total of 21 patients were included: 19 with tEP, 1 with ovarian pregnancy, and 1 with intrauterine pregnancy. The sensitivity, specificity, and accuracy of transvaginal ultrasound (TVUS) for diagnosing tubal dilation were 15.8%, 100%, and 23.8%, respectively. For CEUS, these values were 94.7%, 100%, and 95.2%, respectively. Statistically significant differences were observed between CEUS and TVUS in sensitivity and accuracy (P = 0.000). The enhancement pattern of villous tissue was categorized as either circular or non-circular. Among the tEP cases, 2 exhibited circular enhancement and 17 showed non-circular enhancement. Based on positive β-HCG, absence of an intrauterine gestational sac, and sonographic visualization of a dilated fallopian tube containing either circular or non-circular enhancement internally, CEUS demonstrated high diagnostic accuracy for tEP diagnosis in cases with low β-HCG levels. CEUS correctly diagnosed 18 of 19 tEP cases. One tEP case was diagnosed as a mass of uncertain significance. The intrauterine pregnancy case was misdiagnosed as an EP. The ovarian pregnancy case was diagnosed as EP, though CEUS indicated a relatively high possibility of ovarian origin.

Conclusion: In conclusion, CEUS holds significant diagnostic value for tEP. It is particularly useful in diagnostically unclear cases and provides a more detailed assessment of the internal structure of adnexal masses.

求助全文
通过发布文献求助,成功后即可免费获取论文全文。 去求助
来源期刊
Ultrasound Journal
Ultrasound Journal Health Professions-Radiological and Ultrasound Technology
CiteScore
6.80
自引率
2.90%
发文量
45
审稿时长
22 weeks
×
引用
GB/T 7714-2015
复制
MLA
复制
APA
复制
导出至
BibTeX EndNote RefMan NoteFirst NoteExpress
×
提示
您的信息不完整,为了账户安全,请先补充。
现在去补充
×
提示
您因"违规操作"
具体请查看互助需知
我知道了
×
提示
确定
请完成安全验证×
copy
已复制链接
快去分享给好友吧!
我知道了
右上角分享
点击右上角分享
0
联系我们:info@booksci.cn Book学术提供免费学术资源搜索服务,方便国内外学者检索中英文文献。致力于提供最便捷和优质的服务体验。 Copyright © 2023 布克学术 All rights reserved.
京ICP备2023020795号-1
ghs 京公网安备 11010802042870号
Book学术文献互助
Book学术文献互助群
群 号:604180095
Book学术官方微信