腓骨转移至肺部的金刚烷瘤:一罕见病例报告。

IF 0.7 Q3 MEDICINE, GENERAL & INTERNAL
International Medical Case Reports Journal Pub Date : 2025-07-18 eCollection Date: 2025-01-01 DOI:10.2147/IMCRJ.S535403
Duaa Knaj, Ghanem Ahmad, Zuheir Alshehabi, Issa Yusuof Ahmad
{"title":"腓骨转移至肺部的金刚烷瘤:一罕见病例报告。","authors":"Duaa Knaj, Ghanem Ahmad, Zuheir Alshehabi, Issa Yusuof Ahmad","doi":"10.2147/IMCRJ.S535403","DOIUrl":null,"url":null,"abstract":"<p><strong>Background: </strong>Adamantinoma is a low-grade, primary malignant bone tumor commonly found in the tibia with or without fibular involvement.</p><p><strong>Case presentation: </strong>A 21-year-old female patient was admitted to the hospital with a mass on the upper lateral aspect of the left leg. She reported the onset of a small swelling in the left leg eight months prior to admission. It has gradually increased in size to involve the upper leg and part of the knee. The patient had limited range of motion in the knee joint and difficulty leaning on the affected limb. Radiographs showed a cortical-destroying osteolytic lesion at the head of the fibula extending into the surrounding soft tissue. Ultrasound imaging showed a mixed echo formation with indistinct borders and multiple chambers separated by trabeculae demonstrating blood flow. MRI revealed the absence of the fibular head as evidenced by cortical destruction and extension into adjacent soft tissue. CT scan showed a 12×13 cm mass in the left popliteal region extending to the knee margin. Enlarged lymph nodes were noted in the left groin. Multiple small metastases were observed in the lungs. Histologically, atypical epithelial cells and stromal spindle cells were observed. CK and CK19 staining was positive. The patient was treated with Sunitinib 50 mg orally, once daily for 4 weeks, followed by 2 weeks off for 2 cycles. During treatment (after 2 cycles) the tumor showed progressive growth, resulting in decreased function of the affected limb. She was referred to the surgical department where the appropriate surgical amputation was performed. After surgery, the patient's general condition improved. A further CT scan revealed a slight progression of metastatic lesions in the lungs, which prompted the decision to administer chemotherapy, but she refused to continue the treatment and did not receive chemotherapy. Two months later, she presented to the hospital in poor general condition. CT scan revealed extensive and progressive lesions in both lungs, leading to chest pain, hemoptysis, and hypoxia. Despite supportive care, the patient eventually died.</p><p><strong>Conclusion: </strong>This case report presents a rare case of metastatic adamantinoma that did not respond to treatment with Sunitinib.</p>","PeriodicalId":14337,"journal":{"name":"International Medical Case Reports Journal","volume":"18 ","pages":"909-914"},"PeriodicalIF":0.7000,"publicationDate":"2025-07-18","publicationTypes":"Journal Article","fieldsOfStudy":null,"isOpenAccess":false,"openAccessPdf":"https://www.ncbi.nlm.nih.gov/pmc/articles/PMC12282602/pdf/","citationCount":"0","resultStr":"{\"title\":\"Metastatic Adamantinoma of Fibula to the Lungs: A Rare Case Report.\",\"authors\":\"Duaa Knaj, Ghanem Ahmad, Zuheir Alshehabi, Issa Yusuof Ahmad\",\"doi\":\"10.2147/IMCRJ.S535403\",\"DOIUrl\":null,\"url\":null,\"abstract\":\"<p><strong>Background: </strong>Adamantinoma is a low-grade, primary malignant bone tumor commonly found in the tibia with or without fibular involvement.</p><p><strong>Case presentation: </strong>A 21-year-old female patient was admitted to the hospital with a mass on the upper lateral aspect of the left leg. She reported the onset of a small swelling in the left leg eight months prior to admission. It has gradually increased in size to involve the upper leg and part of the knee. The patient had limited range of motion in the knee joint and difficulty leaning on the affected limb. Radiographs showed a cortical-destroying osteolytic lesion at the head of the fibula extending into the surrounding soft tissue. Ultrasound imaging showed a mixed echo formation with indistinct borders and multiple chambers separated by trabeculae demonstrating blood flow. MRI revealed the absence of the fibular head as evidenced by cortical destruction and extension into adjacent soft tissue. CT scan showed a 12×13 cm mass in the left popliteal region extending to the knee margin. Enlarged lymph nodes were noted in the left groin. Multiple small metastases were observed in the lungs. Histologically, atypical epithelial cells and stromal spindle cells were observed. CK and CK19 staining was positive. The patient was treated with Sunitinib 50 mg orally, once daily for 4 weeks, followed by 2 weeks off for 2 cycles. During treatment (after 2 cycles) the tumor showed progressive growth, resulting in decreased function of the affected limb. She was referred to the surgical department where the appropriate surgical amputation was performed. After surgery, the patient's general condition improved. A further CT scan revealed a slight progression of metastatic lesions in the lungs, which prompted the decision to administer chemotherapy, but she refused to continue the treatment and did not receive chemotherapy. Two months later, she presented to the hospital in poor general condition. CT scan revealed extensive and progressive lesions in both lungs, leading to chest pain, hemoptysis, and hypoxia. Despite supportive care, the patient eventually died.</p><p><strong>Conclusion: </strong>This case report presents a rare case of metastatic adamantinoma that did not respond to treatment with Sunitinib.</p>\",\"PeriodicalId\":14337,\"journal\":{\"name\":\"International Medical Case Reports Journal\",\"volume\":\"18 \",\"pages\":\"909-914\"},\"PeriodicalIF\":0.7000,\"publicationDate\":\"2025-07-18\",\"publicationTypes\":\"Journal Article\",\"fieldsOfStudy\":null,\"isOpenAccess\":false,\"openAccessPdf\":\"https://www.ncbi.nlm.nih.gov/pmc/articles/PMC12282602/pdf/\",\"citationCount\":\"0\",\"resultStr\":null,\"platform\":\"Semanticscholar\",\"paperid\":null,\"PeriodicalName\":\"International Medical Case Reports Journal\",\"FirstCategoryId\":\"1085\",\"ListUrlMain\":\"https://doi.org/10.2147/IMCRJ.S535403\",\"RegionNum\":0,\"RegionCategory\":null,\"ArticlePicture\":[],\"TitleCN\":null,\"AbstractTextCN\":null,\"PMCID\":null,\"EPubDate\":\"2025/1/1 0:00:00\",\"PubModel\":\"eCollection\",\"JCR\":\"Q3\",\"JCRName\":\"MEDICINE, GENERAL & INTERNAL\",\"Score\":null,\"Total\":0}","platform":"Semanticscholar","paperid":null,"PeriodicalName":"International Medical Case Reports Journal","FirstCategoryId":"1085","ListUrlMain":"https://doi.org/10.2147/IMCRJ.S535403","RegionNum":0,"RegionCategory":null,"ArticlePicture":[],"TitleCN":null,"AbstractTextCN":null,"PMCID":null,"EPubDate":"2025/1/1 0:00:00","PubModel":"eCollection","JCR":"Q3","JCRName":"MEDICINE, GENERAL & INTERNAL","Score":null,"Total":0}
引用次数: 0

摘要

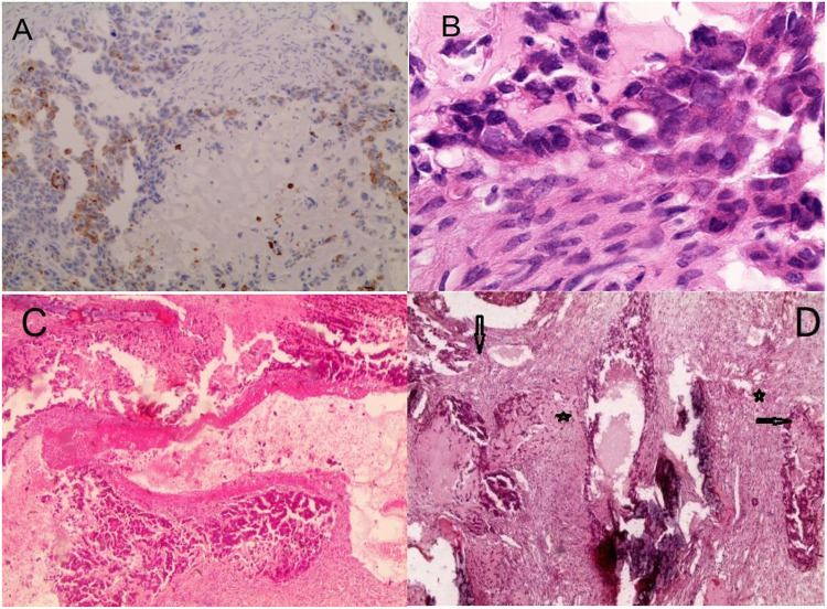
背景:金刚素瘤是一种低级别的原发性恶性骨肿瘤,常见于胫骨,伴或不伴腓骨受累。病例介绍:一名21岁女性患者因左腿上外侧有肿块而入院。入院前8个月,患者报告左腿出现小肿胀。它的大小逐渐增大,累及小腿和部分膝盖。患者的膝关节活动范围有限,在患肢上有倚靠困难。x线片显示腓骨头部出现皮质破坏性溶骨性病变,并延伸至周围软组织。超声成像显示混合性回声形成,边界模糊,由小梁分隔的多个腔室显示血流。MRI显示腓骨头缺失,表现为皮质破坏并延伸至邻近软组织。CT扫描显示左侧腘窝区有一个12×13 cm的肿块,延伸至膝关节边缘。左侧腹股沟淋巴结肿大。肺部可见多发小转移灶。组织学上观察到非典型上皮细胞和间质梭形细胞。CK、CK19染色阳性。患者口服舒尼替尼50 mg,每日1次,连续4周,随后休息2周,共2个周期。在治疗期间(2个周期后),肿瘤呈进行性生长,导致患肢功能下降。她被转到外科,在那里进行了适当的截肢手术。手术后,病人的一般情况有所改善。进一步的CT扫描显示肺部转移病灶有轻微进展,这促使医生决定进行化疗,但她拒绝继续治疗,也没有接受化疗。两个月后,她到医院就诊时,全身状况不佳。CT扫描显示双肺广泛进行性病变,导致胸痛、咯血和缺氧。尽管得到了支持性治疗,患者最终还是死亡了。结论:本病例报告是一例罕见的转移性金刚素瘤,对舒尼替尼治疗无效。
本文章由计算机程序翻译,如有差异,请以英文原文为准。

Metastatic Adamantinoma of Fibula to the Lungs: A Rare Case Report.

Metastatic Adamantinoma of Fibula to the Lungs: A Rare Case Report.

Metastatic Adamantinoma of Fibula to the Lungs: A Rare Case Report.

Metastatic Adamantinoma of Fibula to the Lungs: A Rare Case Report.

Background: Adamantinoma is a low-grade, primary malignant bone tumor commonly found in the tibia with or without fibular involvement.

Case presentation: A 21-year-old female patient was admitted to the hospital with a mass on the upper lateral aspect of the left leg. She reported the onset of a small swelling in the left leg eight months prior to admission. It has gradually increased in size to involve the upper leg and part of the knee. The patient had limited range of motion in the knee joint and difficulty leaning on the affected limb. Radiographs showed a cortical-destroying osteolytic lesion at the head of the fibula extending into the surrounding soft tissue. Ultrasound imaging showed a mixed echo formation with indistinct borders and multiple chambers separated by trabeculae demonstrating blood flow. MRI revealed the absence of the fibular head as evidenced by cortical destruction and extension into adjacent soft tissue. CT scan showed a 12×13 cm mass in the left popliteal region extending to the knee margin. Enlarged lymph nodes were noted in the left groin. Multiple small metastases were observed in the lungs. Histologically, atypical epithelial cells and stromal spindle cells were observed. CK and CK19 staining was positive. The patient was treated with Sunitinib 50 mg orally, once daily for 4 weeks, followed by 2 weeks off for 2 cycles. During treatment (after 2 cycles) the tumor showed progressive growth, resulting in decreased function of the affected limb. She was referred to the surgical department where the appropriate surgical amputation was performed. After surgery, the patient's general condition improved. A further CT scan revealed a slight progression of metastatic lesions in the lungs, which prompted the decision to administer chemotherapy, but she refused to continue the treatment and did not receive chemotherapy. Two months later, she presented to the hospital in poor general condition. CT scan revealed extensive and progressive lesions in both lungs, leading to chest pain, hemoptysis, and hypoxia. Despite supportive care, the patient eventually died.

Conclusion: This case report presents a rare case of metastatic adamantinoma that did not respond to treatment with Sunitinib.

求助全文
通过发布文献求助,成功后即可免费获取论文全文。 去求助
来源期刊
International Medical Case Reports Journal
International Medical Case Reports Journal MEDICINE, GENERAL & INTERNAL-
CiteScore
1.40
自引率
0.00%
发文量
135
审稿时长
16 weeks
期刊介绍: International Medical Case Reports Journal is an international, peer-reviewed, open access, online journal publishing original case reports from all medical specialties. Submissions should not normally exceed 3,000 words or 4 published pages including figures, diagrams and references. As of 1st April 2019, the International Medical Case Reports Journal will no longer consider meta-analyses for publication.
×
引用
GB/T 7714-2015
复制
MLA
复制
APA
复制
导出至
BibTeX EndNote RefMan NoteFirst NoteExpress
×
提示
您的信息不完整,为了账户安全,请先补充。
现在去补充
×
提示
您因"违规操作"
具体请查看互助需知
我知道了
×
提示
确定
请完成安全验证×
copy
已复制链接
快去分享给好友吧!
我知道了
右上角分享
点击右上角分享
0
联系我们:info@booksci.cn Book学术提供免费学术资源搜索服务,方便国内外学者检索中英文文献。致力于提供最便捷和优质的服务体验。 Copyright © 2023 布克学术 All rights reserved.
京ICP备2023020795号-1
ghs 京公网安备 11010802042870号
Book学术文献互助
Book学术文献互助群
群 号:604180095
Book学术官方微信