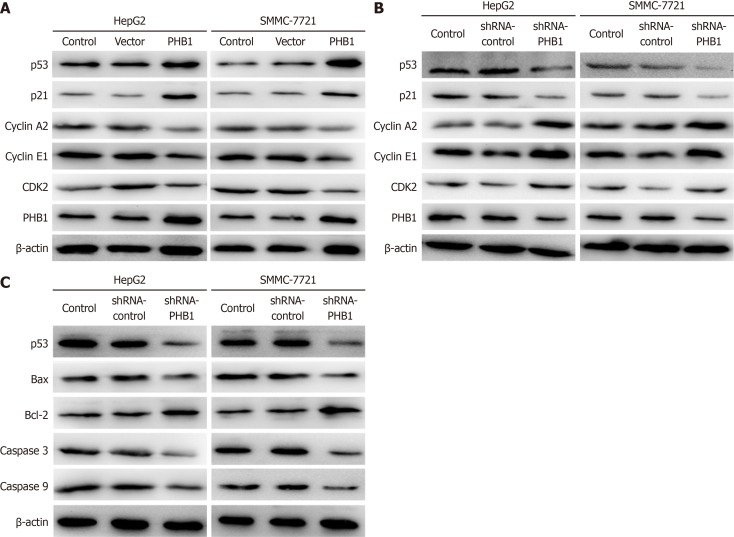
在体外通过p53介导的线粒体途径抑制细胞增殖和诱导细胞凋亡。

IF 2.5 4区 医学 Q2 GASTROENTEROLOGY & HEPATOLOGY
Juan-Juan Shi, Shuang-Suo Dang
{"title":"在体外通过p53介导的线粒体途径抑制细胞增殖和诱导细胞凋亡。","authors":"Juan-Juan Shi, Shuang-Suo Dang","doi":"10.4251/wjgo.v17.i7.110127","DOIUrl":null,"url":null,"abstract":"<p><p>[This corrects the article on p. 398 in vol. 16, PMID: 38425403.].</p>","PeriodicalId":23762,"journal":{"name":"World Journal of Gastrointestinal Oncology","volume":"17 7","pages":"110127"},"PeriodicalIF":2.5000,"publicationDate":"2025-07-15","publicationTypes":"Journal Article","fieldsOfStudy":null,"isOpenAccess":false,"openAccessPdf":"https://www.ncbi.nlm.nih.gov/pmc/articles/PMC12278240/pdf/","citationCount":"0","resultStr":"{\"title\":\"Correction to: Prohibitin 1 inhibits cell proliferation and induces apoptosis <i>via</i> the p53-mediated mitochondrial pathway <i>in vitro</i>.\",\"authors\":\"Juan-Juan Shi, Shuang-Suo Dang\",\"doi\":\"10.4251/wjgo.v17.i7.110127\",\"DOIUrl\":null,\"url\":null,\"abstract\":\"<p><p>[This corrects the article on p. 398 in vol. 16, PMID: 38425403.].</p>\",\"PeriodicalId\":23762,\"journal\":{\"name\":\"World Journal of Gastrointestinal Oncology\",\"volume\":\"17 7\",\"pages\":\"110127\"},\"PeriodicalIF\":2.5000,\"publicationDate\":\"2025-07-15\",\"publicationTypes\":\"Journal Article\",\"fieldsOfStudy\":null,\"isOpenAccess\":false,\"openAccessPdf\":\"https://www.ncbi.nlm.nih.gov/pmc/articles/PMC12278240/pdf/\",\"citationCount\":\"0\",\"resultStr\":null,\"platform\":\"Semanticscholar\",\"paperid\":null,\"PeriodicalName\":\"World Journal of Gastrointestinal Oncology\",\"FirstCategoryId\":\"3\",\"ListUrlMain\":\"https://doi.org/10.4251/wjgo.v17.i7.110127\",\"RegionNum\":4,\"RegionCategory\":\"医学\",\"ArticlePicture\":[],\"TitleCN\":null,\"AbstractTextCN\":null,\"PMCID\":null,\"EPubDate\":\"\",\"PubModel\":\"\",\"JCR\":\"Q2\",\"JCRName\":\"GASTROENTEROLOGY & HEPATOLOGY\",\"Score\":null,\"Total\":0}","platform":"Semanticscholar","paperid":null,"PeriodicalName":"World Journal of Gastrointestinal Oncology","FirstCategoryId":"3","ListUrlMain":"https://doi.org/10.4251/wjgo.v17.i7.110127","RegionNum":4,"RegionCategory":"医学","ArticlePicture":[],"TitleCN":null,"AbstractTextCN":null,"PMCID":null,"EPubDate":"","PubModel":"","JCR":"Q2","JCRName":"GASTROENTEROLOGY & HEPATOLOGY","Score":null,"Total":0}
引用次数: 0

摘要

[这更正了第16卷第398页的文章,PMID: 38425403]。
本文章由计算机程序翻译,如有差异,请以英文原文为准。

Correction to: Prohibitin 1 inhibits cell proliferation and induces apoptosis <i>via</i> the p53-mediated mitochondrial pathway <i>in vitro</i>.

Correction to: Prohibitin 1 inhibits cell proliferation and induces apoptosis via the p53-mediated mitochondrial pathway in vitro.

[This corrects the article on p. 398 in vol. 16, PMID: 38425403.].

求助全文
通过发布文献求助,成功后即可免费获取论文全文。 去求助
来源期刊
World Journal of Gastrointestinal Oncology
World Journal of Gastrointestinal Oncology Medicine-Gastroenterology
CiteScore
4.20
自引率
3.30%
发文量
1082
期刊介绍: The World Journal of Gastrointestinal Oncology (WJGO) is a leading academic journal devoted to reporting the latest, cutting-edge research progress and findings of basic research and clinical practice in the field of gastrointestinal oncology.
×
引用
GB/T 7714-2015
复制
MLA
复制
APA
复制
导出至
BibTeX EndNote RefMan NoteFirst NoteExpress
×
提示
您的信息不完整,为了账户安全,请先补充。
现在去补充
×
提示
您因"违规操作"
具体请查看互助需知
我知道了
×
提示
确定
请完成安全验证×
copy
已复制链接
快去分享给好友吧!
我知道了
右上角分享
点击右上角分享
0
联系我们:info@booksci.cn Book学术提供免费学术资源搜索服务,方便国内外学者检索中英文文献。致力于提供最便捷和优质的服务体验。 Copyright © 2023 布克学术 All rights reserved.
京ICP备2023020795号-1
ghs 京公网安备 11010802042870号
Book学术文献互助
Book学术文献互助群
群 号:604180095
Book学术官方微信